Subcutane neonatale vetnecrose (subcutaneous fat necrosis
of the newborn) is een zeldzame en goedaardige aandoening van de neonaat gekenmerkt
door vast aanvoelende erythemateuze noduli en plaques op de romp, armen, benen,
billen en soms wangen, bij neonaten, in de eerste 6 weken. De huid is erythemateus
of paars en kan oedemateus of geïndureerd zijn, of met een peau d'orange aspect.
Soms is er uitwendig weinig waarneembaar, alleen erytheem of gering oedeem (pasteus
aanvoelend). De temperatuur van de huid is normaal. Het kan pijnlijk zijn, bij
ongeveer 25%. Soms ontstaat fluctuatie in de onderliggende panniculitis. Ulceraties
en perforaties met drainage via de huid kunnen ontstaan. Neonatale vetnecrose
gaat vanzelf weer over zonder behandeling. Maar het kan geassocieerd zijn met
ernstige, soms levensbedreigende
hypercalciëmie en
andere metabole afwijkingen (hyperparathyreoïdie en verhoogd vitamine D). De
hypercalciëmie, als die zich voordoet, begint meestal na de huidafwijkingen
maar kan ook al in de eerste levensweek ontstaan en 6 maanden aanhouden. Klachten
van hypercalciëmie kunnen zijn braken, slechte voedingstoestand, lethargie,
prikkelbaarheid, insulten, nierfalen en hartritmestoornissen.
![Subcutane neonatale vetnecrose (click on photo to enlarge) [source: www.huidziekten.nl] Subcutane neonatale vetnecrose](../../../images/neonatale-subcutane-vetnecrose-1z.jpg) |
![Subcutane neonatale vetnecrose (click on photo to enlarge) [source: www.huidziekten.nl] Subcutane neonatale vetnecrose](../../../images/neonatale-subcutane-vetnecrose-2z.jpg) |
| neonatale
vetnecrose |
neonatale
vetnecrose |
![Subcutane neonatale vetnecrose (click on photo to enlarge) [source: www.huidziekten.nl] Subcutane neonatale vetnecrose](../../../images/neonatale-subcutane-vetnecrose-5z.jpg) |
![Subcutane neonatale vetnecrose (click on photo to enlarge) [source: www.huidziekten.nl] Subcutane neonatale vetnecrose](../../../images/neonatale-subcutane-vetnecrose-6z.jpg) |
| neonatale
vetnecrose |
neonatale
vetnecrose |
De oorzaak van subcutane neonatale vetnecrose is niet bekend. Men vermoed
schade aan vetcellen door afkoeling of door neonatale stress door perinatale
hypoxie en diverse andere oorzaken waarbij hypoxie kan optreden (meconium aspiratie,
placenta insufficiëntie, pre-eclampsie, stagnerende bevalling, maternale diabetes,
occlusieve vasculopathie bij de moeder, gebruik van calciumantagonisten of cocaïne).
Rond de necrotische vetcellen ontstaat een granulomateus infiltraat, met verhoogde
concentraties van alpha-hydroxylase. Alpha-hydroxylase zet vitamine D precursor
25-OH-D3 om in 1,25-OH-2D3 en dit bevordert de opname van calcium. Dit is een
theorie achter het ontstaan van de hypercalciëmie, maar ook lekkage van calcium
uit vetcellen, een verhoogd PTH en verhoogd prostaglandine E2 worden genoemd
als mogelijke oorzaken.
DD:
Cellulitis,
erysipelas, steroid-induced fat necrosis,
erythema nodosum,
panniculitis nno,
vasculitis, sclerema neonatorum, congenitaal
lymfoedeem, CMV-infectie,
neurofibromatosis,
rhabdomyosarcoma, andere maligniteiten,
infantiele
hemangiomen.
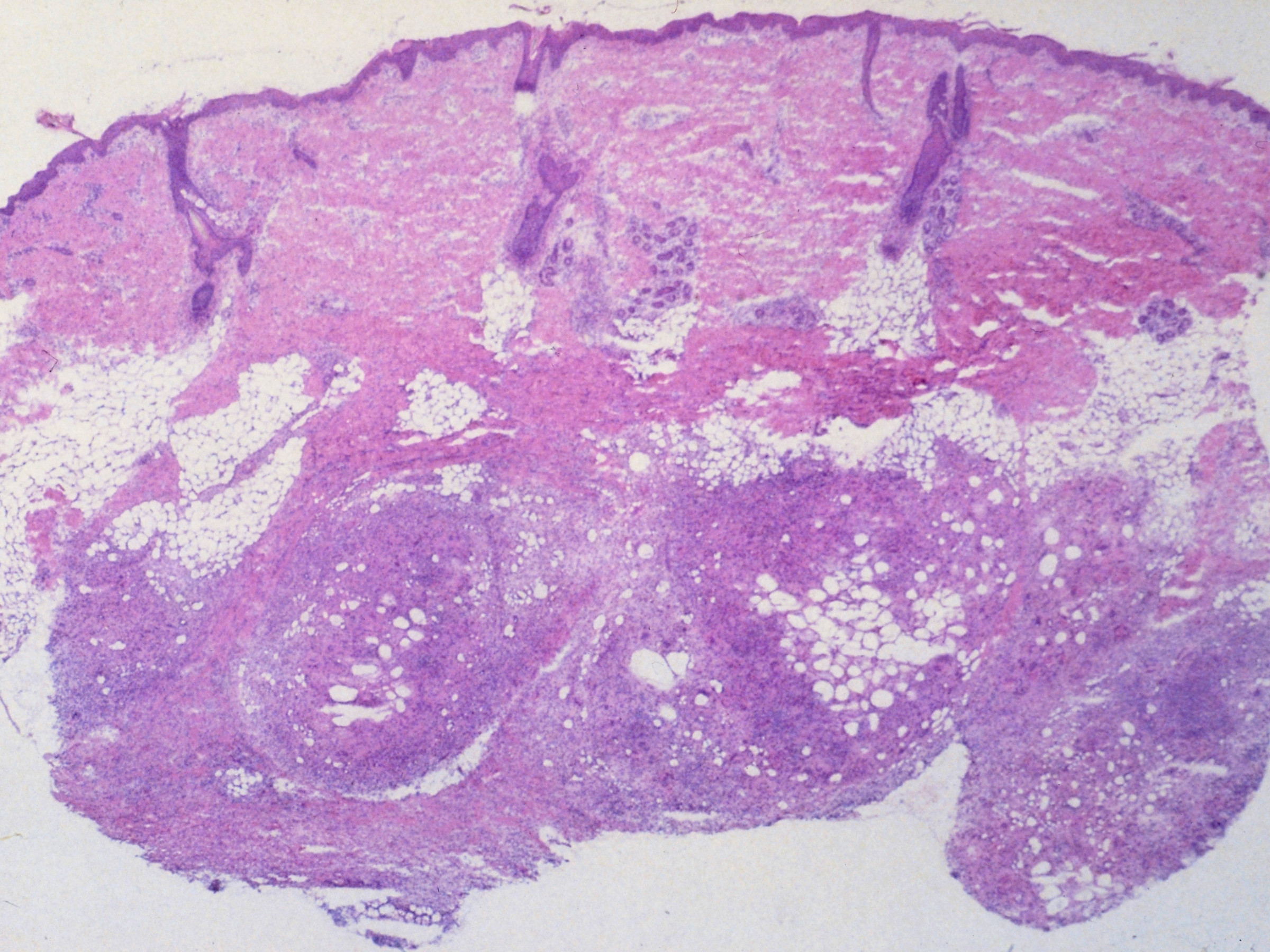
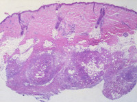
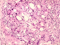
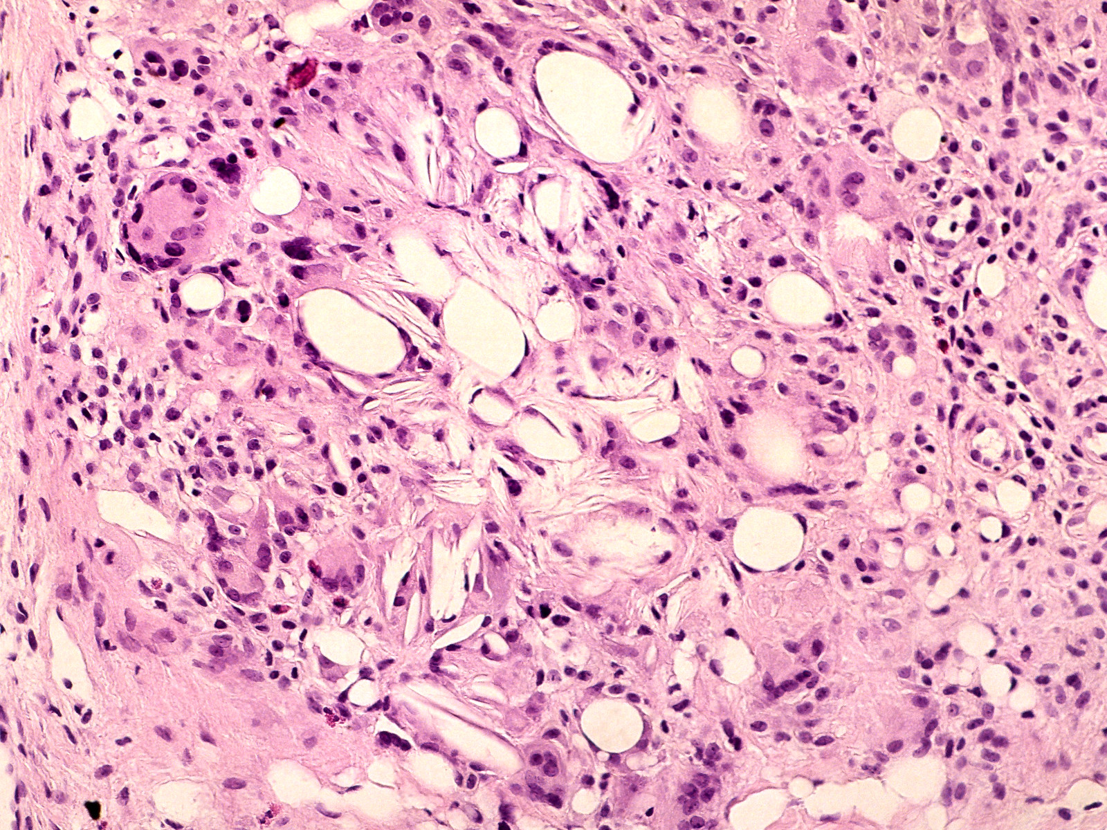
Diagnostiek:De diagnose wordt gesteld
op klinisch beeld en een diep biopt. Een punctie met een naald kan ook de diagnose
opleveren. Histologisch ziet men uitgebreide vetnecrose, vet kristallisatie,
calciumdeposities en rond de haarden van vetnecrose een uitgebreid granulomateus
ontstekingsinfiltraat van lymfocyten, macrofagen en reuscellen.
Daarnaast
is het erg belangrijk om het calciumgehalte te bepalen en dit te blijven monitoren
(1-2 x per week, maandenlang). Dit omdat de hypercalciëmie ongemerkt aanwezig
kan zijn en gevaarlijk kan zijn voor de neonaat. Soms is er ook eosinofilie.
![Subcutane neonatale vetnecrose (click on photo to enlarge) [source: www.huidziekten.nl] Subcutane neonatale vetnecrose](../../../images/neonatale-subcutane-vetnecrose-3z.jpg) |
![Subcutane neonatale vetnecrose (click on photo to enlarge) [source: www.huidziekten.nl] Subcutane neonatale vetnecrose](../../../images/neonatale-subcutane-vetnecrose-4z.jpg) |
| neonatale
vetnecrose |
neonatale
vetnecrose |
Therapie:Het gaat vanzelf over, geen therapie nodig.
Hypercalciëmie kan wel behandeling nodig hebben, door de kinderarts. De behandeling
bestaat uit NaCl infusies, diuretica (furosemide), laag-calcium en laag-vitamine
D dieet, soms bifosfonaten, pamidronate, of prednison (remt de vitamine D omzetting
in de infiltraten). In geval van pijn ook adequate pijnstilling.
Referenties
| 1. |
Tran JT, Sheth AP. Complications of subcutaneous
fat necrosis of the newborn: a case report and review of the literature.Pediatr
Dermatol 2003;20(3):257-261. |
| 2. |
Mahé E, Girszyn N, Hadj-Rabia S, Bodemer
C, Hamel-Teillac D, De Prost Y. Subcutaneous fat necrosis of the
newborn: a systematic evaluation of risk factors, clinical manifestations,
complications and outcome of 16 children.Br J Dermatol 2007;156(4):709-715. |
| 3. |
Akcay A, Akar M, Oncel MY, et al. Hypercalcemia
due to subcutaneous fat necrosis in a newborn after total body cooling.Pediatr
Dermatol 2013;30(1):120-123. |
| 4. |
Akin MA, Akin L, Sarici D, Yilmaz I, Balkanli
S, Kurtoglu S. Follow-up during early infancy of newborns diagnosed
with subcutaneous fat necrosis.J Clin Res Pediatr Endocrinol 2011;3(4):216-218. |
| 5. |
Schubert PT, Razack R, Vermaak A, Jordaan
HF. Fine-needle aspiration cytology of subcutaneous fat necrosis
of the newborn: the cytology spectrum with review of the literature.Diagn
Cytopathol 2012;40(3):245-247. |
| 6. |
Khan N, Licata A, Rogers D. Intravenous bisphosphonate
for hypercalcemia accompanying subcutaneous fat necrosis: a novel
treatment approach.Clin Pediatr 2001;40(4):217-219. |
| 7. |
Lombardi G, Cabano R, Bollani L, Del Forno
C, Stronati M. Effectiveness of pamidronate in severe neonatal hypercalcemia
caused by subcutaneous fat necrosis: a case report.Eur J Pediatr
2009;168(5):625-627. |
| 8. |
Dudink J, Roeten BM, van der Meer-Kappelle
LH, Walther FJ. Pijnlijke huidafwijkingen bij twee pasgeborenen:
neonatale subcutane vetnecrose. Ned Tijdschr Geneeskd 2003;147:2337-2340. |
Author(s):dr. Jan R. Mekkes. Dermatologist, Amsterdam UMC.