Angiosarcomen zijn zeldzame vasculaire tumoren. Circa
1-2% van alle
weke delen sarcomen
betreft een angiosarcoom. Klinisch ziet men paarse plaques of donkerrode of
paarse nodi, vaak multipel. Het zijn agressieve tumoren die lokaal infiltreren
en recidiveren na excisie, en ook gemakkelijk metastaseren naar lymfklieren
en andere organen (longen, lever, botten). De mortaliteit is hoog.
De
tumor gaat uit van
endotheelcellen, soms van lymfevaten
en kan overal in het lichaam zitten. Het hoofd (schedel en gelaat) is een voorkeurslokalisatie.
Daarom neemt men aan dat langdurige blootstelling aan UV een trigger is voor
het ontstaan. Andere mogelijke factoren zijn radiotherapie of toxische stoffen
(vinylchloride, arsenicum, insecticiden, androgene steroïden, thorium dioxide).
Angiosarcomen zijn meestal oppervlakkig, circa 60% is gelokaliseerd in de
huid en oppervlakkige weke delen. Ze kunnen ook in organen ontstaan (lever,
milt, botten, hart, borst). De cutane variant komt vaker bij mannen voor (man:vrouw
verhouding is 3:1) De voorkeurslokalisatie van het angiosarcoom is het hoofd-hals
gebied. De hoofd-hals lokalisatie komt vooral bij ouderen (> 70 jr) voor
en wordt ook wel genoemd
cutaneous angiosarcoma of the head and
neck of angiosarcoma of the face and
scalp of elderly patients. Angiosarcoma kan ook ontstaan in gebieden
met chronisch lymfoedeem en in gebieden die bestraald zijn.
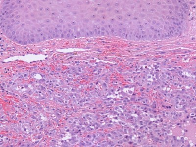
![Angiosarcoma (click on photo to enlarge) [source: www.huidziekten.nl] Angiosarcoma](../../../images/angiosarcoma-3z.jpg) |
![Angiosarcoma (click on photo to enlarge) [source: www.huidziekten.nl] Angiosarcoma](../../../images/angiosarcoma-4z.jpg) |
![Angiosarcoma (click on photo to enlarge) [source: www.webpathology.com] Angiosarcoma](../../../images/angiosarcoma-1z.jpg) |
| angiosarcoma |
angiosarcoma |
angiosarcoma |
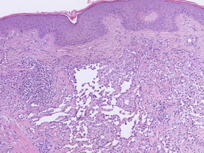
![Histologie angiosarcoma (click on photo to enlarge) [source: Nephron - Wikimedia - Creative Common License 3.0] Histologie angiosarcoma](../../../images/angiosarcoma-2z.jpg) |
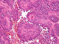
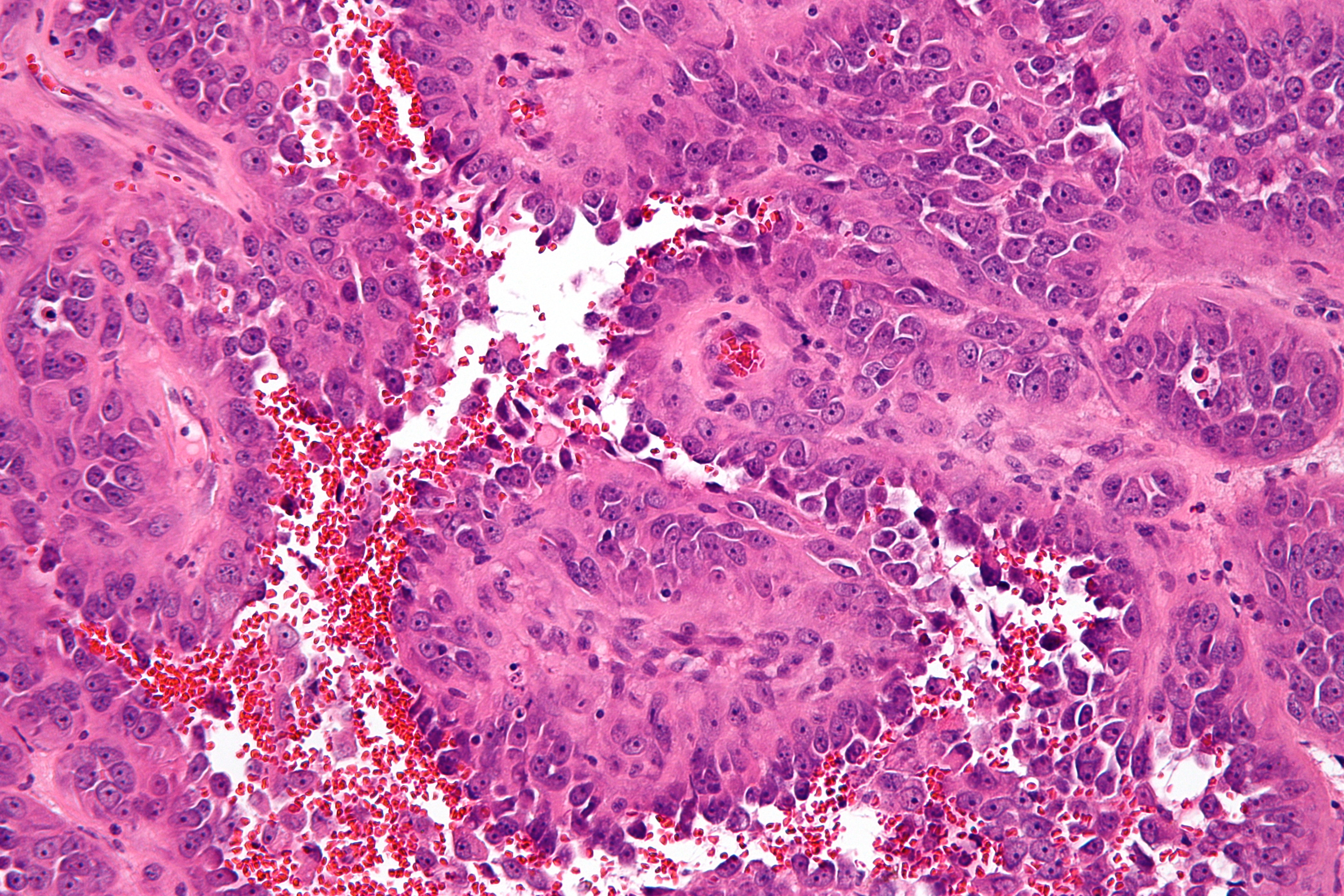
![Histologie epithelioid angiosarcoma (click on photo to enlarge) [source: Kevin Kwee / Afdeling Pathologie MUMC] Histologie epithelioid angiosarcoma](../../../pacoupes/thumbnails/epitheloid-angiosarcoom.jpg) |
![Histologie epithelioid angiosarcoma (click on photo to enlarge) [source: Kevin Kwee / Afdeling Pathologie MUMC] Histologie epithelioid angiosarcoma](../../../pacoupes/thumbnails/angiosarcoom.jpg) |
| angiosarcoma |
ingescande coupe (zoom) |
ingescande coupe (zoom) |
Foto rechtsboven:
www.webpathology.com.
Foto linksonder: Michael Bonert (Nephron) - Wikimedia (Creative Common License
3.0).
Foto's midden en rechts onder,
hoge resolutie PA-foto's: Kevin Kwee en Afdeling Pathologie MUMC. Klik
op de afbeelding om in te zoomen.
Klinisch beeld:Onscherp begrensde erythemateuze
tot paarse macula of plaques in het gelaat en/of op de scalp. In een latere
fase scherper begrensd, meer livide, meer geïndureerd. Er kunnen ook donkerrode
of paarse nodi of tumoren ontstaan. In het begin weinig klachten. De laesies
kunnen er in het begin uitzien als een onschuldig hematoom, patiënten gaan vaak
laat naar een arts. Bij circa de helft van de patiënten zijn er op het moment
van presentatie al metastasen, vooral naar de longen. De 5-jaarsoverleving lag
altijd rond de 20% maar is door nieuwe targeted therapies gestegen naar 30-56%.
Een slechte prognose wordt gezien bij tumoren > 5 cm of dieper dan 3 mm,
meer dan 3 mitosen per veld en bij irradicale excisie en recidieven.
DD:Kaposi sarcoma,
hematoom,
epithelioid hemangioendothelioma,
hemangiopericytoma, endovascular
papillary angioendothelioma (
Dabska's
tumor),
retiform hemangioendothelioma,
cutaneous angiosarcoma associated with lymphedema, radiation-induced cutaneous
angiosarcoma, epithelioid angiosarcoma, malignant glomus tumor (glomangiosarcoma),
melanoom, overige maligne tumoren,
metastasen.
Diagnostiek:Biopten, MRI, CT-scan.
PA:
Vasculaire proliferatie met veel mitosefiguren. De cellen zijn positief voor
markers voor vaten (CD31, CD34, FVIII-related antigen) en lymfvaten (D2-40).
Therapie:

Excisie met
zeer ruime marge (2-3 cm), in combinatie met radiotherapie kan lokaal curatief
zijn bij kleine laesies; er zijn echter vaak al metastasen (vooral longmetastasen)
en lokale recidieven na excisie komen zeer vaak voor. Vaak is chirurgie niet
mogelijk vanwege de locatie of omdat de laesie reeds te groot is, of multifocaal,
of al gemetastaseerd. De tumor kan metastaseren naar de longen, lever, lymfklieren
(bij 20-30%), weke delen, hersenen en botten.
Adjuvante radiotherapie
verbetert de genezing. Radiotherapie alleen is matig effectief.
Chemotherapie
is effectief bij circa 40%. Vaak wordt doxorubicine als monotherapie gebruikt
of doxorubicine in combinatie met mesna (mercapto-ethaansulfonzuur) en ifosfamide.
Ook paclitaxel als monotherapie wordt gebruikt. En er is beperkte ervaring met
nieuwe targeted therapies zoals imatinib mesylate, bevacizumab (anti-VEGF (vascular
endothelial growth factor)), sorafenib, checkpoint inhibitors (PD-1 inhibitors
of CTLA-4 inhibitors). Propanolol toevoegen wordt genoemd in enkele case-reports.
Gezien de beperkte ervaring en complexiteit is het verstandig om patiënten
met een angiosarcoom door te verwijzen naar een gespecialiseerd oncologisch
centrum.
Referenties
| 1. |
Sturm EC, Marasco IS, Katz SC. Multidisciplinary
Management of Angiosarcoma - A Review. J Surg Res 2021;257:213-220. |
| 2. |
Morgan MB, Swann M, Somach S, et al. Cutaneous
angiosarcoma: a case series with prognostic correlation. J Am Acad
Dermatol 2004;50:867-874. |
| 3. |
Fujimura T, Furudate S, Maekawa T, Kato H,
Ito T, Matsushita S, Yoshino K, Hashimoto A, Muto Y, Ohuchi K, Amagai
R, Kambayashi Y, Fujisawa Y. Cutaneous angiosarcoma treated with
taxane-based chemoradiotherapy: A multicenter study of 90 Japanese
cases. Skin Health Dis 2022;3(1):e180. |
| 4. |
Daguzé J, Saint-Jean M, Dréno B. Large nose
angiosarcoma treated effectively with oral cyclophosphamide combined
with propranolol. J Eur Acad Dermatol Venereol 2018 Feb;32(2):e52-e54. |
| 5. |
Jmour O, Kochbati L, Ghith S, Benna F. Angiosarcoma
of the Scalp and Face: A Hard to Treat Tumor. Glob J Cancer Ther
2017;3(1):026-029. |
Author(s):dr. Jan R. Mekkes. Dermatologist, Amsterdam UMC.