Polyarteritis nodosa (PAN), ook wel periarteritis
nodosa genoemd, is een zeldzame vorm van
vasculitis
die wordt ingedeeld in de groep
systemische necrotiserende vasculitis,
samen met
ANCA-geassocieerde vasculitis,
Wegener’s granulomatosis,
Churg-Strauss syndroom, en
microscopische polyangiitis. Het is zeldzamer dan vroeger omdat in de loop der
jaren de diagnostische criteria zijn aangescherpt waardoor vasculitiden die
vroeger onder PAN werden gerekend nu worden gediagnosticeerd als
ANCA-geassocieerde vasculitis of één van de andere
vormen. Ook kan polyarteritis nodosa veroorzaakt worden door hepatitis B infectie
en dit komt steeds minder vaak voor door vaccinatie-programma's en betere behandelmogelijkheden.
| Systemische necrotiserende vasculitis: |
- polyarteritis nodosa (PAN) - anti-neutrophil cytoplasmic
antibody (ANCA) geassocieerde vasculitis - granulomatosis
with polyangiitis (GPA) (Wegener’s granulomatosis)
- eosinophilic granulomatosis with polyangiitis (EGPA)
(Churg-Strauss syndroom) - microscopische polyangiitis (MPA) |
De belangrijkste kenmerken van polyarteritis nodosa is dat het een necrotiserende
vasculitis is
van middel-grote en kleine
arterietakjes en niet van kleinere vaten zoals arteriolen, venulen,
of capillairen, het
ontbreken van glomerulonefritis,
en de
afwezigheid van ANCA's. PAN komt bij alle rassen
voor, iets vaker bij mannen dan bij vrouwen, en vooral in de leeftijdsgroep
40-60 jaar, maar het kan ook bij kinderen voorkomen. De prevalentie is circa
30 per miljoen, de incidentie in Europa ligt tussen de 1 en 8 per miljoen inwoners
per jaar. De prognose voor polyarteritis nodosa die niet behandeld wordt is
slecht (13% 5-jaarsoverleving), met behandeling is de 5-jaarsoverleving rond
de 80%.
Klinisch beeld:De klinische symptomen zijn
zeer wisselend. Meerdere orgaansystemen kunnen zijn aangedaan, maar ook slechts
1 orgaan (single-organ PAN) of alleen de huid (cutane PAN). Aan de huid kan
een
livedo reticularis beeld te
zien zijn, maar ook nodi, noduli, purpura, en ulcera. Interne organen zoals
de nieren of stukken darm kunnen beschadigd raken door occlusie van arterietakjes
met als gevolg ischemie en necrose. Ook in de hersenen kan dit ontstaan.
![polyarteritis nodosa (click on photo to enlarge) [source: www.huidziekten.nl] polyarteritis nodosa](../../../images/polyarteritis-nodosa-1z.jpg) |
![polyarteritis nodosa (click on photo to enlarge) [source: www.huidziekten.nl] polyarteritis nodosa](../../../images/polyarteritis-nodosa-2z.jpg) |
| polyarteritis
nodosa |
polyarteritis
nodosa |
![polyarteritis nodosa (click on photo to enlarge) [source: www.huidziekten.nl] polyarteritis nodosa](../../../images/polyarteritis-nodosa-3z.jpg) |
![polyarteritis nodosa (click on photo to enlarge) [source: www.huidziekten.nl] polyarteritis nodosa](../../../images/polyarteritis-nodosa-4z.jpg) |
| polyarteritis
nodosa |
polyarteritis
nodosa |
| Klinische manifestaties van polyarteritis
nodosa: |
| Orgaan / klachtengroep: |
Symptomen: |
Frequentie: |
| Algemene symptomen |
koorts, malaise, gewichtsverlies, gewrichtsklachten, spierpijn |
90% |
| Neurologisch |
mononeuritis multiplex, perifere neuropathie |
75% |
| Huid |
noduli, purpura, livedo reticularis, ulcera |
60% |
| Nieren |
verhoogd kreatinine, hypertensie, hematurie en proteïnurie |
50% |
| Gastrointestinaal |
buikpijn, rectaal bloedverlies |
40% |
| Orchitis |
pijnklachten en/of zwellling testikels |
20% |
| Ogen |
vasculitis retina, conjunctivitis, keratitis, uveïtis |
8% |
| Vaten |
claudicatio, ischemie, necrose |
6% |
| Cardiaal |
cardiomyopathie, pericarditis |
5% |
| Centraal zenuwstelsel |
beroerte, verwardheid |
5% |
| Longen |
infiltraten, pleurale effusies |
3% |
Bron: Pagnoux C, et al. Arthritis Rheum 2010;62:616-626.
Diagnostische criteria:Er zijn door de ACR in 1990
diagnostische criteria geformuleerd, waarvan er 3 of meer aanwezig moeten zijn
om de diagnose PAN te stellen (zie tabel). Maar daar is geen consensus meer
over, deze criteria zijn inmiddels oud en opgesteld toen er nog geen ANCA-vasculitis
werd onderscheiden en toen een derde van de PAN werd veroorzaakt door hepatitis
B infectie (nu < 5%). In recentere artikelen worden stroomdiagrammen gebruikt
(zie figuur) waarin eerst de overige vormen van systemische necrotiserende vasculitis
worden afgegrensd op grond van specifieke criteria.
| ACR criteria (1990) voor de diagnose polyarteritis
nodosa (≥ 3 zijn nodig): |
| Criterium: |
Definitie: |
| Gewichtsverlies |
4 kilo afgevallen sinds begin ziekte, niet verklaard door
andere oorzaken |
| Livedo reticularis |
Reticulaire (netvormige) paarse verkleuringen aan de onderbenen
of op de romp |
| Pijnlijke testikels |
Pijnlijke of gevoelige testikels, niet veroorzaakt door infectie,
trauma, of andere oorzaken |
Spierpijn, spierzwakte, pijn beenspieren |
Diffuse spierpijn (schouders en heup niet meegerekend), spierzwakte,
pijnlijke of gevoelige beenspieren |
| Mononeuropathie of polyneuropathie |
Mononeuropathie, multipele mononeuropathieën, of polyneuropathie |
| Hypertensie |
Hypertensie, diastolische waarde >90 mm Hg |
| Verhoogd ureum of kreatinine |
BUN >40 mg/dL (= ureum > 14.3 mmol/L), of kreatinine >1.5
mg/dL (> 133 µmol/L), niet veroorzaakt door dehydratie of
obstructie |
| HBV infectie |
Aanwezigheid van hepatitis B surface antigeen of antibody |
| Arteriografische afwijkingen |
Aneurysmata of occlusie van viscerale arteriën, niet veroorzaakt
door atherosclerose, fibromusculaire dysplasie, of andere niet-inflammatoire
oorzaken |
Biopt: kleine of medium-size arterietakjes met neutrofiele
granulocyten |
Histologische afwijkingen: kleine of medium-size arterietakjes
met granulocyten of granulocyten en mononucleairen in de vaatwand |
Stroomdiagram voor het stellen van de diagnose periarteritis
nodosa:
De eerste stap in dit vrij complexe stroomdiagram is: voldoet de vasculitis
aan de
criteria voor EGPA (eosinophilic granulomatosis
with polyangiitis)? Dat is zo bij aanwezigheid van 3 Lanham criteria (1984):
astma, eosinofilie >1500/mm
3
of >10%, en vasculitis in 2 of meer organen; of 4 van 6 ACR citeria (1990):
astma, eosinofilie >10%, neuropathie, longinfiltraten, afwijkingen in de
neusbijholten, en extravasatie van eosinofielen; of bij voldoen aan de Chapel
Hill definitie (2012): eosinophil-rich and necrotizing granulomatous inflammation
often involving the respiratory tract, and necrotizing vasculitis predominantly
affecting small to medium vessel, and associated with asthma and eosinophilia.
ANCA is more frequent when glomerulonephritis is present.
De tweede stap
is: voldoet de vasculitis aan de
criteria voor GPA
(
granulomatosis with polyangiitis)? Dat is
zo bij aanwezigheid van 2 of meer van de 4 ACR criteria (1990): ontstekingen
in neus of mondholte, nodi, massa of holten in de longen, hematurie of erytrocyten
casts in sediment, granulomateuze ontsteking in biopt. Maar in 2017 zijn er
nieuwe ACR/EULAR criteria opgesteld en wordt de diagnose GPA gesteld bij vasculitis
van kleine en medium-size vaten en een score van 5 of meer uit een tabel met
5 klinische en 4 labcriteria waaraan punten worden toegekend.
| ACR/EULAR 2017 criteria voor GPA
(granulomatosis with polyangiitis): |
|
Symptomen / labafwijkingen: |
pnt |
| 1. |
bloederige uitvloed uit de neus, ulcera, korsten, of verstopte
neus of bijholte |
3 |
| 2. |
neuspoliepen |
-4 |
| 3. |
gehoorverlies of vermindering |
1 |
| 4. |
kraakbeenbetrokkenheid (perforatie neusseptum of zadelneus) |
2 |
| 5. |
rode of pijnlijke ogen |
1 |
| 6. |
cANCA of PR3 positief |
5 |
| 7. |
eosinofilie ≥ 1 x 109/L |
-3 |
| 8. |
nodi, massa of holten in de longen op röntgenfoto of CT of MRI |
2 |
| 9. |
granulomateuze ontsteking in biopt |
3 |
In het flowdiagram wordt ook de diagnose GPA gesteld bij voldoen aan de
Chapel Hill definitie (2012): necrotizing granulomatous inflammation usually
involving the upper and lower respiratory tract, and necrotizing vasculitis
affecting predominantly small to medium vessels (e.g., capillaries, venules,
arterioles, arteries and veins). Necrotizing glomerulonephritis is common. Maar
ook bij voldoen aan de Chapel Hill definitie (2012) voor MPA (microscopische
polyangiitis) in combinatie met
klinische GPA symptomen.
En bij aanwezigheid van klinische GPA symptomen plus positieve PR3 of MPO ANCA’s.
De klinische GPA symptomen zijn: radiograph showing fixed pulmonary infiltrates,
nodules, or cavitations for >1 mo; bronchial stenosis; bloody nasal discharge
and crusting for >1 mo or nasal ulceration; chronic sinusitis, otitis media,
or mastoiditis for >3 mo; retro-orbital mass or inflammation (pseudotumor);
subglottic stenosis; saddle nose deformity/destructive sinonasal disease). De
Chapel Hill definitie (2012) voor MPA (microscopische polyangiitis) is: necrotizing
vasculitis, with few or no immune deposits, predominantly affecting small vessels
(i.e., capillaries, venules, or arterioles). Necrotizing arteritis involving
small and medium arteries may be present. Necrotizing glomerulonephritis is
very common. Pulmonary capillaritis often occurs. Granulomatous inflammation
is absent.
De derde stap is: voldoet de vasculitis aan de
criteria voor MPA (microscopische polyangiitis). Dit is het
geval als er klinisch en histologisch een vasculitis van de kleine vaten is
bij afwezigheid van klinische GPA symptomen. Of, als er geen histologie beschikbaar
is, bij afwezigheid van klinische GPA symptomen, maar bij aanwijzingen (surrogate
markers) voor vasculitis van de nieren (glomerulonephritis): hematurie, erytrocyten
casts of > 10% dysmorfe erytrocyten; of 2+ hematurie en 2+ proteinurie, plus
positieve PR3 of MPO ANCA’s.
De vierde stap is: voldoet de vasculitis
aan de
criteria voor PAN (polyarteritis nodosa). De
Chapel Hill definitie (2012) voor PAN is: necrotizing arteritis of medium or
small arteries without glomerulonephritis or vasculitis in arterioles, capillaries,
or venules, and not associated with antineutrophil cytoplasmic antibodies (ANCAs).
Als dat het geval is, of als er typische angiografische kenmerken van PAN zijn,
dan wordt de diagnose PAN gesteld. Bij niet voldoen aan alle criteria wordt
de diagnose niet-classificeerbare vasculitis.
Oorzaken PAN:
Polyarteritis nodosa is meestal idiopathisch. Het kan worden veroorzaakt door
virussen (HBV, HCV, HIV, parvovirus B19) en door hairy cell leukemie (secundaire
PAN). Ook door geneesmiddelen en soms bij het myelodysplastisch syndroom. Er
is ook een variant van PAN die veroorzaakt wordt door
adenosine deaminase 2
deficiëntie (
DADA2), deze vorm geeft vaak al op jonge
leeftijd klachten (systemische inflammatoire vasculopathie, livedo reticularis,
verhoogde ontstekingsparameters, herseninfarct door ischemie of bloeding op
jonge leeftijd). Zie ook onder
auto-inflammatoire
aandoeningen.
DD:Andere vormen van
vasculitis,
livedoid vasculopathie,
adenosine
deaminase 2 deficiëntie (DADA2), stollingsafwijkingen
met
hypercoagulabiliteit (inclusief
antifosfolipiden syndroom),
atherosclerose, emboliën (atrial
myxoma,
cholesterol embolie), bacteriële
endocarditis, fibromusculaire dysplasie en andere vaatafwijkingen,
calciphylaxis, ergotamine gebruik,
ziekte van Kawasaki (bij kinderen), vasculitis
bij HBV, HCV, of HIV. Bij neurologische afwijkingen: Moyamoya disease, MELAS
(mitochondrial encephalomyopathy, lactic acidosis, and strokelike episodes),
CADASIL (cerebral autosomal-dominant arteriopathy with subcortical infarcts
and leukoencephalopathy), granulomatous angiitis of the central nervous system,
en mononeuritis multiplex bij diabetes.
Diagnostiek:
Biopt, als er huidafwijkingen zijn. Liefst een diep en groot biopt (4-6 mm)
of een excisiebiopt.
Er zijn geen specifieke laboratorium bepalingen voor
PAN, maar er kan wel een specifieke set aan labonderzoek worden aangevraagd
om andere vasculitis varianten en onderliggende oorzaken uit te sluiten.
Afbeeldend onderzoek (longfoto, CT, MRI, angiografie, echo) bij verdenking op
orgaanschade.
Consult longarts, cardioloog, consult KNO arts.
ANCA’s.
Bloedbeeld (Hb, Leuko’s, diff, erytrocyten, trombocyten).
PTT, PT, fibrinogeen,
op indicatie trombofiliepakket.
C-reactive protein (CRP).
Totaal eiwit,
op indicatie eiwit spectrum en M-proteïne screening.
Lever enzymen (AST,
ALT, γGT, alkalische fosfatase, bilirubine totaal).
Kreatinine (en eGFR).
Glucose, calcium, fosfaat.
Urinesediment op eiwit, hematurie, leukocyten.
Op indicatie urine kweken, 24 uurs eiwitbepaling.
HBV, HCV en HIV serologie
(HBs-Ag, anti-HB core, anti-HCV, HIV Ag/As). Parvovirus B19 IgG/IgM.
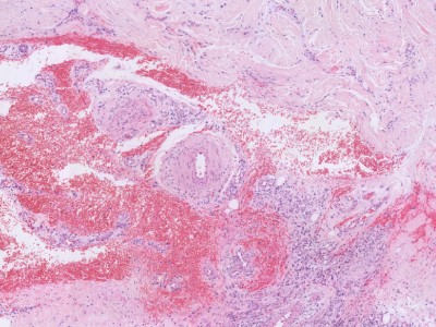
PA:Vasculitis van kleine en middelgrote arterietakjes,
en niet in arteriolen, capillairen of venulen. De vaataantasting is meestal
segmentaal en vooral gelokaliseerd rond vertakkingen van kleine arteriën. De
vaten worden aangetast door een gemengd infiltraat bestaande uit neutrofiele
granulocyten, lymfocyten en macrofagen. Meestal geen reuscellen of vorming van
granulomen. De vaten raken beschadigd en geoccludeerd, er ontstaat fibrinoïde
necrose, intimahyperplasie, fibrotische veranderingen, vorming van microaneurysmata,
en trombosering. Later ook nieuwvorming van vaten.
![Histologie polyarteritis nodosa (click on photo to enlarge) [source: Kevin Kwee / Afdeling Pathologie MUMC] Histologie polyarteritis nodosa](../../../pacoupes/thumbnails/polyarteritis-nodosa-1.jpg) |
![Histologie polyarteritis nodosa (click on photo to enlarge) [source: Kevin Kwee / Afdeling Pathologie MUMC] Histologie polyarteritis nodosa](../../../pacoupes/thumbnails/polyarteritis-nodosa-2.jpg) |
|
ingescande coupe (zoom) |
ingescande coupe (zoom) |
Bron
hoge resolutie PA-foto's: Kevin Kwee en Afdeling Pathologie MUMC. Klik
op de afbeelding om in te zoomen.
Therapie:
Polyarteritis nodosa wordt, na uitsluiten van een virale oorzaak die eerst behandeld
moet worden, meestal behandeld met langdurige immunosuppressiva in een hoge
dosering. Zie ook de gedetailleerde richtlijn van de Franse reumatologie vereniging.
R/ prednison 0.75-1 mg/kg.
R/ prednison + methotrexaat (MTX) 20-25 mg per
week.
R/ prednison + azathioprine 2 mg/kg/dag.
R/ prednison + mycophenolate
mofetil 2000-3000 mg/dag.
R/ cyclofosfamide (vaak als toevoeging) 2 mg/kg/dag
oraal, of intraveneus 0.6 g/m²
elke 2 weken, na 3 giften elke 4 weken, maximaal een jaar.
R/ prednison puls
therapie (hoge dosis, 3 dagen achter elkaar).
R/ plasmaferese (ook bij virus-geassocieerde
PAN).
R/ antivirale therapie (lamivudine, interferon a) bij HBV-geassocieerde
PAN, eventueel in combinatie met een korte kuur prednison.
R/ antiretrovirale
combinatie therapie bij HIV-geassocieerde PAN.
R/ pegylated interferon a
en ribavirin in combinatie met immunosuppressiva (corticosteroïden, cyclofosfamide,
rituximab) bij HBC-geassocieerde PAN.
R/ intraveneuze immunoglobulinen (IvIg)
bij parvovirus-geassocieerde PAN.
Referenties
| 1. |
Forbess L, Bannykh S. Polyarteritis nodosa.
Rheum Dis Clin North Am 2015;41(1):33-46.
PDF |
| 2. |
Hočevar A, Tomšic M, Perdan Pirkmajer K.
Clinical Approach to Diagnosis and Therapy of Polyarteritis Nodosa.
Curr Rheumatol Rep 2021 Feb 10;23(3):14.
PDF |
| 3. |
Terrier B, Darbon R, Durel CA, Hachulla E,
Karras A, Maillard H, Papo T, Puechal X, Pugnet G, Quemeneur T,
Samson M, Taille C, Guillevin L; Collaborators. French recommendations
for the management of systemic necrotizing vasculitides (polyarteritis
nodosa and ANCA-associated vasculitides). Orphanet J Rare Dis 2020
Dec 29;15(Suppl 2):351.
PDF |
| 4. |
Human A, Pagnoux C. Diagnosis and management
of ADA2 deficient polyarteritis nodosa. Int J Rheum Dis 2019;22
Suppl 1:69-77.
PDF |
| 5. |
Pagnoux C, Seror R, Henegar C, Mahr A, Cohen
P, Le Guern V, Bienvenu B, Mouthon L, Guillevin L; French Vasculitis
Study Group. Clinical features and outcomes in 348 patients with
polyarteritis nodosa: a systematic retrospective study of patients
diagnosed between 1963 and 2005 and entered into the French Vasculitis
Study Group Database. Arthritis Rheum 2010;62(2):616-626. |
| 6. |
Jennette JC, Falk RJ, Bacon PA, Basu N, Cid
MC, Ferrario F, Flores-Suarez LF, Gross WL, Guillevin L, Hagen EC,
Hoffman GS, Jayne DR, Kallenberg CG, Lamprecht P, Langford CA, Luqmani
RA, Mahr AD, Matteson EL, Merkel PA, Ozen S, Pusey CD, Rasmussen
N, Rees AJ, Scott DG, Specks U, Stone JH, Takahashi K, Watts RA.
2012 revised International Chapel Hill Consensus Conference Nomenclature
of Vasculitides. Arthritis Rheum 2013;65(1):1-11.
PDF |
Author(s):dr. Jan R. Mekkes. Dermatologist, Amsterdam UMC.