SUBEPIDERMALE GECALCIFICEERDE NODULUS home ICD10: L94.2

Een subepidermale gecalcificeerde nodulus (gelocaliseerde idiopathische dermale calcinosis, tumorale calcinosis, cutane calculus, subepidermal calcified nodule) is een nodus met secundaire kalkdepositie. Het is niet duidelijk waardoor het ontstaat. Zie ook onder calcinosis cutis.

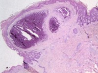
Subepidermal calcified nodule Subepidermal calcified nodule
tumorale calcinosis tumorale calcinosis


Klinisch beeld:
Meestal solitair, soms enkele en een enkele keer vele. De meeste patiƫnten zijn kinderen, soms is de nodulus bij de geboorte aanwezig, soms ontstaat hij pas in de volwassenheid. Vaak is het oppervlak enigszins verruceus, maar het kan ook glad zijn. Meestal is de laesie in het gelaat gelokaliseerd. Primair lijkt er sprake te zijn van een grote homogene massa die gaat calcificeren en die opbreekt in multipele gecalcificeerde globuli. Gelocaliseerde idiopathische dermale calcinosis kan ook voorkomen als een solitaire nodulus op de ledematen. Bij tumorale calcinosis zijn kalkdeposities aanwezig in dermis en subcutis, met name boven benige uitsteeksels.

DD:
pilomatricoma, keratoacanthoom, reuzen molluscum contagiosum, carcinoma spinocellulare.

PA:
De epidermis is intact met centraal enige acanthose. In de dermis worden grote en ook kleinere compacte kalkhaarden aangetroffen, waarbij aan de rand van vooral de kleinere kalkdeposities een histiocytaire granulomateuze reactie wordt gezien, met histiocytaire reuslcelformatie. Kleuring op micro-organismen negatief.


Referenties
1. Lever's Histopathology of the skin, 8 edition. Lippincott - Raven, Philadelphia - New York 1997,382.
2. McKee PhH. Pathology of the Skin, 2e edition. Mosby-Wolfe, London 1996;7.33.
3. Weedon D, Skin Pathology. Churchill-Livingstone, Edinburgh 1997:353.


Author(s):
dr. Jan R. Mekkes. Dermatologist, Amsterdam UMC.

31-05-2023 (JRM) - www.skin-diseases.eu Terug naar homepagina



Diagnosis codes:
ICD10 L94.2 Calcinosis cutis: subepidermale gecalcificeerde nodulus
ICD10 L94.2 Calcinosis cutis: subepidermal calcified nodule
SNOMED 703086002 Subepidermal calcified nodule
DBC 27 Diagnose niet nader omschreven