Takayasu arteritis is een
granulomateuze
vasculitis van de aorta en zijn directe aftakkingen (aorta, aortaboog,
a. carotis, a. temporalis, a. pulmonalis. Frequent in Azië (Japan), zeldzaam
onder Kaukasische ras (prevalentie circa 3 per 1.000.000). Het komt meestal
voor bij patiënten onder de 50, en iets vaker bij vrouwen. Vroege symptomen
zijn koorts, vermoeidheid, verminderde eetlust, gewichtsverlies, spierpijn,
gewrichtspijn, nachtzweten, hartkloppingen, hoofdpijn, verhoogde BSE / CRP.
In deze fase kunnen huidafwijkingen voorkomen zoals erythema nodosum of een
vlindervormig (soms fotosensitief). exantheem. De ontsteking veroorzaakt intima
proliferatie met uiteindelijk beschadiging van de arterie (stenose, occlusie
of aneurysma). Symptomen kunnen zijn doof gevoel of ischemische pijn in de armen,
afwezige of zwakke pols, links-rechts verschil in bloeddruk, hoorbaar geruis
over arteriën, hypertensie door nierarterie stenose, pijn op de borst, pulmonale
hypertensie, wazig zien, dubbel zien, en neurologische klachten zoals amaurosis
fugax (ischemische retinopathie), TIA, beroerte, hemiplegie, paraplegie, vertebrobasilaire
ischemie, microaneurysmata, carotis stenose, hypertensieve encefalopathie).
Takayasu arteritis kan geassocieerd voorkomen met
pyoderma gangrenosum,
erythema nodosum,
erythema induratum,
cutane vasculitis n.n.o. en de ziekte van
Wegener.
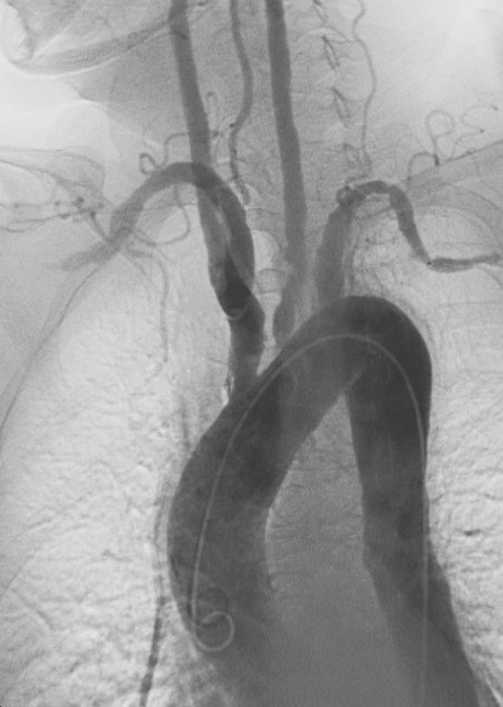
De diagnose wordt gesteld op het arteriogram waarbij focale
of segmentale vernauwingen of occlusie zichtbaar zijn in de aorta of directe
aftakkingen of de grote arteriën van de extremiteiten, niet verklaard door andere
oorzaken zoals atherosclerose. In Japanse definities wordt het criterium jonger
dan 40 jaar meegenomen. Aanvullende diagnostische opties zijn CT scan (dikte
aorta wand), MRI (minder nauwkeurig dan arteriogram), Gallium scan, SPECT en
PET scan en echografie (duplex scan).
![Takayasu arteritis (click on photo to enlarge) [source: www.huidziekten.nl] Takayasu arteritis](../../../images/Takayasu-arteritis-1z.jpg) |
![Takayasu arteritis (click on photo to enlarge) [source: Justin Ly - Wikimedia - Creative Commons License 1.0 - Public Domain Image] Takayasu arteritis](../../../images/Takayasu-arteritis-2z.jpg) |
![Takayasu arteritis (click on photo to enlarge) [source: Weiss PF, Corao DA, Pollock AN, Finkel TH, Smith SE - Wikimedia - Creative Commons License 2.0] Takayasu arteritis](../../../images/Takayasu-arteritis-3z.jpg) |
| Takayasu
arteritis |
Takayasu
arteritis |
Takayasu
arteritis |
Röntgenfoto's: Justin Ly en Weiss PF. et al. - Wikimedia (Creative
Commons License
1.0
/
2.0).
Therapie:R/ prednison 0.5-1.0 mg/ kg.
R/ methotrexaat
0.3 mg/kg/week.
R/ azathioprine 1 mg/kg/dg + prednison.
R/ Endoxan
(cyclofosfamide) 1-2 mg/kg/dg + prednison.
Verder expectatief beleid. In
sommige gevallen vaatchirurgische interventie.
Referenties
| 1. |
Pascual-Lopez M, Hernandez-Nunez A, Aragues-Montanes
M, Dauden E, Fraga J, Garcia-Diez A. Takayasu's disease with cutaneous
involvement. Dermatology 2004;208:10-15. |
| 2. |
Frances C, Boisnic S, Bletry O, Dallot A,
Thomas D, Kieffer E, Godeau P. Cutaneous manifestations of Takayasu
arteritis. A retrospective study of 80 cases. Dermatologica 1990;181:266-272 |
Author(s):dr. Jan R. Mekkes. Dermatologist, Amsterdam UMC.