Het
Rothmund-Thomson syndroom (synoniemen: poikiloderma
congenitalis, poikiloderma atrophicans with cataract) is een zeer zeldzame autosomaal
recessief erfelijke afwijking met als kenmerken fotosensitiviteit,
poikiloderma (hyperpigmentatie, hypopigmentatie
en atrofie), cataract, botafwijkingen en een verhoogde kans op huidkanker en
botkanker (osteosarcoom). De mutatie is gelegen in een RECQL4 helicase gene
op chromosoom 8q24 (
OMIM
264800). Het syndroom
is voor het eerst beschreven door August von Rothmund in 1868 en later door
Matthew Sydney Thomson in 1936. De huidafwijkingen beginnen al in het eerste
levensjaar, vanaf een leeftijd van 3 maanden.
![Rothmund-Thomson syndroom (click on photo to enlarge) [source: www.huidziekten.nl] Rothmund-Thomson syndroom](../../../images/Rothmund-Thomson-syndroom-1z.jpg) |
![Rothmund-Thomson syndroom (click on photo to enlarge) [source: www.huidziekten.nl] Rothmund-Thomson syndroom](../../../images/Rothmund-Thomson-syndroom-2z.jpg) |
![Rothmund-Thomson syndroom (click on photo to enlarge) [source: www.huidziekten.nl] Rothmund-Thomson syndroom](../../../images/Rothmund-Thomson-syndroom-3z.jpg) |
| Rothmund-Thomson
syndr. |
Rothmund-Thomson
syndr. |
Rothmund-Thomson
syndr. |
![Rothmund-Thomson syndroom (click on photo to enlarge) [source: www.huidziekten.nl] Rothmund-Thomson syndroom](../../../images/Rothmund-Thomson-syndroom-4z.jpg) |
![Rothmund-Thomson syndroom (click on photo to enlarge) [source: www.huidziekten.nl] Rothmund-Thomson syndroom](../../../images/Rothmund-Thomson-syndroom-5z.jpg) |
![Rothmund-Thomson syndroom (click on photo to enlarge) [source: www.huidziekten.nl] Rothmund-Thomson syndroom](../../../images/Rothmund-Thomson-syndroom-6z.jpg) |
| Rothmund-Thomson
syndr. |
Rothmund-Thomson
syndr. |
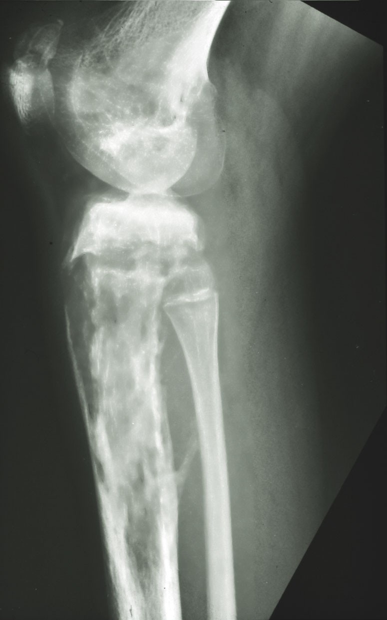
osteosarcoom |
Klinisch beeld:Poikiloderma en teleangiëctasieën
in een fotodistributie, rode en/of oedemateuze plaques, soms met blaarvorming,
op de wangen, billen en extremiteiten, fotosensitiviteit,hyperkeratose op ellebogen,
knieën, handen, voeten, palmoplantaire hyperkeratose. Cataract op jonge leeftijd,
botafwijkingen (korte beenderen, missende duimen, afwijkende vorm gelaat met
uitpuilend voorhoofd, zadelneus, micrognathia), gestoorde haargroei, ontbrekende
wenkbrauwen of wimpers,
vroegtijdig grijs
worden, nagel dystrofie of atrofie, hypodontie, gestoord calcium metabolisme,
calcinosis cutis. Verhoogde kans op
osteosarcoom en huidkanker. Soms anemie, neutropenie, leukemia. Soms ook hypoplasie
genitaliën, amenorroe, infertiliteit.
DD:
dyskeratosis congenita,
acrogeria (Gottron syndroom),
Werner syndroom,
Bloom syndroom,
Cockayne syndroom,
Kindler syndroom, Fanconi anemie,
poikiloderma with neutropenia,
erythropoietische protoporfyrie,
Mendes da Costa syndroom.
Diagnostiek:Genetisch onderzoek (
DNA-diagnostiek)
naar de RECQL4 mutatie. Röntgenfoto's van de extremiteiten vanaf 5 jarige leeftijd.
Regelmatige controle van de ogen door de oogarts. Regelmatige controle van de
huid op huidmaligniteiten (plaveiselcelcarcinoom, morbus Bowen).
Therapie:Zonprotectie, zon mijden, goede sunscreens gebruiken.
Keratolytica. Neotigason in een lage dosis (10 mg) kan het aantal hyperkeratotische
afwijkingen verminderen. Teleangiëctasieën kunnen eventueel met een pulsed-dye
laser worden behandeld.
R/ Neotigason (isotretinoïne) 1 dd 10 mg.
Referenties
| 1. |
Kitao S, Shimamoto A, Goto M, et al. Mutations
in RECQL4 cause a subset of cases of Rothmund-Thomson syndrome.
Nat Genet 1999;22(1):82-84. |
| 2. |
Houwing RH, Oosterkamp RF, Berghuis M, Beemer
FA, Van Vloten WA. Rothmund-Thomson syndrome. Br J Dermatol 1991;125(3):279-280. |
| 3. |
Wang LL, Levy ML, Lewis RA, et al. Clinical
manifestations in a cohort of 41 Rothmund-Thomson syndrome patients.
Am J Med Genet 2001;102(1):11-17. |
| 4. |
Wang LL, Gannavarapu A, Kozinetz CA, et al.
Association between osteosarcoma and deleterious mutations in the
RECQL4 gene in Rothmund-Thomson syndrome. J Natl Cancer Inst 2003;95(9):669-674. |
| 5. |
Geronemus RG. Treatment of the cutaneous
vascular component of the Rothmund-Thomson syndrome. Pediatr Dermatol
1996;13(2):175. |
| 6. |
Piquero-Casals J, Okubo AY, Nico MM. Rothmund-Thomson
syndrome in three siblings and development of cutaneous squamous
cell carcinoma. Pediatr Dermatol 2002;19(4):312-316. |
| 7. |
Porter WM, Hardman CM, Abdalla SH, Powles
AV. Haematological disease in siblings with Rothmund-Thomson syndrome.
Clin Exp Dermatol 1999;24(6):452-454. |
Author(s):dr. Jan R. Mekkes. Dermatologist, Amsterdam UMC.