HYPERCOAGULABILITEIT (VERHOOGDE STOLLINGSNEIGING / TROMBOFILIE) home ICD10: D68.5

Door verbeterde laboratoriumdiagnostiek en nieuw onderzoek is ontdekt dat bij een aantal aandoeningen een verhoogde stollingsneiging (hypercoagulabiliteit) een rol speelt. Een bekend voorbeeld is het trombosebeen, waarbij naast oorzaken als zwangerschap of immobiliteit bij een steeds groter wordend percentage patiënten erfelijke of verkregen stollingsafwijkingen die predisponeren tot trombose worden ontdekt, zoals het antifosfolipiden syndroom, deficiëntie van antithrombine III, proteïne C of proteïne S, of abnormale stollingsfactoren (Factor V Leiden, Factor II mutant).


Risicofactoren voor trombose:
Factor V- Leiden 3.5-10%
protrombine G20210A 2%
proteïne S-deficiëntie 0.7%
proteïne C-deficiëntie 0.2-0.4%
antitrombine III deficiëntie 0.02%
homocysteinurie 1:100.000
factor VIII  
antifosfolipiden syndroom
(lupus anticoagulans, anticardiolipine)
 
gestoorde fibrinolyse  


Minder goed bekend is dat hypercoagulabiliteit ook verantwoordelijk kan zijn voor purpura racemosa (livedo reticularis), livedoid vasculopathie, acrale thrombi (acrale purpura, ischemie, blauw verkleurde tenen), coumarine induced skin necrosis, ulcera op basis van occlusieve vasculopathie van de kleine vaten nno, ulcera bij Felty syndroom, en pijnlijke zwartnecrotische ulcera bij vasculitis. Daarnaast zijn er wat zeldzamere aandoeningen zoals de ziekte van Sneddon en de ziekte van Degos waarbij een stollingsneiging vermoed wordt.

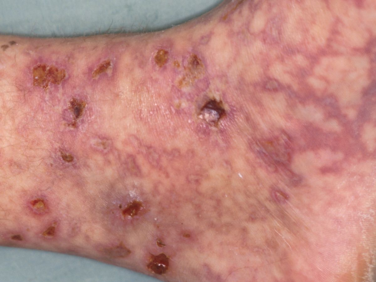
ulcus cruris t.g.v. lupus anticoagulans ulcus cruris t.g.v. lupus anticoagulans livedo reticularis vasculitis met ulcera bij Factor V-Leiden
lupus anticoagulans lupus anticoagulans Factor V Leiden


Ulcera door hypercoagulabiliteit
Een beruchte combinatie is die van vasculitis en hypercoagulabiliteit, waarbij uitgebreide zwart-necrotische ulcera kunnen ontstaan. Vasculitis veroorzaakt meestal alleen purpura en kleine huidnecrosen maar kan ook diep necrotische ulcera veroorzaken. In de groep vasculitis patiënten met necrotische ulcera bestaat een verhoogde kans op trombofilie, meestal lupus anticoagulans of factor V Leiden. De vasculitis beschadigt de vaatwand. Daar hechten vervolgens fibrine trombi aan. In het bloed circuleren remmers van de stolling om te voorkomen dat het stollingsproces uit de hand loopt. Bij deficiëntie daarvan of niet functionerende stollingseiwitten ontstaat intravasale stolling en necrose. De behandeling bestaat uit immunosuppressiva (meestal prednison) en antistolling met in de acute fase heparine i.v. of fraxiparine i.m. (eventueel ook thuis te continueren), gevolgd door orale antistolling met Sintrom (acenocoumarol). In een latere fase kunnen andere medicaties zoals Ascal, Xarelto, Plavix, of Trental worden uitgeprobeerd, maar het is niet zeker of die even effectief zijn.

De frequentie van stollingsstoornissen bij ulcera met zwarte necrose is zo hoog dat screenen op hypercoagulabiliteit zinvol is in de volgende situaties:
- ulcera op basis van vasculitis
- ulcera bij patiënten met een systeemziekte
- pyoderma gangrenosum
- ulcera veroorzaakt door de beta hemolytische streptococ
- ulcera bij patiënten met thrombo-embolien in de voorgeschiedenis
- pijnlijke ulcera zonder goede verklaring en zonder genezingstendens
- livedoid vasculopathie (livedo reticularis vasculitis) met ulcera
- ziekte van Degos (papulosis atrophicans maligna)
- necrose en purpura na het opstarten van coumarine (proteïne C en S-deficiëntie)
- purpura fulminans

vasculitis en Factor V Leiden vasculitis en Factor V Leiden vasculitis en Factor V Leiden
vasculitis en Factor V Leiden vasculitis en Factor V Leiden vasculitis en Factor V Leiden

vasculitis en Factor V Leiden Leukocytoclastische vasculitis Leukocytoclastische vasculitis
vasculitis en Factor V Leiden fibrine in vaten trombocyten kleuring


Labonderzoek:

Trombofilie pakket:
Hb, trombocyten
APTT (Activated Partial Thromboplastin Time), PT (Protrombine tijd)
Antitrombine III
Lupus anti-coagulans
anti-beta2-glycoproteïne (IgG en IgM)
anti-cardiolipine (IgG en IgM)
Proteïne C en proteïne S
APC ratio
Factor V (Leiden) mutatie (506R- 506Q)
Factor II (protrombine) mutatie (20210G- 20210A)

Optioneel:
Factor VIII (een licht verhoogde factor VIII wordt vaak gevonden bij ontstekingen, een waarde > 3 x normaal is wel relevant)
MOCHA's (Markers of Coagulation and Hemostasis Activation): protrombine fragment 1 + 2, TAT complexen, fibrine, D-Dimeren
Trombinetijd
CRP (ontsteking)
anti-protrombine (aPT en aPS/PT)
Factor II VII IX XI
fibrinogeen
TPA (Tissue Plasminogeen Activator)
lipoproteine A
homocysteïne


Factor V- Leiden (506R - 506Q)
Bij geringe beschadigingen van de vaatwand (bijvoorbeeld zoals die bij een vasculitis optreden) wordt de bloedstolling geïnitieerd, protrombine wordt omgezet in trombine, trombine activeert factor V en VII, en daarna komt de zich zelf amplificerende stollingscascade op gang. Dit proces wordt geremd en gereguleerd door antitrombine III maar op lokaal niveau ook door trombomoduline, dat aanwezig is op het oppervlak van endotheelcellen en trombine bindt. Het trombine-trombomoduline complex activeert proteïne C. En geactiveerd proteïne C (APC) en proteïne S inactiveren vervolgens weer factor Va en VIIa door deze op specifieke plaatsen te knippen. Op een van deze knipplaatsen op factor V is een puntmutatie bekend waardoor een afwijkende factor V circuleert (Factor V-Leiden) die resistent is tegen APC. Een heterozygote factor V-Leiden verhoogt de kans op trombose 5 tot 10 maal. De factor V-mutatie komt in Europa zo'n 10 tot 15 maal vaker voor dan proteïne C- of proteïne S-deficiëntie, en wordt verhoogd aangetroffen in de populatie patiënten met doorgemaakte trombose voor het 40e levensjaar, en patiënten met chronische veneuze insufficiëntie.

Factor V Leiden

Factor V Leiden kan worden aangevraagd als losse test of als onderdeel van een trombofiliepakket. Vaak wordt ook de APC ratio bepaald. De APC-resistentietest meet de invloed van actief proteïne C (APC) op de stollingstijd (APTT). De stollingstest wordt uitgevoerd met en zonder toevoeging van APC en de resultaten worden op elkaar gedeeld en weergegeven als de APC-ratio. Bij een Factor V Leiden mutatie is Factor V minder gevoelig (resistent) voor de remmende werking van APC. Normaal is de APC-ratio >2. Een lichte verlaging van de APC-ratio (iets onder 2) wijst op een lichte APC-resistentie, en dit wordt gezien bij een heterozygote Factor V Leiden mutatie. Het risico op veneuze trombo-embolie is dan 5-10 keer hoger dan bij iemand zonder de mutatie. Een sterk verlaagde APC-ratio (tussen 0.85 en 1.2) wijst op een sterk toegenomen APC-resistentie, en dit wordt gezien bij een homozygote Factor V Leiden mutatie. Het risico op veneuze trombo-embolie is dan sterk toegenomen (50-100 keer hoger).

Reden om de APC ratio en/of Factor V-Leiden te bepalen zijn trombose op jonge leeftijd (< 40 jaar), vaak terugkerende trombose, veel familieleden met trombose, veneuze trombo-embolie op een plek waar dit normaal niet veel voorkomt, terugkerende onverklaarde miskramen, en bij het starten van OAC bij iemand waarbij veel trombose in de familie voorkomt. Binnen de dermatologie wordt het bepaald, als onderdeel van het trombofiliepakket, bij vasculitis waarbij ulcera ontstaan, en bij enkele andere zeldzame beelden waarbij hypercoagulabiliteit een rol kan spelen of moet worden uitgesloten.


Factor II mutatie (protrombine mutatie)
Een factor II mutatie (G20210A) leidt tot toename van de hoeveelheid factor II (protrombine) in het bloed. Protrombine wordt in de stollingscascade geactiveerd tot trombine, één van de belangrijkste stollingsfactoren. Door deze verhoging is het stollingssysteem actiever en moeilijker te remmen. Dit leidt tot een verhoogde kans op trombose. Factor II mutatie komt voor bij 2-3% van de populatie en verhoogt het risico op trombose met een factor 2-3. De mutatie is verantwoordelijk voor 10-15% van de erfelijke trombofilie. Er is vooral een verhoogd risico op diep veneuze trombose en longembolie, niet op arteriële embolieën. De diagnose wordt gesteld met DNA onderzoek naar de G20210A mutatie.


Proteïne C en S deficiëntie
Proteïne C en S deficiëntie kunnen erfelijk zijn en al op jonge leeftijd trombose veroorzaken. Ook verkregen proteïne C en S deficiëntie komt voor, o.a. door gestoorde leverfunctie, gebruik van vitamine K antagonisten, nierfalen, of door verhoogd verbruik bij diffuse intravasale stolling (zie onder purpura fulminans) of een actieve trombose. Proteïne S versterkt het effect van activated protein C (APC), een eiwit dat de stolling remt. Proteïne S deficiëntie wordt onderverdeeld in type I (verlaagde hoeveelheid proteïne S), type II (lage APC activiteit), en type III (verlaagd proteïne S door binding aan complementfactor C4b). De halfwaardetijd van proteïne C is korter dan van andere vitamine K afhankelijke stollingsfactoren, daardoor kan bij het opstarten van antistolling met vitamine K antagonisten coumarine necrose optreden. Proteïne C wordt door trombomoduline omgezet in geactiveerd proteïne C (APC). APC remt de stolling door inactivatie van stollingsfactoren V en VIII, en heeft ook anti-inflammatoire en cel-beschermende eigenschappen.


Antifosfolipiden syndroom
Het antifosfolipiden syndroom is zeldzaam. Het wordt gekenmerkt door de aanwezigheid van een heterogene groep circulerende antistoffen gericht tegen fosfolipiden. De aanwezigheid van antifosfolipiden is geassocieerd met veneuze en/of arteriële trombose, trombocytopenie, en habituele abortus. Daarnaast kunnen vele huidafwijkingen optreden die allemaal zijn terug te voeren op vaatocclusie, zoals ulcera, livedo reticularis, acrocyanose, Raynaud, capillaritis en tromboflebitis.

De belangrijkste twee antifosfolipiden zijn het lupus anticoagulans (LA) en de anticardiolipine antistoffen (ACA). ACA's zijn verantwoordelijk voor de valspositieve VDRL bij patiënten met systeemziekten zoals bijvoorbeeld SLE. Dat komt omdat het antigeen mengsel van de VDRL test bestaat uit cardiolipine, fosfatidylchloride, en cholesterol. Bij aanwezigheid van het lupus anticoagulans is de PTT (protrombine tijd) en de APTT (activated partial tromboplastin time) vaak verlengd, vandaar de verwarrende naam anticoagulans, maar er is een verhoogde kans op trombose. Zestig procent van de patiënten met LA heeft SLE.

Antifosfolipiden kunnen zonder betekenis gevonden worden bij gezonde mensen, maar inmiddels is er een groot aantal onderliggende aandoeningen bekend waarbij antifosfolipiden circuleren: immuunziekten (SLE, auto-immune trombocytic purpura en hemolytische anemie, RA, Sjögren syndroom, giant cell arteritis, dermatomyositis, m. Behçet, polyarteritis nodosa), maligniteiten waaronder lymfomen, hematologische ziekten (myelofibrosis, ziekte van von Willebrand, paraproteinemie), infectieziekten (lues, lepra, tuberculose, mycoplasma, borreliose, HIV, endocarditis, hepatitis e.a. virusinfecties), neurologische aandoeningen (Sneddon syndroom, myasthenia gravis, multiple sclerose), en bij een aantal geneesmiddelen.

Therapie:
De behandeling van het antifosfolipiden syndroom bestaat uit conventionele antistolling therapie. Uiteraard alleen indien er klinische verschijnselen zijn die dit rechtvaardigen, zoals trombose. Daarnaast moet er onderzoek worden verricht naar onderliggende aandoeningen.
R/ Sintrom (acenocoumarol). Dag 1: 6 mg, dag 2: 4 mg, dag 3: 2 mg. Onderhoudsdosering: 1-8 mg/dag (in 1 dosis) op geleide van de INR (streefwaarde 2.0-3.0).
R/ Xarelto (rivaroxaban) 1 dd 20 mg (15 mg bij een kreatinine klaring van 30-49 mL/min).
R/ Fraxiparine 1 dd 2850-5700 E + Ascal (carbasalaatcalcium), 1 dd 100 mg.


Antitrombine III deficiëntie
Antitrombine III bindt aan de heparinereceptor op endotheelcellen en vormt een complex met trombine (trombine-antitrombine (TAT) complex) dat de stolling remt. Antitrombine III deficiëntie komt bij 1 op de 500 personen voor en kan leiden tot trombose op jonge leeftijd (<50 jaar). Antitrombine wordt geproduceerd in de lever en is niet vitamine K afhankelijk. Verlaagd antitrombine III kan ontstaan bij leverschade maar ook bij verhoogd verlies bij nefrotisch syndroom, enteropathie, diffuse intravasale stolling, sepsis, brandwonden, trauma, microangiopathie, bypass chirurgie.


Homocysteïnemie
Homocysteïnemie of hyperhomocysteïnemie is gedefinieerd als een verhoogde concentratie van homocysteïne (>15 µmol/l) en is geassocieerd met een licht verhoogd risico op trombose. Zie verder onder homocysteïnemie.


Factor VIII
Een verhoogde concentratie factor VIII verhoogt de kans op trombose licht, waarschijnlijk veroorzaakt het APC resistentie. Factor VIII is vaak verhoogd bij ontstekingen. Ook bij gebruik van oestrogenen en in de zwangerschap. Afro-Amerikanen hebben gemiddeld hogere concentraties factor VIII.


Referenties
1. Mekkes JR, Loots MA, Van Der Wal AC, Bos JD. Causes, investigation and treatment of leg ulceration. Br J Dermatol 2003;148:388-401. PDF
2. Mekkes JR, Loots MA, Van Der Wal AC, Bos JD. Increased incidence of hypercoagulability in patients with leg ulcers caused by leukocytoclastic vasculitis. J Am Acad Dermatol 2004;50:104-107. PDF
3. Spuls PI, Nanninga PB, Mekkes JR. Met antineutrofiele cytoplasmatische antistoffen tegen myeloperoxidase samenhangende vasculitis bij een patiënt met een heterozygote factor V-Leiden mutatie. Ned Tijdschr Geneeskd 2000;144:2430-2431.
4. Marechal V, De Maistre E, Barbaud A, Albuisson E, Lecompte T, Gobert B, Bene M, Faure G, Schmutz J. Activated protein C resistance and cardiolipin antibodies in leg ulcers. Ann Dermatol Venereol 2000;127:585-589.
5. Hackenjos K, Bek M, Schopf E, Vanscheidt W. Recurrent ulcerations on both legs since early childhood due to a factor V gene mutation. Dermatology 1997;194:297-298.
6. Nahass GT. Antiphospholipid antibodies and the antiphospholipid antibody syndrome. J Am Acad Dermatol 1997;36:149-168.
7. Shimizu K, Toriyana F, Ogawa F, Katayama I, Okajima K. Recurrent leg ulcers and arterial thrombosis in a 33-year-old homozygous variant of antithrombin. Am J Hematol 2001;66:285-291.
8. Boyvat A, Kundakçi N, Babikir MOA, Gürgey E. Livedoid vasculopathy associated with heterozygous protein C deficiency. Br J Dermatol 2000;143:840-842.
9. Kulthanan K, Krudum T, Pintadit P, et al. Chronic leg ulcers associated with hereditary protein S deficiency. Int J Dermatol 1997;39:198-212.
10. Maessen-Visch MB, Hamulyak K, Tazelaar DJ, et al. The prevalence of Factor V Leiden mutation in patients with leg ulcers and venous insufficiency. Arch Dermatol 1999;135:41-44.
11. Peus D, Heit JA, Pittelkow MR. Activated protein C resistance caused by factor V gene mutation: common coagulation defect in chronic venous leg ulcers? J Am Acad Dermatol 1997;36:616-620.
12. Koeleman BRM, Koster T, Rosendaal FR, Dirven RF, de Ronde H, van der Velden PA, Reitsma PH. Mutation in blood coagulation factor V associated with resistance to activated protein C. Nature 1994;369:64-67.
13. Gaber Y, Siemens HJ, Schmeller W. Resistance to activated protein C due to factor V Leiden mutation: high prevalence in patients with post-thrombotic leg ulcers. Br J Dermatol 2001;144:546-548.
14. Ridker PM, Miletich JP, Hennekens CH, Buring JE. Ethnic distribution of Factor V Leiden in 4047 men and women. JAMA 1997;277:1305-1307.
15. Fink AM, Kottas-Heidelberg A, Mayer W, Partsch H, Bayer PM, Bednar R, Steiner A. Lupus anticoagulant and venous ulceration. Br J Dermatol 2002;146:308-310.
16. Shi W, Krilis SA, Chong BH, Gordon S, Chesterman CN. Prevalence of lupus anticoagulant and anticardiolipin antibodies in a healthy population. Aust N Z J Med 1990;20:231-236.
17. Grob JJ, Bonerandi JJ. Cutaneous manifestations associated with the presence of the lupus anticoagulant. JAAD 1986;15:211-219.
18. Roubey RAS. Antibodies to phospholipid-binding plasma proteins: a new view of lupus anticoagulants and other 'antiphospholipid' autoantibodies. Blood 1994;84:2854-2867.
19. Malia RG, Kitchen S, Greaves M. Inhibition of activated protein C ans its cofactor protein S by antiphospholipid antibodies. Br J Haematol 1990;76:101-107.
20 Johansson EA, Niemi KM, Mustakallio KK. A peripheral vascular syndrome overlapping with systemic lupus erythematosus. Dermatologica 1977;155:257-267.
21. Rocca PV, Siegel LB, Cupps TR. The concomitant expression of vasculitis and coagulopathy: synergy for marked tissue ischemia. J Rheumatol 1994;21:556-560.
22. Matsumura KCS, Matsumura T, Hayashi H, Atsumi T, Kobayashi H. Factor XII deficiency: a possible cause of livedo with ulceration? Br J Dermatol 2000;143:892-918.
23. Lotti T, Ghersetich I, Comacchi C, Jorizzo JL. Cutaneous small-vessel vasculitis. J Am Acad Dermatol 1998;39:667-687.
24. Jenette JC, Falk R, Andrassy K, et al. Nomenclature of systemic vasculitides. Proposal of an international consensus conference. Arthritis Rheum 1994;37:187-192.


Author(s):
dr. Jan R. Mekkes. Dermatologist, Amsterdam UMC.

31-05-2023 (JRM) - www.skin-diseases.eu Terug naar homepagina



Diagnosis codes:
ICD10 D68.5 Primaire trombofilie
ICD10 D68.5 Primary thrombophilia
SNOMED 234467004 Thrombophilia
DBC 27 spacer Diagnose niet nader omschreven

ICD10 D68.5 Primaire trombofilie: factor V Leiden mutatie
ICD10 D68.5 Primary thrombophilia: factor V Leiden mutation
SNOMED 307091009 Factor V Leiden mutation
DBC 27 spacer Diagnose niet nader omschreven

ICD10 D68.5 Primaire trombofilie: protrombine G20210A mutatie
ICD10 D68.5 Primary thrombophilia: prothrombin G20210A mutation
SNOMED 440989002 Prothrombin G20210A mutation
DBC 27 spacer Diagnose niet nader omschreven

ICD10 D68.5 Primaire trombofilie: proteïne S deficiëntie
ICD10 D68.5 Primary thrombophilia: protein S deficiency disease
SNOMED 1563006 Protein S deficiency disease
DBC 27 spacer Diagnose niet nader omschreven

ICD10 D68.5 Primaire trombofilie: proteïne C deficiëntie
ICD10 D68.5 Primary thrombophilia: protein C deficiency disease
SNOMED 76407009 Protein C deficiency disease
DBC 27 spacer Diagnose niet nader omschreven

ICD10 D68.6 Overige trombofilie
ICD10 D68.6 Other thrombophilia
SNOMED 234467004 Thrombophilia
DBC 27 spacer Diagnose niet nader omschreven

ICD10 D68.6 Overige trombofilie: antifosfolipiden syndroom
ICD10 D68.6 Other thrombophilia: antiphospholipid syndrome
SNOMED 26843008 Antiphospholipid syndrome
DBC 27 spacer Diagnose niet nader omschreven

ICD10 D68.8 Overige gespecificeerde stollingsstoornissen
ICD10 D68.8 Other specified coagulation defects
SNOMED 64779008 Blood coagulation disorder
DBC 28 spacer Geen dermatologische diagnose

ICD10 D68.8 Overige gespecificeerde stollingsstoornissen: hypercoagulabiliteit
ICD10 D68.8 Other specified coagulation defects: hypercoagulability state
SNOMED 76612001 Hypercoagulability state
DBC 28 spacer Geen dermatologische diagnose

ICD10 D68.9 Stollingsstoornis, niet gespecificeerd
ICD10 D68.9 Coagulation defect, unspecified
SNOMED 64779008 Blood coagulation disorder
DBC 28 spacer Geen dermatologische diagnose