Een hemangioom is een benigne proliferatie van endotheliale cellen, die een
vasculaire plaque of tumor vormen met een afwijkende vasculaire architectuur.
Infantiele hemangiomen zijn de meest voorkomende tumoren
op de kinderleeftijd (incidentie 5-10%). Circa de helft is gelokaliseerd in
het hoofd-halsgebied. Infantiele hemangiomen worden gekarakteriseerd door een
snelle groei in de eerste levensweken/maanden, gevolgd door langzame involutie,
vaak leidend tot volledige regressie na jaren. De pathogenese is nog niet volledig
duidelijk. Hemangiomen zijn vaak afwezig of nog klein bij de geboorte en groeien
snel de eerste maanden. Microscopisch wordt er een proliferatie gezien van plompe
endotheelcellen. Daarentegen zijn
vasculaire malformaties aanwezig bij de geboorte,
groeien in proportie met het kind mee en histologisch worden er vlakke endotheelcellen
gezien. Hemangiomen kunnen ook op oudere leeftijd ontstaan, bij volwassenen
(
angioma senilis,
verkregen hemangiomen). Infantiele hemangiomen
zijn meestal onschuldig en verdwijnen vanzelf weer, maar bij 5-10% van de kinderen
veroorzaken ze problemen en moeten behandeld worden om korte- en langetermijnschade
te voorkomen.
Epidemiologie:Infantiele hemangiomen worden gezien
bij 1.1%-2.6% van de neonaten (def: tot 30 dagen oud) en bij 5-10% van de zuigelingen
(def: tot 1 jaar oud). Het komt minder vaak voor bij Afrikanen en Aziaten. Vaker
bij vrouwen dan bij mannen (3:1) en het komt meer voor bij prematuren en lichter
geboorte gewicht. Voor elke 500 g afname in geboortegewicht stijgt het relatieve
risico met 25-40%. Andere risicofactoren zijn: meerlingzwangerschap, transcervicale
vlokkentest, hoge maternale leeftijd, stuitligging, 1e kind, in vitro fertilisatie,
preeclampsie en placenta-afwijkingen. Een eerstegraads familielid met een IH
verdubbelt de kans op IH. Meestal zijn IH niet erfelijk maar er zijn wel families
waarin het vaker voorkomt en dan lijkt het autosomaal dominant te overerven.
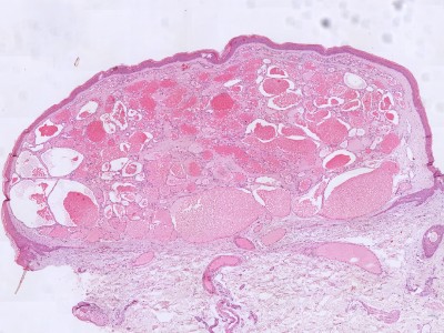
Pathologie: plompe snel delende endotheelcellen met en
zonder lumen. De endotheelcellen zijn GLUT-1 positief. Bij involutie wordt het
vaatlumen wijder en door meer fibreus weefsel ontstaat er een lobulaire structuur.
Volledig geïnvolueerde IH hebben weinig capillairachtige vaten.
Pathogenese:GLUT1, een glucose transporteiwit, dat normaal
voorkomt in de hersenen, retina, placenta en endoneurium maar niet in normale
huid, wordt gezien als specifieke marker van IH. Deze ontdekking samen met de
structurele anomalieën suggereren dat IH ontstaat door een ontwikkelingsstoornis
in het eerste trimester van de zwangerschap (ws 6-10 wkn). De snelle groei postnataal
kan worden verklaard door het verlies van angiogenese inhibitoren van placenta
of van moeder. Een andere verklaring is mogelijk een mutatie van een gen dat
de vasculaire ontwikkeling controleert en reguleert. Met DNA-microarrays zijn
veranderingen in genexpressie vervolgd tijdens de proliferatiefase en involutiefase,
opvallend was de verhoogde expressie van insuline-like GF 2 tijdens de proliferatiefase.
Klinisch beeld:het klinisch beeld varieert: laesies
in de oppervlakkige dermis zijn verheven, gelobd en felrood (
superficiële
hemangiomen,
strawberry hemangioma,
hemangioma fructuosum). Diepe hemangioma bevinden
zich in de reticulaire dermis of subcutis en verschijnen als een zachte massa,
vaak blauwig van kleur, de overliggende epidermis is niet afwijkend (
caverneuze
hemangiomen,
hemangioma cavernosum).
Vaak is er sprake van een combinatie van zowel oppervlakkige als diepe lokalisatie.
Naast oppervlakkige, dieper gelegen en gemengde hemangiomen worden ook onderscheiden
focaal,
multifocaal en
segmentaal.
![Haemangioma fructuosum, strawberry hemangioma (click on photo to enlarge) [source: www.huidziekten.nl] Haemangioma fructuosum, strawberry hemangioma](../../../images/haemangioma-fructuosum-1z.jpg) |
![Haemangioma fructuosum, strawberry hemangioma (click on photo to enlarge) [source: www.huidziekten.nl] Haemangioma fructuosum, strawberry hemangioma](../../../images/haemangioma-fructuosum-2z.jpg) |
![Haemangioma fructuosum, strawberry hemangioma (click on photo to enlarge) [source: www.huidziekten.nl] Haemangioma fructuosum, strawberry hemangioma](../../../images/haemangioma-fructuosum-3z.jpg) |
| hemangioma
fructuosum |
hemangioma
fructuosum |
hemangioma
fructuosum |
![Haemangioma cavernosum (click on photo to enlarge) [source: www.huidziekten.nl] Haemangioma cavernosum](../../../images/haemangioma-cavernosum-1z.jpg) |
![Haemangioma fructuosum et cavernosum (click on photo to enlarge) [source: www.huidziekten.nl] Haemangioma fructuosum et cavernosum](../../../images/haemangioma-fructuosum-et-cavernosum-1z.jpg) |
![Haemangioma fructuosum, strawberry hemangioma (click on photo to enlarge) [source: www.huidziekten.nl] Haemangioma fructuosum, strawberry hemangioma](../../../images/haemangioma-fructuosum-4z.jpg) |
| hemangioma
cavernosum |
hemangioma
gecombineerd |
hemangioma
na regressie |
![Hemangioom (click on photo to enlarge) [source: www.huidziekten.nl] Hemangioom](../../../images/hemangioma-1z.jpg) |
![Diffuse neonatal hemangiomatosis (click on photo to enlarge) [source: www.huidziekten.nl] Diffuse neonatal hemangiomatosis](../../../images/neonatal-hemangiomatosis-3z.jpg) |
![Segmentaal hemangioom (click on photo to enlarge) [source: www.huidziekten.nl] Segmentaal hemangioom](../../../images/segmentaal-hemangioom-1z.jpg) |
| focaal
(solitair) |
multifocaal |
segmentaal |
![Ulcererend hemangioma (click on photo to enlarge) [source: www.huidziekten.nl] Ulcererend hemangioma](../../../images/ulcererend-hemangioom-1z.jpg) |
![Ulcererend hemangioma (click on photo to enlarge) [source: www.huidziekten.nl] Ulcererend hemangioma](../../../images/ulcererend-hemangioom-2z.jpg) |
![Ulcererend hemangioma (click on photo to enlarge) [source: www.huidziekten.nl] Ulcererend hemangioma](../../../images/ulcererend-hemangioom-3z.jpg) |
| ulcererend
hemangioma |
ulcererend
hemangioma |
ulcererend
hemangioma |
De voorkeurslocaties zijn het hoofd en de nekregio (60%), daarna de
romp (25%) en extremiteiten (15%). Het natuurlijke beloop van groei en regressie
van IH werd voor het eerst beschreven door Lister in 1938. De mate van groei
is verdeeld in fasen: nascent, proliferend, involuerend, geïnvolueerd. Bij ongeveer
50% van de neonaten worden precursor laesies (nascente laesies) waargenomen
bij de geboorte (bleke, erythemateuze of teleangiëctatische maculae). De meeste
IH beginnen te groeien tijdens de eerste of tweede levensweek, maar niet later
dan de leeftijd van 12 weken. De diepere IH kunnen pas opvallen na maanden.
De meeste groei vindt vóór de leeftijd van 12 weken plaats; de groeisnelheid
daalt daarna en de groei komt tot stilstand meestal tussen de leeftijd van 4
en 9 maanden. Vlakke, segmentale IH en grote focale IH (voornamelijk diepe en
met name in het parotis gebied gelegen IH) kunnen een verlengde groeifase vertonen
tot in het 2e of 3e levensjaar. IH ondergaan spontane involutie tussen het 2e
en 6e (soms tot het 10e) levensjaar. Soms zonder een spoor achter te laten,
maar een significant aantal laat een huidverandering achter, waaronder: atrofie,
teleangiëctastieën, huidsurplus, fibro-fatty tissue, pigmentatieveranderingen,
alopecia, en littekens (na ulceratie). De superficiële hemangiomen involueren
met een kleurverandering van felrood naar donkerrood naar grijs. Het proces
begint centraal en verspreidt zich naar perifeer. Involutie aan het oppervlak
en proliferatie in de diepte kunnen tegelijkertijd optreden. Soms ontstaan complicaties
zoals ulceratie, functiebeperking (soms levensbedreigend) en (dreigende of feitelijke)
deformatie. Hemangiomen kunnen ook in interne organen zitten, vooral de lever.
Plaque-like segmentale IH zijn meer geassocieerd met complicaties, structurele
anomalieën en extracutane IH.
Ulceratie
Ulceratie is de meest voorkomende complicatie (ongeveer 10% van alle IH), en
wordt vooral gezien bij IH op de onderlip, de hals, de anogenitale regio en
bij grote, segmentale, oppervlakkige (plakkaatvormige) IH; bij een mediane leeftijd
van 4 maanden.
FunctiebeperkingPeri-oculaire
en/of intra-orbitale IH kunnen de visus bedreigen en de oorzaak zijn van amblyopie,
astigmatisme of strabisme. Vooral bij IH > 1 cm, aan de neuskant van het
oog, bij IH die de oogbol verplaatsen, of ptosis veroorzaken of IH op de ooglidrand.
Bij deze locaties altijd naar de oogarts verwijzen.
IH bij de neus kunnen
de ademweg bedreigen. Luchtwegbetrokkenheid van subglottische IH, vaak geassocieerd
met cutane (segmentale) IH in het baardgebied, kunnen luchtwegobstructie veroorzaken.
De presentatie is meestal bij kinderen van 6-12 weken oud die komen met kroepachtige
hoest en stridor. Kan solitair voorkomen of in combinatie met cutane hemangiomen.
Bij IH preauriculair, op de kin, op de onderlip, en in de hals is bij 63% sprake
van luchtwegklachten en bij 40% is een tracheostomie nodig. Dus kinderen van
3-4 mnd oud met benauwdheid moeten onderzocht worden met een laryngoscoop.
Lip IH of peri-orale IH kunnen van invloed zijn op de inname van voeding, al
dan niet door ulceratie. Volumineuze IH in de nek kunnen invloed hebben op de
nekmobiliteit.
DeformatieGrote hemangiomen
centraal in het gelaat, op de neus, lippen, het voorhoofd, de wangen en de oren
kunnen misvormingen achterlaten. Hemangiomen op neus, lip en in het parotisgebied
gaan vaak traag en onvolledig in regressie. Bij circa de helft van de kinderen
kunnen cosmetisch storende restverschijnselen overblijven.
| Locatie en morfologie van IH en geassocieerde
risico’s: |
Anatomie, locatie, morfologie
 |
Geassocieerd risico
 |
| Groot, segmentaal, faciaal |
PHACE syndroom |
| Neuspunt, oor, groot faciaal |
Permanent litteken en misvorming |
| Periorbitaal en retrobulbair |
Oculaire as occlusie, astigmatisme, amblyopie, traanbuisocclusie,
strabismus, myopie, ptosis |
| Segmentaal baardstreek en centraal in de hals |
Luchtweg hemangioom |
| Perioraal, lippen |
Ulceratie, misvorming |
| Lumbosacraal |
Urogenitale anomalieen, dysrafie (congenitale onderbreking
wervelkolom) |
| Perineum, axilla, nek, perioraal |
Ulceratie |
Multipele hemangiomen (5 of meer) (hemangiomatosis) |
Viscerale betrokkenheid (lever, GI) met hoog risico op congestive
hartfalen |
PHACES syndroom PHACES staat voor Posterior
fossa malformatie, Hemangiomen, Arteriële vaatafwijkingen, Cardiale afwijkingen,
Eye en Sternum afwijkingen. Kinderen met een segmentaal hemangioom in het gelaat
(en ook op andere lokaties) of een hemangioom groter dan 5 cm moeten worden
doorverwezen naar de kinderneuroloog voor het maken van een MRI. De diagnose
PHACES syndroom wordt gesteld bij aanwezigheid van een segmentaal hemangioom,
of een hemangioom groter dan 5 cm in combinatie met een major of 2 minor criterium
(zie verder onder
PHACES syndroom).
LUMBAR syndroom (PELVIS syndroom, SACRAL syndroom)
LUMBAR staat voor Lower body IH en andere cutane defecten, Urogenitale anomalieën
/ Ulceratie, Myelopathy, Bot-deformiteiten, Anorectale malformaties/ Arteriële
anomalieën en Renale afwijkingen en spinaal dysraphisme. Lumbo-sacrale of perineale
hemangiomen in de midline kunnen geassocieerd zijn met urogenitale, anorectale
en vasculaire anomalieën, maar ook spinale defecten zoals tethered cord, spinaal
dysraphisme en lipomeningocele. Bij kinderen met een segmentaal IH > 2.5
cm in het lumbo-sacrale, genitale of peri-anale gebied is verder onderzoek noodzakelijk
(echo of MRI).
HemangiomatosisKinderen
met 10 of meer (tot 2021 werd 5 of meer aangehouden) hemangiomen (
hemangiomatosis)
hebben een verhoogd risico op lever- en viscerale IH en moeten worden gescreend
d.m.v. een echo abdomen. In zeldzame gevallen zijn multifocale lever-IH en/of
grote IH elders in het lichaam de oorzaak van high output congestief hartfalen
en/of schildklier-dysfunctie (hypothyreoïdie). Extracutane hemangiomen kunnen
ook voorkomen in hersenen, darmen, slijmvlies, milt en nieren. Hepatische hemangiomen,
ook wel hemangioendotheliomen genoemd kunnen met of zonder cutane hemangiomen
voorkomen. Ze zijn vaak asymptomatisch maar kunnen hepatomegalie en congestief
hartfalen veroorzaken in de eerste levensweken.
Diagnostiek:Echo-Doppler/duplex:
voor in kaart brengen grote diepliggende hemangiomen in parotis, supraglottische
of paratracheale regio. Met Doppler kan ook het onderscheid worden gemaakt tussen
een hemangioom (high-flow) en een veneuze malformatie (low flow).
Echografie lever (en abdomen): bij 5 of meer cutane
hemangiomen voor het uitsluiten van diffuse neonatale hemangiomatosis.
Echo ruggemerg: bij een segmentaal, sacraal hemangioom
in de midline afwijkingen (o.a. tethered cord) uit te sluiten. Bij kinderen
ouder dan 2-3 maanden is vaak een MRI nodig.
MRI of MRA (consult
kinderneuroloog): bij verdenking op PHACES syndroom. Meestal is
hiervoor anesthesie nodig. In de eerste weken na de geboorte kan een MRI zonder
anesthesie. Ook een consult oogarts en kindercardioloog aanvragen.
Consult kindercardioloog, echocardiografie: bij kinderen
met volumineuze hemangiomen vanwege het verhoogde risico op high output hartfalen,
en bij verdenking op PHACES syndroom (voorafgaand aan het starten van een bètablokker)
behandeling.
Consult oogarts: bij hemangiomen rond
het oog die de visus bedreigen en bij verdenking op PHACES syndroom.
Screening op hypothyreoïdie: bij kinderen met grote
intra-hepatische hemangiomen.
Biopsie: indien de
diagnose hemangioom niet zeker is, om het onderscheid te maken met andere tumoren
zoals genoemd in de DD-tabel.
![Histologie caverneus hemangioom (click on photo to enlarge) [source: Kevin Kwee / Afdeling Pathologie MUMC] Histologie caverneus hemangioom](../../../pacoupes/thumbnails/caverneus-hemangioom.jpg) |
|
ingescande coupe (zoom) |
Behandeling met beta-blokkers:
Sinds circa 2008 (Leaute-Labreze C. et al) is bekend dat hemangiomen succesvol
kunnen worden behandeld met een betablokker (
propanolol 2-3 mg/kg per dag, verdeeld
over 2-3 doses of
atenolol (off-label) 1 dd 1
mg/kg in 1 dosis). Propanolol remt de groei en laat de hemangiomen slinken. Dit
kan ook al op hele jonge leeftijd (< 3 maanden). Het is relatief veilig,
met bepaalde voorzorgsmaatregelen. Behandeling met propanolol wordt gestart
als er kans is op functiestoornissen, tijdelijke of blijvende misvormingen of
psychosociaal leed op latere leeftijd door de littekens die kunnen ontstaan.
Liefst starten vóór de leeftijd van 4-6 maanden. Maar ook later, tot 1 jaar
is er nog enige effectiviteit. Behandel klinisch of in dagopname bij kinderen
jonger dan 1-2 maanden, pre- of dysmaturen, kinderen met ulcererende en zeer
pijnlijke IH en kinderen met ernstige comorbiditeit of contra-indicaties. Overige
kinderen kunnen poliklinisch starten. Controleer bloeddruk en hartslag voor
de eerste toediening van de bètablokker. Maak controle afspraken, bijvoorbeeld
elke 2 maanden, om te monitoren op bijwerkingen en om het effect te beoordelen.
Maak regelmatig foto's.
De behandeling wordt meestal voortgezet tot het
kind 1 jaar oud is, soms 1.5 jaar (bij subcutane, segmentale of periobitale
IH). Het kan ineens worden gestopt maar gebruikelijk is om af te bouwen door
2 weken de halve dosering te geven. Als het hemangioom dan weer groter wordt,
hetgeen voorkomt, de oorspronkelijke dosering herstarten. Later opnieuw proberen,
dan langzamer afbouwen. Het kan zonodig in een lage dosis worden doorgegeven
tot de leeftijd van 2 jaar.
Bij kleine hemangiomen waarbij geen problemen
worden verwacht kan men er ook voor kiezen om niet te behandelen. De meeste
hemangiomen trekken immers vanzelf weg. Als er bij hemangiomen die wel problemen
kunnen geven wordt gekozen om niet te behandelen (bijvoorbeeld bij contra-indicaties
of omdat de ouders het niet willen), dan wel controleren. Als interval wordt
geadviseerd: leeftijd in maanden = follow-upinterval in weken.
Indicaties voor behandeling:- Levens- of functiebedreigende
IH (bijvoorbeeld visusproblemen, ademhalingsmoeilijkheden, slikklachten, congestief
hartfalen, leverfunctiestoornissen, hypothyreoïdie).
- IH op bepaalde anatomische
locaties die vaak permanente littekens of deformaties achterlaten (neus, lippen,
oor, ogen, in het gebied tussen de wenkbrauwen, rondom de tepel (vooral bij
meisjes)).
- IH met (dreigende) ulceratie.
- Gesteelde (pedunculated)
IH, want die laten vaak veel fibro-fatty tissue achter na involutie.
- Peri-anale
/ genitale IH met (dreigende) ulceratie.
- Grote volumineuze IH (in het gelaat),
vooral die met een prominente oppervlakkige component. Die geven later vaak
teveel fibro-fatty tissue en/of cutis laxa.
- Bij kleinere en oppervlakkige
IH in zichtbare gebieden, bijvoorbeeld in het gelaat en op handen kan voor een
cosmetische indicatie topicale behandeling overwogen worden.
Werkingsmechanisme van bètablokkers:Het werkingsmechanisme is nog
niet geheel duidelijk. Gedacht wordt aan vasoconstrictie van de capillairen,
afgenomen expressie van vascular endothelial growth factor (VEGF) en fibroblast
growth factor (FGF) leidend tot een afname van proliferatie van de endotheelcellen,
inductie van apoptose in de capillaire endotheelcellen door blokkering van GLUT-1
receptoren, en verminderde renine-activiteit, waarmee een verminderde angiotensine
ll en VEGF leidt tot involutie.
Bijwerkingen van bètablokkers:
De bijwerkingen zijn meestal mild en reversibel. Beschreven zijn hypoglycaemie,
bronchiale hyperreactiviteit, hypotensie, hyperkaliëmie, diarree, koude extremiteiten
en onrustig slapen. Om hypoglycaemieën te voorkómen de bètablokkers toedienen
tijdens of na de voeding; Bij bijwerkingen de bètablokker stoppen en later weer
in een lagere dosis voorzichtig hervatten, of switchen naar atenolol. Propranolol
is een zeer lipofiele niet-selectieve bètablokker en kan de bloed-hersenbarrière
passeren. Tot nu toe lijken er weinig langetermijn gevolgen bij kinderen te
zijn. Atenolol is een hydrofiele selectieve ß1 -blokker en heeft een ander bijwerkingenprofiel,
met minder centrale zenuwstelsel-bijwerkingen en pulmonale bijwerkingen.
Onderzoek vóór aanvang bètablokkerbehandeling:Gerichte
anamnese met cardiale voorgeschiedenis en familieanamnese samen met volledig
lichamelijk onderzoek met hartfrequentie en bloeddrukmeting.
ECG, echocardiografie
en consult kindercardioloog alleen op indicatie.
Baseline glucosewaarden
(en waarden tijdens behandeling) zijn alleen nodig bij pre- of dysmature zuigelingen,
bij zuigelingen met failure to thrive of een voorgeschiedenis van hypoglycaemieën.
Contra-indicaties voor bètablokkers:Absolute contra-indicaties:
sick-sinussyndroom inclusief sino-atriaal blok, tweede- en derdegraads AV-blok,
cardiogene shock.
Relatieve contra-indicaties: pulmonale klachten in de voorgeschiedenis
(bronchusobstructie, astma, IRDS, BPD (atenolol kan wel); (aangeboren) hartafwijkingen
(overleg met kindercardioloog); hypotensie (0-3 maanden < 65/45 mm Hg, 3-6
maanden < 70/50 mmHg, 6-12 maanden < 80/55 mmHg); bradycardie (0-3 maanden <
100 bpm, 3-6 maanden < 90 bpm, 6-12 maanden < 80 bpm); ernstige verstoringen
van de perifere arteriële bloedsomloop; prematuren bij wie de gecorrigeerde
leeftijd van 5 weken niet bereikt is; kinderen met risico op hypoglycaemieën.
Bètablokkers bij kinderen met het PHACES syndroom:Kinderen
met
PHACES syndroom hebben een risico
op de aanwezigheid van cardiovasculaire afwijkingen. Vernauwing van de grote
cerebrale of cervicale vaten zonder collateraalvorming geeft een verhoogd risico
op beroerte. Het wordt dan ook sterk aangeraden om voordat bètablokkerbehandeling
wordt gestart bij kinderen met een segmentaal infantiel hemangioom een aantal
voorzorgsmaatregelen te nemen: MRI /MRA van het brein en echocardiografie voor
start van de behandeling met bètablokkers; propranolol starten in een lage dosis
van 0.5 mg/kg/dag verdeeld over 3 giften en de dosis ophogen in kleine stapjes
van 0.5 mg/kg. En intensieve follow up door een multidisciplinair expertiseteam
waaronder een kinderneuroloog.
Dosering:R/ atenolol (off-label) 1 dd 1 mg/kg. Startdosis 0.5 mg/kg/dag in
1 dosis; na 5 giften verhogen naar 1 mg/kg/dag in 1 dosis. Bij onvoldoende effect kan de atenolol veilig worden opgehoogd tot 2 mg/kg/dag in 1 dosis; ophogen met stappen van 1 mg/kg en steeds minimaal 5 giften tussen stappen.
In geval van bijwerkingen (slecht drinken, slaperigheid, astmatische klachten, te lage bloeddruk) dosis verlagen met 0.5 mg/kg/dag, dit is vaak ook nog effectief.
Gezien de gewichtstoename van kinderen in de eerste 8 levensmaanden is het advies om ouders te instrueren om het kind regelmatig te wegen (tot leeftijd van 5 maanden oud: 1x/maand; daarna 1x/ 2 maanden), om zo de dosering op te hogen op basis van het gewicht van
het kind, zodat de dosering in mg/kg/dag gehandhaafd blijft gedurende deze periode. Let op de doseringen zoals hierboven beschreven gelden niet voor patiënten met
PHACES. Daarbij worden de halve
doseringen gebruikt.
In het
Amsterdam UMC en in andere expertise centra wordt atenolol sinds eind 2022 beschouwd als het eerste keus
middel, ondanks het feit dat het off-label wordt voorgeschreven, omdat het
minder bijwerkingen geeft. Voordelen van atenolol boven propranolol zijn dat het de bloedhersen barrière niet passeert en selectiever is. Voorafgaand dient er een screening door de algemeen kinderarts plaats te vinden (t.a.v. contra-indicaties, o.a. cardiaal en meting bloeddruk, hartslag en gewicht). Risicopatiënten worden eventueel klinisch behandeld. Het risico op een hypoglycemie bij langdurig vasten of spugen dient expliciet benoemd te worden.
Zie verder het
protocol behandeling van hemangiomen van het AMC.
R/ Hemangiol
(propanololdrank 3.75 mg/ml, fles à 120 ml), 3 mg/kg/dag verdeeld over 2 giften,
voorafgegaan door een opbouwschema (zie onder).
Dit middel is fors duurder dan de propanoldrank FNA
maar wel geregistreerd voor de indicatie hemangiomen bij kinderen. Het is gebruikelijk
om zodra er een geregistreerd product is, niet meer de off-label preparaten
te gebruiken. De begindosering volgens het kompas is 2 dd 0.5 mg/kg lichaamsgewicht
gedurende 1 week; 1 dosis ’s morgens en 1 dosis in de late namiddag, met een
tijdsinterval van minstens 9 uur tussen twee innamen. Vervolgens de dosering
verhogen naar 2 dd 1 mg/kg lichaamsgewicht gedurende 1 week, vervolgens verhogen
naar een onderhoudsdosering van 2 dd 1.5 mg/kg. Zie ook de
bijsluiter van Hemangiol. Let er op dat de dosering in mg op het recept
staat vermeld en dat de patiënt ook van de apotheek het originele Hemangiol
spuitje met een schaalverdeling in mg mee krijgt. Omdat kinderen snel zwaarder
worden is het advies om 1 x per maand te wegen en de dosis aan te passen aan
het nieuwe gewicht.
In het Amsterdam UMC wordt een afwijkend schema gebruikt,
sneller opbouwend, en gebaseerd op de ervaring met propanoldrank FNA dat 2.4
mg/kg/dag meestal genoeg is:
- dag 1, 2 en 3: 2 keer per dag 0.5 mg/kg (=
1.0 mg/kg/dag),
- dag 4 en verder: 2 keer per dag 1.2 mg/kg (= 2.4 mg/kg/dag),
- alleen indien nodig wordt de dosis verhoogd naar 2 keer per dag 1.5 mg/kg
(= 3.0 mg/kg/dag).
![Hemangiol drank (propanolol) (click on photo to enlarge) [source: Pierre Fabre] Hemangiol drank (propanolol)](../../../formularium/information-leaflets/hemangiol-1z.jpg) |
![Hemangiol drank (propanolol) (click on photo to enlarge) [source: Pierre Fabre] Hemangiol drank (propanolol)](../../../formularium/information-leaflets/hemangiol-2z.jpg) |
![Hemangiol drank (propanolol) (click on photo to enlarge) [source: Pierre Fabre] Hemangiol drank (propanolol)](../../../formularium/information-leaflets/hemangiol-3z.jpg) |
| Hemangiol
+ spuitje |
spuitje
met mg schaal |
gebruiksaanwijzing |
R/ propranololdrank FNA (off-label)
2-3 mg/kg/dag verdeeld over 2-3 giften, voorafgegaan door een opbouwschema (zie
onder).
De eerste
ervaringen zijn opgedaan met propanolol (propranololdrank 1mg/ml FNA) in een
dosering van 2-3-mg/kg/dag, verdeeld over 3 doses. Dit was off-label gebruik
(propanol drank was niet geregistreerd voor de indicatie hemangiomen). De propanololdrank
is een bereiding door de apotheker met een beperkte houdbaarheid. Het advies
was om de dosis geleidelijk op te bouwen volgens onderstaand schema:
- dag
1: starten met 0.2 mg/kg/gift (= 0.6 mg/kg/dag),
- dag 2: verhogen tot 0.4
mg/kg/gift (= 1.2 mg/kg/dag),
- dag 3: verhogen tot 0.6 mg/kg/gift (= 1.8
mg/kg/dag),
- dag 4: verhogen tot 0.8 mg/kg/gift (= 2.4 mg/kg/dag),
Eventueel
verhogen tot 1.0 mg/kg/gift (= 3.0 mg/kg/dag), afhankelijk van bijwerkingen.
Voorzorgsmaatregelen:- Verwijs het kind voor een
consult naar de kinderarts met de vraag of er contra-indicaties zijn voor het
starten van propanolol.
- Bij verdenking hartafwijking, hemodynamisch belangrijk
hemangioom, aanwijzingen voor ritmestoornis (bij o.a. trage hartslag of positieve
familieanamnese) of (relatieve) contra-indicaties voor β-blokkers ook een consult
kindercardioloog aanvragen. Tot het onderzoek dat de cardioloog kan aanvragen
behoren een ECG, meten van hartfrequentie, bloeddruk en zuurstofsaturatie, en
bij klepgeruisen eventueel een echocardiogram (uitsluiten van structurele hartafwijking
en beoordelen van kamerfunctie en hemodynamisch belang van hemangioom).
-
Bij hemangioom luchtweg consult KNO-arts.
- Bij een periorbitaal hemangioom
consult oogarts.
- Geef voorlichting aan de ouders over indicatie, effectiviteit,
therapieduur, mogelijke bijwerkingen; expliciet noemen verhoogde kans op hypoglycemie
bij langdurig vasten of spugen. Geef informatie over de ouder- en patiënt vereniging
Hevas (
www.hevas.eu).
- Maak een foto van
de uitgangssituatie.
- Meestal kan de behandeling poliklinisch worden gestart.
Indicaties voor klinische behandeling zijn: kinderen jonger dan één maand, (ex)-prematuren
jonger dan 2 maanden post à terme leeftijd, kinderen die vitaal acuut bedreigd
zijn door hun hemangioom (bedreigde luchtweg); verhoogd risico op hypoglycemieën
(bijv. gelijktijdig prednison gebruik); verhoogd risico op cardiale bijwerkingen
(bradycardie en hypotensie); complexe voorgeschiedenis; relatieve contra-indicatie
voor β-blokkers; heftige pijn door ulceratie van het hemangioom waarbij maximale
dosering paracetamol onvoldoende werkt.
- Meet voor het starten de hartfrequentie
en de bloeddruk. Zie voor de normaalwaarden van de bloeddruk bij zuigelingen
deze
tabel.
- Poliklinische controle 2 weken na start behandeling, telefonische
controle 1 maand na start behandeling, daarna controle eens per 2 maanden.
- Wees tijdens de behandeling alert op klachten passend bij hypotensie (bleek
zien, braken, minder alert zijn).
- Wees alert op hypoglycemie. Goed voeden,
bepaal zonodig glucose (kan in poli lab of bij de huisarts met vingerprikje).
Geef propanolol pas na de voeding.
- Propranolol laten geven op de flestijden,
met spuitje of op lepeltje of met 30 cc melk in een aparte fles, en daarna de
rest van de fles. Mag vanaf een bepaalde leeftijd ook met andere voeding gegeven
worden (zie farmacotherapeutisch kompas)
Topicale behandeling
met bètablokkers:Oppervlakkige hemangiomen (< 1-2 mm hoogte)
kunnen worden behandeld met lokaal timolol. Timolol 0.1-0.5% wordt als oogdruppel
gebruikt en is ook als 0.1% gel beschikbaar in de vorm van Nyogel oog gel 0.1%
(5 ml) en Timogel Oog gel 0.1% (0.4 g minims). Via de huid kan een deel worden
opgenomen, wat kan leiden tot systemische effecten, maar het lijkt er op dat
het veilig is, in een dosis van < 0.2 mg/kg/dag.
R/ timolol oogdruppels
(0.5%) maximaal 2 dd 2 druppels óp het IH.
R/ timolol 0.1% gel 2 dd aanbrengen
op het hemangioom. Dit werkt ook, de laesies worden er minder rood van en minder
dik, de gel lijkt de groei ook te remmen.
Chirurgische behandelopties:
Chirurgie is alleen nog geïndiceerd als het IH niet op bètablokkers reageert,
en eventueel bij gesteelde of ulcererende hemangiomen. En in een latere fase
als er littekens of misvormingen zijn ontstaan. Het wordt geadviseerd om die
plastisch chirurgische reconstructies uit te voeren voor de leeftijd van 4 jaar,
voor het kind naar de basisschool gaat.
Laserbehandeling:
Pulsed dye laser (595 nm) en de Intense Pulsed Light (IPL) kunnen na involutie
van het IH worden toegepast bij de behandeling van persisterende teleangiëctastieën;
in sommige gevallen kan aanvullende behandeling met de Nd: YAG laser nodig zijn.
Behandeling van ulceraties:Ulceratie ontstaat mediaan
rond de leeftijd van 4 maanden en wordt vaak voorafgegaan door een grijze of
witte verkleuring en induratie. Ulceratie veroorzaakt pijn en littekens. Soms
kan vanwege pijn opname geïndiceerd zijn. Bloedingen komen weinig voor. Ulceratie
wordt vaker gezien bij grote plakkaatvormige segmentale IH, grotere bolle (gecombineerd
diepe en oppervlakkige) IH, IH van de lippen, IH met maceratie in plooitjes
en IH in het luiergebied of bij beginnende luieruitslag. Vroege start van systemische
bètablokkertherapie kan mogelijk ulceratie voorkomen en snellere genezing geven
Therapie:R/ paracetamoldrank.
R/ beschermen tegen
maceratie met zinkolie, ZOK-zalf (Zinkoxidekalkwaterzalf FNA), zinkolie/zilversulfadiazine
aa, of Sudocrem.
R/ siliconengaas.
R/ schuimverband met siliconen contactlaag
en kleeflaag.
R/ dunne hydorcolloïd pleisters.
R/ Augmentin of clindamycine
bij infectie.

Debridement
van (grote) necrotische crustae.

Excisie en
primair sluiten kan soms.
Vroegere therapieën:Voordat
ontdekt werd, bij toeval, dat hemangiomen behandeld kunnen worden met bèta-blokkers,
waren de behandel opties systemische corticosteroïden (2-3 mg/kg/dg prednison,
bij grote agressieve hemangiomen), intralesionale en topicale corticosteroïden
(met name bij hemangiomen periorbitaal), interferon alpha (sc 1-3 milj U/m
2
1 dd), vincristine (0.05 mg/kg bij < 10 kg, 1.5 mg/kg > 10 kg 1 x pw IV),
cyclofosfamide, PDL- Laser, Nd-YAG laser, embolisatie, operatie (bij gelokaliseerde
hemangiomen die met littekens genezen, bij bloedende en ulcererende hemangiomen,
debulking bij hemangiomen op het bovenooglid die niet reageren op medicatie),
cryochirurgie, en bestraling.
 |
|
Folder over hemangiomen |
|
|
|
 |
|
Uitgebreide informatie over hemangiomen van HEVAS |
Referenties
| 1. |
Bruckner et al. Hemangiomas of infancy. J
Am Acad Dermatol 2003;48:477-493. |
| 2. |
Leaute-Labreze C. et al. Propranolol for
severe hemangiomas of infancy. N Engl J Med 2008;358:2649-2651. |
| 3. |
Van der Vleuten CJM, Verhoeven BH, Schultze
Kool LJ, Breugem CC, de Graaf M, van Dijk A, de Laat PCJ, Pasmans
SGMA, Raphael MF, van der Horst CMAM, Middelkamp Hup MA, Lapid O,
Jongma MP. Consensusdocument voor de behandeling van infantiele
hemangiomen. www.hevas.eu
2017.
PDF |
| 4. |
Amsterdam UMC Protocol behandeling
hemangiomen 2020.
PDF |
| 5. |
Amsterdam UMC Flowchart behandeling
hemangiomen 2020.
PDF |
| 6. |
NVDV richtlijn infantiele hemangiomen 2021
(PDF)
en samenvatting richtlijn infantiele hemangiomen 2021 (PDF). |
| 7. |
Amsterdam UMC Protocol behandeling
hemangiomen 2022.
PDF |
Author(s):A.J. Jensema. Dermatoloog, OLVG, Amsterdam
dr. Jan R. Mekkes. Dermatologist, Amsterdam UMC.