Maffucci syndroom is een zeer zeldzame en niet erfelijke
aandoening, waarbij naast multiple
enchondromen (benigne
chondroïde laesies) ook
hemangiomen ontstaan. Deze
pijnloze hemangiomen kunnen zowel in de huid als in weke delen of visceraal
ontstaan, met een grote variatie in grootte en locatie. Er bestaan ook
zeldzame varianten met lymfangiomen, of lymfangiomen in combinatie met
hemangiomen, of spindle-cell hemangioendotheliomas. De vasculaire en/of
lymfatische tumoren kunnen heel groot worden en vitale organen verdringen.
Soms zelfs met fatale afloop. De enchondromen kunnen
ossale malformaties en fracturen veroorzaken en zijn vaak asymmetrisch verdeeld
over het lichaam, in zowel de grote ossale structuren (femur, tibia, pelvis)
als in de kleine ossale structuren (handen en voeten). Indien er uitsluitend
sprake is van enchondromen, zonder aanwezigheid van hemangiomen, dan noemt men
dit de
ziekte van Ollier.
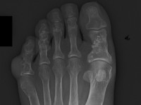
![Mafucci syndroom (click on photo to enlarge) [source: Miki Tanioka - www.intechopen.com - Creative Commons License 3.0] Mafucci syndroom](../../../images/mafucci-syndroom-1z.jpg) |
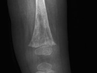
![Mafucci syndroom (click on photo to enlarge) [source: Miki Tanioka - www.intechopen.com - Creative Commons License 3.0] Mafucci syndroom](../../../images/mafucci-syndroom-2z.jpg) |
| Maffucci
syndroom |
Maffucci
syndroom |
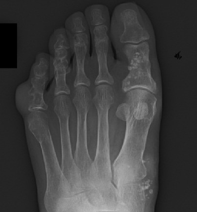
![Mafucci syndroom (click on photo to enlarge) [source: www.huidziekten.nl] Mafucci syndroom](../../../images/mafucci-syndroom-3z.jpg) |
![Mafucci syndroom (click on photo to enlarge) [source: Miki Tanioka - www.intechopen.com - Creative Commons License 3.0] Mafucci syndroom](../../../images/mafucci-syndroom-4z.jpg) |
| Maffucci
syndroom |
Maffucci
syndroom |
Foto's: Miki Tanioka - Mafucci syndrome -
www.intechopen.com (Creative Commons License
3.0).
De diagnose wordt meestal voor het 20ste levensjaar gesteld. De pathofysiologie
van deze ziekte is nog onduidelijk. Mogelijk spelen meerdere gen mutaties een
rol. Het is ook geassocieerd met diverse maligniteiten, waaronder pancreas-
en lever-adenocarcinomen, ovarium tumoren, sarcomen en hersentumoren alsmede
enkele endocriene ziektes. Tevens is er een kans op maligne ontaarding van de
laesies, de enchondromen kunnen zich ontwikkelen tot een chondrosarcoom en de
hemangiomen tot een hemangiosarcoom. Deze kans op maligne ontaarding van enchondromen
is circa 14% indien alleen de handen en voeten zijn aangedaan, indien de grote
ossale structuren zijn aangedaan is deze kans hoger (44-55%).
DD: Ziekte van Ollier,
blue rubber bleb nevus syndrome,
vasculaire malformaties, sarcomen. Zie
ook onder de
dd van
vast of hard aanvoelende tumoren uitgaande van het bot van de hand.
PA: Hemangiomen: de histologie laat vaak een spindle cell
hemangioom zien bestaande uit holle vasculaire ruimtes met georganiseerde trombi.
Diagnostiek:Hemangiomen:
Excisie met PA:
Bij klinische groei van een massa of het ontstaan van pijn van een bestaande
of nieuwe laesie.
Ossale structuren:
Röntgenfoto: Bepalen
van uitgangspositie en de aangedane ossale structuren in kaart te brengen. Daarna
periodiek om ontwikkelingen van laesies te vervolgen en tijdig maligne veranderingen
te ontdekken, met name van de grote ossale structuren. Gadolinium (Gd) magnetic
resonance imaging (MRI) scan: Voor aanvullende diagnostiek en typering van de
laesies. Excisie met PA: Bij klinische of radiologische groei van een massa
of het ontstaan van pijn van een bestaande of nieuwe laesie. Histologie is nodig
voor differentiatie tussen enchondromen en chondrosarcomen, alsmede om de gradering
te kunnen bepalen van het chondrosarcoom.
Therapie:
Er is geen curatieve behandeling, de therapie is gericht op symptomatische verlichting
van de klachten en het blijven vervolgen van de patiënt in het kader van potentiele
maligne ontaarding. Het vervolgen en de behandeling van ossale afwijkingen liggen
op het terrein van de orthopedisch chirurg.
Referenties
| 1. |
Verdegaal SH, et al. Incidence, predictive
factors, and prognosis of chondrosarcoma in patients with Ollier
disease and Maffucci syndrome: an international multicenter study
of 161 patients. Oncologist 2011;16:1771-1779. |
| 2. |
Tricò D, Battaglia E, Bernini G. Maffucci
Syndrome Associated With Adrenocorticotropic Hormone-Independent
Bilateral Macronodular Adrenal Hyperplasia. J Endocr Soc 2017;1:51-56. |
| 3. |
Ngai C, Ding DY, Rapp TB. Maffucci Syndrome.
An Interesting Case and a Review of the Literature. Bull Hosp Jt
Dis 2015;73:282-285. |
| 4. |
Auyeung J, Mohanty K, Tayton K. Maffucci
lymphangioma syndrome: an unusual variant of Ollier's disease, a
case report and a review of the literature. J Pediatr Orthop B
2003;12(2):147-150. |
| 5. |
Bertucci V, Krafchik BR. What syndrome is
this? Ollier disease + vascular lesions: Maffucci syndrome.
Pediatr Dermatol 1995;12(1):55-58. |
| 6. |
Colonna G, Ascencio G, Meunier L, Guillot B. Lymphangioma in a patient with Maffuci syndrome of the lower legs. J Mal Vasc 2002;27(3):174-176.
.
|
| 7. |
Fanburg JC, Meis-Kindblom JM, Rosenberg
AE. Multiple enchondromas associated with spindle-cell
hemangioendotheliomas. An overlooked variant of Maffucci's
syndrome. Am J Surg Pathol 1995;19(9):1029-1038. |
| 8. |
Pellegrini AE, Drake RD, Qualman SJ.
Spindle cell hemangioendothelioma: a neoplasm associated with
Maffucci's syndrome. J Cutan Pathol 1995;22(2):173-176. |
| 9. |
Suringa DWR, Ackerman AB. Cutaneous
lymphangiomas with dyschondroplasia (Maffucci's syndrome). Arch
Derm 1970;101:472-474. |
| 10 |
Yanez S, Val-Bernal JF, Mira C, Echevarria MA, Gonzalez-Vela MC, Arce F. Spindle cell hemangioendotheliomas associated with multiple skeletal enchondromas: a variant of Maffucci's syndrome. Gen Diagn Pathol 1998;143:331-335. |
Author(s):Sebastiaan Pronk. Coassistent, Maastricht
UMC+, Maastricht.