De
naevus collagenicus lumbosacralis (Engels: lumbosacral
connective tissue nevus, synoniemen: lumbosacrale bindweefsel naevus, cobblestone
naevus,
Shagreen patch,
peau de chagrin)
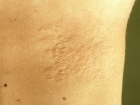
is een naevus die er uitziet als een hobbelig geheel van plaques en noduli in
het lumbosacrale gebied. Het is een bindweefselnaevus, berustend op toename
van collageen. Deze naevi zijn typisch voor tubereuze sclerose (ziekte van Bourneville-Pringle).
Ze kunnen ook elders zitten, bijvoorbeeld in de flank of op het voorhoofd.
Peau
de chagrin (shagreen leer) is ook de naam voor een hobbelige leersoort die van
haai wordt gemaakt, en van een boek van Balzac. Zie verder onder
tubereuze
sclerose.
![peau de chagrin bij tubereuze sclerose (click on photo to enlarge) [source: www.huidziekten.nl] peau de chagrin bij tubereuze sclerose](../../../images/peau-de-chagrin-bij-tubereuze-sclerose-1z.jpg) |
![peau de chagrin en ash leave macule bij tubereuze sclerose (click on photo to enlarge) [source: www.huidziekten.nl] peau de chagrin en ash leave macule bij tubereuze sclerose](../../../images/peau-de-chagrin-bij-tubereuze-sclerose-2z.jpg) |
| peau de
chagrin |
peau de
chagrin |
![peau de chagrin bij tubereuze sclerose (click on photo to enlarge) [source: www.huidziekten.nl] peau de chagrin bij tubereuze sclerose](../../../images/peau-de-chagrin-bij-tubereuze-sclerose-3z.jpg) |
![peau de chagrin leersoort (click on photo to enlarge) [source: Athaniel - Wikimedia - Creative Commons License 1.0 - Public Domain Image] peau de chagrin leersoort](../../../images/peau-de-chagrin-1z.jpg) |
| peau de
chagrin |
peau de
chagrin |
DD: bindweefselnaevus nno,
naevus lipomatosis,
naevus mucinosis.
Author(s):
dr. Jan R. Mekkes. Dermatologist, Amsterdam UMC.