Lentigo maligna (
melanosis praecancerosa,
morbus Dubreuilh) is een langzaam groeiend
in-situ melanoma (synoniem: intra-epidermaal melanoom). Het
komt vooral voor op de zon geëxposeerde huid, met name in het gelaat. Klinisch
zijn het lichtbruin tot donkerbruin gepigmenteerde grillige maculae. De exacte
begrenzing is soms moeilijk vast te stellen. De klassieke dermatoscopie van
een lentigo maligna melanoom toont zeer fijnkorrelig pigment (dots) in een annulair
patroon (annular-granular dermatoscopy). De meeste patiënten zijn op oudere
leeftijd (vanaf 70 jaar). Als tumorcellen invasief worden (verticale groeifase)
wordt de laesie
lentigo maligna melanoma (LMM) genoemd.
Ongeveer 2-3% van de lentigo maligna laesies gaat over in een lentigo maligna
melanoma. Voor iemand boven de 45 is het lifetime risico voor het overgaan van
een lentigo maligna in een melanoom 4.7%. Voor iemand boven de 65 is het 2.2%.
Lentigo maligna en in-situ melanoma worden in de landelijke diagnoselijst
zowel onder DBC code 17 (premaligne dermatosen) als DBC code 14 (maligne
dermatosen) geregistreerd.
![Lentigo maligna (click on photo to enlarge) [source: www.huidziekten.nl] Lentigo maligna](../../../images/lentigo-maligna-1z.jpg) |
![Lentigo maligna (click on photo to enlarge) [source: www.huidziekten.nl] Lentigo maligna](../../../images/lentigo-maligna-2z.jpg) |
![Lentigo maligna (click on photo to enlarge) [source: www.huidziekten.nl] Lentigo maligna](../../../images/lentigo-maligna-3z.jpg) |
| lentigo
maligna |
lentigo
maligna |
lentigo
maligna |
![Lentigo maligna (click on photo to enlarge) [source: www.huidziekten.nl] Lentigo maligna](../../../images/lentigo-maligna-4z.jpg) |
![Lentigo maligna (click on photo to enlarge) [source: www.huidziekten.nl] Lentigo maligna](../../../images/lentigo-maligna-5z.jpg) |
![Lentigo maligna (click on photo to enlarge) [source: www.huidziekten.nl] Lentigo maligna](../../../images/lentigo-maligna-6z.jpg) |
| lentigo
maligna |
lentigo
maligna |
lentigo
maligna |
![Lentigo maligna (click on photo to enlarge) [source: www.huidziekten.nl] Lentigo maligna](../../../images/lentigo-maligna-7z.jpg) |
![Lentigo maligna (click on photo to enlarge) [source: www.huidziekten.nl] Lentigo maligna](../../../images/lentigo-maligna-11z.jpg) |
![Lentigo maligna (click on photo to enlarge) [source: www.huidziekten.nl] Lentigo maligna](../../../images/lentigo-maligna-12z.jpg) |
| lentigo
maligna |
lentigo
maligna |
dermatoscopie |
![Lentigo maligna (click on photo to enlarge) [source: www.huidziekten.nl] Lentigo maligna](../../../images/lentigo-maligna-8z.jpg) |
![Lentigo maligna (click on photo to enlarge) [source: www.huidziekten.nl] Lentigo maligna](../../../images/lentigo-maligna-10z.jpg) |
![Lentigo maligna (click on photo to enlarge) [source: www.huidziekten.nl] Lentigo maligna](../../../images/lentigo-maligna-9z.jpg) |
| dermatoscopie |
annulair-granulair |
annulair-granulair |
DD:lentigo solaris,
naevus,
melanoma,
beginnende verruca seborroica,
benigne lichenoide keratose,
gepigmenteerde actinische keratose.
![Lentigo senilis (solaris) (click on photo to enlarge) [source: www.huidziekten.nl] Lentigo senilis (solaris)](../../../images/lentigo-senilis-4z.jpg) |
![Nodulair spreading melanoma (click on photo to enlarge) [source: www.huidziekten.nl] Nodulair melanoma](../../../images/melanoom-6z.jpg) |
![Naevus naevocellularis (moedervlek) (click on photo to enlarge) [source: www.huidziekten.nl] Naevus naevocellularis (moedervlek)](../../../images/naevus-naevocellularis-1z.jpg) |
| lentigo
senilis (solaris) |
melanoma |
naevus |
Dermatoscopische criteria:Bij klassieke dermatoscopische
beoordeling komt een lentigo maligna uit ergens tussen dysplastische naevus
en melanoom. Er zijn 4 kenmerken die horen bij LMM:
- hyperpigmented follicular
openings
- annular granular pattern (ringen of zeshoekige structuren opgebouwd
uit fijne dots), soms peppering (zeer veel dots)
- rhomboidal hyperpigmentation
(verdikking van de gepigmenteerde ringen rond de haarfollikels tot hoekige ruitvormige
pigmentaties)
- obliterated hairfollikels
Daarnaast kunnen grijzige pigmentaties
aanwezig zijn of veel verschillende kleuren.
![Dermatoscopie van een lentigo maligna (click on photo to enlarge) [source: www.huidziekten.nl] Dermatoscopie van een lentigo maligna](../../../images/dermatoscopy/lentigo-maligna-dermatoscopie-1bz.jpg) |
![Dermatoscopie van een lentigo maligna (click on photo to enlarge) [source: www.huidziekten.nl] Dermatoscopie van een lentigo maligna](../../../images/dermatoscopy/lentigo-maligna-dermatoscopie-2bz.jpg) |
| dermatoscopie
lentigo maligna |
dermatoscopie
lentigo maligna |
Diagnostische excisie:Bij verdenking op lentigo
maligna: biopt of krap in zijn geheel excideren. Over het algemeen probeert
men niet te biopteren uit een melanoom, maar lentigo maligna laesies zijn soms
groot, het is dan geen probleem om een of meerdere biopten te nemen uit de laesie.
Bij verdenking op lentigo maligna melanoma: excisie van de nodus/invasieve
component, eventueel aangevuld met biopt(en) uit vlakke component, of primaire
excisie van de hele laesie.
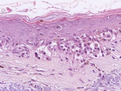
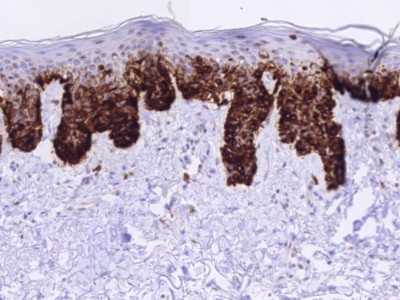
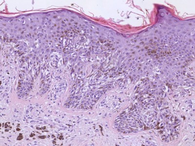
PA:In de 'precarcinomateuze' vorm is er alleen toename van het aantal melanocyten in de basale lagen, ook buiten de grenzen van de laesie, en in de basale laag van de uitwendige wortelschede van de haarfollikels. Soms zijn deze melanocyten iets atypisch vergeleken met die in normale huid. Buiten de lentigo maligna begrenzing ziet men ze apart liggen, van elkaar gescheiden door een of enkele basale cellen, maar er binnen kunnen ze vrijwel de gehele basale laag innemen, hier en daar in nestjes als het ware aan de epidermis hangend. De melanocyten kunnen zeer variëren in grootte. Naast normale melanocyten komen ook grote cellen met enkele kernen voor. De dendrieten zijn duidelijk en de pigmentatie is meestal goed ontwikkeld. Nesten van atypische melanocyten kunnen intra-epidermaal voorkomen, maar een Pagetoïde groei zoals bij het superficial spreading melanoma tot in het oppervlak van de epidermis is bij lentigo maligna ongewoon. In de cutis is er enige, meestal geringe aspecifieke ontsteking. In de infiltratieve fase (lentigo maligna melanoom) komen vaak spoelvormige, donker gepigmenteerde cellen voor in het stratum papillaire. In deze fase ziet men wel kleine tumorcelnesten, vooral bij de noduli; opvallend is het grote aantal spoelcellen. Overigens bestaat er dan veel overeenkomst met de andere melanoomvormen. In de cutis ziet men dat in dat geval veel cellen door een licht aspecifiek ontstekingsinfiltraat zijn omgeven.
Therapie:De marge voor
therapeutische excisie voor in-situ melanoma en dus ook voor lentigo maligna
is 5 mm. De marge voor een lentigo maligna melanoma is afhankelijk van de dikte
van het melanoom. Een lentigo maligna kan klinisch moeilijk afgrensbaar zijn.
Met als gevolg dat ondanks correct afgetekende marges er soms toch nog ergens
lentigo maligna in de rand zit histologisch. Met de dermatoscoop is soms beter
te zien hoe ver het reikt.
Bij een lentigo maligna die te groot is voor
excisie zijn ook andere opties mogelijk zoals radiotherapie, cryotherapie, en
topicale behandeling met imiquimod. Over Aldara (imiquimod) bij lentigo maligna
verschijnen veel publicaties de laatste tijd, maar over de recidiefkans op lange
termijn is nog niet voldoende bekend. De voorlopige cijfers laten zien dat het
een goed alternatief kan zijn voor excisie. Het is wel belangrijk om het dagelijks
en lang te gebruiken (3 maanden). De huid zal daarbij kapot gaan en er kunnen
heftige ontstekingsreacties optreden, ook griepachtige verschijnselen. Het effect
van cryotherapie is wisselend, recidieven treden vaak op.

Excisie met
een marge van minimaal 5 mm.

Radiotherapie.
R/ Aldara (imiquimod) dagelijks aanbrengen gedurende 3 maanden. Studies
tonen bij circa 77% effectiviteit, bij 6-7 x per week aanbrengen, in totaal
minstens 60 keer.

Cryotherapie.
Lentigo maligna melanoma is een melanoom dat ontstaan
is in een lentigo maligna lesie. Lentigo maligna (morbus Dubreuilh) wordt om
deze reden ook melanosis praecancerosa genoemd. Lentigo maligna is een in-situ
melanoma, zodra het melanoom door de basale membraan heen breekt en een verticale
groeifase krijgt is er sprake van een lentigo maligna melanoma. Dit is verder
te beschouwen en te behandelen als een gewoon melanoom, waarbij het verdere
beleid afhangt van de Breslow dikte (zie verder onder
melanoma maligna). Bij LMM tekent
men de marge rond het invasieve deel af conform de Breslow dikte (1 of 2 cm)
en voor de rest (het in situ deel) met een marge van 5 mm.
![Melanoom in een lentigo maligna (click on photo to enlarge) [source: www.huidziekten.nl] Melanoom in een lentigo maligna](../../../images/lentigo-maligna-melanoma-1z.jpg) |
![Melanoom in een lentigo maligna (click on photo to enlarge) [source: www.huidziekten.nl] Melanoom in een lentigo maligna](../../../images/lentigo-maligna-melanoma-2z.jpg) |
![Melanoom in een lentigo maligna (click on photo to enlarge) [source: www.huidziekten.nl] Melanoom in een lentigo maligna](../../../images/lentigo-maligna-melanoma-3z.jpg) |
| lentigo
maligna melanoma |
lentigo
maligna melanoma |
excisie
marges |
![Histologie lentigo maligna melanoma (click on photo to enlarge) [source: Kevin Kwee / Afdeling Pathologie MUMC] Histologie lentigo maligna melanoma](../../../pacoupes/thumbnails/lentigo-maligna-melanoma-1.jpg) |
![Histologie lentigo maligna melanoma (click on photo to enlarge) [source: Kevin Kwee / Afdeling Pathologie MUMC] Histologie lentigo maligna melanoma](../../../pacoupes/thumbnails/lentigo-maligna-melanoma-2.jpg) |
![Histologie lentigo maligna melanoma (click on photo to enlarge) [source: Kevin Kwee / Afdeling Pathologie MUMC] Histologie lentigo maligna melanoma](../../../pacoupes/thumbnails/lentigo-maligna-melanoma-3.jpg) |
|
ingescande coupe (zoom) |
ingescande coupe (zoom) |
ingescande coupe (zoom) |
Referenties
| 1. |
Tio D, van der Woude J, Prinsen CAC, Jansma
EP, Hoekzema R, van Montfrans C. A systematic review on the role
of imiquimod in lentigo maligna and lentigo maligna melanoma: need
for standardization of treatment schedule and outcome measures.
J Eur Acad Dermatol Venereol 2017 Apr;31(4):616-624. |
| 2. |
Weinstock MA, Sober AJ. The risk of progression
of lentigo maligna to lentigo maligna melanoma. Br J Dermatol 1987;116:303-310. |
| 3. |
Greveling K, Wakkee M, Nijsten T, van den
Bos RR, Hollestein LM. Epidemiology of lentigo maligna and lentigo
maligna melanoma in the Netherlands, 1989-2013. J Invest Dermatol
2016;136:1955-1960. |
Author(s):dr. Jan R. Mekkes. Dermatologist, Amsterdam UMC.