PARAPROTEÏNEN (M-PROTEÏNE) home ICD10: D47.2

Paraproteïnen zijn abnormale eiwitten in het bloed die in het eiwitspectrum te zien zijn als een extra piekje naast de normale pieken (albumine, alpha-1, alpha-2, beta en gamma globuline). Dit piekje wordt gevormd door immunoglobulinen (vooral IgG en IgM) die worden geproduceerd door plasmacellen. Omdat het meestal gaat om monoklonale eiwitten, wordt in plaats van paraproteïne vaker de term M-proteïne (monoklonaal proteïne) gebruikt.

Plasmacellen ontstaan uit B-lymfocyten en komen behalve in beenmerg ook elders in het lichaam voor (darmen, luchtwegen, lymfklieren). Eenmaal uitgerijpt maken plasmacellen antistoffen (immuunglobulinen), opgebouwd uit zware ketens (IgG, IgA, IgM, IgD of IgE) en lichte ketens (kappa- of lambda-type). Elke plasmacel kan maar één type antistof maken. Bij een plasmacel tumor, zoals bij de ziekte van Kahler, is er sprake van een kloon die teveel antistoffen van één type aanmaakt. Delen van het monoclonale eiwit (alleen de lichte ketens) kunnen ook in de urine aangetroffen worden (Bence-Jones-eiwit). Zie verder onder multipel myeloom (ziekte van Kahler) en onder de ziekte van Waldenström.

rode en witte bloedcellen reeks Atypische plasmacellen Eiwitspectrum met abnormale piek van M-proteinen
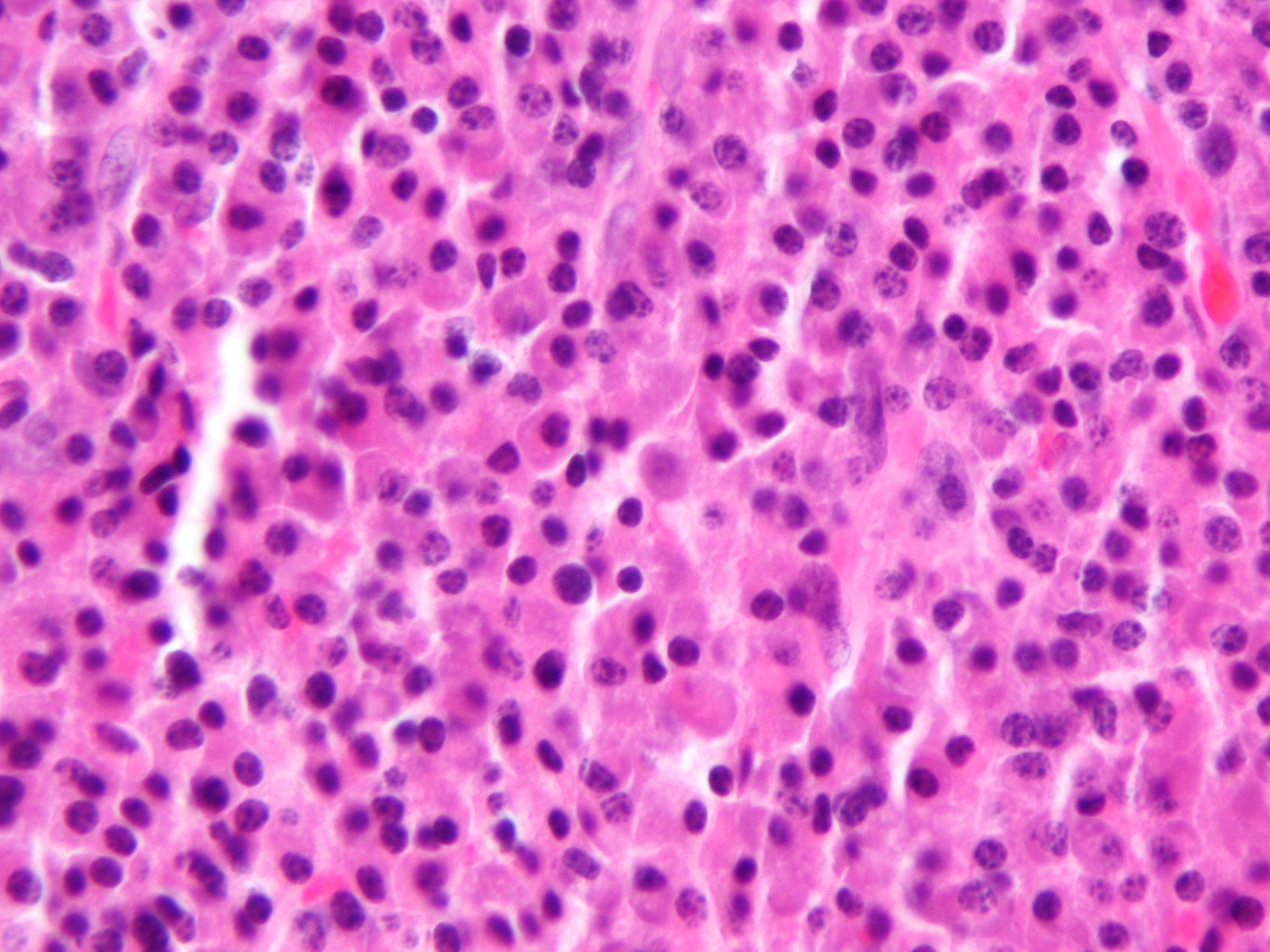
bloedcellen reeks plasmacytoma M-proteïne piek

Illustratie: US Government (Public Domain Image).
PA-Foto: Michael Bonert (Nephron) - Wikimedia (Creative Commons License 3.0).


Paraproteïnen worden vooral gezien bij haematologische aandoeningen zoals MGUS (monoclonal gammopathy of uncertain significance), multipel myeloom (Kahler), primaire systemische amyloïdose en bij de ziekte van Waldenström. Meestal ontstaan paraproteïnen door een benigne B-cel proliferatie op oudere leeftijd. Ze kunnen ook worden gevormd bij maligniteiten, chronische ontstekingen en infecties. Er kunnen huidafwijkingen ontstaan zoals een plasmacellulaire tumor van de huid (zeldzaam), of secundaire huidafwijkingen door deposities van paraproteïnen of afbraakproducten daarvan (amyloïd, cryoglobulinen).

Huidafwijkingen door of geassocieerd met paraproteïnen:
- papular mucinosis (scleromyxoedeem, lichen myxoedematosus)
- systemische amyloïdose
- plasmocytoma (cutane lokalisatie)
- cutaneous macroglobulinosis
- purpura (bij amyloïdose)
- urticaria en angio-oedeem
- urticaria pigmentosa
- teleangiectasia macularis eruptiva perstans
- urticariële vasculitis
- Schnitzler's syndroom
- verworven C1-esterase deficiëntie
- multipel myeloom
- ziekte van Waldenström
- scleroedema
- POEMS syndroom
- cryoglobulinemie
- pyoderma gangrenosum
- leukocytoclastische vasculitis
- panniculitis
- ulcus cruris
- Raynaud fenomeen
- paraneoplastische pemphigus
- epidermolysis bullosa acquisita
- erythema exsudativum multiforme
- cutis laxa (verworven)
- Grover's disease
- neutrofiele dermatosen (Sweet syndroom e.a.)
- Sneddon disease (subcorneale pustuleuze dermatose)
- erythema elevatum diutinum
- xanthomen (xanthoma disseminatum, xanthoma plana)
- adult onset xanthogranuloma
- necrobiotisch xanthogranuloma


Author(s):
dr. Jan R. Mekkes. Dermatologist, Amsterdam UMC.

31-05-2023 (JRM) - www.skin-diseases.eu Terug naar homepagina



Diagnosis codes:
ICD10 D47.2 Monoklonale gammopathie
ICD10 D47.2 Monoclonal gammopathy
SNOMED 109983007 Monoclonal gammopathy
DBC 28 spacer Geen dermatologische diagnose

ICD10 D47.2 Cutane CD30-positieve T-cel proliferaties
ICD10 D47.2 Primary cutaneous CD30-positive T-cell proliferations
SNOMED 128875000 Primary cutaneous CD30 antigen positive large T-cell lymphoma
DBC 28 spacer Geen dermatologische diagnose