De
ziekte van Dowling-Degos (
reticulate
pigmented dermatosis of the flexures) is een zeldzame dominant
erfelijke genodermatose gekenmerkt door
reticulaire hyperpigmentatie
in de plooien. Het begint pas op latere leeftijd (20-40 jaar). Het begint
meestal in de oksels, en breidt dan langzaam uit. Er bestaat ook een
acantholytische variant van Dowling-Degos disease, genaamd
Galli-Galli disease. Bij
Galli-Galli disease worden dezelfde mutaties gevonden als bij
Dowling-Degos disease (
KRT5,
POFUT1,
POGLUT1). Beide aandoeningen zijn dus
verschillende fenotypische presentaties van dezelfde genetische afwijking,
en in sommige artikelen wordt al de samengevoegde naam Galli-Galli /
Dowling-Degos disease gebruikt. Er bestaat ook een variant van Galli-Galli
disease waarbij er roodbruine maculae en papeltjes ontstaan, vaak ook
schilferend, vooral op de romp en extremiteiten, maar waarbij de typische
donkere reticulaire hyperpigmentaties in de plooien en genitale regio
ontbreken.
Klinisch beeld:Sterk gepigmenteerde (soms wat verruceuze)
lesies in reticulair patroon, centraal soms confluerend, in de plooien (oksels,
liezen, submammair). Komt ook op de genitaliën voor. Kan zich uitbreiden naar
rest lichaam (bilspleet, nek, rug, binnen armen, dijen). Het jeukt soms. Naast
de pigmentatie kunnen ook voorkomen periorale pitting scars (puntvormige littekens),
comedonen, en epidermoid cysten. Soms geassocieerd met hidradenitis suppurativa.
Met de dermatoscoop kan men lichtbruine hyperpigmentaties zien in een stervormig
patroon.
![Dowling Degos disease oksels (click on photo to enlarge) [source: www.huidziekten.nl] Dowling Degos disease oksels](../../../images/dowling-degos-1z.jpg) |
![Dowling Degos disease (click on photo to enlarge) [source: www.huidziekten.nl] Dowling Degos disease](../../../images/dowling-degos-3z.jpg) |
| Dowling
Degos oksel |
Dowling
Degos intermammair |
![Dowling Degos disease, pittings scars (click on photo to enlarge) [source: www.huidziekten.nl] Dowling Degos disease, pittings scars](../../../images/dowling-degos-4z.jpg) |
![Dowling Degos disease, pigmentatie vagina (click on photo to enlarge) [source: www.huidziekten.nl] Dowling Degos disease, pigmentatie vagina](../../../images/dowling-degos-5z.jpg) |
| perioral
pitting scars |
hyperpigmentatie
genitaliën |
Etiologie / genetica:Dowling-Degos disease berust
meestal op een mutatie in het
keratine 5 gen (
KRT5). Dit keratine is onderdeel van het cytoskelet van keratinocyten. KRT5 vormt intermediate filaments (heterodimeren) met cytokeratine 14 en beide eiwitten zijn betrokken bij de verankering van keratinocyten aan elkaar en aan de dermis. Bij mutaties ontstaan er afwijkende intermediate filament structures waardoor de binding aan desmosomen en hemidesmosomen verstoord is en acantholyse kan ontstaan. Daarnaast is KRT5 betrokken bij epidermale differentiatie en de opname en afbraak van melanosomen door keratinocyten. Mutaties in het KRT5 gen veroorzaken hyperplasie van de epidermale retelijsten en ophoping van melanine, met als gevolg de typische reticulaire hyperpigmentatie.
Met behulp van whole-exome sequencing (WES), zijn er ook mutaties gevonden in
POFUT1 (
protein O-fucosyltransferase 1) en
POGLUT1 (
protein O-glucosyltransferase 1). POGLUT1 bindt O-linked glucose aan serine residuen in epidermal growth factor-like repeats van Notch receptors, en is een regulerend eiwit in Notch signalling pathways. Mutaties in POGLUT1 of POFUT1 veroorzaken waarschijnlijk via verstoring van Notch signalling pathways abnormale pigmentatie en abnormale morfologie van de keratinocyten.
Histologie:Sterke pigmentatie van de basale laag,
verlengde retelijsten, verdunning van de epidermis suprapapillair, dermale melanofagen.
Het aantal melanosomen in de melanocyten is verhoogd.
DD:
acanthosis nigricans,
ziekte van Darier,
ziekte van Grover,
Carney Syndroom,
Kitamura's reticulate
acropigmentation,
Haber's syndroom,
Galli-Galli disease, zie verder
onder
reticulaire hyperpigmentatie.
Dowling-Degos disease is moeilijk te onderscheiden van Haber's syndroom (niet-reticulaire
hyperpigmentatie + erythema faciale) en
Kitamura's reticulate
acropigmentation (vooral aan extremiteiten gelokaliseerd).
Diagnostiek:De diagnose
kan bevestigd worden met een biopt. Geisler et al beschreven dat met de dermatoscoop
bruinig pigment in een stervormig patroon kan worden gezien, wat typisch is
voor Dowling-Degos disease. Ook kan worden verwezen naar de klinisch
geneticus voor DNA-diagnostiek naar mutaties in KRT5, POGLUT1, POFUT1.
![Dowling Degos disease (click on photo to enlarge) [source: www.huidziekten.nl] Dowling Degos disease](../../../images/dowling-degos-6z.jpg) |
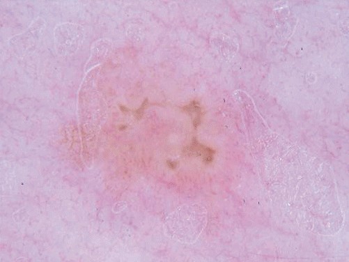
![Dowling Degos disease: stervormige bruine pigmentatie bij dermatoscopie (click on photo to enlarge) [source: Australas J Dermatol 2011] Dowling Degos disease: stervormige bruine pigmentatie bij dermatoscopie](../../../images/dowling-degos-7z.jpg) |
|
stervormige pigmentaties |
dermatoscopie:
stervorm |
Dermatoscopie foto: Geissler S et al. Unique
brown star shape on dermatoscopy of generalized Dowling-Degos disease.
Australas J Dermatol 2011;52(2):151-153 (
Open
Access Journal).
Therapie:R/ tretinoïne 0.05-0.1% crème zonder verdere
toevoegingen.
R/ hydrochinon 2 of 5% crème FNA (hydrochinon 2 of 5%, tretinoïne
0.05%, in cremor lanette II FNA). Niet te lang doorgaan, evalueren na 3 maanden.
Hydrochinon 5% veroorzaakt soms een vlekkerige, te sterke depigmentatie of reactieve
hyperpigmentatie (ochronosis).
R/ hydrochinon 2 of 5%, tretinoïne 0.05%,
HCA 0.5% in cremor lanette II FNA.
R/ hydrochinon 2 of 5%, tretinoïne 0.05%,
TAC 0.1%, in cremor cetomacrogolis (Kligman).
Referenties
| 1. |
Betz RC, Planko L, Eigelshoven S, Hanneken
S, Pasternack SM, Bussow H, Van Den Bogaert K, Wenzel J, Braun-Falco
M, Rutten A, Rogers MA, Ruzicka T, Nöthen MM, Magin TM, Kruse R.
Loss-of-function mutations in the keratin 5 gene lead to Dowling-Degos
disease. Am J Hum Genet 2006;78(3):510-519. |
| 2. |
Schmieder A, Pasternack SM, Krahl D, Betz
RC, Leverkus M. Galli-Galli disease is an acantholytic variant of
Dowling-Degos disease: additional genetic evidence in a German family.
J Am Acad Dermatol 2012;66(6):e250-251. |
| 3. |
Geissler S, Dyall-Smith D, Coras B, Guther
S, Peters B, Stolz W. Unique brown star shape on dermatoscopy of
generalized Dowling-Degos disease. Australas J Dermatol 2011;52(2):151-153. |
| 4. |
Horner ME, Parkinson KE, Kaye V, Lynch PJ. Dowling-Degos disease involving the vulva and back: case report and review of the literature. Dermatol Online J 2011;17(7):1. |
| 5. |
Gammaz H, Amer HH, Ibrahim FS, Bagdady M. Dowling Degos Disease. Indian J Dermatol
Venereol Leprol 1986;52(1):48-51. |
| 6. |
Li M, Cheng R, Liang J, Yan H, Zhang H,
Yang L, Li C, Jiao Q, Lu Z, He J, Ji J, Shen Z, Li C, Hao F, Yu
H, Yao Z. Mutations in POFUT1, encoding protein
O-fucosyltransferase 1, cause generalized Dowling-Degos disease.
Am J Hum Genet 2013;92(6):895-903. |
| 7. |
Basmanav FB, Oprisoreanu AM, Pasternack
SM, Thiele H, Fritz G, Wenzel J, Größer L, Wehner M, Wolf S,
Fagerberg C, Bygum A, Altmüller J, Rütten A, Parmentier L, El
Shabrawi-Caelen L, Hafner C, Nürnberg P, Kruse R, Schoch S,
Hanneken S, Betz RC. Mutations in POGLUT1, encoding protein
O-glucosyltransferase 1, cause autosomal-dominant Dowling-Degos
disease. Am J Hum Genet 2014;94(1):135-143. |
| 8. |
Wilson NJ, Cole C, Kroboth K, Hunter WN,
Mann JA, McLean WH, Kernland Lang K, Beltraminelli H, Sabroe RA,
Tiffin N, Sobey GJ, Borradori L, Simpson E, Smith FJ. Mutations
in POGLUT1 in Galli-Galli/Dowling-Degos disease. Br J Dermatol
2017;176(1):270-274.
PDF |
| 9. |
Michelerio A, Greco A, Tomasini D, Tomasini C. Galli-Galli Disease: A Comprehensive Literature Review. Dermatopathology (Basel) 2024;11(1):79-100.
PDF |
Author(s):dr. Jan R. Mekkes. Dermatologist, Amsterdam UMC.