XANTHOGRANULOMA JUVENILE (JUVENIEL XANTHOGRANULOOM) home ICD10: D76.3

Xanthogranuloma juvenile (juvenile xanthogranuloma, JXG) is een zeldzame aandoening behorende tot de histiocytosen. Om onbekende redenen ontstaat een ophoping van histiocyten op een plek. Er bestaan 3 vormen van:

1. cutane vorm (juveniel xanthogranuloom van de huid)
2. systemische vorm (multipele xanthogranulomen in huid, ogen, longen, ruggemerg, hersenen)
3. oculaire vorm (xanthogranuloom van het oog)

Cutane vorm
De cutane vorm uit zich als scherp begrensde, vast-elastische, geelbruine en soms rozerode papels of noduli, solitair of multipel (meestal multipel), enkele mm tot 1.5-2 cm groot, vooral op gelaat of schedel gelokaliseerd, soms op romp of proximale extremiteiten. Vroege afwijkingen zijn rozerood, meer mature geelbruin. Behalve dit klassieke beeld zijn ook atypische lokalisaties van het juveniel xanthogranuloom beschreven zoals handpalm, mondslijmvlies, penis, subunguaal, geclusterde vormen, giant-varianten (2-10 cm), gemengd micro- en macronodulair beeld, en duizenden speldenknopgrote papeltjes. De prognose van juveniel xanthogranuloom is, in tegenstelling tot die van de systemische histiocytosen, goed: de huidafwijking gaat binnen 1-6 jaar spontaan in regressie. Er is een associatie tussen JXG en neurofibromatose type I en juveniele chronische myeloïde leukemie. Bij circa 20% worden café au lait macula gevonden.

Juveniel xanthogranuloom behoort tot de histiocytosen, een groep aandoeningen waarvan de Langerhans-celhistiocytose de bekendste is. Deze behoort echter tot klasse-I-histiocytose, terwijl juveniel xanthogranuloom deel uitmaakt van klasse II: de niet-maligne non-Langerhans-cel histiocytosen. Van deze laatste groep is juveniel xanthogranuloom op de kinderleeftijd de meest voorkomende vorm. Een dermatoloog ziet gemiddeld 1-2 keer per jaar een kind met een juveniel xanthogranuloom.
De oorzaak is onbekend, mogelijk een reactie van de dermale dendrocyten op een onbekende stimulus. JXG ontstaat op jonge leeftijd, bij 71% in het eerste levensjaar, bij circa 35% is het reeds bij de geboorte aanwezig. Het komt vaker voor bij jongetjes (1:4). Het kan ook (circa 10% van de gevallen) bij volwassenen voorkomen, meestal rond 20-30 jaar, vaak solitaire laesies. Extracutane JXG is zeldzaam (3.9%) en betreft vooral het oog (< 1%) en de periorbitale regio, daarna de longen en de lever.

Juveniel xanthogranuloom Juveniel xanthogranuloom Juveniel xanthogranuloom
juveniel xanthogranuloom juveniel xanthogranuloom juveniel xanthogranuloom

Juveniel xanthogranuloom Juveniel xanthogranuloom Juveniel xanthogranuloom
juveniel xanthogranuloom juveniel xanthogranuloom juveniel xanthogranuloom


Systemische lokalisaties xanthogranuloma
Systemische vormen kunnen overal voorkomen, o.a. in de subcutis, spieren, de long, de lever, de milt, het pericard, de orofarynx en het centraal zenuwstelsel. Zeldzame locaties zijn bijnier, appendix, beenderen, beenmerg, gonaden, nieren, larynx, darmen, myocard, milt. Bij circa de helft van de patiëntjes met de systemische variant zijn er ook huidlaesies, meestal multipele. Niet alle extracutane xanthogranulomen geven klachten. De ernst en aard van de eventuele symptomen worden bepaald door de lokalisatie en de grootte van de tumor. Er is een aantal zeldzame gevallen van systemische xanthogranulomen met fatale afloop beschreven. De systemische vorm van xanthogranuloma kan agressieve therapie nodig hebben (steroïden, chirurgie, chemotherapie) maar is extreem zeldzaam.

Juveniel xanthogranuloom van het oog
Het oog is de meest voorkomende extracutane lokalisatie, maar wel zeldzaam (bij 0.3-0.4%). De iris is het frequentst aangedaan, maar ook in de cornea, de conjunctiva, de sclera, de fossa glandulae lacrimalis en de orbita kunnen xanthogranulomen ontstaan. Door de vaatrijkdom kan een spontane bloeding in de voorste oogkamer (hyphaema) ontstaan, met secundaire glaucoomvorming.

DD: benigne cephale histiocytose, gegeneraliseerde eruptieve histiocytomen, dermatofibroom, Langerhans cel histiocytose, reticulohistiocytoma, mastocytose, mastocytoom, Spitz naevus, naevus, xanthoma, atheroomcyste (epidermale cyste), pilomatrixoma, necrobiotisch xanthogranuloma.

Diagnostiek:
De diagnose kan op het klinisch beeld gesteld worden, bij twijfel is histologisch onderzoek inclusief immunohistochemische kleuringen nodig. Hoewel het juveniel xanthogranuloom een typisch xanthomateus aspect heeft en op xanthomen kan lijken, is het geen vetstapelingsziekte, het lipidenspectrum is normaal. Een consult oogarts is te overwegen, zeker bij zichtbare lokalisatie rond het oog.
Bij de zeldzame combinatie van JXG en type 1 neurofibromatosis (NF1) alert zijn op juveniele myelomonocytic leukemia (JMML). Screenend haematologisch lab is niet zinvol, wel alert zijn op leukemie symptomen (malasie, nachtzweten, anemie, hepatosplenomegalie, lymfadenopathie), zonodig daarvoor doorverwijzen naar de kinderarts.

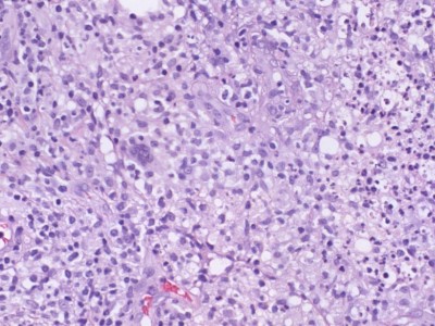
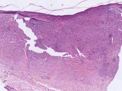
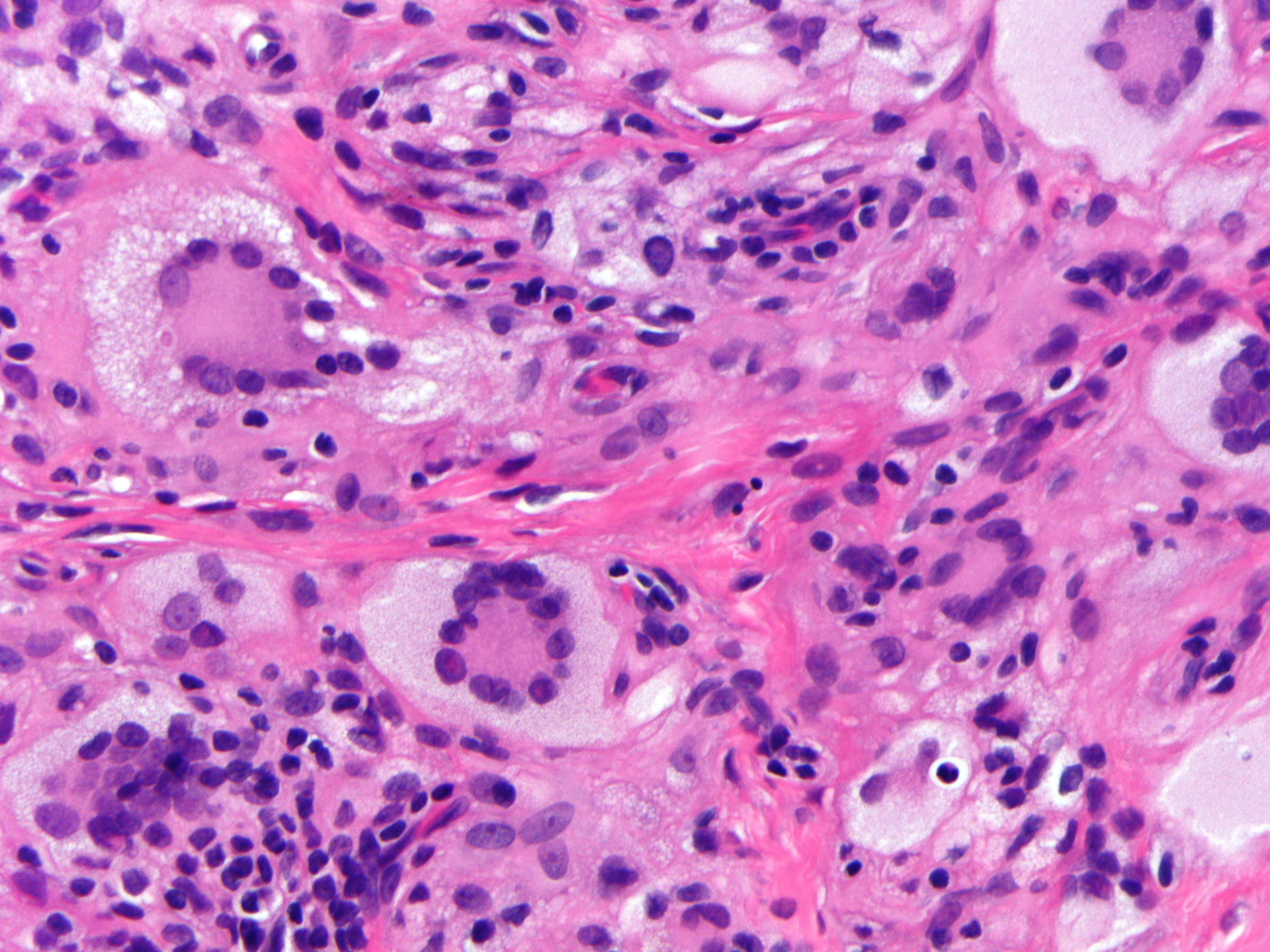
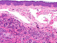
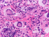
Histopathologie:
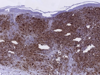
Infiltraat in de dermis bestaande uit histiocyten met een gevacuoliseerd, schuimig cytoplasma en ronde tot ovale kernen met een enkele nucleolus, en vaak met karakteristieke Touton-reuscellen. Daarnaast zijn er in wisselende mate reuscellen, lymfocyten en eosinofiele granulocyten aanwezig. Bij elektronenmicroscopisch onderzoek ontbreken de Birbeck-granula die typisch zijn voor de Langerhans-celhistiocytose. Bij vroege stadia kunnen de Touton-reuscellen en het schuimige aspect van het cytoplasma ontbreken. De cellen kleuren aan met de markers CD68, humaan macrofaag antigeen (HAM) 56 (een epitoop van CD68), factor XIIIa, cathepsine B, KiM1P (een pan-macrofaagmarker), KP1 (een epitoop van CD68) en vimentine, terwijl ze negatief zijn voor S100, CD1a en de macrofaagmarker Mac387.

Juveniel xanthogranuloom Juveniel xanthogranuloom
 juveniel xanthogranuloom  juveniel xanthogranuloom

Histologie juveniel xanthogranuloom Histologie xanthogranuloom
ingescande coupe (zoom) ingescande coupe (zoom)

Histologie xanthogranuloom Histologie xanthogranuloom
ingescande coupe (zoom) ingescande coupe (zoom)

PA-Foto's boven: Michael Bonert (Nephron) - Wikimedia (Creative Commons License 3.0)
Hoge resolutie PA-foto's: Kevin Kwee en Afdeling Pathologie MUMC. Klik op de afbeelding om in te zoomen.


Therapie:
De behandeling is expectatief, de laesies verdwijnen vanzelf binnen 1-6 jaar, vaak met achterlating van atrofie of anetodermie, en hyperpigmentatie. Op het behaarde hoofd laat het een kale plek achter. Chirurgisch verwijderen is niet nodig omdat het spontaan weggaat, maar kan wel gedaan worden om diagnostische (excisiebiopt) of cosmetische redenen. Er is een kleine kans dat de laesie in het litteken recidiveert. Systemische vormen gaan ook meestal in regressie, maar niet altijd. Soms is radiotherapie, immuunsuppressie en chemotherapie nodig.

Oculaire xanthogranulomen worden behandeld met lokale corticosteroïden, zonodig subconjunctivale of systemische corticosteroïden, en een enkele keer met een lage dosis radiotherapie (300-400 cGy).

Voorlichting:
Leg de ouders uit dat het in verreweg de meeste gevallen vanzelf overgaat in 1-6 jaar en dat de kans op het ontstaan van systemische ziekte heel erg klein is (ouders komen op internet verontrustende verhalen tegen, de websites hierover zijn vooral gevuld met de negatieve verhalen van kinderen met de zeldzame systemische variant). De ouders moeten wel weten dat het bestaat en waar ze op moeten letten: oogklachten, café au lait vlekken en huidkleurige of andere bultjes, vermoeidheid of bleekheid.

Follow-up:
Follow-up is nodig, gezien onder andere oogheelkundige complicaties en het verband met neurofibromatose type I en juveniele chronische myeloïde leukemie. Er zijn geen adviezen bekend over wat het controleschema's zou moeten zijn. Een mogelijk advies is: foto's maken, eerste controle over 2 maanden, daarna 2 x per jaar, daarna 1 x per jaar gedurende 5 jaar of totdat ze in regressie zijn.


patientenfolder


Referenties
1. Bröker LE, van den Berg H, van Groningen K, van der Wateren AR, de Nef JJEM. Juveniel xanthogranuloom: een vorm van histiocytose met een uitstekende prognose. Ned Tijdschr Geneeskd 2001;145:635-639.
2. Cooper PH, Frierson HF, Kayne AL, Sabio H. Association of juvenile xanthogranuloma with juvenile myeloid leukemia. Arch Dermatol1984;120:371-375.
3. Sonoda T, Hashimoto H, Enjoji M. Juvenile xanthogranuloma.Clinicopathologic analysis and immunohistochemical study of 57 patients. Cancer 1985;56:2280-2286.
4. Cohen BA, Hood A. Xanthogranuloma: report on clinical andhistologic findings in 64 patients. Pediatr Dermatol 1989;6:262-626.
5. Favara BE, Feller AC, Pauli M, Jaffe ES, Weiss LM, AricoM, et al. Contemporary classification of histiocytic disorders. The WHO Committee on Histiocytic/Reticulum Cell Proliferations. Reclassification Working Group of the Histiocyte Society. Med Pediatr Oncol 1997;29:157-166.
6. Janney CG, Hurt MA, Santa Cruz DJ. Deep juvenile xanthogranuloma. Subcutaneous and intramuscular forms. Am J Surg Pathol 1991;15(2):150-159.
7. Haughton AM, Horii KA, Shao L, Daniel J, Nopper AJ. Disseminated juvenile xanthogranulomatosis in a newborn resulting in liver transplantation. J Am Acad Dermatol 2008;58(2 Suppl):S12-15.
8. Unuvar E, Devecioglu O, Akcay A, et al. Successful therapy of systemic xanthogranuloma in a child. J Pediatr Hematol Oncol 2007;29(6):425-427.
9. Burgdorf WH, Zelger B. JXG, NF1, and JMML: alphabet soup or a clinical issue?. Pediatr Dermatol 2004;21(2):174-176.


Author(s):
dr. Jan R. Mekkes. Dermatologist, Amsterdam UMC.

31-05-2023 (JRM) - www.skin-diseases.eu Terug naar homepagina



Diagnosis codes:
ICD10 D76.3 Overige histiocytose syndromen: juveniel xanthogranuloom
ICD10 D76.3 Other histiocytosis syndromes: juvenile xanthogranuloma
SNOMED 400031009 Juvenile xanthogranuloma
DBC 3 Benigne tumoren