Osteoma cutis is een zeldzame tumor van de huid en
wordt gedefinieerd als
botnieuwvorming in de huid
(zie ook onder
osteosis cutis) zonder neiging
tot ingroei in omliggende weefsels. Meestal is botvorming in de huid niet neoplastisch,
maar ontstaat door ossificatie in pre-existente lesies, zoals tumoren, traumata
of ontstekingsreacties. Deze reactieve vorm van osteoma cutis komt het meest
voor.
Een oorzaak voor osteoma cutis is ook
Albright's hereditaire
osteodystrophy (AHO). Dit is een groep van autosomaal dominante
aandoeningen die niet alleen door osteoma cutis gekenmerkt worden, maar ook
door korte gestalte, brachydactylie, obesitas, een rond gelaat, mentale retardatie,
hypocalciemie en ongevoeligheid van de eind-organen voor parathormoon (pseudohypoparathyreoidie).
Een andere oorzaak is
progressieve ossale heteroplasie (POH),
een genetische aandoening waarbij de differentiatie van mesenchym gestoord is
en gekenmerkt wordt door dermale botvorming op baby- en peuterleeftijd, en progressieve
verspreide botvorming van bindweefsel in en buiten de huid op kinderleeftijd,
waarbij ook ingroei in spierweefsel kan plaatsvinden. De fenotypische kenmerken
van AHO ontbreken. De genetische basis van
progressieve ossale heteroplasie
is mogelijk een GNAS mutatie.
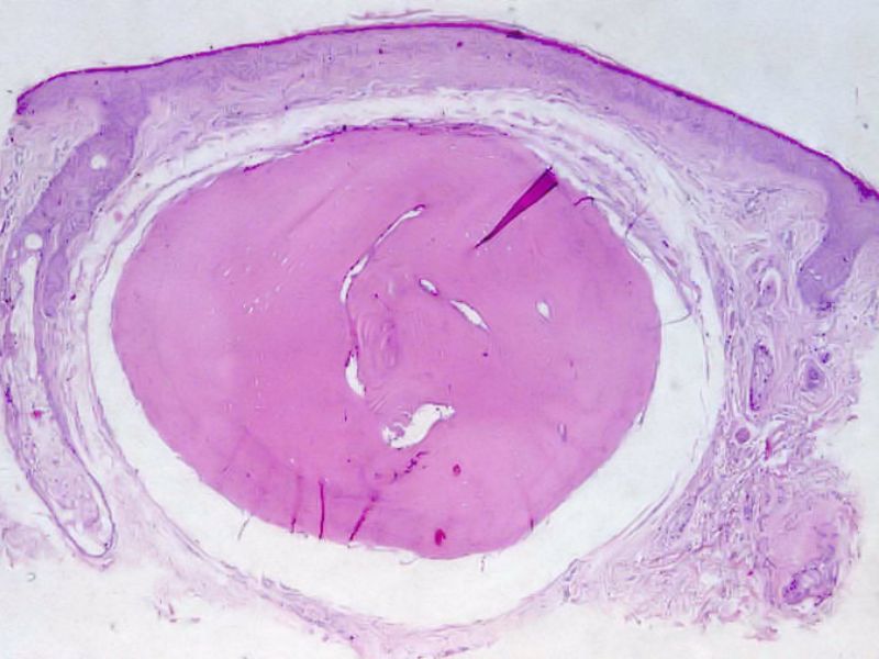
![Osteoma cutis (click on photo to enlarge) [source: www.huidziekten.nl] Osteoma cutis](../../../images/osteoma-cutis-1z.jpg) |
![Osteoma cutis (click on photo to enlarge) [source: www.huidziekten.nl] Osteoma cutis](../../../images/osteoma-cutis-2z.jpg) |
![Osteoma cutis (click on photo to enlarge) [source: www.huidziekten.nl] Osteoma cutis](../../../images/osteoma-cutis-3z.jpg) |
| osteoma
cutis |
osteoma
cutis |
osteoma
cutis |
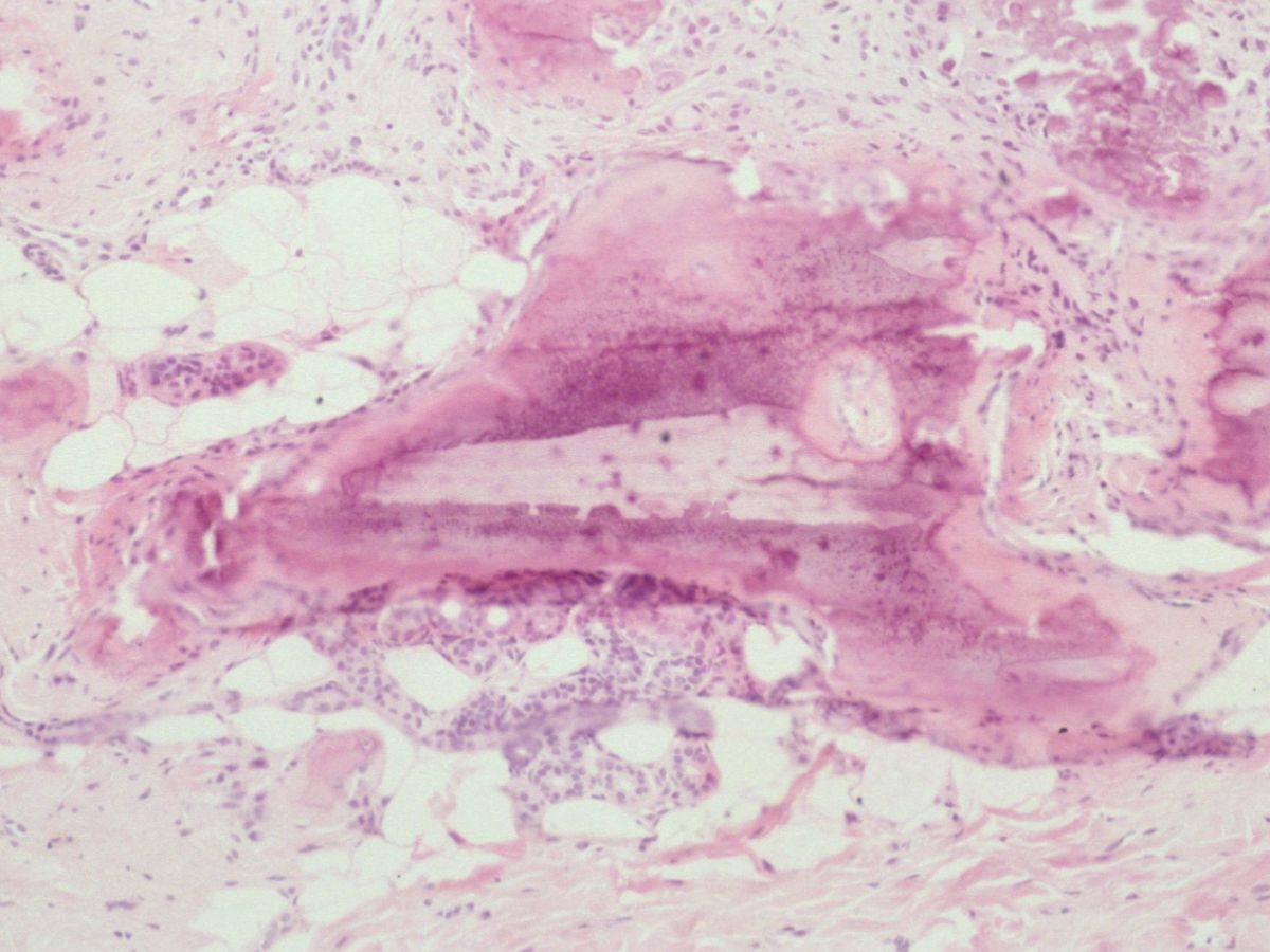
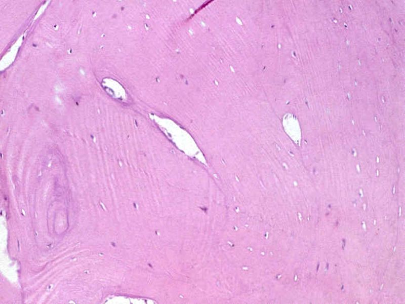
![Osteoma cutis (click on photo to enlarge) [source: www.huidziekten.nl] Osteoma cutis](../../../images/osteoma-cutis-4z.jpg) |
![Osteoma cutis (click on photo to enlarge) [source: www.huidziekten.nl] Osteoma cutis](../../../images/osteoma-cutis-5z.jpg) |
![Osteoma cutis (click on photo to enlarge) [source: www.huidziekten.nl] Osteoma cutis](../../../images/osteoma-cutis-6z.jpg) |
| osteoma
cutis |
osteoma
cutis |
osteoma
cutis |
DD: osteosis cutis nno,
calcinosis cutis,
calciphylaxis cutis,
multipele miliaire osteomen,
progressive osseous heteroplasia
(POH), fibrodysplasia ossificans progressiva, Albright hereditary osteodystrophy,
plate-like osteoma.
Therapie:Als behandeling voor
osteoma cutis komt alleen excisie in aanmerking.
Referenties
| 1. |
Rook A, Wilkinson DS, Ebling FJG. Textbook
of Dermatology, sixth edition 1998:2370. |
| 2. |
Harper J, Oranje A, Prose N. Textbook of
Pediatric Dermatology, first edition 2000:790-792, 1645-1647 |
| 3. |
Schuhmachers G, Worret WI. Osteoma Cutis.
Hautarzt 1992:422-425. |
| 4. |
Goeteyn V, De Potter CR, Naeyaert
JM. Osteoma cutis in Pseudohypoparathyroidism 1999:209-211 |
| 5. |
Kaplan FS; Shore EM Progressive osseous heteroplasia.
J Bone Miner Res 2000:2084-2094. |
Author(s):dr. M.C. Pasch. Dermatoloog, UMCN, Nijmegen.
dr. Jan R. Mekkes. Dermatologist, Amsterdam UMC.