Lichen myxoedematosus is een zeldzame stapelingsziekte
waarbij
mucine stapelt in de huid. Het begint
meestal pas op oudere leeftijd (> 40 jr). Het wordt ook wel
mucinosis
papulosa (papular mucinosis) of
scleromyxoedeem
genoemd.
Scleromyxoedeem is de term
die gebruikt wordt voor de gegeneraliseerde vorm, lichen myxoedematosus voor
de lokale vorm. De stapeling kan bijvoorbeeld alleen aan de handen optreden
(
acral persistant papular mucinosis). De oorzaak van
lichen myxoedematosus is niet bekend. Scleromyxoedema is bijna altijd geassocieerd
met een monoclonale gammopathie (MGUS, Kahler), waarbij ook in het bloed M-proteïne
(
paraproteïnen, meestal IgG-lambda lichte
ketens) kan worden aangetoond, of met andere myeloproliferatieve aandoeningen.
Bij lichen myxoedematosus wordt dit niet of zelden gevonden. Omdat er ook geen
stapeling in organen plaatsvindt bij lichen myxoedematosus is het beloop veel
gunstiger dan bij scleromyxoedeem. Dat neemt niet weg dat de behandeling moeizaam
is.
![Lichen myxoedematosus (click on photo to enlarge) [source: www.huidziekten.nl] Lichen myxoedematosus](../../../images/lichen-myxoedematosus-4z.jpg) |
![Lichen myxoedematosus (click on photo to enlarge) [source: www.huidziekten.nl] Lichen myxoedematosus](../../../images/lichen-myxoedematosus-5z.jpg) |
![Lichen myxoedematosus (click on photo to enlarge) [source: www.huidziekten.nl] Lichen myxoedematosus](../../../images/lichen-myxoedematosus-6z.jpg) |
| lichen
myxoedematosus |
lichen
myxoedematosus |
lichen
myxoedematosus |
![Lichen myxoedematosus (click on photo to enlarge) [source: www.huidziekten.nl] Lichen myxoedematosus](../../../images/lichen-myxoedematosus-7z.jpg) |
![Lichen myxoedematosus (click on photo to enlarge) [source: www.huidziekten.nl] Lichen myxoedematosus](../../../images/lichen-myxoedematosus-8z.jpg) |
![Lichen myxoedematosus (click on photo to enlarge) [source: www.huidziekten.nl] Lichen myxoedematosus](../../../images/lichen-myxoedematosus-9z.jpg) |
| lichen
myxoedematosus |
lichen
myxoedematosus |
lichen
myxoedematosus |
Klinisch beeld:Huidkleurige of roodbruine 1-3 mm
grote papeltjes. De huid kan ook wat geïndureerd zijn of gezwollen. Bij de gegeneraliseerde
vorm kunnen de papeltjes over het gehele lichaam aanwezig zijn, ook kunnen sclerodermie-achtige
veranderingen optreden inclusief sclerodactylie en microstomie.
| Varianten van mucinosis papulosa: |
Gegeneraliseerd: -
scleromyxoedeem
Lokale vormen: - lichen myxoedematosus
- acral persistent papular mucinosis - lichen myxoedematosus
papulosa - papular mucinosis of infancy
|
DD: scleromyxoedeem,
colloid milia,
amyloidosis,
sarcoidose,
myxoedeem,
andere mucinosen,
porfyria cutanea tarda.
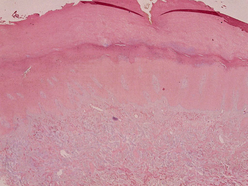
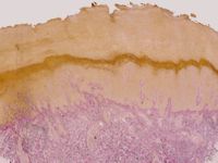
Diagnostiek:Biopt, speciaal vragen om mucine kleuring
en de DD vermelden. De patholoog kan bij mucine deposities aanvullend onderzoek
doen naar de herkomst er van (keratine, immunoglobuline).
M-proteïne screening.
Totaal eiwit, eiwitspectrum. TSH, ANA. Hb, Leuko's, leukodiff. Bij paraproteïnemie
consult hematoloog voor aanvullend onderzoek.
![Lichen myxoedematosus (click on photo to enlarge) [source: www.huidziekten.nl] Lichen myxoedematosus](../../../images/lichen-myxoedematosus-10z.jpg) |
![Lichen myxoedematosus (click on photo to enlarge) [source: www.huidziekten.nl] Lichen myxoedematosus](../../../images/lichen-myxoedematosus-11z.jpg) |
![Lichen myxoedematosus (click on photo to enlarge) [source: www.huidziekten.nl] Lichen myxoedematosus](../../../images/lichen-myxoedematosus-12z.jpg) |
| lichen
myxoedematosus |
lichen
myxoedematosus |
lichen
myxoedematosus |
Therapie:R/ lokale corticosteroïden.
R/ isotretinoine.
R/ UVA1, PUVA.

Dermabrasie.
Therapie systemische vormen:R/ intraveneuze immunoglobulinen
(
IvIg) 2 g/kg verdeeld over 2-5 dagen, 1 keer
per 4 weken. Voor een onbepaalde periode. Eerste keus behandeling, monotherapie.
R/ methotrexaat.
R/ plasmaferese.
R/ thalidomide.
R/ chemotherapie.
Referenties
| 1. |
Rongioletti F, Rebora A. Updated Classification
of papular mucinosis, lichen myxoedematosus and scleromyxoedema.
J Am Acad Dermatol 2001;44:273-281. |
| 2. |
Rongioletti F. Lichen myxoedematosus (Papular
Mucinosis): New Concepts and Perspectives for an Old Disease. Semin
Cutan Med Surg 2006;25:100-104. |
| 3. |
Enk A, Hadaschik E, Eming R, Fierlbeck G,
French L, Girolomoni G, Hertl M, Jolles S, Karpati S, Steinbrink
K, Stingl G, Volc-Platzer B, Zillikens D. European Guidelines (S1)
on the use of high-dose intravenous immunoglobulin in dermatology.
J Dtsch Dermatol Ges 2017;15(2):228-241. |
| 4. |
Enk AH, Hadaschik EN, Eming R, Fierlbeck G, French LE, Girolomoni G, Hertl M, Jolles S, Karpati S, Steinbrink K, Stingl G, Volc-Platzer B, Zillikens D. European Guidelines (S1) on the use of high-dose intravenous immunoglobulin in dermatology. J Eur Acad Dermatol Venereol 2016;30(10):1657-1669. |
Author(s):dr. Jan R. Mekkes. Dermatologist, Amsterdam UMC.