ANGIOKERATOMA home ICD10: D23.9

Een angiokeratoma is een capillaire (of lymfatische?) malformatie met secundaire papillomatosis, acanthosis, en hyperkeratosis van de overliggende epidermis. Er bestaan diverse varianten van angiokeratomen, zoals multipele kleine angiokeratomen over het hele lichaam bij de ziekte van Fabry (angiokeratoma corporis diffusum), solitaire of multipele angiokeratomen z.n.s., angiokeratoma van Fordyce op het scrotum, angiokeratoma van Mibelli op de vingers en de tenen, angiokeratoma circumscriptum, caviar spots (angiokeratoma van de tong).
Hoewel er in vrijwel alle artikelen over angiokeratoma staat dat het een capillaire malformatie is, wordt het in de nieuwe ISSVA classificatie ingedeeld onder de lymfatische malformaties. Dat is vanwege een artikel van Wang et al. uit 2014, die met een lymfvatkleuring (D2-40) aantoonde dat alle angiokeratomen uitgezonderd het Mibelli type vooral uit lymfevaten bestaan.

Angiokeratoma Angiokeratoma
angiokeratoma angiokeratoma


Klinisch beeld:
Solitaire of multipele gegroepeerde kleine paarsrode noduli, papels of plaques, soms met verruceus oppervlak.

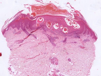
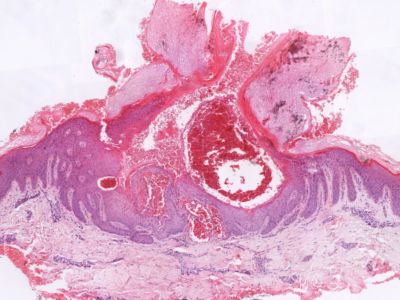
PA:
Direct onder de epidermis worden groepen van verwijde capillairen gezien. Naast hyperkeratose toont de epidermis acanthose en papillomatose. De verlengde retelijsten kunnen de capillairen geheel of gedeeltelijk omsluiten, zodat de verwijde capillairen intra-epidermaal lijken te liggen; ze zijn gevuld met bloed. Soms treedt thrombus vorming op.

Histologie angiokeratoma Histologie angiokeratoma
ingescande coupe (zoom) ingescande coupe (zoom)

Bron hoge resolutie PA-foto's: Kevin Kwee en Afdeling Pathologie MUMC. Klik op de afbeelding om in te zoomen.


DD:
Ziekte van Fabry (angiokeratoma corporis diffusum), angiokeratoma van Fordyce op het scrotum, angiokeratoma van Mibelli, angiokeratoma circumscriptum naeviforme, blue rubber bleb nevus syndrome, seniele hemangiomen, Rendu-Osler-Weber syndroom, melanoma, lymphangioma circumscriptum, Kaposi sarcoma, hyperkeratotisch Kaposi sarcoma.

Diagnostiek:
De diagnose kan worden gesteld op het klinisch beeld, eventueel te bevestigen met een biopt.

Therapie:
Het is een goedaardige afwijking die geen behandeling behoeft. Soms wordt het om cosmetische redenen behandeld. Opties zijn coagulatie, cryotherapie, en laserbehandeling (Argonlaser, Erbium laser, CO2-laser, vaatlasers (dye laser, 532-nm KTP laser, 800-nm diode laser), gecombineerde behandelingen).



Referenties
1. Wang L, Yuan W, Geng S, Xiong Y, Zhang D, Zhao X, Li S, Bi X, Gao T, Wang G. Expression of lymphatic markers in angiokeratomas. J Cutan Pathol 2014;41(7):576-581.


Author(s):
dr. Jan R. Mekkes. Dermatologist, Amsterdam UMC.

20-12-2025 (JRM) - www.skin-diseases.eu Terug naar homepagina



Diagnosis codes:
ICD10 D23.9 Overige benigne neoplasma van huid, niet gespecificeerd: angiokeratoma
ICD10 D23.9 Other benign neoplasms of skin, unspecified: angiokeratoma
SNOMED 254788004 Angiokeratoma of skin
DBC 3 spacer Benigne tumoren

ICD10 D29.4 Benigne neoplasma van scrotum: angiokeratoma van Fordyce
ICD10 D29.4 Benign neoplasm of scrotum: angiokeratoma of Fordyce
SNOMED 6331000 Angiokeratoma of Fordyce
DBC 3 spacer Benigne tumoren

ICD10 D28.0 Benigne neoplasma van vulva: angiokeratoma van Fordyce
ICD10 D28.0 Benign neoplasm of vulva: angiokeratoma of Fordyce
SNOMED 402841001 Angiokeratoma of vulva
DBC 3 spacer Benigne tumoren

ICD10 D23.9 Overige benigne neoplasma van huid, niet gespecificeerd: angiokeratoma corporis circumscriptum
ICD10 D23.9 Other benign neoplasms of skin, unspecified: angiokeratoma corporis circumscriptum
SNOMED 21848000 Angiokeratoma circumscriptum
DBC 25 Incorrecte of inconsistente DBC Code(3) spacer Vasculaire dermatosen

ICD10 D23.9 Overige benigne neoplasma van huid, niet gespecificeerd: angiokeratoma van Mibelli
ICD10 D23.9 Other benign neoplasms of skin, unspecified: angiokeratoma of Mibelli
SNOMED 62727008 Angiokeratoma of Mibelli
DBC 25 Incorrecte of inconsistente DBC Code (3) spacer Vasculaire dermatosen

ICD10 E75.2 Overige gespecificeerde sfingolipidosen: ziekte van Fabry
ICD10 E75.2 Other sphingolipidosis: Fabry (-Anderson) disease
SNOMED 16652001 Fabry's disease
DBC 27 spacer Diagnose niet nader omschreven