ZIEKTE VAN WEGENER / WEGENER'S GRANULOMATOSIS / GRANULOMATOSIS WITH POLYANGIITIS (GPA) home ICD10: M31.3

De ziekte van Wegener (granulomatosis with polyangiitis (GPA), Wegeners granulomatosis) is een systemische multi-orgaan vasculitis gekenmerkt door granulomateuze ontstekingen met name in de neus en de longen. Ook nieren, huid, ogen, gewrichten, centraal en perifeer zenuwstelsel en maag-darmkanaal kunnen zijn aangetast. Kan in elk van de genoemde organen beginnen, zonder dat andere organen meedoen. Voor het eerst beschreven in 1939 door de Duitse patholoog Friedrich Wegener (1907-1990). Oorzaak is onbekend. 70-80% van de patiënten heeft anticytoplasmatische antistoffen (c-ANCA, type anti-PR3). Prevalentie 3:100.000, meer bij Caucasisch ras. Gemiddelde leeftijd 40, 15% onder 19 jaar.

De ziekte van Wegener begint vaak met algemene symptomen zoals langdurige verkoudheid, koorts, gewichtsverlies, vermoeidheid, verspringende gewrichtsklachten en algehele malaise. De meeste patiënten hebben problemen met de longen (> 90%) en de bovenste luchtwegen, vooral de paranasale sinussen (>90%) met als klachten hardnekkige sinusitis, sinuspijn, purulente afscheiding, ulceratie neusmucosa met neusbloedingen, neusverstopping, en otitis media. Er worden 2 varianten onderscheiden, de klassieke of systemische vorm (75%) met aantasting van bovenste en onderste luchtwegen en nieren, en de limited vorm (25%) waarbij alleen de luchtwegen zijn aangedaan (vaak bij een jongere populatie).

De huidafwijkingen zijn divers: vesiculeuze, ulceratieve en hemorragische laesies, vasculitis (microscopische polyarteriitis), purpura, papulonecrotische laesies, urticaria, nodi, pyoderma gangrenosum-achtige lesies. Soms orale ulcera.

Ulcera bij ziekte van Wegener Ulcera bij ziekte van Wegener Ulcera bij ziekte van Wegener
Wegener vasculitis Wegener vasculitis Wegener vasculitis

Ulcera bij ziekte van Wegener Ulcera bij ziekte van Wegener Ingezakte neus (zadelneus) bij ziekte van Wegener
Wegener vasculitis Wegener vasculitis Wegener vasculitis

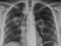
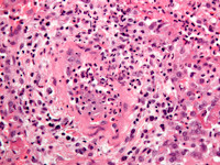
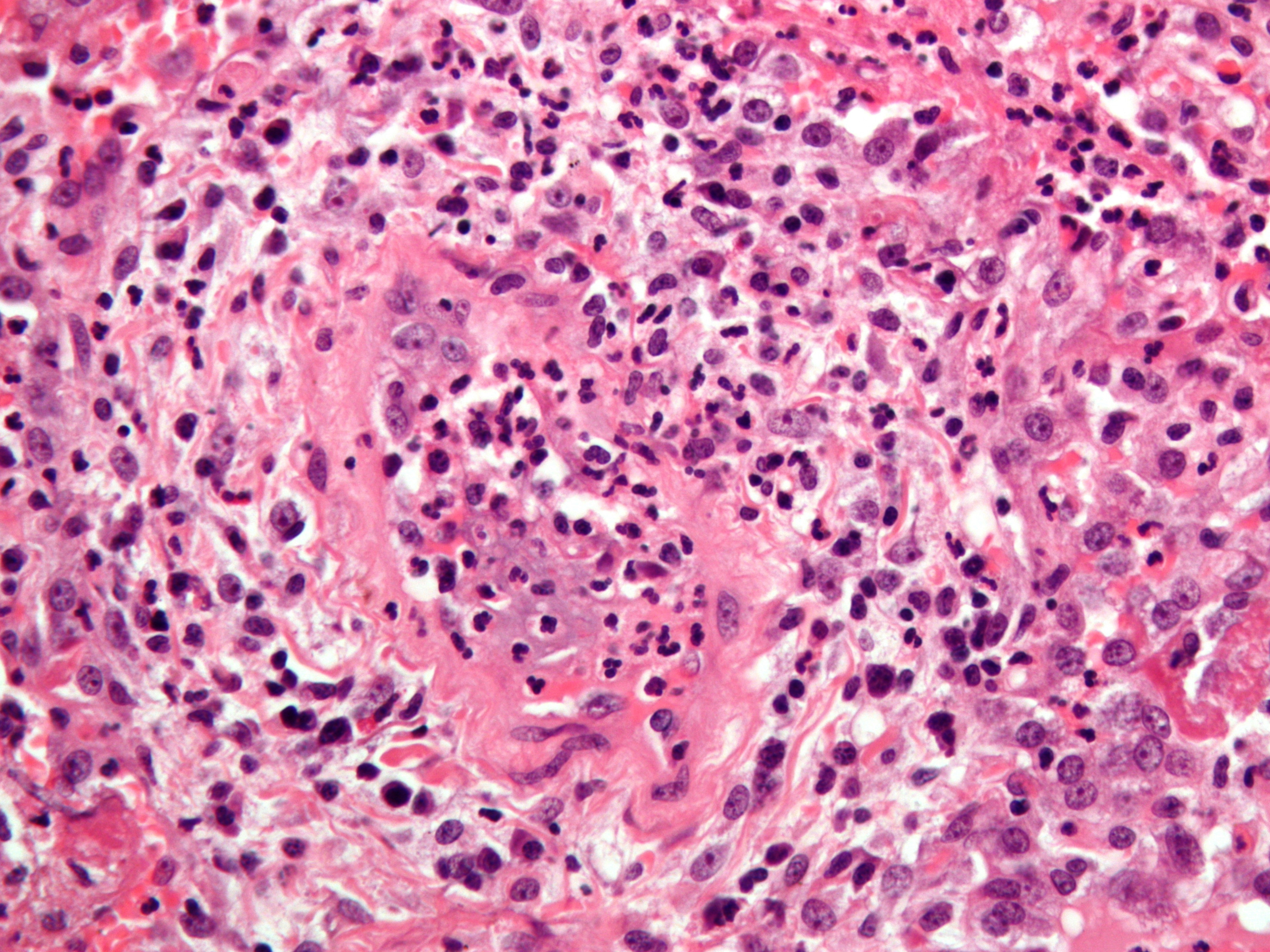
Ulcera bij ziekte van Wegener Longafwijkingen bij ziekte van Wegener PA ziekte van Wegener
Wegener vasculitis long infiltraat Wegener vasculitis

Foto neus: Simone Cristina Kawabataa - Wikimedia (Creative Commons License 3.0).
X-thorax: Tom Buur - Wikimedia (Creative Commons License 3.0).
PA-Foto: Michael Bonert (Nephron) - Wikimedia (Creative Commons License 3.0).



Aangedane organen Frequentie
bovenste luchtwegen en oren 90-100%
longen 70-90%
nieren 70-90%
gewrichten (myalgie, artralgie, artritis) 60-80%
huid (vesiculeuze, ulceratieve en hemorragische laesies en purpura) 40-50%
ogen (o.a. conjunctivitis, ulceratie cornea, retinale vasculitis, uveitis) 30-60%
hart (pericarditis, geleidingsstoornissen) zelden
zenuwstelsel (o.a. gehoorsverlies, hersenzenuwuitval) 20-40%
maag-darmkanaal (diarree, colorectale ulceratie) zelden


DD: Andere vormen van vasculitis (Churg-Strauss syndroom, PAN), Goodpasture's syndroom, SLE, tumor bovenste luchtwegen/longen, infectie (bv. mucocutane leishmaniasis), Stevens-Johnson syndroom, pyoderma gangrenosum, facial midline granuloom.

Labdiagnostiek: X-thorax (noduli, infiltraten, granulomen), urinesediment (microhematurie), biopt (granulomateuze infiltraten in of rond bloedvaten), ANCA's (m.n. anti-PR3 ANCA (c-ANCA) is zeer suggestief voor Wegener). De ANCA's bij Wegener zijn vooral van het c-ANCA type, gericht tegen een 29 kD-serine protease uit azurofiele granula van myeloïde cellen, ook wel proteïnase-3, PR-3 of 29kD eiwit genoemd).


ACR (American College of Rheumatologists) 1990 Criteria for the Classification of Wegener's Granulomatosis:
De diagnose Wegener wordt gesteld op 2 of meer van de volgende criteria (sensitiviteit 88.2%, specificiteit 92.0%):
1. Nasal or oral inflammation
Development of painful or painless oral ulcers or purulent or bloody nasal discharge
2. Abnormal chest radiograph
Chest radiograph showing the presence of nodules, fixed infiltrates, or cavities
3. Urinary sediment
Microhematuria (> 5 red blood cells per high power field) or red cell casts in urine sediment
4. Granulomatous inflammation on biopsy
Histologic changes showing granulomatous inflammation within the wall of an artery or in the perivascular or extravascular area (artery or arteriole)

Chapel Hill definitie (2012):
Necrotizing granulomatous inflammation usually involving the upper and lower respiratory tract, and necrotizing vasculitis affecting predominantly small to medium vessels (e.g., capillaries, venules, arterioles, arteries and veins). Necrotizing glomerulonephritis is common.

ACR/EULAR criteria (2017):
In 2017 zijn er nieuwe ACR/EULAR criteria opgesteld en wordt de diagnose GPA gesteld bij vasculitis van kleine en medium-size vaten en een score van 5 of meer uit een tabel met 5 klinische en 4 labcriteria waaraan punten worden toegekend.

ACR/EULAR 2017 criteria voor GPA (granulomatosis with polyangiitis):
Symptomen / labafwijkingen: pnt
1. bloederige uitvloed uit de neus, ulcera, korsten, of verstopte neus of bijholte 3
2. neuspoliepen -4
3. gehoorverlies of vermindering 1
4. kraakbeenbetrokkenheid (perforatie neusseptum of zadelneus) 2
5. rode of pijnlijke ogen 1
6. cANCA of PR3 positief 5
7. eosinofilie ≥ 1 x 109/L -3
8. nodi, massa of holten in de longen op röntgenfoto of CT of MRI 2
9. granulomateuze ontsteking in biopt 3


Behandeling:

Beperkte (limited) Wegener
Ook bij een limited Wegener is er sprake van een ernstige ziekte. Deze beperkt zich echter tot het KNO-gebied. De luchtwegen kunnen in beperkte mate zijn aangedaan. Als er geen bedreiging is voor het leven of het verlies van functies (zoals ogen of gehoor) kan meestal worden volstaan met een behandeling met prednisolon en methotrexaat. Indien de ziekte daardoor tot rust komt, kan na 3-6 maanden worden begonnen met de afbouw van de dosis methotrexaat. Dit geschiedt over een periode van 9-12 maanden. Bij een zeer lichte vorm van een beperkte Wegener wordt soms ook alleen behandeld met het antibioticum co-trimoxazol.

Systemische Wegener
Bij de systemische Wegener doen ook de longen, nieren of andere organen mee. Wanneer dit het geval is of als er blijvende schade in het KNO-gebied dreigt te ontstaan, dan wordt behandeld met een hoge dosis prednisolon en het sterk afweeronderdrukkende cyclofosfamide (Endoxan of Cycloblastine). Indien na 3-6 maanden de ziekteactiviteit is afgenomen, wordt overgegaan op een afweeronderdrukkend medicijn dat minder zwaar is dan cyclofosfamide. Er wordt dan vaak gekozen voor azathioprine (Imuran), maar in plaats daarvan wordt ook wel methotrexaat gegeven. Wanneer de ziekte onder controle is, kan de dosis worden afgebouwd. Alles bij elkaar zal de behandeling minstens één tot anderhalf jaar in beslag nemen.

Inductietherapie:
R/ Endoxan (cyclofosfamide) 2 mg/kg dd p.o. (cave infertiliteit) + prednisolon 1 mg/kg per dag + co-trimoxazol 1dd 480 mg (PCP profylaxe). Hiermee 75% remissie binnen 3 mnd, meestal binnen 6 maanden. Controles: Hb, leuko's, trombo's 1e maand: 2-3x per week, nierfunctie. Cyclofosfamide stoppen bij leukopenie (< 3*109/L), granulopenie (< 3*109/L) of trombopenie (<100*109/L).

Onderhoudstherapie (minimaal 2 jaar):
R/ azathioprine 2 mg/kg/dag per os. Na 1 jaar verlagen. Alternatief: methotrexaat 10-25 mg per week.

Systemische Wegener met ernstige nierproblemen
Wanneer de nieren zwaar zijn aangetast - waardoor vaak al dialyse nodig is - wordt in de beginfase naast de prednisolon en de cyclofosfamide vaak aanvullend een plasmaferese behandeling gegeven. Dit gebeurt dagelijks gedurende 7 tot 10 dagen. Met deze behandeling wordt de ANCA uit het bloed gehaald, waardoor de ziekteactiviteit snel daalt. Zo kan verdere aantasting van de nieren worden beperkt. Gebleken is dat na een dergelijke behandeling ruim 80% van deze patiënten uiteindelijk geen dialyse meer nodig heeft. Als alternatief voor plasmaferese wordt ook wel gedurende 3 dagen een stootbehandeling met methylprednison toegepast.

Nieuwe naam voor de ziekte van Wegener: Granulomatosis with polyangiitis (GPA)
Binnen de reumatologie wordt geprobeerd om de naam ziekte van Wegener niet meer te gebruiken vanwege zijn oorlogsverleden. Friedrich Wegener was actief lid van de Nazi partij en lid van de S.A. (Sturmabteilung) sinds 1932, nog voor Hitler aan de macht kwam. Hij werkte als militair patholoog (Sanitäts-Obersturmbannführer) in Lodz en deed autopsies o.a. op omgekomen inwonenden van een nabijgelegen groot Joods ghetto. In dit ghetto in Lodz, nabij het concentratiekamp Chelmo, overleefden slechts 10.000 van de 250.000 Joden. Friedrich Wegener werd na de oorlog verdacht van oorlogsmisdaden door de Poolse autoriteiten. Er is geen bewijs gevonden en hij is er niet voor veroordeeld.

Friedrich Wegener
Friedrich Wegener


Referenties
1. Leavitt RY et al. The American College of Rheumatology 1990 criteria for the classification of Wegener's granulomatosis. Arthritis Rheum 1990;33:1101-1107.
2. Woywodt A, Matteson EL. Wegener’s granulomatosis - probing the untold past of the man behind the eponym. Rheumatology 2006;45:1303-1306.
3. Vasculitis Stichting (https://www.vasculitis.nl)


Author(s):
Michiel Appelman. Dermatoloog, Sint Lucas / Andreas ZH.
dr. Jan R. Mekkes. Dermatologist, Amsterdam UMC.

31-05-2023 (JRM / MIA) - www.huidziekten.nl Terug naar homepagina



Diagnosis codes:
ICD10 M31.3 Granulomatose van Wegener
ICD10 M31.3 Wegener's granulomatosis
SNOMED 195353004 Wegener's granulomatosis
DBC 13 Inflammatoire dermatosen