DERMATOSIS PAPULOSA NIGRA home ICD10: L82

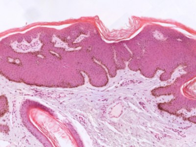
Dermatosis papulosa nigra is de naam voor kleine (1-2 mm) zwarte of bruine papeltjes die vaak voorkomen bij personen met een donkere huid, vooral in het gezicht (wangen, voorhoofd), hals, bovenste helft thorax. Aantal en grootte neemt vanaf de puberteit toe. Soms grote en gesteelde laesies. Op basis van het histologisch beeld neemt men aan dat het gaat om een gepigmenteerde variant van verruca seborroica. Maar het is wel bijzonder dat ze vaak in het gezicht zitten, bij de gewone verruca seborroica is dat niet het geval. En dermatosis papilosa nigra ontstaat op veel jongere leeftijd dan verruca seborroica.

Dermatosis papulosa nigra Dermatosis papulosa nigra
dermatosis papulosa nigra dermatosis papulosa nigra

Dermatosis papulosa nigra Dermatosis papulosa nigra
dermatosis papulosa nigra dermatosis papulosa nigra

Dermatosis papulosa nigra Histologie dermatosis papulosa nigra
dermatosis papulosa nigra ingescande coupe (zoom)

Bron hoge resolutie PA-foto: Kevin Kwee en Afdeling Pathologie MUMC. Klik op de afbeelding om in te zoomen.


Therapie:
Kan worden gecoaguleerd, eerst proefgebied, na 6-8 weken beoordelen (cave hyper- of hypopigmentatie). Zonodig verdoven met EMLA crème of met meerdere injecties lidocaïne, daarna zeer oppervlakkig en kort elektrocoaguleren met een klein bolletje. Ook lasertherapie is mogelijk, maar coaguleren is praktischer. Gebruik een 2 mm bolletje en stip de laesie kort aan (in de COAG stand). EMLA crème hydreert ook de huid zodat een goed contact wordt gemaakt. Veeg met een ruw gaas de gecoaguleerde laesie weg, herhaal coagulatie als het niet afdoende is. Vanwege de kans op hypo- of hyperpigmentatie moet het aanstippen voorzichtig gebeuren. De behandeling werd vroeger vergoed, nu niet meer.


patientenfolder


Author(s):
dr. Jan R. Mekkes. Dermatologist, Amsterdam UMC.

31-05-2023 (JRM) - www.skin-diseases.eu Terug naar homepagina



Diagnosis codes:
ICD10 L82 Seborroïsche keratose: dermatosis papulosis nigra
ICD10 E27.4 Seborrheic keratosis: dermatosis papulosa nigra
SNOMED 254669003 Dermatosis papulosa nigra
DBC 3 Benigne tumoren