Pretibiaal myxoedeem (stapeling van hyaluronzuur in
de dermis en subcutis) wordt ingedeeld in de groep
mucinosen
en wordt gezien bij hypo- en
hyperthyreoïdie.
Meestal bij
hyperthyreoïdie (morbus Graves), een enkele
keer bij hypo- of euthyreoïdie. De voorkeurslokalisatie is voornamelijk pretibiaal;
soms ook op onderarmen, schouders, dijen. Vrij vast aanvoelende, geïndureerde
plaques of noduli, soms verruceus, zelden met hyperhidrosis en hypertrichosis.
Meestal zijn het grote aaneengesloten plaques, er bestaat ook een vorm met multipele
nodi of plaques, lijkend op erythema nodosum, en een vorm met alleen diffuus
non-pitting oedeem. De huid heeft vaak een
peau d'orange aspect.
Vaak zijn de laesies bilateraal, maar niet symmetrisch. Kan in zeer zeldzame
gevallen ulcereren. Bij schildklierlijden kunnen diverse huidafwijkingen voorkomen,
zie onder
hyperthyreoïdie.
Morbus Graves is een auto-immuun ziekte die diverse organen aantast: de
schildklier (hyperthyreoïdie), de ogen en de huid. Morbus Graves komt voornamelijk
voor bij vrouwen tussen de 20 en 40 jaar. Bij 5% van de patiënten ontstaan huidafwijkingen
zoals scherp begrensde huidkleurige tot paarse nodulaire myxoedemateuze laesies,
diffuus pretibiaal myxoedeem, of hypertrichosis. De oorzaak van het gelokaliseerd
myxoedeem is onbekend.
![Pretibiaal myxoedeem (click on photo to enlarge) [source: www.huidziekten.nl] Pretibiaal myxoedeem](../../../images/pretibiaal-myxoedeem-1z.jpg) |
![Pretibiaal myxoedeem (click on photo to enlarge) [source: www.huidziekten.nl] Pretibiaal myxoedeem](../../../images/pretibiaal-myxoedeem-2z.jpg) |
![Pretibiaal myxoedeem (click on photo to enlarge) [source: www.huidziekten.nl] Pretibiaal myxoedeem](../../../images/pretibiaal-myxoedeem-3z.jpg) |
| pretibiaal
myxoedeem |
pretibiaal
myxoedeem |
pretibiaal
myxoedeem |
![Pretibiaal myxoedeem (click on photo to enlarge) [source: www.huidziekten.nl] Pretibiaal myxoedeem](../../../images/pretibiaal-myxoedeem-4z.jpg) |
![Pretibiaal myxoedeem (click on photo to enlarge) [source: www.huidziekten.nl] Pretibiaal myxoedeem](../../../images/pretibiaal-myxoedeem-5z.jpg) |
![Pretibiaal myxoedeem (click on photo to enlarge) [source: www.huidziekten.nl] Pretibiaal myxoedeem](../../../images/pretibiaal-myxoedeem-6z.jpg) |
| nodulair
type |
nodulair
type |
ulcererend
myxoedeem |
DD: amyloïdose,
mucinosen,
lymfoedeem,
lichen simplex chronicus,
hypertrofische lichen planus,
erythema nodosum.
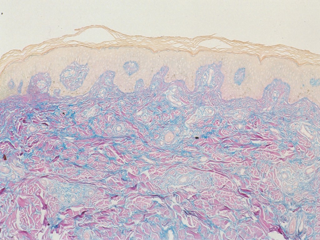
Diagnostiek:
De diagnose wordt gesteld op het klinisch beeld. TSH bepalen indien het schildklierlijden
nog niet is onderzocht (meestal zijn de patiënten al lang bekend met hyperthyreoïdie).
Zonodig een biopt (vraagstelling duidelijk vermelden zodat een mucine kleuring
kan worden verricht). Verwijzen naar de internist voor de behandeling van de
hyperthyreoïdie.
![Pretibiaal myxoedeem (click on photo to enlarge) [source: www.huidziekten.nl] Pretibiaal myxoedeem](../../../images/pretibiaal-myxoedeem-7z.jpg) |
![Pretibiaal myxoedeem (click on photo to enlarge) [source: www.huidziekten.nl] Pretibiaal myxoedeem](../../../images/pretibiaal-myxoedeem-8z.jpg) |
|
PA myxoedeem |
PA myxoedeem |
Therapie: Correctie van de hyperthyreoïdie heeft
weinig effect op de huidafwijkingen. Myxoedeem kan zelfs ontstaan als door behandeling
al euthyreoïdie is bereikt.
R/ lokale corticosteroïden kunnen de afwijkingen
doen verminderen en ook ulcera genezen. Langdurig toepassen. Zonodig onder occlusie,
intralesionaal of systemisch.
R/ compressie-therapie of steunkousen bij uitgesproken
oedeem.
R/ Trental (pentoxifylline), 2-3 dd 1 tab a 400 mg.
R/ Sandostatine
(octreotide).
R/ PUVA therapie.

Chirurgische
excisies / abrasie in ernstige gevallen.
Referenties
| 1. |
Chang TC, Kao SC, Huang KM. Octreotide and
Graves' ophthalmopathy and pretibial myxoedema. BMJ 1992;304:158. |
| 2. |
Felton J, Derrick EK, Price ML. Successful
combined surgical and octreotide treatment of severe pretibial myxoedema
reviewed after 9 years. Br J Dermatol 2003;148(4):825-826. |
| 3. |
Takasu N, Higa H, Kinjou Y. Treatment of
pretibial myxedema (PTM) with topical steroid ointment application
with sealing cover (steroid occlusive dressing technique: steroid
ODT) in Graves' patients. Intern Med 2010;49(7):665-669. |
| 4. |
Deng A, Song D. Multipoint subcutaneous injection
of long-acting glucocorticid as a cure for pretibial myxedema. Thyroid
2011;21(1):83-85. |
Author(s):dr. Jan R. Mekkes. Dermatologist, Amsterdam UMC.