De
naevus naevocellularis (dermalis) papillomatosus
is een licht tot donkerbruine melanocytaire naevus, meestal wat groter dan gewone
naevi (1-2 cm), meestal op de romp maar soms ook in het gezicht, met sterke
papillomateuze uitgroei. Soms wratachtig oppervlak door hyperkeratose. Vaak
zijn er ook hoorncysten waardoor de laesie kan lijken op een verrucae seborroica.
Ze kunnen gesteeld zijn. Dit type naevi is vaak al vanaf de geboorte aanwezig
(
congenitale naevus). Ze komen
vaak voor, bij 29% van de bevolking. Een papillomateuze naevus is altijd goedaardig.
Er is geen kans op maligne ontaarding. Vaak is er wel de vraag om ze te verwijderen
om cosmetische redenen of omdat ze bloeden als kleding er langs schuift. Zie
verder onder
naevus naevocellularis
en
overzicht naevi, maculae en tumoren
van de huid.
![Naevus naevocellularis papillomatosus (click on photo to enlarge) [source: www.huidziekten.nl] Naevus naevocellularis papillomatosus](../../../images/naevus-papillomatosis-1z.jpg) |
![Naevus naevocellularis papillomatosus (click on photo to enlarge) [source: www.huidziekten.nl] Naevus naevocellularis papillomatosus](../../../images/naevus-papillomatosis-2z.jpg) |
![Naevus naevocellularis papillomatosus (click on photo to enlarge) [source: www.huidziekten.nl] Naevus naevocellularis papillomatosus](../../../images/naevus-papillomatosis-3z.jpg) |
| nevus
papillomatosus |
nevus
papillomatosus |
dermatoscopie |
![Naevus naevocellularis papillomatosus (click on photo to enlarge) [source: www.huidziekten.nl] Naevus naevocellularis papillomatosus](../../../images/naevus-papillomatosis-4z.jpg) |
![Naevus naevocellularis papillomatosus (click on photo to enlarge) [source: www.huidziekten.nl] Naevus naevocellularis papillomatosus](../../../images/naevus-papillomatosis-5z.jpg) |
![Naevus naevocellularis papillomatosus (click on photo to enlarge) [source: www.huidziekten.nl] Naevus naevocellularis papillomatosus](../../../images/naevus-papillomatosis-6z.jpg) |
| nevus
papillomatosus |
nevus
papillomatosus |
dermatoscopie |
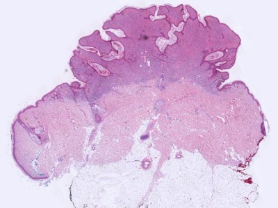
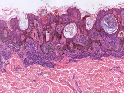
![Histologie naevus naevocellularis papillomatosus (click on photo to enlarge) [source: Kevin Kwee / Afdeling Pathologie MUMC] Histologie naevus naevocellularis papillomatosus](../../../pacoupes/thumbnails/naevus-naevocellularis-papillomatosus-1.jpg) |
![Histologie naevus naevocellularis papillomatosus (click on photo to enlarge) [source: Kevin Kwee / Afdeling Pathologie MUMC] Histologie naevus naevocellularis papillomatosus](../../../pacoupes/thumbnails/naevus-naevocellularis-papillomatosus-2.jpg) |
![Histologie naevus naevocellularis papillomatosus (click on photo to enlarge) [source: Kevin Kwee / Afdeling Pathologie MUMC] Histologie naevus naevocellularis papillomatosus](../../../pacoupes/thumbnails/naevus-naevocellularis-papillomatosus-4.jpg) |
|
ingescande coupe (zoom) |
ingescande coupe (zoom) |
ingescande coupe (zoom) |
DD: verruca
seborroica.
Therapie:Therapie is niet nodig,
maar als de naevus in de weg zit kan hij worden verwijderd door middel van de
shave techniek of met een krappe ovale excisie.
In oudere artikelen wordt
gerapporteerd dat papillomateuze naevi vooral voorkomen bij vrouwen (7:1) en
dit werd gekoppeld aan de observatie dat in papillomateuze naevi estrogen-inducible
pS2 protein aanwezig is. Dit blijkt niet te kloppen: papillomateuze naevi komen
even vaak voor bij mannen als bij vrouwen, maar vrouwen laten ze vaker weghalen.
Referenties
| 1. |
Morgan MB, Raley BA, Vannarath RL, Lightfoot
SL, Everett MA. Papillomatous melanocytic nevi: an estrogen related
phenomenon. J Cutan Pathol 1995;22(5):446-449. |
| 2. |
Niederkorn A, Ahlgrimm-Siess V, Fink-Puches
R, Wolf IH, Richtig E, Lackner HK, Hofmann-Wellenhof R. Frequency,
clinical and dermoscopic features of benign papillomatous melanocytic
naevi (Unna type). Br J Dermatol 2009;161(3):510-514. |
Author(s):dr. Jan R. Mekkes. Dermatologist, Amsterdam UMC.