Een
verruceus hemangioom (
verrucous venous
malformation) is een zeldzame congenitale vasculaire
malformatie, met een hyperkeratotisch of papillomateus
oppervlak. Het is gebruikelijk om vasculaire laesies in te delen in
vaattumoren (vascular neoplasms) of
vasculaire
malformaties. Het verruceus hemangioom is moeilijk in te delen,
klinisch lijkt het op een vasculaire malformatie, maar de histologie past beter
bij een vasculaire tumor (WT1 en Glut-1 positief). In de nieuwe indeling van
vasculaire malformaties wordt het verruceus hemangioom
echter ingedeeld onder de
veneuze malformaties. De
voorkeursterm is verruceuze veneuze malformate. Vaak op basis van MAP3K3
mutatie.
Klinisch
beeld:De laesies zijn aanwezig vanaf de geboorte of ontstaan in
de eerste levensmaanden. Ze zitten meestal aan de onderbenen, unilateraal, maar
kunnen ook op andere locaties ontstaan zoals de romp, armen, of op het hoofd.
Ze beginnen als blauwe maculae, later paars-rode maculae en plaques. Pas later,
vaak na trauma of infectie ontstaat het verruceuze oppervlak. De grootte kan
variëren van 4 mm tot meer dan 8 cm. Ze nemen langzaam toe in grootte. Anders
dan hemangioma of infancy gaan ze niet vanzelf weer in regressie. Klinisch en
histologisch lijkt het erg op een
angiokeratoom. Het
enige verschil is dat de vaatruimten in een verruceus hemangioom dieper reiken,
in de diepe dermis en subcutis. De diagnose wordt meestal pas gesteld na histologisch
onderzoek.
![Verruceus hemangioom (click on photo to enlarge) [source: www.huidziekten.nl] Verruceus hemangioom](../../../images/verruceus-hemangioom-1z.jpg) |
![Verruceus hemangioom (click on photo to enlarge) [source: www.huidziekten.nl] Verruceus hemangioom](../../../images/verruceus-hemangioom-2z.jpg) |
| verruceus
hemangioom |
verruceus
hemangioom |
DD: angiokeratoma (
angiokeratoma
corporis circumscriptum naeviformis),
lymphangioma circumscriptum,
hemangioma
of infancy,
acquired capillary
hemangioma.
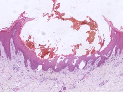
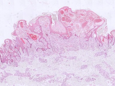
PA:Afwijkende clusters van
misvormde venule-achtige vaten
in de diepe dermis en subcutis, in combinatie met reactieve epidermale acanthose,
papillomatose, en hyperkeratose. Positief voor GLUT-1 (glucose transporter type-1)
en WT1 (Wilms tumor-1). GLUT-1 wordt vaak gezien in vasculaire tumoren.
![Histologie verruceus hemangioom (click on photo to enlarge) [source: Kevin Kwee / Afdeling Pathologie MUMC] Histologie verruceus hemangioom](../../../pacoupes/thumbnails/verruceus-hemangioom-1.jpg) |
![Histologie verruceus hemangioom (click on photo to enlarge) [source: Kevin Kwee / Afdeling Pathologie MUMC] Histologie verruceus hemangioom](../../../pacoupes/thumbnails/verruceus-hemangioom-2.jpg) |
|
ingescande coupe (zoom) |
ingescande coupe (zoom) |
Bron
hoge resolutie PA-foto's: Kevin Kwee en Afdeling Pathologie MUMC. Klik
op de afbeelding om in te zoomen.
Therapie:

Excisie in
een vroege fase.

Laser.

Elektrocoagulatie.

Cryotherapie.

Scleroseren.
Referenties
| 1. |
Imperial R, Helwig EB. Verrucous hemangioma.
A clinicopathologic study of 21 cases. Arch Dermatol 1967;96(3):247-243. |
| 2. |
Calduch L, Ortega C, Navarro V, Martínez
E, Molina I, Jordá E. Verrucous hemangioma: report of two cases
and review of the literature. Pediatr Dermatol 2000;17(3):213-217. |
| 3. |
Mestre T, Amaro C, Freitas I. Verrucous haemangioma:
a diagnosis to consider. BMJ Case Rep 2014;2014:bcr2014204612. |
Author(s):dr. Jan R. Mekkes. Dermatologist, Amsterdam UMC.