Verruca seborroica (ouderdomswratten, seborrheic keratosis)
zijn de meest voorkomende benigne huidtumoren. Het aantal neemt toe met de leeftijd.
De oorzaak is niet bekend. HPV-infectie is een verdachte geweest en het DNA
ervan is ook aangetroffen in de oppervlakkige huidlagen van verruca seborroica,
maar dit is niet specifiek: het HPV virus DNA komt bij velen in de huid voor.
Recentere studies vinden in een deel van de verruca mutaties in FGFR3 (Fibroblast
Growth Factor Receptor 3). Deze mutatie veroorzaakt continue activatie van de
receptor, met als gevolg een celdeling signaal.
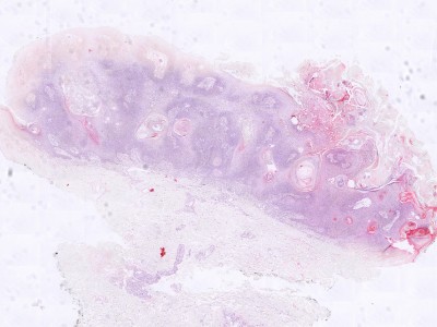
![Verruca seborroica (click on photo to enlarge) [source: www.huidziekten.nl] Verruca seborroica](../../../images/verruca-seborroica-1z.jpg) |
![Verruca seborroica (click on photo to enlarge) [source: www.huidziekten.nl] Verruca seborroica](../../../images/verruca-seborroica-2z.jpg) |
![Verruca seborroica (click on photo to enlarge) [source: www.huidziekten.nl] Verruca seborroica](../../../images/verruca-seborroica-3z.jpg) |
| verruca
seborroica |
verruca
seborroica |
verruca
seborroica |
![Verruca seborroica (click on photo to enlarge) [source: www.huidziekten.nl] Verruca seborroica](../../../images/verruca-seborroica-4z.jpg) |
![Verruca seborroica (click on photo to enlarge) [source: www.huidziekten.nl] Verruca seborroica](../../../images/verruca-seborroica-5z.jpg) |
![Verruca seborroica (click on photo to enlarge) [source: www.huidziekten.nl] Verruca seborroica](../../../images/verruca-seborroica-6z.jpg) |
| verruca
seborroica |
verruca
seborroica |
verruca
seborroica |
![Verruca seborroica in dennenboom configuratie (click on photo to enlarge) [source: www.huidziekten.nl] Verruca seborroica in dennenboom configuratie](../../../images/verruca-seborroica-dennenboomconfiguratie-1z.jpg) |
![Verruca seborroica in dennenboom configuratie (click on photo to enlarge) [source: www.huidziekten.nl] Verruca seborroica in dennenboom configuratie](../../../images/verruca-seborroica-dennenboomconfiguratie-2z.jpg) |
![Verruca seborroica in dennenboom configuratie (click on photo to enlarge) [source: www.huidziekten.nl] Verruca seborroica in dennenboom configuratie](../../../images/verruca-seborroica-dennenboomconfiguratie-3z.jpg) |
| dennenboom
configuratie |
dennenboom
configuratie |
dennenboom
configuratie |
Klinisch beeld:Lichtbruine, soms donkerbruine,
zwarte of huidkleurige papillomateuze laesies, enkele millimeters tot enkele
cm groot (gemiddeld 0.5-1 cm), verspreid over het lichaam, vooral de romp. Het
aantal varieert van enkele tot honderden. Als het er zeer veel zijn, in korte
tijd ontstaan, dan wordt dit ook wel Leser-Trélat sign genoemd. Het
Leser-Trélat sign wordt beschouwd als
een
paraneoplastisch fenomeen,
maar dat is niet 100% zeker. Maligniteiten en het hebben van veel ouderdomswratten
zijn allebei gekoppeld aan een hoge leeftijd, de onderlinge associatie is mogelijk
daarop gebaseerd. Verruca seborroica kunnen in rijen aanwezig zijn in plooien,
bijvoorbeeld onder de borsten, of in de oksels. Soms in een
dennenboomconfiguratie op
de rug. Dermatosis papulosa nigra wordt beschouwd als een variant van verruca
seborroica in het gelaat (kleiner, donker gepigmenteerd, en vooral voorkomend
bij de gepigmenteerde huid). Stuccokeratose is waarschijnlijk ook een variant
van verruca seborroica (kleine grijzige papeltjes, vooral aan de onderbenen).
Een melanoacanthoma is een zeer donker gepigmenteerde verruca seborroica. Verruca
plana-like seborrheic dermatosis zijn kleine, vlakke gepigmenteerde laesies
op handruggen en onderarmen, ruw oppervlak (dd verrucae planae).
| Klinische varianten: |
Histologische varianten: |
- verruca seborroica nno -
Leser-Trélat sign -
dermatosis papulosa
nigra - verruca plana-like seborrheic dermatosis (flat
seborrheic keratosis) - stuccokeratosis - inverted follicular
seborrheic keratosis -
melanoacanthoma - large cell acanthoma - lichenoid keratosis |
- acanthotic subtype - hyperkeratotic subtype - adenoid
subtype - clonal subtype - bowenoid subtype - irritated
subtype (inverted follicular seborrheic keratosis) - melanoacanthoma |
DD:
Naevus papillomatosus,
(gepigmenteerd)
basaalcelcarcinoom,
plaveiselcelcarcinoom, m. Bowen,
keratosis actinica,
lentigo senilis,
verruca vulgaris,
verruca planae,
epidermale naevi, fibroma,
lentigo maligna,
melanoma,
condyloma acuminatum,
adnextumoren,
angiokeratoma, reticulated pigmented
dermatosis of the flexures (zie
Dowling-Degos).
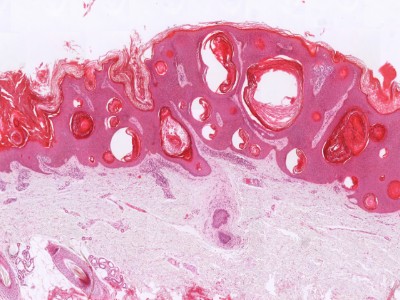
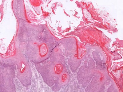
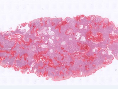
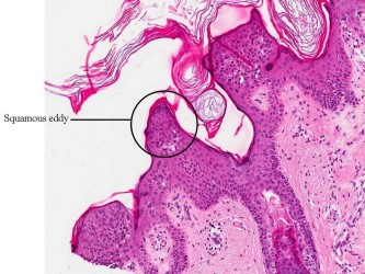
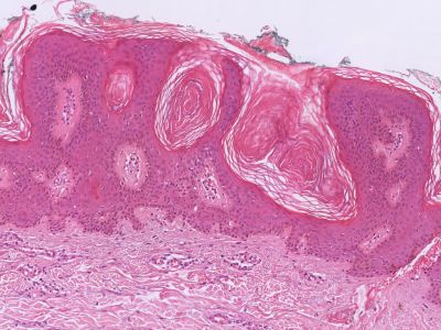
Histologie:Het histologisch beeld wordt gekenmerkt
door een scherp begrensde exofytisch of endofytisch groeiende tumor. Meestal
is er hyperkeratose en een papillomateus verbrede epidermis. De hyperkeratose
en de neiging van de retelijsten om te vergroeien, hebben de vorming van pseudo-hoorncysten
tot gevolg. De tumor is opgebouwd uit opvallend kleine spinale cellen. Basale
hyperpigmentatie is er in een derde van de gevallen. De epidermis toont geen
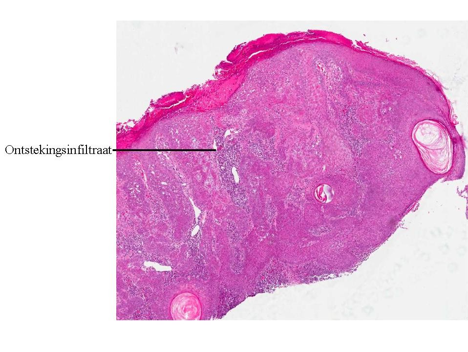
cytonucleaire atypie. Meestal zijn er geen afwijkingen in de dermis. In de dermis
van een geirriteerde verruca seborrhoica wordt echter een uitgebreid rondkernig
ontstekingsinfiltraat gezien met grensvlakactiviteit en soms met dyskeratotische
keratinocyten. Karakteristiek zijn de zogenaamde “squamous eddies”, nesten van
keratinocyten. Het Borst-Jadassohn type, ookwel het clonale type, is te herkennen
aan intra-epidermale nesten van spinale cellen.
Diagnostiek:Een verruca seborroica kan worden herkend
op het klinisch beeld, en aan de manier waarop de laesie bij curettage loskomt
van de huid. Bij
dermatoscopie zijn vaak ook
hoornparels te zien. Bij twijfel een biopt afnemen
of het met curettage verkregen materiaal alsnog insturen voor PA. De
dermatoloog scoort het hoogst van alle specialismen in het herkennen van
verruca seborroica, desondanks komt het voor dat de diagnose achteraf wordt
gesteld op materiaal dat is ingestuurd op verdenking van een BCC of een
andere diagnose.
![Hoornparels (click on photo to enlarge) [source: www.huidziekten.nl] Hoornparels](../../../images/hoornparels-1z.jpg) |
| hoornparels
(dermatoscopie) |
Therapie:Oppervlakkige curettage met een ringcurette
of scherpe lepel werkt het beste. Hiervoor moet er verdoofd worden met lidocaïne
of eventueel met chloorethylspray verdoving (dat werkt niet zo goed als echte
verdoving). Grote en langdurig bestaande ouderdomswratten kunnen stevig verankerd
zijn en vereisen veel kracht om ze weg te schrapen. Hiervoor gebruikt men het
liefst een ouderwetse niet-disposable stalen curette of de 'niet al te scherp
meer zijnde' scherpe lepel. Hiermee kunnen ook grote wratten worden verwijderd,
zelfs van het behaarde hoofd, zonder littekens te veroorzaken of kale plekken.
Wegwerp ringcurettes worden vaak gebruikt, maar die zijn vlijmscherp (eigenlijk
te scherp) en kunnen diepe snijwonden veroorzaken als er veel kracht moet worden
gezet. Voor kleine verrucae zijn ze wel geschikt, let er op de curette zo vlak
mogelijk te houden, meer schrapen dan snijden. Na curettage resteert een schaafwond.
Bij veel bloeding zonodig aanstippen met een bloedstelpende vloeistof (aluminiumchloride
oplossing) of oppervlakkige elektrocoagulatie. Luchtig verbinden, dan ontstaat
snel een korst waaronder de schaafwond geneest.
Elektrocoagulatie (eventueel in
combinatie met curettage).

Cryotherapie.

Lasertherapie
met de Erbium YAG of CO2 laser.

Afknippen
of verwijderen met de elektrische lus bij gesteelde varianten.

Shave-excisie.
Referenties
| 1. |
Hafner C, Vogt T. Seborrheic keratosis. J
Dtsch Dermatol Ges 2008;6(8):664-677.
PDF |
| 2. |
Wade TR, Ackerman AB. The many faces of seborrheic
keratoses. J Dermatol Surg Oncol. 1979;5:378-382. |
| 3. |
Weedon D. Tumors of the epidermis. In: Weedon’s
Skin Pathology. 3th ed. Churchill Livingstone; 2010:672-673. |
| 4. |
Brenn T, McKee PH. Tumors of the surface
epithelium. In: McKee PH, Calonje E, Granter SR. Pathology of the
Skin with Clinical Correlations. 3rd ed. Elsevier Mosby:2005;1158-1163. |
| 5. |
Brownstein MH. The benign acanthomas. J Cutan
Pathol. 1985;12:172-188. |
Author(s):dr. Jan R. Mekkes. Dermatologist, Amsterdam UMC.
Mary-Ann el Sharouni. Co-assistent, UMC Utrecht.
Norbert A. Ipenburg.
Co-assistent, UMC Utrecht.
Prof. dr. Marijke R. van Dijk. Patholoog, UMC
Utrecht.