HENOCH SCHÖNLEIN PURPURA / IgA VASCULITIS home ICD10: D69.0

Henoch-Schönlein purpura (Henoch-Schönlein vasculitis, IgA vasculitis) is een IgA-gemedieerde vasculitis met petechiën en/of palpabele purpura en vaak een systemische component, vooral nierschade (IgA nefropathie; frequent ook IgG gericht tegen mesangiale cellen), voorbijgaande arthralgiën (knie, enkel), en buikklachten (buikpijn, bloedingen, zelden intussusceptie, pancreatitis, cholecystitis, protein-losing enteropathy). Soms ook in andere organen (longen, CZS). Het komt vooral voor bij kinderen (de helft is onder de 5) en jong-volwassenen, en wordt vaak voorafgegaan door een luchtweginfectie. In Nederland is de incidentie 6.1 per 100.000 kinderen. HSP kan optreden na infecties met streptokokken (Groep A, ß-hemolytisch), hepatitis B, herpes simplexvirus, parvovirus B19, Coxsackievirus, en adenovirus. De diagnose kan bevestigd worden met een biopt, een HE-biopt en een IF biopt, maar het is niet altijd nodig om een biopt te nemen, de diagnose kan ook gesteld worden op het klinisch beeld.

Boven de 20 komt het minder vaak voor; de nierschade in die groep is echter ernstiger, en vergt een agressievere aanpak. Als er nierschade ontstaat dan manifesteert zich dat bij 85% binnen 4 weken, 91% binnen 6 weken, en 97% binnen 6 maanden. De nierschade varieert van milde proteinurie, micro- of macroscopische hematurie, cylindrurie tot kreatininestijging, hypertensie, en nefrotisch syndroom. 1-3% van de HSP patiënten ontwikkelt chronische nierinsufficiëntie. Circa 15% van de glomerulopathieën op jonge leeftijd wordt er door veroorzaakt. Een nierbiopt heeft prognostische waarde (met name crescent vorming heeft een slechte prognose), maar is zo invasief dat het slechts bij ernstige nierschade en twijfel over de diagnose wordt verricht, omdat de aandoening meestal (kinderen 94%, volwassen 89%) vanzelf overgaat.

De term Henoch Schönlein purpura of vasculitis wordt gebruikt voor het klassieke patroon van purpura, nierschade, arthralgiën en buikklachten bij kinderen, de andere (overkoepelende) term die gebruikt wordt is IgA-vasculitis.

Henoch-Schönlein purpura Henoch-Schönlein purpura Henoch-Schönlein purpura
Henoch-Schönlein purpura Henoch-Schönlein purpura Henoch-Schönlein purpura

Henoch-Schönlein purpura Henoch-Schönlein purpura Henoch-Schönlein purpura
Henoch-Schönlein purpura Henoch-Schönlein purpura IgA vasculitis

Henoch-Schönlein purpura Henoch-Schönlein purpura Henoch-Schönlein purpura
Henoch-Schönlein purpura IgA vasculitis IgA vasculitis

Henoch-Schönlein purpura Henoch-Schönlein purpura Henoch-Schönlein purpura
IgA vasculitis IgA vasculitis IgA vasculitis

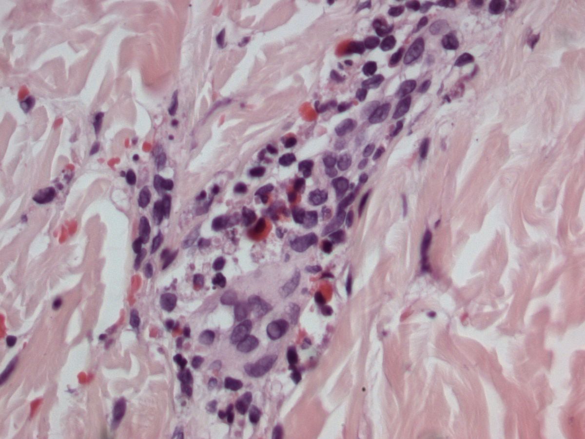
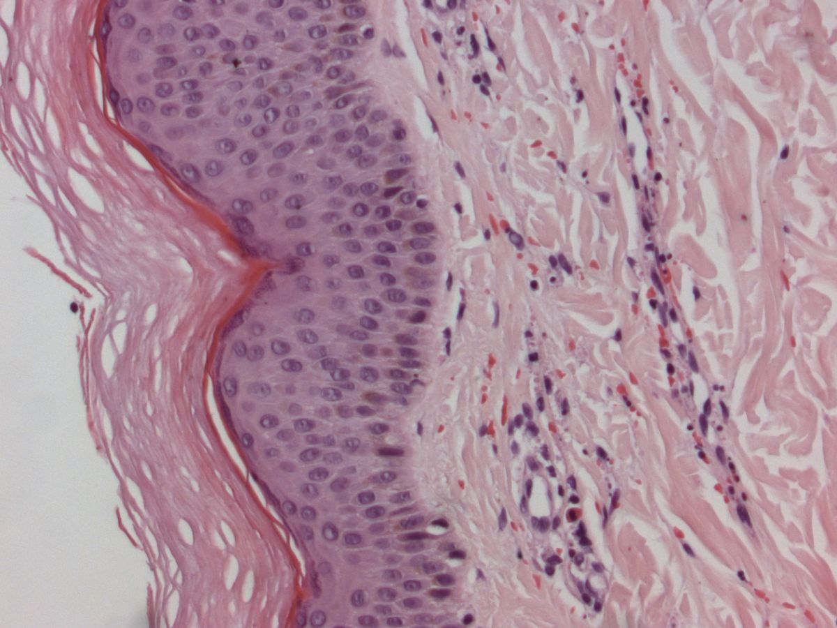
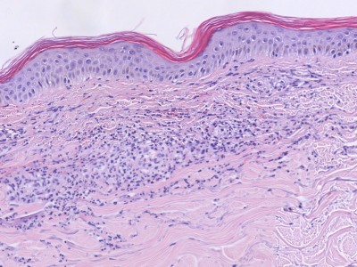
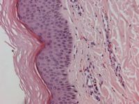
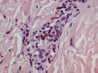
Histologie IgA vasculitis
ingescande coupe (zoom)

Bron hoge resolutie PA-foto: Kevin Kwee en Afdeling Pathologie MUMC. Klik op de afbeelding om in te zoomen.


DD: hypersensitivity vasculitis (cutane leukocytoclastische vasculitis), auto-immuun (SLE etc.), microscopische polyangiitis, stollingsneiging (m.n. antifosfolipidensyndroom), sepsis, Goodpasture syndroom (anti-GBM), Wegener's granulomatosis, ITP, HUS, leukemie, stollingsstoornissen, acuut hemorragisch oedeem op de kinderleeftijd (AHOI), purpura fulminans. Darmklachten: appendicities, invaginatie, gastroenteritis, darminfarcering. Artritis: juveniele idiopathische artritis, SLE. Nefritis: andere glomerulonefritis, SLE, ANCA-geassocieerde kleine vaten vasculitis. Het onderscheid tussen HSP en hypersensitivity vasculitis kan met 75% zekerheid gemaakt worden bij aanwezigheid van 3 of meer symptomen uit het rijtje: palpable purpura, buikpijn, gastrointestinale bloedingen, hematuria, en onder de 20 jaar.


Diagnostiek:
Urinesediment (ochtendurine) inclusief totaal eiwit en kreatinine (kreat) in portie urine. Urinesediment gedurende de eerste 3 maanden elke maand herhalen, en daarna na 6 en 12 maanden. Bloeddruk meten. Een biopt is niet per se nodig, alleen overwegen bij een atypische huiduitslag of ter uitsluiting van een andere diagnose. Op indicatie, bij twijfel bloedonderzoek doen: volledig bloedbeeld, leukodiff, CRP, ureum, kreatinine, en bij renale betrokkenheid albumine, C3, C4, ANA, ANCA, antidubbelstrengs DNA en immunoglobulinen. Indicatie voor nierbiopsie zijn nefrotische proteïnurie (urine-eiwitkreatinine-ratio > 200 mg/mmol in de ochtendurine) en een verminderde glomerulaire filtratiesnelheid.

Therapie:
R/ naproxen.
R/ colchicine 1 mg per dag.
R/ prednison 0.5-1.0 mg/kg/dag. Gunstig effect op symptomen, m.n. arthritis en buikklachten. Bij buikklachten wordt hoger gedoseerd (1-2 mg/kg/dag)
R/ dapson (diafenylsulfon)100 mg (50-200 mg/dag).
R/ azathioprine 50-200 mg/dag (1-3 mg/kg/dag).
R/ prednison + cyclofosfamide 50-200 mg/dag (2 mg/kg/dag).
R/ prednison + azathioprine 50-200 mg/dag (1-3 mg/kg/dag).
R/ methylprednison 250-1000 mg/dag gedurende 3 dagen, gevolgd door prednison 1 mg/kg/dag. gedurende 3 dagen (bij nierschade).
R/ dipyridamol.
R/ plasmapheresis, IvIg, mab's.

Bij een geïsoleerde proteïnurie van 20-200 mg eiwit per mmol kreatinine die langer dan vier weken persisteert, of bij proteïnurie in de nefrotische range (>200 mg eiwit/mmol kreat in een portie urine) kan een ACE-remmer of angiotensine receptor blocker (ARB) overwogen worden, bijvoorbeeld enalapril 0.1-0.5 mg/kg in 2 dosis. Zo nodig in combinatie met corticosteroïden. Bij achteruitgang van de nierfunctie en bij crescentic nephritis kan behandeld worden met methylprednisolon pulsen en cyclofosfamide.


Referenties
1. Rostoker G. Schonlein-henoch purpura in children and adults: diagnosis, pathophysiology and management. BioDrugs 2001;15:99-138.


Author(s):
dr. Jan R. Mekkes. Dermatologist, Amsterdam UMC.

31-05-2023 (JRM) - www.skin-diseases.eu Terug naar homepagina



Diagnosis codes:
ICD10 D69.0 Allergische purpura: Henoch-Schönlein purpura
ICD10 D69.0 Allergic purpura: Henoch-Schönlein purpura
SNOMED 191306005 Henoch-Schönlein purpura
DBC 13 Inflammatoire dermatosen