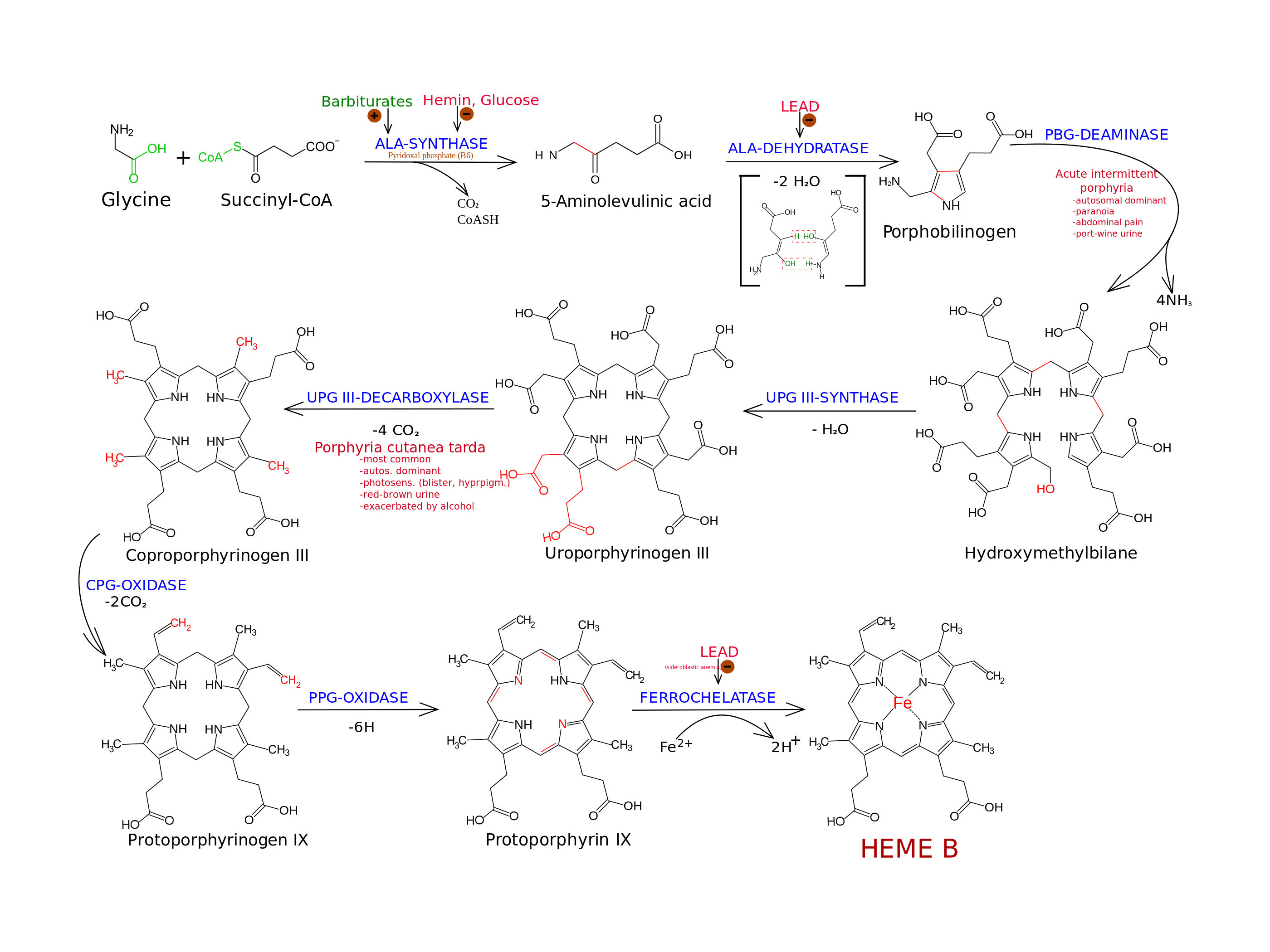
PORPHYRIEËN home ICD10: E80.2

Porfyrie is een stofwisselingsziekte waarbij er sprake is van een hoofdzakelijk genetische deficiëntie in de enzymactiviteit in de haem biosynthese. De porfyrine synthese omvat 8 enzymatische stappen leidend tot haem als eindproduct. Behalve het eerste enzym kan dysfunctie van elk van deze enzymen leiden tot porfyrie. Bij deficiëntie van een enzym in de keten van het porfyrinemetabolisme kan zich een porfyrine-intermediar ophopen.
Porhyrine metabolisme schematisch
Porphyrinen metabolisme. Illustratie: MrNerdy - Wikimedia (Creative Commons License 3.0).


Vanuit dermatologisch oogpunt kan porfyrie ingedeeld worden in cutane en non-cutane vormen. Vanuit een algemeen klinisch perspectief kan porfyrie in acute en non-acute porfyrie worden ingedeeld (zie tabel 2). Waarbij bij de acute vorm levensbedreigende acute neurologische aanvallen kunnen optreden. Een acute aanval begint met lichte gedragsveranderingen zoals angst, rusteloosheid en slapeloosheid waarna zich vervolgens een autonome en sensomotorische neuropathie ontwikkelt (met symptomen zoals hypertensie, tachycardie, buikpijn, constipatie, braken, spierzwakte, extreme pijn, doof gevoel in extremiteiten, bulbaire parese, hallucinaties, convulsies, verminderd bewustzijn).


Tabel 2. Classificatie porfyrie in acuut vs non-acuut:
Acute porfyrie Incidentie Leeftijd Bijzonderheden
Acute intermitterende porfyrie* 0.5-1 per 10000 2de tot 4de decade,
zelden voor puberteit
Meest voorkomende acute porfyrie, acute neurologische symptomen maar geen fotosensitiviteit / cutane symptomen
Porfyria variegata ~ 1 per 300 in Zuid Afrika
zeldzaam elders
2de tot 3de decade,
meestal niet voor de puberteit
Huid symptomen vergelijkbaar met PCT, acute symptomen vergelijkbaar met acute symptomen vergelijkbaar met AIP
Hereditaire coproporfyrie Zeer zeldzaam
(< 50 gerapporteerde casussen)
Meestal niet voor de puberteit Acute aanvallen vergelijkbaar met AIP en cutane symptomen zoals erytheem en blaarvorming
ALA dehydratase deficiency porfyrie* Extreem zeldzaam
(< 10 gerapporteerde casussen)
Vroege en late gevallen zijn beschreven Neurologische symptomen vgl AIP; geen fotosensitiviteit / cutane symptomen
Non-acute porfyrie      
Porfyria cutanea tarda Meest voorkomende porfyrie 3de tot 4de decade, meestal niet voor de puberteit Er bestaan verworven en hereditaire varianten; matige tot ernstige fotosensitiviteit, cutane symptomen zoals vesikels en bullae, huid fragiliteit, erosies, korsten, milia, littekens, hyperpimentatie en hypertrichosis
Erythropoiëtische protoporfyrie Tweede meest voorkomende cutane porfyrie Jeugd (1-4 jaar), late onset zeer zeldzaam Cutane symptomen, zoals erytheem, oedeem, purpura, huidverdikking, wasachtige littekens; meestal geen blaarvorming, in ca 5 % van de patiënten ernstige leverziekte
Congenitale erythropoiëtische porfyrie Zeer zeldzaam ( ~ 150 casussen gerapporteerd) Vroege jeugd / 1ste decade Zeer ernstig klinisch verloop, vesikels, bullae, erosies, ulceraties, korsten, mila, littekenvorming, hyperpigmentaties en hypertrichosis, multilatie, hemolytische anemie, hepatosplenomegalie, porphyrine depositie in botten en tanden.
Hepato-erythropoiëtische porfyrie Extreem zeldzaam (~ 25 casussen gerapporteerd) Vroege jeugd Recessieve variant van PCT, zowel in Europa als VS gerapporteerd, met duidelijk toegenomen fotosensitiviteit en ernstig klinisch beloop, vesikels en bullae, huid fragiliteit, erosies, korsten milia, littekenvorming en hypertrichosis, mutilatie


Epidemiologie:
Zeldzaam, komt bij alle rassen en bij zowel mannen als vrouwen voor. Prevalentie varieert van 0.5-10 per 100 000 (zie tabel 2).

Pathogenese:
Haem wordt in elke humane cel geproduceerd maar het merendeel wordt in het beenmerg geproduceerd (85% van het totaal) als bouwsteen voor hemoglobine. Daarnaast wordt haem in de lever geproduceerd als onderdeel voor bepaalde enzymen die betrokken zijn bij oxydatie, celdifferentiatie, eiwitsynthese, hydroxylering en de detoxificatie van exo- en endogene stoffen in de lever. Mutaties in een van de enzymen van de haem synthese kunnen leiden tot een accumulatie en meetbare excretie van porfyrines en porfyrine precursors. In geval van een enzymdeficiëntie ontstaat er accumulatie van substraat als de betreffende enzymactiviteit 50% of minder is. Alle porfyrieën zijn autosomaal dominant of recessief overerfbaar, met uitzondering van de verworven vorm van porfyria cutanea tarda. Huidsymptomen worden veroorzaakt doordat porfyrines zoals uroprorfyrine, coproporfyrine en protoporfyrine licht absorberen in de zgn. Soret band (maximale absorptie piek tussen 400 en 410 nm) waardoor zij in een geëxciteerde staat raken. Om vervolgens weer in een stabiele toestand terug te keren vindt er energie afgifte plaats aan o.a. zuurstofmoleculen, waardoor er vrije zuurstof radicalen ontstaan en andere zuurstof soorten die weefselschade veroorzaken, zoals peroxidatie van celmembraan lipiden en eiwit cross-linking.
Ophoping van wateroplosbare porfyrinen in de huid zoals uro-, copro- en protoporfyrines leiden onder invloed van zonlicht tot blaarvorming (PCT, porfyria variegata, hereditaire coporpofyrie), terwijl ophoping van lipofiele protoporfyrines leidt tot een onmiddellijk brandende sensatie na blootstelling aan UV licht met vervolgens erytheem en oedeem, zoals gezien wordt bij erythropoiëtische protoporfyrie.

Klinisch beeld:
Zie ook tabel 2. VP, HCP, PCT: na zonexpositie bovenmatige kwetsbaarheid van de huid, blaarvorming en littekenvorming met name handen, welke meestal dagen aanhoudt. Tevens kan er hyperpigmentatie en hypertrichose ontstaan in het gelaat. Seizoensgebonden variatie van klachten, waarbij meeste klachten in de zomer en herfst. Risicofactoren voor manifest worden van PCT: hepatitis C, HIV infectie, overmatig alcoholgebruik, haemodialyse bij chronische nierinsufficiëntie,blootstelling aan oestrogenen bij vrouwen. Erythropoietische porfyrie: brandend gevoel, oedeem en erytheem, welke onmiddellijk optreden na zon expositie en weer verdwijnen na een aantal dagen zonvermijding. Tevens kunnen pitting scars in het gezicht gezien worden en periorale rimpelachtige littekens en verdikking van de huid ter plaatse van de knokkels. Klachten seizoensgebonden, met name vroege lente tot late zomer.

Porphyria cutanea tarda Porphyria cutanea tarda Porphyria cutanea tarda
porphyria cutanea tarda porphyria cutanea tarda porphyria cutanea tarda

Erythropoietische protoporfyrie Erythropoietische protoporfyrie Erythropoietische protoporfyrie
erythropoietische protoporfyrie erythropoietische protoporfyrie erythropoietische protoporfyrie


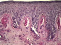
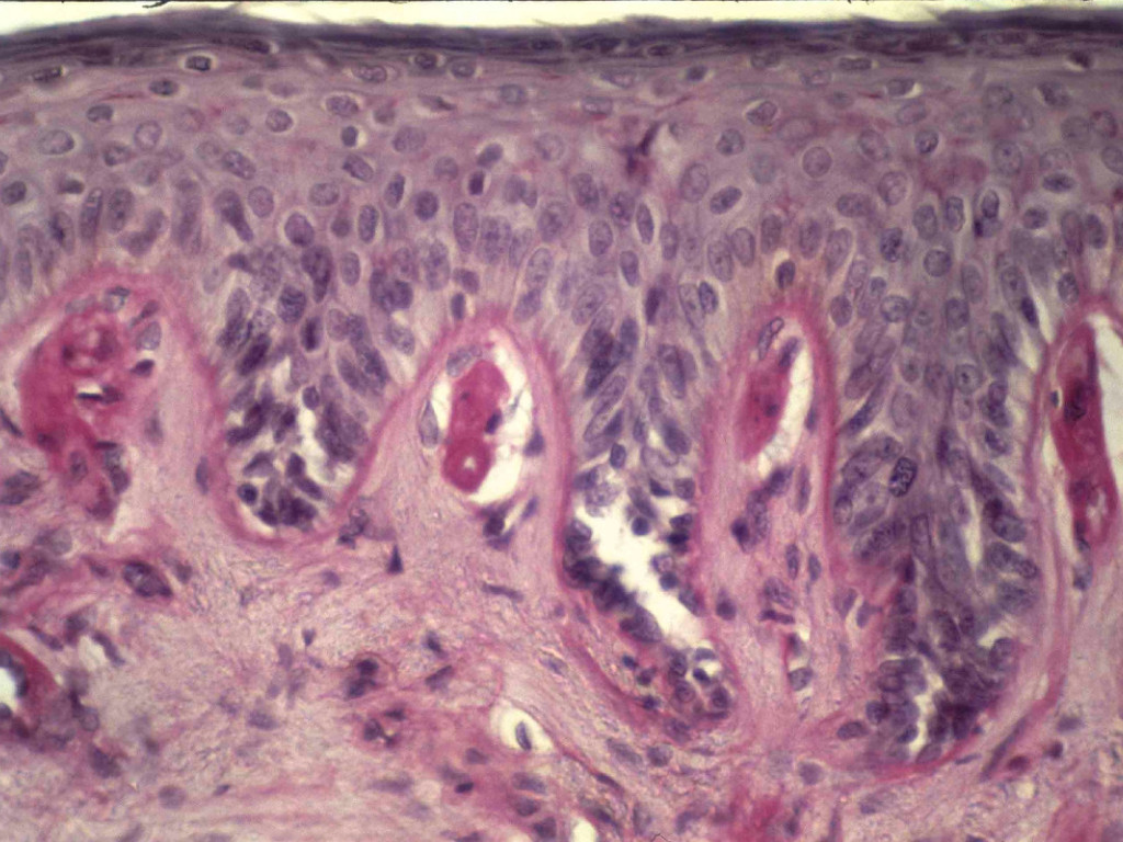
Histologie:
Histologisch onderzoek van een bullae bij PCT laat een subepidermale cel-arme blaar zien met karakteristieke festoning van de dermale papillen. Directie IF microscopie laten vaak immunoglobulinen (hoofdzakelijk IgG, minder vaak IGM), complement en fibrinogeen ter plaatse van de dermale-epiderdale overgang en rond bloedvaten van de papillaire dermis.
Histologisch onderzoek bij EP: vacuolisatie van epidermale cellen wordt gezien in acute laesies, intercellulair oedeem als vacuolisatie en lysis van endotheliale cellen in de superficiele dermale bloedvaten. In oudere laesies wordt eosinofiele pas-positieve deposities rondom de bloedvaten gezien, tevens verdikking en degeneratie van de capillaire basale membraan.

Erythropoietische protoporfyrie Histologie (immunofluorescentie) porphyria cutanea tarda
PAS positieve deposities IgG rond vaten

PA-Foto: M Lecha, H Puy, JC Deybach - Wikimedia (Creative Commons License 2.0).
IF-Foto: www.dermatlas.net.


Diagnostiek:
- Anamnese, familie anamnese, lichamelijk onderzoek waarbij met name gekeken moet worden naar de zon geëxposeerde huid
- Huidbiopt voor histologisch en immunofluorescentie onderzoek.
- Verzamelen 24-uurs urine, 24-uurs faeces en bloedafname, voor biochemische bepaling van porfyrines en porfyrineprecursors. Plasma fluorescentie spectrum is de beste initiële screeningstest voor cutane porfyrieën. Tijdens een acute neurologische aanval is het ALA en PBG in de urine verhoogd. Voor de eerste screening op PCT, de meest voorkomende variant, volstaat het om een portie urine (eventueel getrokken uit een 24-uursbokaal) in te sturen naar het lab, in een standaard urinemonster potje, afgeplakt met aluminiumfolie, en direct wegbrengen. Hierin worden kwalitatief porfyrinen bepaald (PBG en delta-ALA). Indien verhoogd kan op het zelfde monster een kwantitatieve bepaling (HPLC-methode) worden verricht.
- Op indicatie bepaling van specifieke enzymactiviteit.
- Eventueel aanvullende DNA analyse.


Bepaling: Normaalwaarde: Eenheid:
d-Aminolevulinezuur (d-ALA) in urine < 6.91 μmol/mmol kreatinine
Porfobilinogeen (PBG) in urine < 2.36 μmol/mmol kreatinine
d-Aminolevulinezuur (d-ALA) in plasma < 74 nmol/L
Porfobilinogeen (PBG) in plasma < 12 nmol/L
Uroporfyrine in urine < 2 nmol/mmol kreatinine
Heptaporfyrine in urine < 1.6 nmol/mmol kreatinine
Hexaporfyrine in urine < 2.4 nmol/mmol kreatinine
Pentaporfyrine in urine < 0.5 nmol/mmol kreatinine
Coproporfyrine in urine < 26 nmol/mmol kreatinine
Uroporfyrine in faeces < 2.4 nmol/g droog gewicht
Heptaporfyrine in faeces < 0.5 nmol/g droog gewicht
Hexaporfyrine in faeces < 0.5 nmol/g droog gewicht
Pentaporfyrine in faeces < 0.5 nmol/g droog gewicht
Coproporfyrine in faeces < 45 nmol/g droog gewicht
Protoproporfyrine in faeces < 170 nmol/g droog gewicht
Totaal protoproporfyrine in erytrocyten < 1.5 μmol/L erytrocyten
Vrij protoproporfyrine in erytrocyten < 1.5 μmol/L erytrocyten
Zink protoproporfyrinen in erytrocyten < 1.5 μmol/L erytrocyten
d-Aminolevulinezuur dehydratase (ALA-d) in erytrocyten > 2.1 nmol/mg eiwit
Porfobilinogeen deaminase (PBG-d) in erytrocyten > 64 pmol/mg eiwit
Uroporfyrinogeen decarboxylase (Uro/Copro) < 1.95 ratio
Uroporfyrinogeen decarboxylase (Uro+Hepta/Copro) < 2.80 ratio
Uroporfyrinogeen decarboxylase enzymactiviteit > 76% percentage

Bron: Porfyrie laboratorium Erasmus MC


Differentiële Diagnose:
Onderscheid tussen de verschillende differentiële diagnosen kan gemakkelijk bepaald worden door het meten van porfyrines in urine en faeces.
Porfyria cutanea tarda, Porfyria variegata, Hereditaire coproporphyrie pseudoporfyrie, bulleuze geneesmiddelen reactie, epidermolysis bullosa, epidermolysis bullosa acquisita, fototoxische dermatitis, polymorfe lichteruptie, bulleuze lupus erythematoses, hydroa vacciniforme
Erythropoiëtische protoporphyrie Solaire urticaria, fototoxische of fotoallergische contact dermatitis en geneesmiddelenreacties, polymorfe licht eruptie, hydroa vacciniforme en lipoid proteinosis


Therapie:
Acute porfyrieën Therapie
Acute intermitterende porfyrie; porfyrie variegata, hereditaire coproporfyrie, ALA-dehydratase deficiente porfyrie Acute aanval:
Identificatie en eliminatie van uitlokkende factoren (drugs, alcohol, hormonen). Monitoren op IC met input van porfyrie specialisten. Adequate pijnbestrijding. Adequate bestrijding van misselijkheid en braken. IV toediening van heme arginate (normosang) 3 mg/kg 4 opeenvolgende dgn. Zo nodig glucose infuus in afwachting van heam preparaten. Meten van porfyrine excretie in de urine gedurende een aanval (zm dagelijks)
Cutane symptomen (variegata porfyrie en hereditaire coproporfyrie):
Fotoprotectie, bv door breed spectrum zonnebrandcrèmes en/of beschermende kleding. Vermijding zonlichtblootstelling en trauma.
Niet-acute porfyrieën  
Porfyria cutanea tarda Fotoprotectie, bv door breed spectrum zonnebrandcrèmes en/of beschermende kleding. Vermijding zonlichtblootstelling en trauma. Staken van evt. alcoholgebruik en oestrogeentherapie. Flebotomie 400-500 ml elke 2 wkn over ongeveer 3-6 mnd op geleide van serumijzer spiegel (moet zakken naar 2.5 umol/l) en urine-uroporfyrine (onder 1000 ug/24 uur). Combineren met laag ijzer-dieet.
Lage dosis hydoxychloroquine of chloroquine*: 200mg 1 x per week of 125 mg 2 x per week (ma en do), over 6-12 mnd tot nl. porphyrine excretie. Meten van porfyrine in de urine voor het meten van effectiviteit van therapie.
Erytropoiëtische protoporfyrie Fotoprotectie, bv door breed spectrum zonnebrandcrèmes en/of beschermende kleding. Vermijding zonlichtblootstelling. Orale beta-carotene**: 30-90 mg/dag bij kinderen; 60-180 mg/dag bij volwassenen. Gewenste max. plasma level: 600-800 µg/dl. Toediening gedurende lente, zomer en hertst, met uitzondering van de winter in meer noordelijke latitudes. Overweeg cholestyramine of charcoal om enterohepatische recirculatie van porfyrines en galzuren ter verminderen om zo de hepatische porfyrine excretie te vergroten, resultaten hiervan zijn wisselend.
Congenitale erytropoiëtische porfyrie Fotoprotectie, bv door breed spectrum zonnebrandcrèmes en/of beschermende kleding. Absolute vermijding van zonlichtblootstelling. Dag-nacht ritme veranderen. Splenectomie (beperkt hemolyse en bloedplaatjes consumptie). Beenmerg of hematopoetische stamcel transplantatie.
Hepatoerytropoiëtische porfyrie Fotoprotectie, bv door breed spectrum zonnebrandcrèmes en/of beschermende kleding. Absolute vermijding van zonlichtblootstelling en trauma. Dag-nacht ritme veranderen.
Bij deze vorm zijn therapieën zoals toegepast bij PCT (bv flebectomie, antimalariamiddelen) niet werkzaam!

* Chloroquine vormt een uniek complex met porfyrines en verhoogd zo de excretie.
** Betacarotene verhoogd de tolerantie voor zonlicht bij meeste patiënten met EP.



PORPHYRIA ACUTA INTERMITTENS home ICD10: E80.2

Zie boven.



PORPHYRIA ERYTHROPOETICA, CONGENITAAL (GUNTHER) (congenitale porphyrie, ziekte van Günther) home ICD10: E80.0

Zie boven en onder erythropoiëtische protoporfyrie.



PORPHYRIA CUTANEA TARDA (hepatische vorm) home ICD10: E80.1

Zie boven en onder porfyria cutanea tarda.



PORPHYRIA PROTO-ERYTHROPOETICA (erythropoëthische protoporfyrie) home ICD10: E80.0

Zie boven en onder erythropoiëtische protoporfyrie.



PORPHYRIA VARIEGATA (hepatische vorm) home ICD10: E80.2

Zie boven.


Referenties
1. Raili Kauppinen. Porphyrias. Lancet 2005;365:241-522.
2. Bolognia JL et al. Textbook Dermatology. Mosby, 2003.
3. Siersema PD, Wilson JHP. De porfyrieën. Ned Tijdschr Geneeskd 1989;133:2542-2547.
4. Poblete-Gutiérrez P, Wiederholt T, Merk HF, Frank J. The porphyrias: clinical presentation, diagnosis and treatment. Eur J Dermatol 2006;16:230-240. PDF


Author(s):
D.J. Komen. Dermatoloog, WestFries Gasthuis, Hoorn
dr. Jan R. Mekkes. Dermatologist, Amsterdam UMC.

31-05-2023 (DJK / JRM) - www.skin-diseases.eu Terug naar homepagina



Diagnosis codes:
ICD10 E80.0 Hereditaire erytropoëtische porfyrie: erytropoëtische protoporfyrie
ICD10 E80.0 Hereditary erythropoietic porphyria: erythropoietic protoporphyria
SNOMED 67312003 Erythropoietic porphyria
DBC 27 spacer Diagnose niet nader omschreven

ICD10 E80.0 Hereditaire erytropoëtische porfyrie: congenitale erytropoëtische protoporfyrie
ICD10 E80.0 Hereditary erythropoietic porphyria: congenital erythropoietic protoporphyria
SNOMED 22935002 Congenital erythropoietic porphyria
DBC 27 spacer Diagnose niet nader omschreven

ICD10 E80.1 Porphyria cutanea tarda
ICD10 E80.1 Porphyria cutanea tarda
SNOMED 61860000 Porphyria cutanea tarda
DBC 13 spacer Inflammatoire dermatosen

ICD10 E80.2 Overige gespecificeerde vormen van porfyrie
ICD10 E80.2 Other porphyria
SNOMED 418470004 Porphyria
DBC 13 spacer Inflammatoire dermatosen

ICD10 E80.2 Overige gespecificeerde vormen van porfyrie: acute intermitterende porfyrie
ICD10 E80.2 Other porphyria: acute intermittent porphyria
SNOMED 234422006 Acute intermittent porphyria
DBC 13 spacer Inflammatoire dermatosen

ICD10 E80.2 Overige gespecificeerde vormen van porfyrie: porphyria variegata
ICD10 E80.2 Other porphyria: variegate porphyria
SNOMED 58275005 Variegate porphyria
DBC 13 spacer Inflammatoire dermatosen