De
ziekte van Hailey-Hailey (
ATP2C1-nEDD,
pemphigus
benignus familiaris chronicus) werd voor het eerst in 1939 beschreven
door de broers Hugh Edward Hailey en William Howard Hailey. Het is zeldzaam
en wordt gekarakteriseerd door recidiverende vesikels en erosies in de lichaamsplooien.
Het openbaart zich meestal tussen het 20ste en 40ste jaar. Mannen en vrouwen
zijn gelijk aangedaan.
Etiologie:Autosomaal dominante
aandoening waarvan het genetisch defect in het ATP2C1 gen (chromosoom 3q21-24)
bevindt. Dit gen codeert voor het eiwit SPCA1 (Secretory Pathway Calcium/manganese-ATPase)
dat verantwoordelijk is voor de calciumhuishouding in de cel. Normaliter linken
keratinocyten zich met desmosomen aan elkaar vast. Door intracellulair calciumtekort
raakt op nog onverklaarde wijze de hechting tussen de keratinocyten verstoord,
hierdoor schuift de huid gemakkelijk af waardoor erosies en vesikels ontstaan.
Gendiagnostiek (ATP2C1) voor screening van familieleden is beschikbaar in Maastricht
(zie
aanvraagformulier genodermatosen).
Symptomen:
Het bevindt zich vooral in de lichaamsplooien zoals oksels, hals, submammair,
elleboogsplooien, liezen, perianaal en schaamstreek. Eerst ontstaan er vesikels
(
Nikolsky negatief), erythemateuze
en soms verruceuze plaques en pustels, daarna crustae en pijnlijke erosies en
fissuren. De laesies breiden naar de randen toe uit, met centrale genezing.
Daarnaast ook jeukklachten en branderigheid. Secundaire infectie (
Staphylococcus
aureus of
Candida,
Pseudomonas aeruginosa) kan onwelriekende
geuren veroorzaken maar ook de aandoening verergeren. Frictie door kleding,
zweten en warmte kunnen de klachten verergeren. Soms zijn er multipele asymptomatische
longitudinale witte strepen op de nagels aanwezig. Slijmvlies afwijkingen zijn
zeldzaam.
![Ziekte van Hailey-Hailey (pemphigus benignus familiaris chronicus) (click on photo to enlarge) [source: www.huidziekten.nl] Ziekte van Hailey-Hailey (pemphigus benignus familiaris chronicus)](../../../images/hh1z.jpg) |
![Ziekte van Hailey-Hailey (pemphigus benignus familiaris chronicus) (click on photo to enlarge) [source: www.huidziekten.nl] Ziekte van Hailey-Hailey (pemphigus benignus familiaris chronicus)](../../../images/hh2z.jpg) |
![Ziekte van Hailey-Hailey (pemphigus benignus familiaris chronicus) (click on photo to enlarge) [source: www.huidziekten.nl] Ziekte van Hailey-Hailey (pemphigus benignus familiaris chronicus)](../../../images/hh3z.jpg) |
| erosies
en fissuren |
erosies
en fissuren |
erosies
en fissuren |
![Ziekte van Hailey-Hailey (pemphigus benignus familiaris chronicus) (click on photo to enlarge) [source: www.huidziekten.nl] Ziekte van Hailey-Hailey (pemphigus benignus familiaris chronicus)](../../../images/hh4z.jpg) |
![Ziekte van Hailey-Hailey (pemphigus benignus familiaris chronicus) (click on photo to enlarge) [source: www.huidziekten.nl] Ziekte van Hailey-Hailey (pemphigus benignus familiaris chronicus)](../../../images/hh5z.jpg) |
![Ziekte van Hailey-Hailey (pemphigus benignus familiaris chronicus) (click on photo to enlarge) [source: www.huidziekten.nl] Ziekte van Hailey-Hailey (pemphigus benignus familiaris chronicus)](../../../images/hh6z.jpg) |
![Ziekte van Hailey-Hailey (pemphigus benignus familiaris chronicus) (click on photo to enlarge) [source: www.huidziekten.nl] Ziekte van Hailey-Hailey (pemphigus benignus familiaris chronicus)](../../../images/hh7z.jpg) |
| Hailey-Hailey |
Hailey-Hailey |
Hailey-Hailey |
Hailey-Hailey |
Complicaties:Verhoogde kans op contactallergie
op lokale therapeutica door de gemacereerde huid. Superinfectie met bacteriën
en/of schimmels. Superinfectie met Herpes simplex virus (pijnlijke exacerbaties),
lastig te differentiëren van een vesiculaire vorm van Hailey-Hailey. In zeldzame
gevallen kan plaveiselcel carcinoom ontstaan.
Diagnostiek:
De diagnose wordt gesteld op het klinisch en histologisch beeld. Histologisch
is het lastig van een dyskeratosis follicularis (m. Darier) of m. Grover te
onderscheiden, maar klinisch is dat eenvoudig (de distributie is geheel anders).
Verder is de directe immunofluorescentie negatief. Serologisch zijn er geen
circulerende auto-antilichamen tegen epidermis detecteerbaar. Kweken (bacterie,
virus, schimmel/gist) op indicatie op basis van het klinisch beeld. Plakproeven
bij verdenking contactallergie.
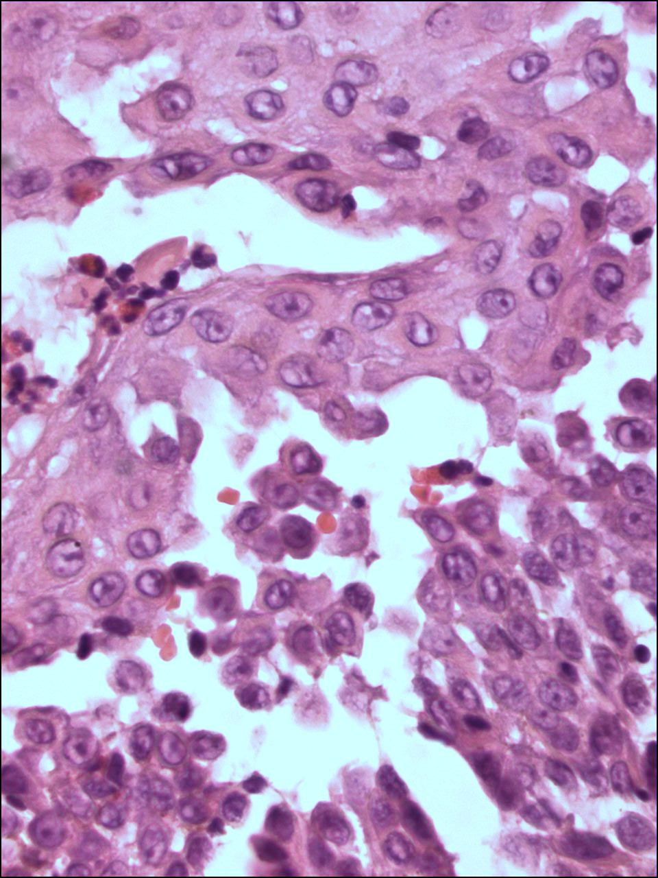
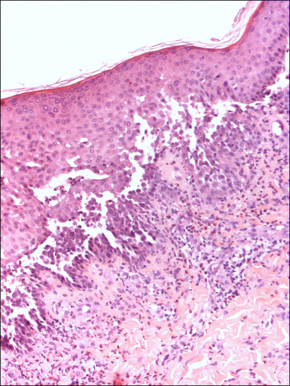
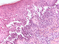
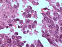
PA:Histologisch
is er sprake van een intra-epidermale splijting (
acantholyse) op suprabasaal
niveau. De keratinocyten liggen op sommige plaatsen volledig los van elkaar
hetgeen de indruk maakt van een bouwvallige ingestorte muur ('dilapidated brick
wall'). Het histologisch beeld is moeilijk te onderscheiden van gewone pemphigus,
maar wel met immunofluorescentie (negatief bij Hailey-Hailey). Bij beide
ziekten is de blaar het gevolg van acantholyse. Verschillen zijn
dat de acantholyse bij Hailey Hailey uitgebreider is en over de hele epidermisdikte voorkomt, en
dat de
dyskeratose minder is
dan bij pemphigus.
![Histologie Hailey-Hailey disease (click on photo to enlarge) [source: www.huidziekten.nl] Histologie Hailey-Hailey disease](../../../images/hhPA1z.jpg) |
![Histologie Hailey-Hailey disease (click on photo to enlarge) [source: www.huidziekten.nl] Histologie Hailey-Hailey disease](../../../images/hhPA2z.jpg) |
| PA pemphigus
benigna |
PA pemphigus
benigna |
Differentiële diagnose:Klinisch:
erythrasma,
candidiasis,
tinea cruris,
psoriasis inversa,
intertrigineus eczeem,
seborrhoisch eczeem,
extramammaire Paget's disease,
necrolytic migratory erythema.
Histologisch:
pemphigus (erythematosus,
foliaceus, vulgaris, IgA, vegetans, drug-induced),
dyskeratosis follicularis
(ziekte van Darier),
transiente acantholytische
dermatose (ziekte van Grover).
Therapie:
Eerste keuze:Advies: ruimzittende kledingstukken
om frictie te verminderen.
R/ lokaal corticosteroïd,

cave atrofie in de oksels en liezen door langdurig gebruik .
R/ lokale antimicrobiële
producten zoals chloorhexidine, fusidinezuur, tetracycline (topicaal 3% zalf
of crème FNA).

R/ systemische antibiotica (erytromycine, claritromycine, flucloxacilline, minocycline),
antimycotica (itraconazol, fluconazol) of (bij herpes infectie) antivirale middelen
(valaciclovir).
Een
combinatie
van topicale corticosteroïden en antimicrobiële middelen geeft een goede respons.

R/ hydrocortisonacetaat 1% in chloorhexidine digluconaat 1% crème FNA, chloorhexidine
digluconaat 1% in hydrocortisonzalf 1% FNA
R/ triamcinolonacetonide 0.1%
in chloorhexidine digluconaat 1% crème FNA, chloorhexidine digluconaat 1% in
triamcinolonzalf 0.1% FNA.
R/ Hydrocortisontetracyclinecrème FNA, hydrocortisontetracyclinezalf
FNA, triamcinolontetracycline crème FNA.
R/
hydrocortisonfusidinecrème
of zalf,
triamcinolonfusidinecrème
of zalf.
Tweede keuze:R/ Protopic (tacrolimus),
eventueel alternerend gebruik met topicaal corticosteroïd.
R/ Silkis (calcitriol).

Corticosteroid (systemisch) succesvol bij uitgebreide huidafwijkingen, echter
snel recidief bij het staken.
Derde keuze:

Chirurgische
methoden: dermabrasie of
totale
excisie van de aangedane huid gevolgd door huidtransplantatie.

Geadviseerd als laatste redmiddel, recidieven aan de randen van behandelde gebieden
zijn beschreven.

CO2 laser
(zelfde principe als dermabrasie, verwijderen van de bovenste huidlaag en hopen
dat een normale epidermis teruggroeit.

R/ botulinium toxin A (Botox, Disport). In de oksel ter vermindering van de
zweet productie (in die gevallen waarbij dit de zaak verergert).
R/ naltrexon
3 mg 1 dd 's avonds, na 2 weken te verhogen tot 5 mg. Hier zijn recent case-reports
over verschenen. Er bestaan geen tabletten van 3 mg, die zullen door de apotheker
moeten worden bereid uit een tablet van 50 mg.

R/ retinoiden (oraal), o.a. Neotigason (acitretine) 30 mg dd.

R/ dapson.

R/ methotrexaat (op basis van een case report waarbij een goede respons werd
behaald met 15 mg per week).

R/ ciclosporine, maximaal 5 mg/kg.
Prognose:De ziekte van Hailey-Hailey is een goedaardige
maar zeer hinderlijke chronisch verlopende huidaandoening, waarbij er een verergering
optreedt in de zomermaanden. De klachten worden minder bij het ouder worden.
Referenties
| 1. |
Dhitavat J, Fairclough RJ,
Hovnanian A, Burge SM. Calcium pumps and keratinocytes: lessons
from Darier's disease and Hailey-Hailey disease. Br J Dermatol 2004;150:821-828. |
| 2. |
Lebwohl. Treatment of skin disease. Second
edition 2006. |
| 3. |
Rook's Textbook of dermatology. Seventh edition
2004. Volume II:40.32-40.36 |
| 4. |
Albers LN, Arbiser JL, Feldman RJ. Treatment
of Hailey-Hailey Disease With Low-Dose Naltrexone. JAMA Dermatol
2017;153(10):1018-1020. |
Author(s):Francis K. Wu. Dermatoloog. Dermatologisch Centrum Amstel
& Vechtstreek, Maarssen, Breukelen, Vinkeveen.