Arteriitis temporalis (arteritis temporalis, temporale
arteriitis, ziekte van Horton, giant cell arteritis) is een
vasculitis van de arteria temporalis. Histologisch
een giant cell vasculitis, klinisch wordt het ingedeeld in de groep
vasculitis van de grote vaten waartoe ook
Takayasu
arteritis behoort.

De
oorzaak is onbekend. Arteriitis temporalis komt vooral op oudere leeftijd voor
(> 50 jaar). Het is een systemische arteritis van de grote en middelgrote
arteriën. Vaak worden de arteriën in het hoofd aangetast, soms met plotselinge
blindheid. Ook andere arteriën, over het hele lichaam kunnen in zeldzame gevallen
aangetast worden. Dit kan leiden tot onvoldoende doorbloeding in de ledematen,
soms ook in inwendige organen. Arteriitis temporalis komt voor geassocieerd
met
polymyalgia reumatica.
Takayasu arteritis
wordt gekenmerkt door ontsteking en vernauwing van de grote en middelgrote slagaderen,
zoals de aorta (hoofdslagader) en de zijtakken hiervan. Meestal komt
Takayasu arteritis voor bij (jonge)
vrouwen.
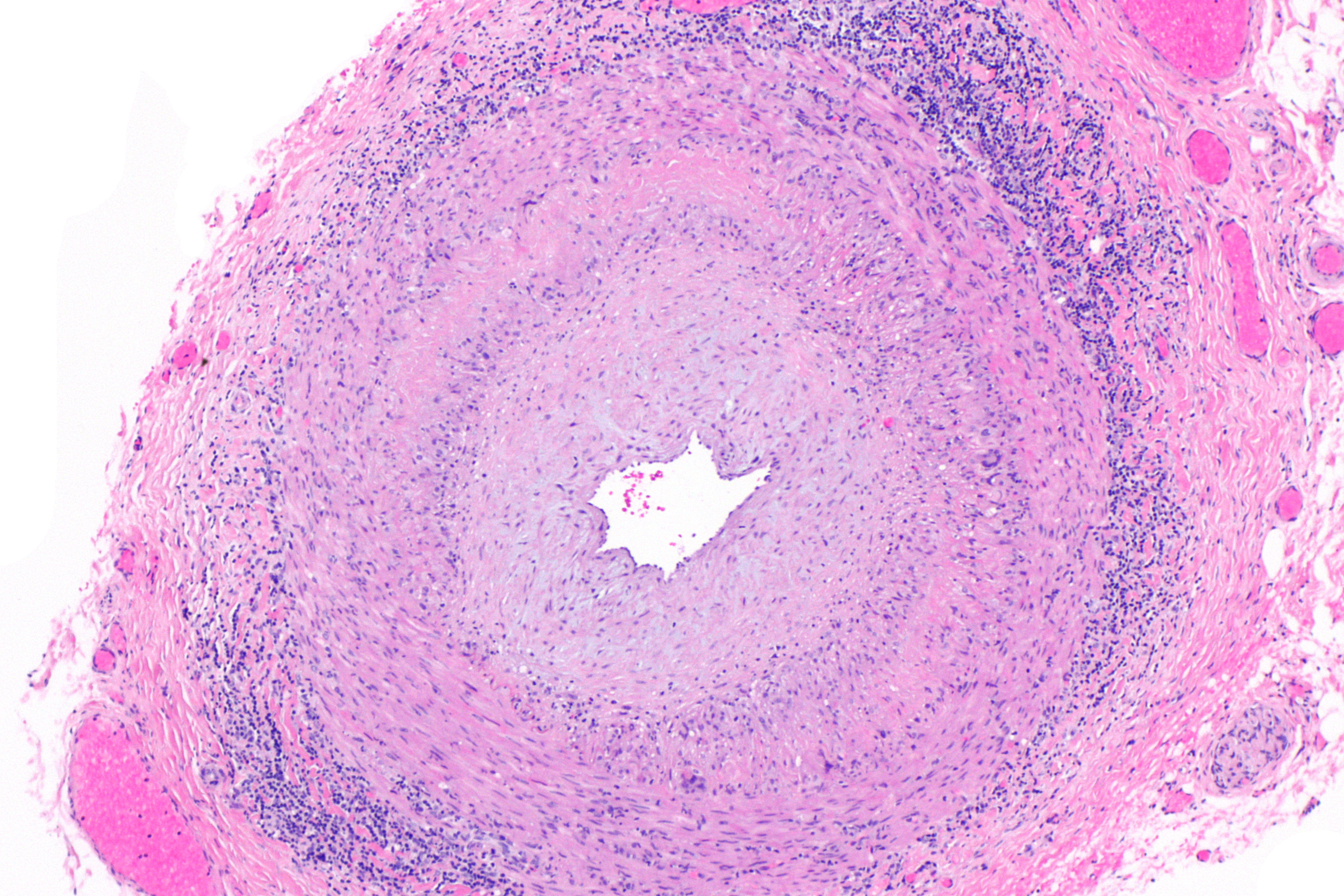
![Arteriitis temporalis (click on photo to enlarge) [source: Opzwartbeek - Wikimedia - Creative Commons License 4.0] Arteriitis temporalis](../../../images/arteritis-temporalis-1z.jpg) |
![Arteriitis temporalis (click on photo to enlarge) [source: Nephron - Wikimedia - Creative Commons License 3.0] Arteriitis temporalis](../../../images/arteritis-temporalis-2z.jpg) |
| arteriitis
temporalis |
arteriitis
temporalis |
Foto's:
Opzwartbeek en Nephron - Wikimedia (Creative Commons License
3.0).
Klinisch beeld:De arteria temporalis kan zichtbaar
verdikt zijn, rood, gezwollen, soms postinflammatoire hyperpigmentatie, soms
bloeduitstortingen. Verder pijn, kloppende pijn, branderig of stekende pijn,
pijn bij kauwen of een kloppende hoofdpijn. Soms tijdelijk (amaurosis fugax)
of blijvend slechter zien, dubbelzien of blindheid. Ook koorts en algehele malaise,
verminderde eetlust, afvallen. Er kunnen necrotische gebieden ontstaan in het
stroomgebied van de arteria temporalis, of elders (tong, lippen, verhemelte).
De klachten bij polymyalgia rheumatica zijn pijn in de nek, schouders en/of
heupen, stijve en pijnlijke spieren in de ochtend, na een uur verbeterend, moeite
met opstaan uit bed of stoel, problemen met aankleden en wassen, erger worden
van de pijn bij beweging.
Diagnostiek:Patiënten
met deze klacht worden doorverwezen naar de reumatoloog of een internist. Indien
nodig kan een arteria temporalis biopt (klein segment uitnemen, arterie aan
beide kanten onderbinden) worden afgenomen. Dit wordt meestal gedaan door de
chirurg. Bloedonderzoek (bezinking, CRP, bloedbeeld, screening op auto-immuunziekten).
Therapie:R/ Prednisolon 1 dd 40-80 mg voor langere
tijd (+ profylactische maatregelen tegen botontkalking). Als de klachten afnemen
kan de prednison geleidelijk worden afgebouwd tot nul.
R/ Coldpack tegen
de slaap aanbrengen bij kloppende pijn of ernstige hoofdpijn.
Zie ook:
NHG-Standaard
polymyalgia rheumatica en arteriitis temporalis.
Author(s):dr. Jan R. Mekkes. Dermatologist, Amsterdam UMC.