Bacillaire angiomatosis is een
reactieve vaatproliferatie
veroorzaakt door infectie met
Bartonella henselae
of
Bartonella quintana.
B. henselae is ook
de verwekker van
kattenkrabziekte
en peliosis hepatis, en veroorzaakt bacteriëmie + koorts).
B. quintana
kan ook bacteriëmie + koorts veroorzaken en is een oorzaak van 'loopgravenkoorts'.
Er is nog een pathogene Bartonella genaamd
B. bacilliformis, en deze
veroorzaakt Oroya-koorts, verruga peruana.
Klinisch beeld:
Rode tot paarse papels, noduli of plaques, solitair of multipel, enkele mm tot
2-3 cm groot, soms pijnlijk. Komt voor bij
HIV in het stadium van immuundeficiëntie.
Kan spontaan overgaan, wordt zeldzaam sinds de introductie van
HAART. De infectie kan via bloed en lymfvaten
dissemineren (lymfadenopathie, hepato-splenomegalie, bot-localisaties).
![Bacillaire angiomatosis (click on photo to enlarge) [source: www.huidziekten.nl] Bacillaire angiomatosis](../../../images/bacillaire-angiomatosis-1z.jpg) |
![Bacillaire angiomatosis (click on photo to enlarge) [source: www.huidziekten.nl] Bacillaire angiomatosis](../../../images/bacillaire-angiomatosis-2z.jpg) |
| bacillaire
angiomatosis |
bacillaire
angiomatosis |
![Bacillaire angiomatosis (click on photo to enlarge) [source: www.huidziekten.nl] Bacillaire angiomatosis](../../../images/bacillaire-angiomatosis-3z.jpg) |
![Bacillaire angiomatosis (click on photo to enlarge) [source: www.huidziekten.nl] Bacillaire angiomatosis](../../../images/bacillaire-angiomatosis-4z.jpg) |
| bacillaire
angiomatosis |
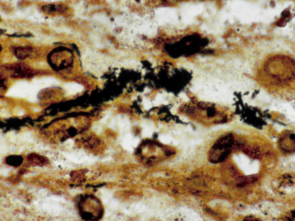
Whartin-Starry
kleuring |
DD: Kaposi sarcoom,
hemangioom,
granuloma pyogenicum, vasculaire
tumoren, metastasen.
Diagnostiek: Bartonella serologie,
PCR, biopt (Warthin-Starry kleuring), kweekbiopt.
Therapie:
Bacillaire angiomatosis of kattenkrabziekte veroorzaakt door
Bartonella henselae:R/ azitromycine 500 mg eenmalig gevolgd
door azitromycine 1 dd 250 mg gedurende 4 dagen.
Kinderen: azitromycine 10
mg/kg eenmalig gevolgd door azitromycine 5 mg/kg gedurende 4 dagen; tweede keus
doxycycline.
Alternatieven:
R/ erytromycine 4 dd 250-500 mg, doxycline
2 dd 100 mg, tetracycline 4 dd 500 mg, minocycline 1-2 dd 100 mg totdat de laesies
verdwijnen, meestal 3-4 weken.
Bacillaire angiomatosis veroorzaakt
door Bartonella quintana:R/ doxycycline 2 dd 100 mg gedurende
4 weken. Bij orgaan-lokalisatie of HIV-infectie gedurende 3 maanden behandelen.
R/ erytromycine i.v. 4 dd 500 mg gedurende 4 weken. Bij orgaan-lokalisatie of
HIV-infectie gedurende 3 maanden behandelen.
Kinderen: azitromycine 10 mg/kg
eenmalig gevolgd door azitromycine 5 mg/kg gedurende 4 dagen; tweede keus doxycycline.
B. bacilliformis (oroya-koorts, verruga peruana):
R/ ciprofloxacine 2 dd 500 mg gedurende 10 dagen.
R/ doxycycline 2 dd 100
mg gedurende 10 dagen.
R/ amoxicilline 4 dd 500 mg gedurende 10 dagen.
Kinderen: azitromycine 10 mg/kg eenmalig gevolgd door azitromycine 5 mg/kg
gedurende 4 dagen; tweede keus doxycycline.
Author(s):
dr. Jan R. Mekkes. Dermatologist, Amsterdam UMC.