Tufted angioma is een zeldzaam angioma (angioblastoma),
ontstaat meestal op de kinderleeftijd (25% in het eerste jaar, 60-70% voor het
5e jaar). Maar het kan ook pas op volwassen leeftijd ontstaan. Goedaardig, kan wel klachten veroorzaken zoals pijn of gevoeligheid,
lokale hyperhidrosis (30%), en als ze zeer groot zijn het
Kasabach-Merritt syndroom (platelet-trapping
syndrome).
Klinisch beeld:Paarsrode plaque, meestal
solitair, soms multipel, rond tot polycyclisch. Meestal op het bovenlichaam,
nek, schouders, soms gelaat en proximale extremiteiten. Zelden op mucosa of
voeten. De randen kunnen geïndureerd of hobbelig (multipele noduli) aanvoelen.
Bij palpatie voelt het rubberachtig aan, soms
pijn bij aanraken. De plaques worden
geleidelijk groter in 5 maanden tot 10 jaar, soms gaan ze gedeeltelijk in regressie.
DD: naevus flammeus,
Kaposi sarcoom,
Kaposiform hemangioendothelioma,
angiosarcoma, capillair angioom,
angioendothelioma,
hemangiopericytoma,
lymphangioma circumscriptum,
granuloma pyogenicum.
Onderzoek:Biopt, MRI bij zeer grote laesies, bloedonderzoek
(bloedplaatjes, PT, APTT, verder stollingsonderzoek).
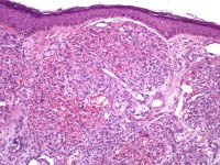
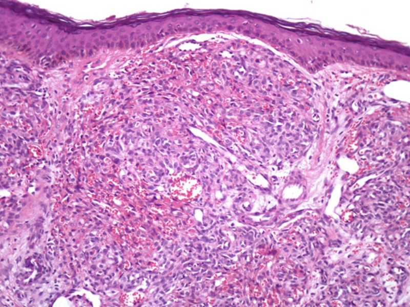
PA:
In de dermis multipele capillairen. Deze liggen gerangschikt in lobuli bestaande
uit clusters (tuft = bundel, bosje, plukje) dichtopeengepakte celrijke capillairen.
De endotheelcellen zijn hypertrofisch, er zijn veel mitosen, maar geen kenmerken
van atypie. De capillaire lumina zijn nauw; hemosiderine pigment kan voorkomen.
![Tufted angioma (click on photo to enlarge) [source: www.derm101.com] Tufted angioma](../../../images/tufted-angioma-5z.jpg) |
| tufted
angioma |
PA-foto: www.derm101.com.
Therapie:

Radicale
excisie is soms mogelijk bij kleinere laesies.

Pulsed dye
laser.
Cryochirurgie, bestraling, elektrocoagulatie.
R/ lokale corticosteroïden
zouden episoden met pijn kunnen dempen.
R/ NSAID's bij pijn.
R/ bij Kasabach-Merritt
syndroom aspirine en/of Plavix (clopidogrel), prednison of chemotherapie met
vincristine.
R/ systemische corticosteroïden (prednisolon 20-40 mg), interferon
alpha.
Referenties
| 1. |
Jones EW, Orkin M. Tufted angioma (angioblastoma).
A benign progressive angioma, not to be confused with Kaposi's sarcoma
or low-grade angiosarcoma. J Am Acad Dermatol 1989;20:214-225. |
| 2. |
Leaute-Labreze C, Bioulac-Sage P, Labbe L,
Meraud JP, Taieb A. Tufted angioma associated with platelet trapping
syndrome: response to aspirin. Arch Dermatol 1997;133:1077-1079. |
Author(s):dr. Jan R. Mekkes. Dermatologist, Amsterdam UMC.