Een
clear cell acanthoma is een zeldzame, benigne, langzaam groeiende (2-10 mm per jaar) epidermale tumor, meestal op het onderbeen bij ouderen (50-60 jaar oud).
De naam komt van de histologie, heldere cellen met glycogeenstapeling. Het is voor het eerst beschreven door Degos in 1962.
Klinisch beeld:Scherp begrensde half-bolronde erythemateuze papel, nodus, tumor of plaque, 1-1.5 cm groot. Soms met (haemorrhagische) crusta, soms is er een nattend oppervlak door sereus exsudaat.
In het klassieke geval toont het oppervlak kleine glomerulaire vaatjes in
een reticulair / kralensnoer patroon, goed zichtbaar met de dermatoscoop. Vaak omgeven door een kleine epidermale collerette. Meestal solitair, in zeldzame gevallen zijn er multipele laesies.
Ook grote polypeuze varianten zijn beschreven.
![Clear cell acanthoma (click on photo to enlarge) [source: www.huidziekten.nl] Clear cell acanthoma](../../../images/clear-cell-acanthoma-1z.jpg) |
![Clear cell acanthoma (click on photo to enlarge) [source: www.huidziekten.nl] Clear cell acanthoma](../../../images/clear-cell-acanthoma-2z.jpg) |
![Clear cell acanthoma (click on photo to enlarge) [source: www.huidziekten.nl] Clear cell acanthoma](../../../images/clear-cell-acanthoma-3z.jpg) |
| clear
cell acanthoma |
clear
cell acanthoma |
clear
cell acanthoma |
![Clear cell acanthoma (click on photo to enlarge) [source: www.huidziekten.nl] Clear cell acanthoma](../../../images/clear-cell-acanthoma-4z.jpg) |
![Clear cell acanthoma (click on photo to enlarge) [source: www.huidziekten.nl] Clear cell acanthoma](../../../images/clear-cell-acanthoma-5z.jpg) |
![Clear cell acanthoma (click on photo to enlarge) [source: www.huidziekten.nl] Clear cell acanthoma](../../../images/clear-cell-acanthoma-6z.jpg) |
| clear
cell acanthoma |
clear
cell acanthoma |
dermatoscopie |
Dermatoscopie:
Dermatoscopisch is er een karakteristiek patroon te zien: glomerulaire of puntvormige vaatjes in lineaire patronen, lijkend op parelkettingen (glomerular or punctiform vessels arranged in linear patterns, with a pearl necklace appearance). En aan de randen een dun wit opstaand randje.
![Clear cell acanthoma (click on photo to enlarge) [source: www.huidziekten.nl] Clear cell acanthoma](../../../images/clear-cell-acanthoma-7z.jpg) |
| pearl
necklace appearance |
DD:
Granuloma teleangiectaticum,
basaalcelcarcinoom,
amelanotisch melanoom,
dermatofibroom,
trichilemmoma,
keratoacanthoma,
plaveiselcelcarcinoom,
fibroma,
verruca vulgaris,
poroma,
morbus Bowen,
Merkel cel
tumor, getraumatiseerd
hemangioma,
geïrriteerde verruca seborroica.
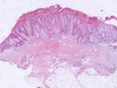
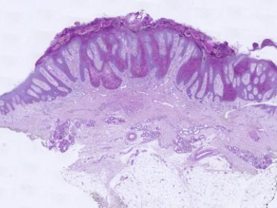
Histologie:Epidermale hyperplasie, verlengde retelijsten,
spongiose, PAS-kleuring: clear cells met glycogeenstapeling. Zie ook de
ingescande PA-coupe van de
afdeling pathologie van de University of
Toronto.
![Histologie clear cell acanthoma (click on photo to enlarge) [source: Kevin Kwee / Afdeling Pathologie MUMC] Histologie clear cell acanthoma](../../../pacoupes/thumbnails/clear-cell-acanthoma.jpg) |
![Histologie clear cell acanthoma (PAS kleuring) (click on photo to enlarge) [source: Kevin Kwee / Afdeling Pathologie MUMC] Histologie clear cell acanthoma (PAS kleuring)](../../../pacoupes/thumbnails/clear-cell-acanthoma-PAS.jpg) |
|
ingescande coupe (zoom) |
iingescande coupe (zoom) |
Bron
hoge resolutie PA-foto's: Kevin Kwee en Afdeling Pathologie MUMC. Klik
op de afbeelding om in te zoomen.
Therapie:

Excisie met marges als bij BCC
(3-5 mm).
Referenties
| 1. |
Nijssen A, Laeijendecker R, Heinhuis RJ,
Dekker SK. Polypoid clear cell acanthoma of unusual size. J Am Acad
Dermatol 2001;44:314-316. |
| 2. |
Cunha DG, Kassuga-Roisman LEBP, Silveira LKCB, Macedo FC. Dermoscopic features of clear cell acanthoma. An Bras Dermatol 2018;93(3):449-450. |
Author(s):dr. Jan R. Mekkes. Dermatologist, Amsterdam UMC.