Pseudoxanthoma elasticum (PXE, Grönblad-Strandberg
syndroom) is een genodermatose (
OMIM
264800) waarbij afwijkingen
aan de elastinevezels ontstaan. De prevalentie is 1:25.000-100.000. De ziekte
erft vrijwel uitsluitend autosomaal recessief over. Een autosomale variant is
beschreven, maar zeldzaam (
OMIM
177850). Sexe ratio
man: vrouw 1:2. De karakteristieke afwijkingen ontstaan door mineralisering
(calcificatie) en fragmentatie van elastische vezels in huid, retina en bloedvatwanden.
Dit leidt uiteindelijk tot scheurtjes en breuken in het weefsel.
![Pseudoxanthoma elasticum (click on photo to enlarge) [source: www.huidziekten.nl] Pseudoxanthoma elasticum](../../../images/pxe3z.jpg) |
![Pseudoxanthoma elasticum (click on photo to enlarge) [source: www.huidziekten.nl] Pseudoxanthoma elasticum](../../../images/pxe8z.jpg) |
| cobblestone
aspect |
cobblestone
aspect |
Klinisch beeld:Het klinische beloop is zeer heterogeen
met aanzienlijke variatie in fenotypes en progressie van de ziekte.
Huid:- Gelige papels, soms confluerend tot plaques
(cobblestone aspect / 'geplukte kip').
- Eerste manifestatie vaak laterale
zijde van nek. Ook: oksels, elleboogsplooien, knieholtes, liezen, mondhoeken
en rondom de navel.
- Soms ook gelige papels op slijmvliezen, voornamelijk
binnenzijde van de onderlip.
- Eerste presentatie gemiddeld in 2e decade,
maar grote variatie.
- Soms een versterkte laxiteit van de huid, leidend
tot plooivorming.
- Prominente, diepe horizontale schuine groeven op de kin
('prominent mental creases').
Ogen:- Angioide
strepen (
angioid streaks) en peau d'orange
aspect van de retina.
- Dehiscentie van retina ten gevolge van degeneratie
van de elastische lamina in Bruch's membraan (tussen retina en choroidea).
- Neovascularisatie en verhoogd risico op bloedingen, waardoor visusverlies
en soms blindheid.
- Afwijkingen zijn vaak bilateraal aanwezig, bij 100%
van patiënten> 30 jaar.
Cardiovasculair:
- Calcificatie van elastische vaatwandlagen (intima en media), voornamelijk
van middelgrote arteriën.
- Kan leiden tot ernstig coronairlijden en perifeer
arterieel vaatlijden (atherosclerosis, hypertensie) en aneurysmavorming op jonge
leeftijd (30 jaar).
- Mitraalklepprolaps en CVA.
Tractus
digestivus:- Bloedingen
Pathogenese:Het genetisch defect werd in 2000 gelokaliseerd
in het ABCC6 gen op chromosoom 16, 16p13.1. Het ABCC6 gen codeert voor het multi-drug
resistance protein 6 (MRP6), een transmembraan-transport-eiwit. Het gen komt
voornamelijk tot expressie in lever en nieren, de exacte rol is nog niet bekend,
maar het speelt mogelijk een rol in de detoxificatie van de cel. Afwezigheid
van het gen leidt mogelijk tot stapeling van metabole producten. Recentere publicaties
suggeren dat PXE als metabole ziekte moet worden gezien. Er is een brede variatie
in fenotypes, suggestief voor invloeden van andere genen of omgevingsfactoren
die ABCC6 expressie beïnvloeden. Tot op heden zijn er circa 60 mutaties van
ABCC6 beschreven.
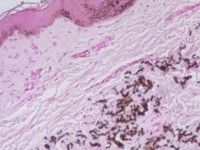
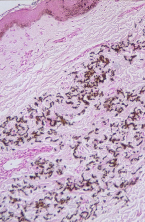
PA: Fragmentatie en ophoping van elastische
vezels mid- en diep dermaal (elastine kleuring: Verhoef-van Giesson), in vergevorderde
stadia zijn calciumdeposities zichtbaar (H&E of von Kossa/calciumkleuring).
![Pseudoxanthoma elasticum (click on photo to enlarge) [source: www.huidziekten.nl] Pseudoxanthoma elasticum](../../../images/pxe4z.jpg) |
![Pseudoxanthoma elasticum (click on photo to enlarge) [source: www.huidziekten.nl] Pseudoxanthoma elasticum](../../../images/pxe5z.jpg) |
| fragmentatie
elastine vezels |
fragmentatie
elastine vezels |
Therapie:Verwijs patiënten naar klinische genetica
voor voorlichting en advies en eventueel DNA-onderzoek.
- Jaarlijkse controle
bij oogarts en cardioloog.
- Beleid is gericht op voorkomen van complicaties
en het optimaliseren van het cardiovasculaire risicoprofiel (stoppen met roken,
gewichtsverlies, normotensie etc.). Een calciumarm dieet heeft geen effect.
- Vermijden van contactsporten en drukverhogende momenten, in verband met vaatwandfragiliteit.
- Eventueel cosmetische ingreep voor huidafwijkingen.
- Geen NSAID's vanwege
verhoogde kans op bloedingen in tractus digestivus.
Nederlandse contactgroep:
www.pxe.nl, met link naar de internationale
site:
www.pxe.org.
Referenties
| 1. |
' t Hoen M, Bergen AAA, de Haas ERM. Pseudoxanthoma
elasticum (Grönblad-Strandberg syndroom). NTDV 2005;10:445-447. |
| 2. |
Sherer WX, Sapadin AN, Lebwohl MG. Pseudoxanthoma
elasticum: an update. Dermatology 1999;199:3-7. |
| 3. |
Laube S, Moss C. Pseudoxanthoma elasticum.
Arch Dis Child 2005;90:754-756. |
| 4. |
Bercovitch l, Terry P. Pseudoxanthoma elasticum.
JAAD 2004;S13-14. |
| 5. |
Lebwohl M, Lebwohl E, Bercovitch L. Prominent
mental (chin) crease: a new sign of pseudoxanthoma elasticum. JAAD
2003;48:620-622. |
| 6. |
Lebwohl M, Neldner K, Pope FM, et al. Classification
of pseudoxanthoma elasticum: a report of a consensus conference.
JAAD 1994;30:103-107. |
Author(s):dr. W.F.M. Goldschmidt. Dermatoloog, Ziekenhuis
Amstelland, Amstelveen.