GLOMANGIOMA / GLOMUVENEUZE MALFORMATIE home ICD10: D18.0

Onderscheiden worden solitaire glomustumoren, multipele glomustumoren, glomangiomen (glomuveneuze malformaties) en glomangiomyomen. Glomangiomen en glomangiomyomen zijn mogelijk een en dezelfde entiteit.

Glomustumoren zijn goedaardige vasculaire neoplasma’s uitgaande van glomuscellen. Glomuscellen zijn gemodificeerde gladde spiercellen die onderdeel zijn van de glomus bodies, gespecialiseerde thermoregulatoire orgaantjes aan de acra bestaande uit geïnnerveerde arterioveneuze anastomosen. Glomustumoren zijn solitaire blauw-paarse dermale of subcutane noduli, vaak subunguaal gelokaliseerd, die pijnlijk kunnen zijn bij aanraking of temperatuurverschillen.

Maar er kunnen ook glomustumoren ontstaan op plaatsen waar normaal geen glomus bodies voorkomen, zoals op de romp. Daarom wordt aangenomen dat glomustumoren ook kunnen uitgaan van pluripotente perivasculaire cellen of gladde spiercellen. In sommige veneuze malformaties komen ook glomuscellen voor. Deze entiteit wordt glomangioma genoemd. Men probeert vasculaire afwijkingen altijd in te delen in twee categorieën: tumor (bijvoorbeeld een infantiel hemangioom) of malformatie (bijvoorbeeld een veneuze malformatie). Glomangiomen en multipele glomustumoren zijn geen echte neoplasieën maar vasculaire malformaties. Daarom wordt de term glomuveneuze malformaties voorgesteld. In de ICD-10 classificatie is dat nieuwe inzicht nog niet verwerkt en worden glomangiomen, glomangiomyomen en multipele glomustumoren nog ingedeeld onder D18.0 (Haemangioma, any site). Glomuveneuze malformaties kunnen verkregen zijn of erfelijk (autosomaal dominant). Bij de erfelijke vormen zijn mutaties gevonden in het glomulin gen (GLMN) op chromosoom 1p21-22.

Multipele glomustumoren komen vooral bij kinderen voor. Bij circa 60% is het familiair. Klinisch ziet men enkele tot meer dan 100 weke blauwige noduli, die op het gehele lichaam gelokaliseerd kunnen zijn, soms segmentaal, soms gedissemineerd. De voorkeurslokaties zijn de romp en bovenste extremiteiten. De segmentale variant komt op de extremiteiten voor. Ze kunnen ook pijnlijk zijn.

Congenitale glomuveneuze malformaties (glomangiomen) zijn vaak multipel en kunnen toenemen in grootte bij het ouder worden. Ze bestaan vaak uit gegroepeerde papels, met een cobblestone aspect, die kunnen conflueren tot plaques. Op latere leeftijd kunnen er satelliet laesies ontstaan. Soms is het familiair (autosomaal dominant erfelijk). Het kan zich uitbreiden tot interne organen (tractus digestivus, zenuwstelsel, botten, lever, pancreas, ovarium).

Multipele glomangiomen Multipele glomangiomen Multipele glomangiomen
multipele glomangiomen multipele glomangiomen multipele glomangiomen

Glomuveneuze malformatie Glomuveneuze malformatie Glomuveneuze malformatie
glomuveneuze malformatie glomuveneuze malformatie glomuveneuze malformatie


Het onderscheid tussen een glomuveneuze malformatie (GVM) en een veneuze malformatie (VM) is histologisch te maken, maar er zijn ook klinische verschillen. VM heeft verschillende tinten blauw, GVM varieert van roze tot diep paars. GVM is oppervlakkig en zelden op mucosa. GVM zit meestal op de extremiteiten maar niet in het gelaat, VM vaak wel in het gelaat. GVM zijn verheven, met een cobblestone effect, niet helemaal comprimeerbaar. VM zijn hemisferisch en wel comprimeerbaar. GVM kan uitbreiden na trauma, VM niet. GVM kan drukpijnlijk zijn, VM niet.

Diagnostiek:
Biopt. Afbeeldend onderzoek op indicatie. Bij zeer grote laesies Hb en trombocyten.

PA:
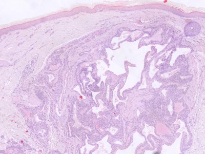
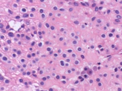
Solitaire laesies: omschreven noduli omgeven door bindweefsel, opgebouwd uit vaatruimten omgeven door clusters ronde of polygonale cellen met plompe kernen en eosinofiel cytoplasma (glomuscellen). Multipele glomustumoren zijn minder goed omschreven en lijken meer op hemangiomen, met multipele, grote, irregulaire verwijde vaatruimten. Focaal in de vaatwanden zijn aggregaten van glomuscellen aanwezig.

Histologie glomangioom Histologie glomangioom
ingescande coupe (zoom) ingescande coupe (zoom)

Bron hoge resolutie PA-foto's: Kevin Kwee en Afdeling Pathologie MUMC. Klik op de afbeelding om in te zoomen.


Therapie:
Solitaire laesies kunnen worden geëxcideerd. Multipele laesies worden soms behandeld met argonlasers, CO2 lasers, of gescleroseerd.


Referenties
1. Rudolph R. Familial multiple glomangiomas. Ann Plast Surg 1993;30(2):183-185.
2. Parsons ME, Russo G, Fucich L, Millikan LE, Kim R. Multiple glomus tumors. Int J Dermatol 1997;36(12):894-900.
3. Boon LM, Brouillard P, Irrthum A, Karttunen L, Warman ML, Rudolph R, Mulliken JB, Olsen BR, Vikkula M. A gene for inherited cutaneous venous anomalies ("glomangiomas") localizes to chromosome 1p21-22. Am J Hum Genet 1999;65(1):125-133.
4. Brouillard P, Boon LM, Mulliken JB, Enjolras O, Ghassiba M, Warman ML, Tan OT, Olsen BR, Vikkula M. Mutations in a novel factor, glomulin, are responsible for glomuvenous malformations ("glomangiomas"). Am J Hum Genet 2002;70(4):866-874.
5. Calduch L, Monteagudo C, Martínez-Ruiz E, Ramón D, Pinazo I, Cardá C, Jordá E. Familial generalized multiple glomangiomyoma: report of a new family, with immunohistochemical and ultrastructural studies and review of the literature. Pediatr Dermatol 2002;19(5):402-408.
6. Chou HP, Tiu CM, Chen JD, Chou YH. Glomus tumor in the stomach. Abdom Imaging 2010;35(4):390-392.
7. Barnes L, Estes SA. Laser treatment of hereditary multiple glomus tumors. J Dermatol Surg Oncol 1986;12(9):912-915.
8. Gould EP. Sclerotherapy for multiple glomangiomata. J Dermatol Surg Oncol 1991;17(4):351-352.
9. Siegle RJ, Spencer DM, Davis LS. Hypertonic saline destruction of multiple glomus tumors. J Dermatol Surg Oncol 1994;20(5):347-348.


Author(s):
dr. Jan R. Mekkes. Dermatologist, Amsterdam UMC.

31-05-2023 (JRM) - www.skin-diseases.eu Terug naar homepagina



Diagnosis codes:
ICD10 D18.0 Hemangioom, elke lokalisatie: glomustumor
ICD10 D18.0 Haemangioma, any site: glomus tumor
SNOMED 254795008 Glomus tumor of skin
DBC 25 spacer Vasculaire dermatosen

ICD10 D18.0 Hemangioom, elke lokalisatie: glomustumor nagelbed
ICD10 D18.0 Haemangioma, any site: subungual glomus tumor
SNOMED 403973004 Subungual glomus tumor
DBC 25 spacer Vasculaire dermatosen

ICD10 D18.0 Hemangioom, elke lokalisatie: glomustumor, familiaal
ICD10 D18.0 Haemangioma, any site: glomus tumor, familial
SNOMED 403972009 Familial glomus tumour of skin
DBC 25 spacer Vasculaire dermatosen

ICD10 D18.0 Hemangioom, elke lokalisatie: glomangioma
ICD10 D18.0 Haemangioma, any site: glomangioma
SNOMED 403970001 Glomangioma of skin
DBC 25 spacer Vasculaire dermatosen

ICD10 D18.0 Hemangioom, elke lokalisatie: glomangiomyoma
ICD10 D18.0 Haemangioma, any site: glomangiomyoma
SNOMED 403971002 Glomangiomyoma of skin
DBC 25 spacer Vasculaire dermatosen

ICD10 Q27.8 Congenitale misvorming van perifeer vaatstelsel, overige: glomuveneuze malformatie
ICD10 Q27.8 Other specified congenital malformations of peripheral vascular system: glomuvenous malformation
SNOMED 715644000 Glomuvenous malformation
DBC 25 spacer Vasculaire dermatosen