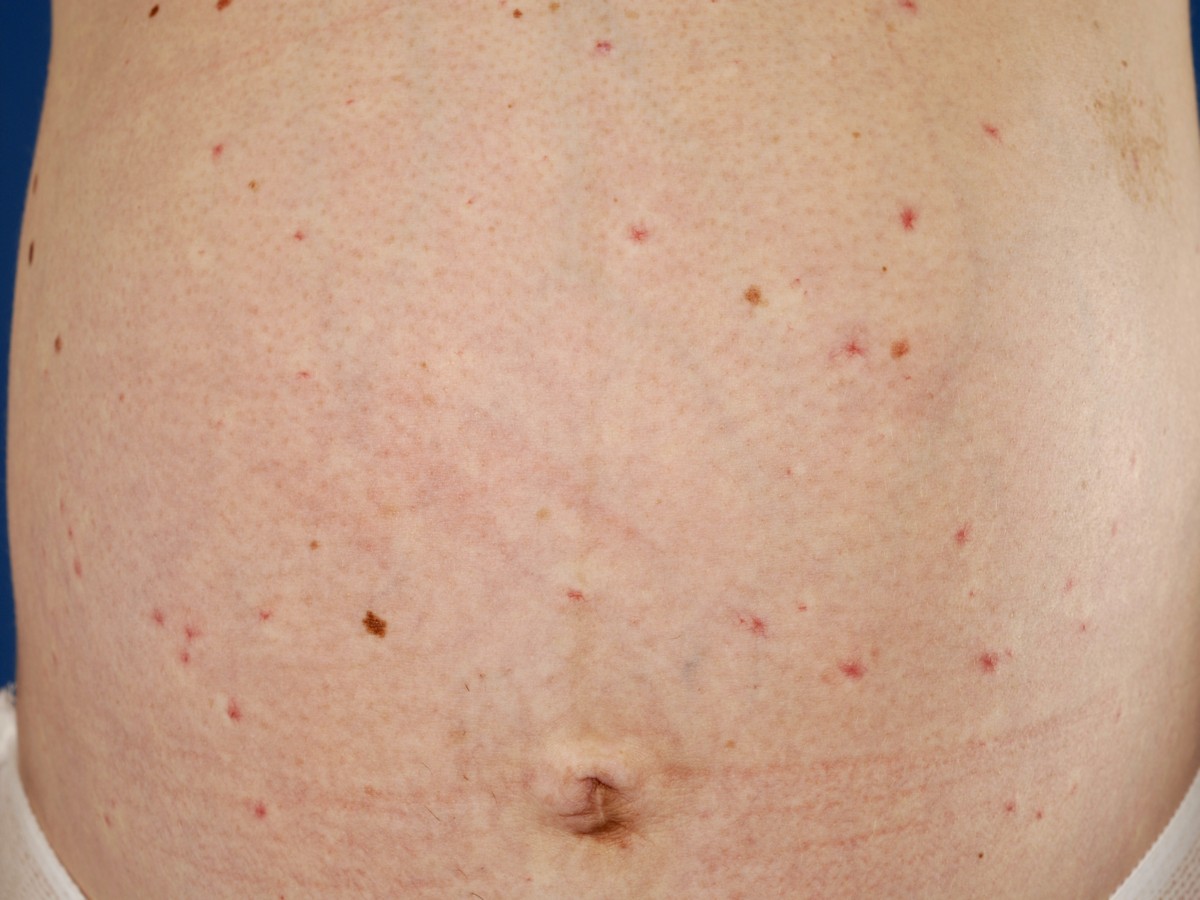
Essentiële teleangiëctasieën (essential telangiectasia,
primary telangiectases) zijn capillaire teleangiëctasieën, kleine (diameter <
0.2 mm) gedilateerde capillairen, zichtbaar als kleine rode of roze macula.
Essentieel, d.w.z. geen oorzaak bekend, en per definitie niet geassocieerd met
onderliggende interne aandoeningen of medicatie. Moet worden onderscheiden van
besenreiser (veneuze teleangiëctasieën, blauwig, > 0.2 mm). Begint vaak aan
de onderbenen maar kan gegeneraliseerd voorkomen (
generalized essential
telangiectasia). Begint meestal voor het 40e levensjaar, vaker
bij vrouwen dan bij mannen, en vaker bij blanken (of beter zichtbaar bij blanken).
Beperkt tot de huid. De oorzaak van gegeneraliseerde teleangiëctasieën is onbekend.
Het kan familiair voorkomen. Er is recent een subvorm ontdekt waarbij een specifiek
histologisch kenmerk wordt gevonden, een verdikte vaatwand door depositie van
collageen type IV. Dit wordt
cutaneous collagenous
vasculopathy (CCV) genoemd. Omdat het verschil alleen histologisch te maken
is, kan het zijn dat een groot deel van de patiënten met essentiële teleangiëctasieën
eigenlijk CCV heeft.
![Essentiële teleangiëctasieën (click on photo to enlarge) [source: www.huidziekten.nl] Essentiële teleangiëctasieën](../../../images/teleangiectasieen-1z.jpg) |
![Essentiële teleangiëctasieën (click on photo to enlarge) [source: www.huidziekten.nl] Essentiële teleangiëctasieën](../../../images/teleangiectasieen-2z.jpg) |
![Cutaneous collagenous vasculopathy (click on photo to enlarge) [source: www.huidziekten.nl] Cutaneous collagenous vasculopathy](../../../images/collagenase-vasculopathie-1z.jpg) |
| essentiële
teleangiëctasieën |
essentiële
teleangiëctasieën |
CCV |
![Essentiële teleangiëctasieën (click on photo to enlarge) [source: www.huidziekten.nl] Essentiële teleangiëctasieën](../../../images/essentiele-teleangiectasieen-1z.jpg) |
![Essentiële teleangiëctasieën (click on photo to enlarge) [source: www.huidziekten.nl] Essentiële teleangiëctasieën](../../../images/essentiele-teleangiectasieen-2z.jpg) |
![Essentiële teleangiëctasieën (click on photo to enlarge) [source: www.huidziekten.nl] Essentiële teleangiëctasieën](../../../images/essentiele-teleangiectasieen-3z.jpg) |
| essentiële
teleangiëctasieën |
essentiële
teleangiëctasieën |
essentiële
teleangiëctasieën |
Klinisch beeld:Macula opgebouwd uit multipele zeer
fijne rode-roze teleangiëctasieën. Meestal aan de distale extremiteiten, maar
kan ook op de romp zitten. Veroorzaakt vrijwel geen klachten (zeer zelden tintelingen,
doof gevoel, minibloeding na trauma), alleen cosmetisch bezwaarlijk. Meestal
is het langzaam progressief. Uiteindelijk kan het overgaan in een diffuus erytheem
waarin geen afzonderlijke capillairen meer te onderscheiden zijn. Volledig wegdrukbaar
onder diascopie, vult zich weer heel snel, als een spider nevus. Niet verheven
boven niveau van de huid zoals bij besenreiser wel het geval kan zijn. Geen
relatie met veneuze insufficiëntie. Zonne-expositie kan een luxerende factor
zijn.
DD:
cutaneous collagenous
vasculopathy, secundaire teleangiëctasieën (in de zwangerschap, bij leverziekten,
bij alcoholmisbruik, t.g.v. systemische corticosteroïden, etc.), besenreiser,
teleangiectatic matting,
spider
nevus,
angiokeratoma
corporis diffusum (syndroom van Fabry),
Rendu-Osler-Weber syndroom,
angioma serpiginosum, ataxia-telangiectasia,
angiomen,
naevus flammeus,
teleangiectasia macularis
eruptiva perstans,
unilateral nevoid
teleangiectasia syndrome (UNTS), zie verder onder
teleangiëctasieën.
![Essentiële teleangiëctasieën (click on photo to enlarge) [source: www.huidziekten.nl] Essentiële teleangiëctasieën](../../../images/teleangiectasieen-3z.jpg) |
![Essentiële teleangiëctasieën (click on photo to enlarge) [source: www.huidziekten.nl] Essentiële teleangiëctasieën](../../../images/teleangiectasieen-5z.jpg) |
![Essentiële teleangiëctasieën (click on photo to enlarge) [source: www.huidziekten.nl] Essentiële teleangiëctasieën](../../../images/teleangiectasieen-1z.jpg) |
teleangiëctasieën
bij levercirrose |
corticosteroïd
teleangiëctasieën |
corticosteroïd
teleangiëctasieën |
Therapie:Moeilijk te behandelen. Scleroseren werkt
niet goed: het kaliber is te klein om aan te prikken, er kunnen averechtse effecten
zijn zoals teleangiectatic matting (talloze nog kleinere teleangiëctasieën ontstaan
in het ingespoten gebied). Eventueel milde laserbehandeling van storende gebieden
met pulsed dye laser (585 nm), Nd:YAG (532 nm) of Nd:YAG (1064 nm), of met intense
pulsed light (IPL). Camouflage make-up is een optie voor storende gebieden.
R/ tetracycline 3 dd 500 mg zou werken volgens 1 case report (Shelley 1971,
niet bevestigd door andere bronnen).
Referenties
| 1. |
Blume JE. Generalized essential telangiectasia:
a case report and review of the literature. Cutis 2005;75(4):223-224. |
| 2. |
Wells RS, Dowling GB. Hereditary benign telangiectasia.
Br J Dermatol 1971;84(1):93-94. |
| 3. |
Shelley WB. Essential progressive telangiectasia.
Successful treatment with tetracycline. JAMA 1971;216(8):1343-1444. |
| 4. |
Buscaglia DA, Conte ET. Successful treatment
of generalized essential telangiectasia with the 585-nm flashlamp-pumped
pulsed dye laser. Cutis 2001;67(2):107-108. |
| 5. |
Gambichler T, Avermaete A, Wilmert M, Altmeyer
P, Hoffmann K. Generalized essential telangiectasia successfully
treated with high-energy, long-pulse, frequency-doubled Nd:YAG laser.
Dermatol Surg 2001;27(4):355-357. |
| 6. |
Wenzel SM, Hohenleutner U, Landthaler M.
Progressive disseminated essential telangiectasia and erythrosis
interfollicularis colli as examples for successful treatment with
a high-intensity flashlamp. Dermatology 2008;217(3):286-290. |
| 7. |
Salama SS, Rosenthal D. Cutaneous collagenous
vasculopathy with generalized telangiectasia: an immunohistochemical
and ultrastructural study. J Cutan Pathol 2000;27:40-48. |
Author(s):dr. Jan R. Mekkes. Dermatologist, Amsterdam UMC.