TRANSIENT ACANTHOLYTIC DERMATOSIS (M. Grover) home ICD10: L11.1

Morbus Grover werd in 1970 voor het eerst beschreven door Ralph Grover, een Amerikaanse dermatoloog, onder de naam transient acantholytic dermatosis. Sinds 1977 wordt het Morbus Grover genoemd (syn: papulaire acantholytische dermatosis, transiente acantholytische dermatose).

M. Grover (transient acantholytic dermatosis) M. Grover (transient acantholytic dermatosis) M. Grover (transient acantholytic dermatosis)
M. Grover M. Grover M. Grover

M. Grover (transient acantholytic dermatosis) M. Grover (transient acantholytic dermatosis) M. Grover (transient acantholytic dermatosis)
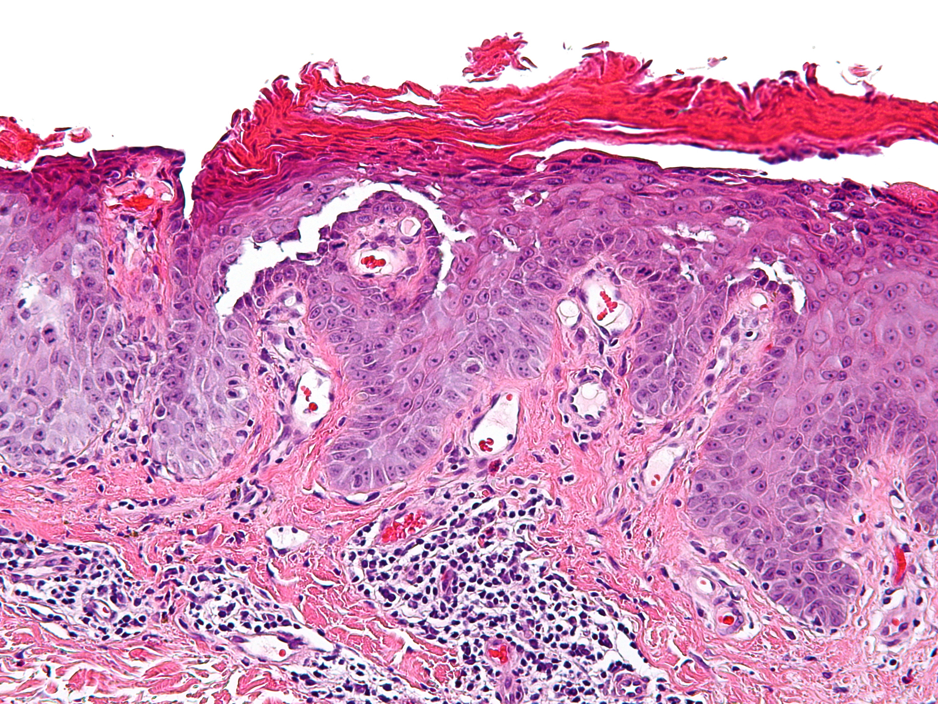
M. Grover M. Grover PA: acantholyse

PA-Foto: Michael Bonert (Nephron) - Wikimedia (Creative Commons License 3.0).


Klinisch beeld: papels, vesikels en kleine noduli, waarvan velen geëxcoriëerd zijn, vooral op de romp (m.n. de rug) en proximale extremiteiten. Komt vooral voor bij middelbare tot oudere blanke mannen (m:v ratio 3:1). Komt meer voor in de winter. Niet zeldzaam.

Er worden 3 varianten onderscheiden:
1) Transiënt eruptief: plotselinge jeuk, soms buiten proportie gezien het aantal laesies (maar soms zijn er talrijke laesies). De jeuk kan heel hevig zijn, de slaap verstorend en in het algemeen wordt het verergerd door warmte. In weken spontane verbetering, sneller met behandeling.
2) Persisterend jeukend: minder jeukend maar veel langduriger (maanden tot jaren) en minder reagerend op therapie.
3) Chronisch asymptomatisch: persisterende papels op de romp, typisch submammair, in mannen lijkend op folliculitis. Histologisch geen folliculitis, wel acantholyse.

Etiologie: de oorzaak is feitelijk onbekend. Mogelijk samenhang met hitte en transpireren. Geassocieerd met zonschade, xerosis, asteatosis, atopisch en allergisch contact eczeem, koortsende ziekte, immunodeficiëntie of maligniteit (waaronder leukemie en lymfoom), beenmergtransplantatie, tinea versicolor, scabies, demodecidosis, chronische nierziekte. Langdurige bedrust in het ziekenhuis is mogelijk een uitlokkende factor.

Histologie: acantholyse met vesikelvorming. Sommige onderscheiden 4 subgroepen:
1) acantholyse met spongiose
2) acantholyse met een Morbus Darier patroon (meest voorkomend)
3) acantholyse met pemphigus patroon
4) acantholyse met Morbus Hailey-Hailey patroon

De acantholyse is meestal suprabasaal (2 en 3) en door alle lagen van de epidermis (4) resulterend in de vorming van kleine epidermale spleten of, af en toe, blaren. Bij het Darier type toont de epidermis kenmerkende dyskeratose, terwijl deze bij de andere types gewoonlijk zeer mild of afwezig zijn. Andere epidermale veranderingen zijn hyperkeratose, acanthose en parakeratose (vooral bij type 2). De dermis bevat meestal een perivasculair infiltraat van lymfocyten en histiocyten, soms met eosinofielen. In geëxcoriëerde en/of oudere lesies zijn vaak plasmacellen aanwezig. Lesies worden soms gezien in associatie met een acrosyringium. IF is negatief. De histologische veranderingen zijn discreet en beperkt tot kleine omschreven foci, waardoor verschillende biopsiën en multipele doorsnijdingen noodzakelijk zijn om de karakteristieke kenmerken te vinden.

DD:
De DD is heel breed en omvat alle dermatosen gekenmerkt door jeuk en een papuleuze of papulo-vesiculeuze eruptie zoals toxicodermie, prurigo simplex, prurigo papels nno, prurigo subacuta, papular urticaria (o.a. urticaria cholinergica en urticaria pigmentosa), parasitaire infecties (prurigo parasitaria), scabies, insectensteken, eczeem, folliculitis (m.n. Pityrosporum folliculitis), lues II, pityriasis rosea, viraal exantheem, herpes simplex disseminata, dermatitis herpetiformis, lichen planus, PLEVA, miliaria cristallina en rubra. De PA DD is m. Darier (dyskeratosis follicularis), m. Hailey-Hailey, pemphigus, actinische keratose en pityriasis rubra pilaris.

Therapie:
Eventueel onderliggende ziektebeeld behandelen, vermijden van hitte en zweet-inducerende activiteiten en snelle temperatuurswisselingen, luchtige kleding, geen polyester, emolliëntia om de xerosis te verminderen. Niet verbranden in de zon.
R/ Unguentum leniens zonder rozenolie FNA.
R/ topicale corticosteroïden (crèmes en zalven) eventueel in een koelzalf.
R/ antihistaminica.
R/ calcipotriol / betamethason gel.
R/ Neotigason (acitretine) in een lage dosis (10-20 mg per dag). Kan worden toegevoegd aan behandeling met calcipotriol / betamethason gel.
R/ isotretinoïne 40 mg per dag gedurende 2 weken, daarna 10 mg per dag gedurende 3 maanden. Kan worden toegevoegd aan behandeling met calcipotriol / betamethason gel.
R/ prednisolon (25 mg als initiële dosis, in 2 weken tijd afbouwen) in de meer ernstige gevallen
R/ UVB TL01 smal spectrum lichttherapie.
R/ PUVA therapie (kan ook verergering van jeuk geven), UVA-1, UVB 311 nm (kan ook verergering van jeuk geven).
R/ antibiotica (minocycline, doxycycline, tetracycline, erytromycine).
R/ dapson 1 dd 100 mg.
R/ methotrexaat 7.5-22.5 mg per week in ernstige gevallen, plus foliumzuur.
R/ antimycotica (itraconazol). Dit is niet goed gedocumenteerd, mogelijk helpt het voor beelden die lijken op Grover zoals Pityrosporon folliculitis.

Een goede combinatie is: 's ochtends een emolliëns gebruiken en 's nachts een corticosteroïd, b.v. Elocon zalf (mometasonfuroaat 0.1%) of calcipotriol / betamethason gel, zonodig gecombineerd met acitretine 0.3 mg/kg gedurende 2 weken, afbouwend over 4 weken. Bij onvoldoende respons lichttherapie toevoegen, UVB 311 nm (70-100 mJ/cm²) 2 of 3x per week, totdat er voldoende respons is. In hardnekkige, ernstige gevallen dapson of methotrexaat proberen.


patientenfolder


Referenties
1. Scheinfeld N, Mones J. Seasonal variation of transient acantholytic dyskeratosis (Grover'sdisease). J Am Acad Dermatol 2006;55(2):263-268.
2. Breuckmann F, Appelhans C, et al. Medium-dose ultraviolet A1 phototherapy in transientacantholytic dermatosis (Grover's disease). J Am Acad Dermatol 2005;52(1):169-170.
3. Quirk CJ, Heenan PJ. Grover's disease: 34 years on. Australas J Dermatol 2004;45(2):83-86; quiz 87-88.
4. Rook's textbook of dermatology, 2004, Volume II; 34.72-73.
5. Bolognia JL et al. Dermatology. 2003, Vol.I; 583.
6. Helfman RJ. Grover's disease treated with isotretinoin. Report of four cases. J Am Acad Dermatol 1985;12(6):981-984.


Author(s):
dr. A.D.B. Caron-Schreinemachers. Dermatoloog, Hofpoort Ziekenhuis Woerden.
dr. Jan R. Mekkes. Dermatologist, Amsterdam UMC.

31-05-2023 (ACS / JRM) - www.skin-diseases.eu
Brief naar huisarts Terug naar homepagina



Diagnosis codes:
ICD10 L11.1 Voorbijgaande acantholytische dermatose [Grover]
ICD10 L11.1 Transient acantholytic dermatosis
SNOMED 17796002 Transient acantholytic dermatosis
DBC 13 Inflammatoire dermatosen