VASCULAIRE MALFORMATIES EN VASCULAIRE TUMOREN home ICD10: Q82.5

Vaatafwijkingen (vascular anomalies) zoals hemangiomen (infantiele hemangiomen, hemangioma of infancy) en vasculaire malformaties ontstaan meestal op jonge leeftijd. Hemangiomen zijn vaak afwezig of nog klein bij de geboorte en groeien snel de eerste maanden. Vasculaire malformaties zijn aanwezig bij de geboorte, en groeien in proportie met het kind mee. Hemangiomen kunnen ook op oudere leeftijd ontstaan, bij volwassenen (angioma senilis, verkregen hemangiomen). De (aangeboren) vaatafwijkingen worden onderverdeeld in vasculaire tumoren, zoals het infantiel hemangioom, en vasculaire malformaties, zoals de wijnvlek of de ooievaarsbeet. Zie ook de ISSVA classificatie onder in deze pagina.

Classificatie van vaatafwijkingen: vasculaire tumoren en vasculaire malformaties:
Tumoren
- infantiele hemangiomen, hemangioma of infancy
- snel involuerende congenitale hemangiomen (RICH)
- niet-involuerende congenitale hemangiomen (NICH)
- gedeeltelijk-involuerende congenitale hemangiomen (PICH)

- Kaposiform hemangioendothelioom
- overige hemangioendotheliomen
- tufted angioma

- granuloma pyogenicum spacer
Malformaties
slow-flow
- capillair
  - naevus flammeus (wijnvlek)
  - ooievaarsbeet (naevus van Unna)
- veneus
- lymfatisch

fast-flow
- arterioveneuze malformatie
- arterioveneuze fistel
- gecombineerde (mixed) malformaties spacer


Zeldzamere vasculaire malformaties:
slow-flow
- verruceuze veneuze malformaties
- glomuveneuze malformaties
- generalized lymphatic anomalies
- cutis marmorata telangiectatica congenita
- phakomatosis pigmentovascularis

fast-flow
- capillary malformation /
  arteriovenous malformation syndrome
(RASA1) spacer


Vasculaire malformatie syndromen:
- CLOVES syndroom
- Klippel-Trenaunay syndroom
- Sturge-Weber syndroom
- Parkes-Weber syndroomspacer


Vasculaire malformaties
Vasculaire malformaties worden onderverdeeld in low flow malformaties (capillair, veneus, lymfatisch, of gemengde laesies) en high flow malformaties (met een arteriële aanvoer). De meeste malformaties bestaan uit één vaattype (capillair, veneus, of lymfatisch). Arterioveneuze malformaties bevatten een combinatie van arteriële, capillaire en veneuze componenten. Malformaties met twee of meer verschillende componenten worden combined vascular malformations genoemd.

Capillaire malformaties
Capillaire malformaties komen het meest voor en bestaan uit gedilateerde capillairen, arteriolen en/of venulen in de huid of mucosa. Een naevus flammeus (wijnvlek) is een capillaire malformatie. Een naevus flammeus bestaat uit roze rode wegdrukbare macula, en is aanwezig vanaf de geboorte. Bij het ouder wordt de laesie donkerder rood of paars en er kunnen ook dikkere gedeelten in komen. Ze zitten vaak lateraal in het gelaat, of op ledematen of op de romp en gaan niet over de middellijn heen. Bij een periorbitale naevus flammeus kan glaucoom voorkomen. Een naevus flammeus kan onderdeel zijn van het Sturge-Weber syndroom of het Klippel-Trenaunay syndroom. Ook de naevus van Unna (salmon patch), een lichtroze macula midden in de nek (ooievaarsbeet) of op het voorhoofd (‘angel kiss’) is een capillaire naevus. Anders dan een wijnvlek gaan deze laesies, vooral die op het voorhoofd, meestal in regressie in de eerste 2 levensjaren. Multipele ronde capillaire malformaties verspreid over het lichaam kunnen voorkomen bij een RASA1 mutatie. Soms komen daarbij ook arterioveneuze malformaties of fistels voor, vandaar de naam capillary malformation-arteriovenous malformation syndroom (CM-AVM syndroom). Teleangiëctasieën zijn ook capillaire malformaties. Ze kunnen congenitaal voorkomen, als geïsoleerd verschijnsel maar ook in het kader van syndromen zoals het Rendu-Osler-Weber syndroom en andere hereditary hemorrhagic telangiectasia (HHT) syndromen. Teleangiëctasieën komen ook op latere leeftijd voor, idiopathisch, bij zwangerschap, of als onderdeel van systeemziekten zoals sclerodermie en levercirrhose.

Naevus flammeus Naevus van Unna, ooievaarsbeet Teleangiëctasieën bij levercirrhose
naevus flammeus ooievaarsbeet teleangiëctasieën

Capillaire malformatie Capillaire malformatie Capillaire malformatie
capillaire malformatie capillaire malformatie capillaire malformatie


Veneuze malformaties
Veneuze malformaties zijn lichtblauwe tot donkerblauwe zwellingen, eenvoudig comprimeerbaar. Ze zijn gelokaliseerd in de huid en mucosa, maar kunnen ook in weke delen, spieren en inwendige organen zitten. Meestal solitair, soms multipel of diffuus. Vaak zijn er mutaties in het TIE2 gen. Bij andere typen veneuze malformaties zoals glomuveneuze malformaties, blue rubber bleb nevus syndroom en cerebrale caverneuze malformaties zijn andere genen betrokken. Glomuveneuze malformaties zijn multipele roodpaarse nodi en plaques. De laesies zijn vaster aanvoelend, minder comprimeerbaar en vaak pijnlijk bij aanraking. Ze komen familiair voor en er is een mutatie in het glomuline gen. Bij blue rubber bleb nevus syndroom zijn er multipele kleine donkerblauwe rubberachtig aanvoelende veneuze malformaties. Cerebrale caverneuze malformaties komen voor in de hersenen en in het ruggenmerg en kunnen neurologische klachten veroorzaken. Ze zijn geassocieerd met veneuze of capillaire malformaties in andere organen en in de huid.

Veneuze malformatie Veneuze malformatie Veneuze malformatie
veneuze malformatie veneuze malformatie veneuze malformatie

Veneuze malformatie Glomuveneuze malformatie Blue rubber bleb nevus syndroom
veneuze malformatie glomuveneuze malformatie blue rubber bleb nevus

Foto rechtsonder: Lee C. et al. - Wikimedia (Creative Commons License 2.0).


Lymfatische malformaties
Lymfatische malformaties bestaan uit gedilateerde lymfevaten of cysten bekleed met lymfepitheel. Ze worden onderverdeeld in macrocysteus, microcysteus of gemengd. Vaak gelokaliseerd in de hoofdhals regio, die rijk is aan lymfvaten, maar ze kunnen overal voorkomen. Macrocysteuze lymfatische malformaties (oude term: cystic hygroma) zijn meestal grote, cysteuze massa’s, vlak onder de huid liggend, soms dieper gelegen. Laesies in de nekregio kunnen geassocieerd zijn met syndromen (Turner, Noonan en Down syndroom). Microcysteuze lymfatische malformaties (oude term: lymphangioma circumscriptum) kunnen in alle weefsels voorkomen maar vooral in de huid en mucosa. Het zijn multipele kleine, stevige, vaak gegroepeerde heldere of hemorrhagische vesikels. Angiokeratomen zijn mogelijk ook lymfatische malformaties. Voorheen zijn ze altijd beschouwd als capillaire malformaties, maar de vaatjes in angiokeratomen kleuren aan met D2-40, een specifieke lymfvat-marker.

Lymphangioma circumscripta Lymphangioma circumscripta Lymfatische malformatie
cystic hygroma lymphangioma circumscripta lymfatische malformatie


Arterioveneuze malformaties en fistels
Bij arterioveneuze malformaties en fistels is er een verbinding ontstaan tussen aanvoerende arteriën en afvoerende venen zonder dat daar een normaal capillair vaatbed tussen zit. Er is een hoge bloedstroom in deze laesies (high flow). De term arterioveneuze malformatie wordt gebruikt als het gaat om een laesie bestaande uit een kluwen van gedilateerde en abnormale vaten met hoge flow. De term arterioveneuze fistel wordt gebruikt als er een directe verbinding is ontstaan tussen een arterie en een vene. Dit kan congenitaal aanwezig zijn maar ook ontstaan door een trauma, spontaan, of iatrogeen, bijvoorbeeld als complicatie na een dotterprocedure. Ook een shunt voor dialyse kan worden beschouwd als een arterioveneuze fistel. Cerebrale arterioveneuze malformaties kunnen neurologische klachten veroorzaken zoals epilepsie of beroerte. Bij AV malformaties in de longen kan hypoxie ontstaan. Bij een grote flow door AV malformaties kan hartfalen optreden. AV malformaties zijn te herkennen aan klinische kenmerken zoals warmte of het voelen van pulsaties, en door middel van een echo (duplex).

Arterioveneuze malformatie Arterioveneuze malformatie Arterioveneuze malformatie
arterioveneuze malformatie arterioveneuze malformatie arterioveneuze malformatie

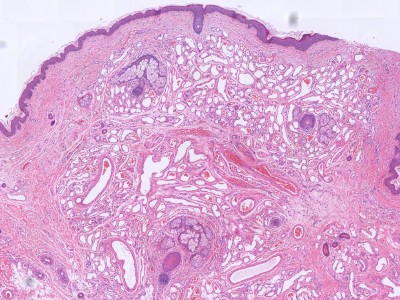
Histologie arterioveneuze malformatie of hemangioom Histologie arterioveneuze malformatie of hemangioom Histologie arterioveneuze malformatie of hemangioom
arterioveneuze malformatie arterioveneuze malformatie arterioveneuze malformatie

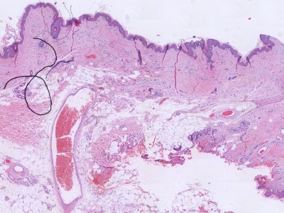
Arterioveneuze fistel Arterioveneuze fistel Arterioveneuze fistel
arterioveneuze fistel arterioveneuze fistel arterioveneuze fistel

Bron hoge resolutie PA-foto's: Kevin Kwee en Afdeling Pathologie MUMC. Klik op de afbeelding om in te zoomen.


Combined vascular malformations
Gecombineerde vasculaire combinaties worden genoemd naar de componenten die er in zitten, dus capillair-veneuze malformatie, capillair-lymfatisch, capillair-arterioveneus, lymfatisch-veneus, capillair-lymfatisch-veneus, capillair-lymfatisch-arterioveneus, capillair-veneus-arterioveneus, en capillair-lymfatisch-veneus-arterioveneus. De componenten zijn te herkennen aan de kleur, de vorm, de comprimeerbaarheid en de flow (pulsaties), zonodig aangevuld met diagnostiek in de vorm van echo, MRI of biopt.

Capillair-veneuze malformatie Capillair-lymfatische malformatie Lymfatisch-veneuze malformatie
capillair-veneus capillair-lymfatisch lymfatisch-veneus



ISSVA classification of vascular tumors
Er is vaak veel verwarring over de terminologie van vaattumoren en vasculaire malformaties. De ISSVA (International Society for the Study of Vascular Anomalies) heeft een consensus document gemaakt, een PDF bestand, met een hele duidelijke indeling. Zie de ISSVA classification of vascular tumors (PDF). In 2025 is de indeling herzien.

ISSVA classification of vascular tumors

ISSVA classificatie van vasculaire tumoren:
Benigne vasculaire tumoren
-   Infantile hemangioma / Hemangioma of infancy
-   Congenital hemangioma [GNAQ, GNA11]
      -   Rapidly involuting (RICH)
      -   Non-involuting (NICH)
      -   Partially involuting (PICH)
-   Tufted angioma [GNA14]
-   Cherry angioma (angioma senilis)
-   Epithelioid hemangioma [FOS]
-   Cutaneous epithelioid angiomatous nodule
-   Pyogenic granuloma (lobular capillary hemangioma) [BRAF, RAS, GNA14]
-   Spindle-cell hemangioma [IDH1, IDH2]
-   Hobnail hemangioma
-   Microvenular hemangioma
-   Anastomosing hemangioma
-   Glomeruloid hemangioma
-   Papillary hemangioma
-   Acquired elastotic hemangioma
-   Intravascular papillary endothelial hyperplasia (Masson tumor)
-   Littoral cell hemangioma of the spleen
-   Related lesions:
      -   Eccrine angiomatous hamartoma
      -   Reactive angioendotheliomatosis
      -   Bacillary angiomatosis
           
Locally aggressive or borderline vascular tumors
-   Kaposiform hemangioendothelioma [GNA14]
-   Retiform hemangioendothelioma
-   Papillary intralymphatic angioendothelioma (PILA), Dabska tumor
-   Pseudomyogenic hemangioendothelioma [FOSB]
-   Polymorphous hemangioendothelioma
-   Kaposi sarcoma
-   Composite hemangioendothelioma
-   Multifocal lymphangioendotheliomatosis with thrombocytopenia (MLT)
-   Hemangioendothelioma not otherwise specified
           
Malignant vascular tumors
-   Angiosarcoma [MYC]
-   Epithelioid hemangioendothelioma [CAMTA1, TFE3]
-   Overige
   
Slow flow vascular malformations

Capillary malformations (CM)
- Nevus simplex / Salmon patch (Angel kiss, Stork bite)
- Port wine CM (Port wine stain, Port wine Birthmark, Nevus flammeus)
- Isolated
- Nonsyndromic CM [GNAQ]
                -   CM with melanocytic nevus (phakomatosis pigmentovascularis) [GNAQ56, GNA1156, PTPN1157]
        -   Syndromic
                -   With hypertrophy or extracutaneous disease (CM with bone and/or soft tissues overgrowth) [GNA11]
                -   CM with CNS and/or ocular anomalies (Sturge-Weber syndrome) [GNAQ]
                -   DCMO (Diffuse CM with overgrowth) [GNA11]
-   Reticulate / telangiectatic CM
- Isolated
        -   Syndromic
                -   M-CM (macrocephaly-capillary malformation-polymicrogyria) [PIK3CA]
                -   MIC-CAP (microcephaly-capillary malformation) [STAMBP]
                -   DCMO (Diffuse CM with overgrowth)
-   Geographic Pattern CM
- Isolated
        -   Syndromic
                    KTS (Klippel-Trenaunay Syndrome)
                    Associated with CLOVES / Disorders of PROS
-   Low-resistance CM / CM with faster flow
- Isolated
        -   Syndromic
                -   CM AVM 1 and 2 (capillary malformation-arteriovenous malformation)
                -   Parkes Weber Syndrome
-   Cutis marmorata telangiectatica congenita (CMTC)
-   Telangiectasias and Spider Angiomas
- Isolated (Telangiectasia)
        -   Syndromic
                -   CM-AVM 1 and 2
                -   HHT1 [ENG], HHT2 [ACVRL1], HHT3, JPHT [SMAD4] (Hereditary hemorrhagic telangiectasia)
                     
Lymphatic malformations (LM)
- Isolated
        -   Common (cystic) LM (Lymphatic malformation) [PIK3CA]
                -   Macrocystic (cystic hygroma)
                -   Microcystic (lymphangioma circumscriptum)
                -   Mixed Macro / Microcystic
        -   Angiokeratoma
        -   Channel type LM
        -   Acquired progressive lymphatic anomaly (acquired progressive lymphangioma)
- Complex
        -   GLA (Generalized Lymphatic Anomaly)
        -   KLA (Kaposiform Lymphangiomatosis)
        -   GSD (Gorham Stout Disease)
        -   CCLA (Central Conducting Lymphatic Anomaly)
                -   Isolated
                -   Syndromic (RASopathy)
        -   GLD (Generalized Lymphatic Dysplasia) [PIEZO1, MDFIC]
- Lymphedemas
        -   Primary
                -   Isolated
                    -   Nonne-Milroy syndrome [FLT4, VEGFR3]
                    -   Primary hereditary lymphedema [VEGFC]
                    -   Primary hereditary lymphedema [GJC2, Connexin 47]
                -   Syndromic
                    -   Lymphedema-distichiasis syndrome [FOXC2]
                    -   Hypotrichosis-lymphedema-telangiectasia [SOX18]
                    -   Primary lymphedema with myelodysplasia [GATA2]
                    -   Primary generalized lymphatic anomaly (Hennekam lymphangiectasia-lymphedema syndrome) [CCBE1]
                    -   Microcephaly with or without chorioretinopathy, lymphedema, or mental retardation syndrome [KIF11]
                    -   Lymphedema-choanal atresia [PTPN14]
        -   Secondary
                     
Venous malformations (VM)
- Isolated
        -   VM (Venous malformation) [TEK (TIE2), PIK3CA]
                -   Phlebectatic
                -   Spongiform
        -   VVM (Verrucous Venous Malformation) [MAP3K3]
        -   FAVA (Fibroadipose Vascular Anomaly) [PIK3CA]
        -   Intramuscular venous malformation
- Multifocal
        -   VMCM (Familial VM cutaneo-mucosal) [TEK (TIE2)]
        -   MSVM (Multifocal Sporadic Venous Malformation)
        -   BRBNS (Blue rubber bleb nevus (Bean) syndrome) [TEK (TIE2)]
        -   GVM (Glomuvenous malformation) [Glomulin]
        -   HCCVM / CCM (Cerebral cavernous malformation)
            CCM1 [KRIT1], CCM2 [Malcavernin], CCM3 [PDCD10]
        -   VMOS (Familial intraosseous vascular malformation) [ELMO2]
- Syndromic
        -   PHTS (PTEN Hamartoma Tumor syndrome)
        -   CLOVES syndrome (LM + VM + CM +/- AVM + lipomatous overgrowth) [PIK3CA]
        -   Mafucci Syndrome
        -   Sinus Pericranii
                     
Combined malformations
- Isolated
        -   CLVM (Capillary-lymphatic-venous malformation)
        -   LVM (Lymphatic-venous malformation)
        -   CLM (Capillary-lymphatic malformation)
        -   CVM (Capillary-venous malformation)
        -   HCCVM / VVM (Hyperkeratotic Cutaneous Capillary-Venous malformations)
- Syndromic
        -   PROS (PIK3CA Related Overgrowth Spectrum)
        -   KTS (CLVM with hypertrophy) (Klippel-Trenaunay Syndrome)
        -   CLOVES syndrome (LM + VM + CM +/- AVM + lipomatous overgrowth) [PIK3CA]
        -   CLAPO syndrome (lower lip CM + face and neck LM + asymmetry and partial/generalized overgrowth) [PIK3CA]
        -   Proteus syndrome (CM, VM and/or LM + asymmetrical somatic overgrowth) [AKT1]
 
Fast flow vascular malformations

Isolated
- Arteriovenous malformations (AVM) [MAP2K1]
- Intramuscular Fast-flow Vascular Anomaly
- Arteriovenous fistula (AVF) (congenital)

Multifocal
- CM-AVM 1 en 2 [RASA1, EPHB4]
- HHT (HHT1 [ENG], HHT2 [ACVRL1], HHT3, JPHT [SMAD4])
- PHTS (PTEN Hamartoma Tumor syndrome)

Syndromic
- PHOST (PTEN Hamartoma of Soft Tissue) (PHTS)
- Parkes-Weber syndroom
- SAMS (Spinal Arteriovenous Metameric Syndrome)
- CAMS (Cerebrofacial Arteriovenous Metameric Syndrome)
 
Combined vascular malformations

CM + VM capillary-venous malformation CVM
CM + LM capillary-lymphatic malformation CLM
CM + AVM capillary-arteriovenous malformation CAVM
LM + VM lymphatic-venous malformation LVM
CM + LM + VM capillary-lymphatic-venous malformation CLVM
CM + LM + AVM capillary-lymphatic-arteriovenous malformation CLAVM
CM + VM + AVM capillary-venous-arteriovenous malformation CVAVM
CM + LM + VM + AVM capillary-lymphatic-venous-arteriovenous malformation CLVAVM

Anomalies of major named vessels ("channel type" or "truncal" vascular malformations)

- Vena cava
- Aorta
- Vein of Galen
- Others

Affect:
- lymphatics
- veins
- arteries

Anomalies of:
- origin
- course
- number
- length
- diameter (aplasia, hypoplasia, stenosis, ectasia / aneurysm)
- valves
- communication (AVF)
- persistence (of embryonal vessel)
 
Vascular malformations associated with other anomalies
- Klippel-Trenaunay syndrome (CM + VM +/- LM + limb overgrowth) [PIK3CA]
- Parkes-Weber syndrome (CM + AVF + limb overgrowth) [RASA1]
- Servelle-Martorell syndrome (limb VM + bone undergrowth)
- Sturge-Weber syndrome (facial + leptomeningeal CM + eye anomalies +/- bone and/or soft tissue overgrowth) [GNAQ]
- Limb CM + congenital non-progressive limb overgrowth [GNA11]
- Maffucci syndrome (VM +/- spindle-cell hemangioma + enchondroma) [IDH1, IDH2]
- Macrocephaly - CM (M-CM / MCAP) [PIK3CA]
- Microcephaly - CM (MICCAP) [STAMBP]
- CLOVES syndrome (LM + VM + CM +/- AVM + lipomatous overgrowth) [PIK3CA]
- Proteus syndrome (CM, VM and/or LM + asymmetrical somatic overgrowth) [AKT1]
- Bannayan-Riley-Ruvalcaba syndroom (AVM + VM + macrocephaly, lipomatous overgrowth) [PTEN]
- CLAPO syndrome (lower lip CM + face and neck LM + asymmetry and partial/generalized overgrowth) [PIK3CA]
 
Provisionally unclassified vascular anomalies (PUVA)
- Sinusoidal hemangioma
- Acral arteriovenous tumor
- Cutaneovisceral angiomatosis with thrombocytopenia (CAT)
 


Referenties
1. ISSVA. ISSVA classification of vascular tumors (2014, 2018). www.issva.org/classification. PDF
2. Kunimoto K, Yamamoto Y, Jinnin M. ISSVA Classification of Vascular Anomalies and Molecular Biology. Int J Mol Sci 2022;23(4):2358.
3. ISSVA. ISSVA classification of vascular tumors (2025). www.issva.org/classification. PDF
4. ISSVA Glossary 2025 (lijst van afkortingen en beschrijvingen van vasculaire malformaties en tumoren) www.issva.org. PDF


Author(s):
dr. Jan R. Mekkes. Dermatologist, Amsterdam UMC.

05-01-2026 (JRM) - www.skin-diseases.eu Terug naar homepagina