Een
pseudotumor van Masson is een paarsblauwe nodus,
berustend op endotheliale hyperplasie. Het is waarschijnlijk een reactief beeld.
Synoniemen:
Masson's vascular pseudotumor, intravascular papillary
endothelial hyperplasia.
De laesie wordt meestal ingestuurd
onder de verdenking van een blue naevus, melanoom, of hemangioom, waarbij deze
diagnose er uitrolt. Het is een typische PA-diagnose, die niet op het klinisch
beeld gesteld wordt. De naam van Masson is ook verbonden aan de
blue cellular neuronevus van Masson.
![Pseudotumor van Masson (click on photo to enlarge) [source: www.huidziekten.nl] Pseudotumor van Masson](../../../images/pseudotumor-van-masson-1z.jpg) |
![Pseudotumor van Masson (click on photo to enlarge) [source: www.huidziekten.nl] Pseudotumor van Masson](../../../images/pseudotumor-van-masson-2z.jpg) |
![Pseudotumor van Masson (click on photo to enlarge) [source: www.huidziekten.nl] Pseudotumor van Masson](../../../images/pseudotumor-van-masson-3z.jpg) |
| pseudotumor
van Masson |
pseudotumor
van Masson |
pseudotumor
van Masson |
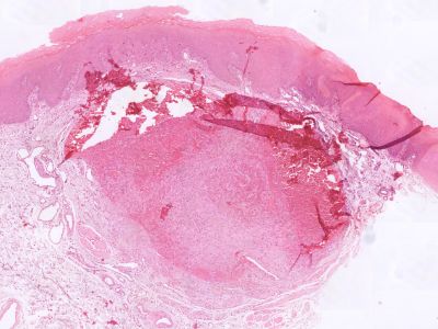
PA: vaatruimten (vascular lakes) gevuld met fibrine
(thrombus, stolsel), waarbij een deel van de vaatwand een papillaire hyperplasie
vertoont. Masson beschreef dit in 1923 als een woekering van endotheel, omschreven
als 'papillary hyperplasia of the vascular endothelial cells' waarbij het vaatlumen
dicht gaat zitten, gevolgd door degeneratieve afwijkingen. Masson noemde dit
‘vegetant intravascular hemangioendothelioma’. De huidige term is
papillary endothelial hyperplasia (
PEH).
Het is zeldzaam, zit meestal in de hoofd hals regio, maar kan ook in interne
organen worden aangetroffen (nier).
![Histologie papillary endothelial hyperplasia (click on photo to enlarge) [source: Kevin Kwee / Afdeling Pathologie MUMC] Histologie papillary endothelial hyperplasia](../../../pacoupes/thumbnails/papillary-endothelial-hyperplasia-Masson.jpg) |
|
ingescande coupe (zoom) |
Bron
hoge resolutie PA-foto: Kevin Kwee en Afdeling Pathologie MUMC. Klik
op de afbeelding om in te zoomen.
Therapie:

Excisie.

Curettage
en elektrocoagulatie.
Author(s):dr. Jan R. Mekkes.
Dermatologist, Amsterdam UMC.