Bij
epidermolysis bullosa dystrofica kan in zeldzame gevallen een
secundaire (dystrofische) calcinosis cutis voorkomen. Bij epidermolysis
bullosa congenita zijn er mutaties in het gen voor collageen VII dat
onderdeel is van de anchoring fibrils tussen epidermis en dermis. Hierdoor
ontstaat vaak uitgebreide erosies en ulceraties op plaatsen blootgesteld aan
druk of frictie. In deze chronisch open wonden kunnen calciumdeposities
ontstaan. Klinisch ziet men
grillige wat wittig beslagen gebieden die bij palpatie vast tot
hard aanvoelen.
Calcinosis cutis wordt onderverdeeld in een dystrofische, metastatische en
idiopatische groep. Dystrofische calcinosis kan gelokaliseerd en gedissemineerd tot
gegeneraliseerd voorkomen. De pathogenese van calcinosis is niet geheel
duidelijk. Bij dystrofische calcinosis slaan de calciumzouten neer in
beschadigd of gedegenereerd bindweefsel. Dit is onder andere beschreven bij
sclerodermie en in littekens bij brandwonden en acne keloidalis en kan dus
ook worden gezien bij langer bestaande ulceraties bij epidermolysis bullosa dystrofica,
waarbij ook superficiële dermale verlittekening tot
zelfs scleroderma-achtige fibrose kan optreden. Zie ook onder
calcinosis cutis.
![Calcinosis cutis bij epidermolysis bullosa dystrofica (click on photo to enlarge) [source: www.huidziekten.nl] Calcinosis cutis bij epidermolysis bullosa dystrofica](../../../images/calcinosis-cutis-bij-EBD-1z.jpg) |
![Calcinosis cutis bij epidermolysis bullosa dystrofica (click on photo to enlarge) [source: www.huidziekten.nl] Calcinosis cutis bij epidermolysis bullosa dystrofica](../../../images/calcinosis-cutis-bij-EBD-2z.jpg) |
![Calcinosis cutis bij epidermolysis bullosa dystrofica (click on photo to enlarge) [source: www.huidziekten.nl] Calcinosis cutis bij epidermolysis bullosa dystrofica](../../../images/calcinosis-cutis-bij-EBD-3z.jpg) |
| calcinosis
cutis bij EBD |
calcinosis
cutis bij EBD |
calcinosis
cutis bij EBD |
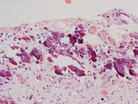
Diagnostiek:De diagnose wordt gesteld op het
histologisch beeld. In de oppervlakkige dermis zijn kalkdeposities aanwezig.
De kalkdeposities zitten niet in de vaten. Er zijn vreemdlichaamreuscellen
en lymfocyten in de dermis aanwezig. De dermis toont fibrose. Calcium
spiegels normaal.
DD:Maligniteit,
plaveiselcelcarcinoom bij epidermolysis bullosa dystrofica, littekenweefsel,
hyperkeratose.
Referenties
| 1. |
Ischikawa O, Warita S, Ohnishi
K, Miyachi Y. A scleroderma-like variant of dystrofic epidermolysis bullosa?
Br J Dermatol 1993;129:602-605. |
| 2. |
Panicek DM, Leeson SH. Superficial fascial
calcification in epidermolysis bullosa, case report. Am J Roentgenol
1987;148:577-578. |
Author(s):dr. Jan R. Mekkes. Dermatologist, Amsterdam UMC.