Calciphylaxis cutisCalciphylaxis cutis is een zeldzame aandoening
waarbij grillige en zeer pijnlijke ulcera ontstaan door
calciumdeposities in
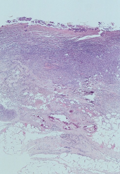
kleine en medium-size arteriën. De kalkafzettingen kunnen in een huidbiopt
worden gezien in en ook rond de vaten in de dermis en subcutis. Op
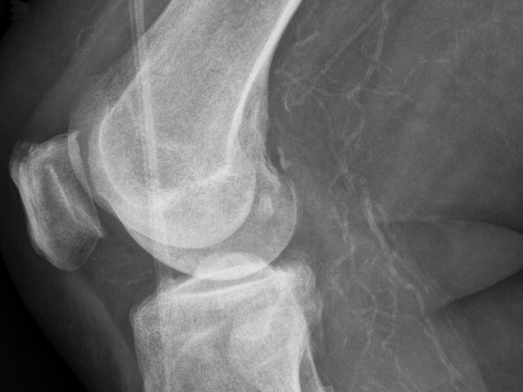
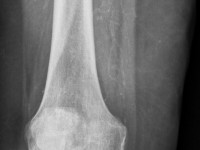
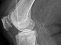
röntgenfoto's is vaak uitgebreide verkalking te zien: het complete arteriële
stelsel is verkalkt en zichtbaar, alsof het een contrastfoto was. De huid
die werd voorzien door het afgesloten arterietakje sterft af, hierdoor is de
aandoening zeer pijnlijk. De prognose is slecht en de sterfte is hoog, omdat
er niet alleen huidinfarcten ontstaan maar ook infarcten elders in het
lichaam (hartinfarct, herseninfarct, necrose van de darm na infarct in de a.
mesenterialis). De klassieke calciphylaxis cutis wordt gezien bij patiënten
met (meestal langdurige bestaande)
terminale nierinsufficiëntie en
secundaire hyperparathyreoïdie. Vooral bij dialyse patiënten. Waarschijnlijk
door schommelingen in de calciumspiegels gaat de bijschildklier meer
parathormon (PTH) produceren. En dit verhoogde PTH jaagt de calcium in en
rond de vaten. De diagnose wordt gesteld op het klinisch beeld, eventuele
röntgenfoto's, de anamnese, een biopt, en een verhoogd PTH. Calciumspiegels
zeggen niet veel. De therapie is moeizaam: de nefroloog kan proberen
medicamenteus de bijschildklieren te remmen, met Mimpara (cinacalcet).
Effectiever, curatief, maar ook riskant (moeilijke operatie in complex
gebied) is het operatief verwijderen van de bijschildklieren, waarbij een
deel wordt teruggeplaatst in de arm. Er zijn maar enkele gespecialiseerde
chirurgen die deze ingreep kunnen uitvoeren. Patiënten met calciphylaxis
cutis belanden soms bij de dermatoloog, maar die kan niet veel doen anders
dan de diagnose stellen. Ook de vaatchirurg kan het niet oplossen omdat het
gaat om de kleine vaten (inoperabel arterieel vaatlijden). De behandeling
bestaat uit conventionele wondverzorging (wondbedekkers, antibiotica,
fraxiparine), adequate pijnstilling (anesthesist), regulering van PTH
(nefroloog), parathyreoidectomie (chirurg), en hyperbare
zuurstoftherapie.
![Calciphylaxis cutis bij nierinsufficiëntie en secundaire hyperparathyreoïdie (click on photo to enlarge) [source: www.huidziekten.nl] Calciphylaxis cutis bij nierinsufficiëntie en secundaire hyperparathyreoïdie](../../../images/calciphylaxis-1z.jpg) |
![Calciphylaxis cutis bij nierinsufficiëntie en secundaire hyperparathyreoïdie (click on photo to enlarge) [source: www.huidziekten.nl] Calciphylaxis cutis bij nierinsufficiëntie en secundaire hyperparathyreoïdie](../../../images/calciphylaxis-2z.jpg) |
| calciphylaxis cutis |
calciphylaxis cutis |
![Calciphylaxis cutis bij nierinsufficiëntie en secundaire hyperparathyreoïdie (click on photo to enlarge) [source: www.huidziekten.nl] Calciphylaxis cutis bij nierinsufficiëntie en secundaire hyperparathyreoïdie](../../../images/calciphylaxis-3z.jpg) |
![Calciphylaxis cutis bij nierinsufficiëntie en secundaire hyperparathyreoïdie (click on photo to enlarge) [source: www.huidziekten.nl] Calciphylaxis cutis bij nierinsufficiëntie en secundaire hyperparathyreoïdie](../../../images/calciphylaxis-4z.jpg) |
| calciphylaxis cutis |
calciphylaxis cutis |
Atypical calciphylaxis cutisNaast
bovengenoemde klassieke vorm van calciphylaxis is er in een aantal
case-reports ook een
atypische variant beschreven, waarbij er ook arteriën
dicht gaan zitten t.g.v. calciumdeposities in de vaten, maar niet op basis
van nierinsufficiëntie en hyperparathyreoïdie. Bij een deel van deze
patiënten blijkt dit geassocieerd te zijn met het voorschrijven van
acenocoumarol. In de literatuur is dit terug te vinden onder de term
acenoumarol- of
warfarin-induced calciphylaxis. Het werkingsmechanisme ervan
is onbekend. Bij patiënten waarbij huidnecrose optreedt na het starten van
acenocoumarol (of later) is de belangrijkste DD de
warfarin-induced skin
necrosis. Warfarine-induced skin necrosis (coumarine necrose) kan in
zeldzame gevallen optreden 3-10 dagen na het starten van acenocoumarol. Men
denkt dat het ontstaat door een ongelijkmatig afnemen van de concentraties
stollingseiwitten in het bloed, waarbij proteïne C en/of S (remmers) te snel
dalen terwijl de andere stollingseiwitten nog niet voldoende verlaagd zijn.
En het treedt op bij patiënten met een
proteïne C deficiëntie of
proteïne S
deficiëntie (warfarin-induced skin necrosis in protein C or S deficiency).
Atypische calciphylaxis cutis wordt in de case-reports gedefinieerd als
necrose van de huid met zeer pijnlijke ulcera veroorzaakt afsluiting van
arterietakjes door uitgebreide calciumdeposities in de vaatwand
(histologisch en radiografisch aangetoond), maar bij afwezigheid van
nierinsufficiëntie en hyperparathyreoïdie (ureum, kreatinine, PTH, proteïne
C en proteïne S normaal). Het is echter moeilijk om deze entiteit 'atypische
calciphylaxis cutis' af te grenzen van gewone aderverkalking
(atherosclerose) die optreedt bij de bekende risicogroepen (overgewicht,
diabetes, hypertensie, roken, hypercholesterolemie).
![Atypical calciphylaxis (click on photo to enlarge) [source: www.huidziekten.nl] Atypical calciphylaxis](../../../images/calciphylaxis-cutis-atypical-1z.jpg) |
![Atypical calciphylaxis (click on photo to enlarge) [source: www.huidziekten.nl] Atypical calciphylaxis](../../../images/calciphylaxis-cutis-atypical-2z.jpg) |
| atypical calciphylaxis |
atypical calciphylaxis |
![Atypical calciphylaxis (click on photo to enlarge) [source: www.huidziekten.nl] Atypical calciphylaxis](../../../images/calciphylaxis-cutis-atypical-3z.jpg) |
![Atypical calciphylaxis (click on photo to enlarge) [source: www.huidziekten.nl] Atypical calciphylaxis](../../../images/calciphylaxis-cutis-atypical-4z.jpg) |
| atypical calciphylaxis |
atypical calciphylaxis |
DD:atherosclerose nno,
calciphylaxis cutis,
warfarin-induced calciphylaxis, warfarin-induced skin
necrosis,
arteriële occlusie nno,
arterieel gangreen,
huidinfarct bij diabetes, occlusieve vasculopathie door fibrine
trombi, septische trombi,
cryoglobulinen,
cholesterol embolie, andere deposities,
hypercoagulabiliteit (
antifosfolipidensyndroom,
proteïne C deficiëntie, proteïne S deficiëntie, andere
stollingsafwijkingen), huidnecrose bij
Streptokokken infectie,
necrotiserende fasciitis, Fournier gangreen, diffuse intravasale
stolling,
vasculitis (
leukocytoclastisch,
PAN,
Henoch-Schonlein),
livedo reticularis,
pyoderma gangrenosum.
Diagnostiek:-
biopt, arterieel duplexonderzoek, röntgenfoto van de omgevende huid.
-
ureum, kreatinine, PTH, calcium, fosfaat.
- glucose, cholesterol,
triglyceriden.
- proteïne C, proteïne S, factor V Leiden, lupus
anticoagulans, anti-cardiolipine, andere oorzaken
hypercoagulabiliteit (overleg met stollingsarts).
Therapie:Gericht op onderliggende risicofactoren (overgewicht,
hypertensie, diabetes, hypercholesterolemie, gebrek aan lichaamsbeweging).
Stoppen met roken. Conventionele wondbehandeling. Bestrijden van pijn
(pijnteam). Bestrijden van secundaire infectie (EUSOL-paraffine 2 dd,
antibiotica). Hyperbare zuurstoftherapie. Indien acenocoumarol verdachte
oorzaak is, dit omzetten in 2 dd 5700 E fraxiparine of een vergelijkbaar
product. Necrose mag voorzichtig worden verwijderd als het al aan het
demarkeren is en half los ligt. Chirurgische ingrepen en andere trauma's
(stoten, infuus) kunnen een calciphylaxis uitlokken. Dit fenomeen waarbij
een wond of ontsteking of een chirurgische ingreep de trigger is voor het
ontstaan van een ulcus dat aan de randen steeds groter wordt komt behalve
bij calciphylaxis cutis ook voor bij pyoderma gangrenosum, bij de ziekte van
Behçet, bij hypercoagulabiliteit, bij sommige vormen van vasculitis en in
ledematen met een kritieke ischemie (verlaagde zuurstofspanning door
arterieel vaatlijden). Bij calciphylaxis ziet men regelmatig dat na een
necrotomie aan een wondrand er een nieuwe rand zwarte necrose ontstaat.
Referenties
| 1. |
Kalajian AH, Malhotra PS,
Callen JP, Parker LP. Calciphylaxis with normal renal and parathyroid
function: not as rare as previously believed. Arch Dermatol
2009;145:451-458. |
| 2. |
Banky JP, Dowling JP, Miles C. Idiopathic
calciphylaxis. Australas J Dermatol 2002;43:190-193. |
| 3. |
Weenig RH,
Sewell LD, Davis MDP, McCarthy JT, Pittelkow MR. Calciphylaxis: natural
history, risk factor analysis and outcome. J Am Acad Dermatol
2007;56:569-579. |
| 4. |
Arseculeratne G, Evans AT, Morley
SM.Calciphylaxis - a topical overview. J Eur Acad Dermatol Venereol
2006;20:493-502. |
| 5. |
Álvarez-Pérez A, Gutiérrez-González E,
Sánchez-Aguilar D, Toribio J. Atypical Calciphylaxis Secondary to Treatment
With Acenocoumarol. Actas Dermosifiliogr 2012;103:79-81. |
| 6. |
Asobie N,
Wong E, Cook MG. Calciphylaxis in a diabetic patient provoked by warfarin
therapy. Clin Exp Dermatol 2008; 33:342-344. |
| 7. |
Banerjee C, Woller SC,
Holm JR, Stevens SM, Lahey MJ. Atypical calciphylaxis in a patient receiving
warfarin then resolving with cessation of warfarin and application of
hyperbaric oxygen therapy. Clin Appl Thromb Hemost 2010;16:345-350. |
Author(s):dr. Jan R. Mekkes. Dermatologist, Amsterdam UMC.