ECZEEM home ICD10: L30.9

Eczeem, eczema (Engels: dermatitis) is de overkoepelende niet-specifieke naam voor allerlei rode en/of schilferende huidaandoeningen waarbij de huid ontstoken is. Veel voorkomende voorbeelden van eczeem zijn atopisch eczeem (constitutioneel eczeem), contacteczeem, en seborroisch eczeem. Zie voor de DD van eczeem ook onder de efflorescenties, onder eczeem, of de tabel onder aan deze pagina.

Atopisch eczeem van de knieholten contactallergisch eczeem Seborroïsch eczeem
atopisch eczeem contacteczeem (pleisters) seborroïsch eczeem


Een Nederlandstalige definitie van eczeem is: een ontstekingsreactie van epidermis en dermis, van wisselende intensiteit. Niet gekenmerkt door een enkel verschijnsel, maar door verschijnselen die naast en na elkaar kunnen voorkomen, zoals roodheid, zwelling, blaasjes, puistjes, erosies, rhagaden, crusta, schilfers, lichenificatie (vergroving huidreliëf). Vaak onregelmatig en onscherp begrensd, neiging tot perifere uitbreiding, verloop in aanvallen, wisselende jeuk.

PA:
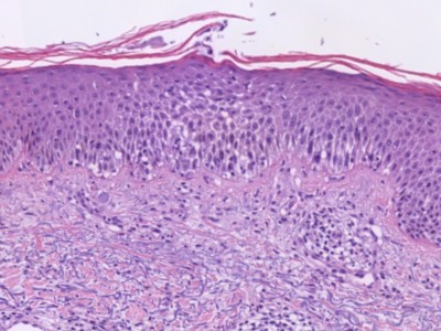
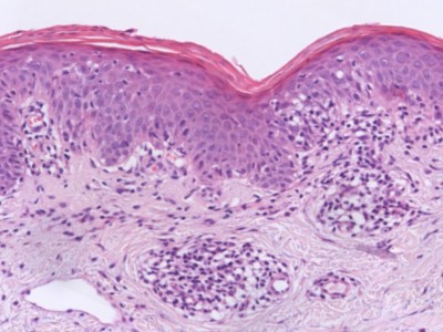
In de acute fase spongiose met lymfocyten, eosinofielen, en leukocyten, vaak lymfocyten in de epidermis (exocytose), en perivasculaire infiltraten. In de chronische fase acanthose, lichenificatie, en desquamatie, met hetzelfde ontstekingsinfiltraat in de dermis. Het proces begint in de cutis met vasodilatatie waardoor erytheem ontstaat; hierna ontstaat oedeem en lymfocytair infiltraat welke bijdragen aan de vorming van papels. Wanneer het oedeem op de voorgrond staat, zoals in het beginstadium van acuut eczeem wel wordt gezien, heeft de term dermatitis de voorkeur; het polymorfe beeld heeft zich dan nog niet ontwikkeld en roodheid en zwelling overheersen. Dit wordt het meest frequent gezien in regionen waar de epidermis dun en de cutis losmazig is, b.v. in periorbitale en genitale gebieden en bij een zeer sterke mate van overgevoeligheid. De lymfocyten dringen de epidermis in, hetgeen gepaard gaat met intercellulair oedeem (spongiose en blaasjesvorming). Ter plaatse van de blaasjes kan de gehele epidermis gedestrueerd worden en dus verdwijnen. Men ziet dan eczeemputjes. De spongiose geeft aanleiding tot gestoorde verhoorning, waarbij het stratum granulosum verdwijnt en de hoornlaag kernhoudend is. Deze parakeratotische squamae kunnen gemakkelijk verwijderd worden. Op den duur ontstaat door wrijven of krabben acanthose; door deze verdikking van de epidermis wordt de huidtekening grover dan normaal (lichenificatie). Deze histopathologische kenmerken zijn niet specifiek voor eczeem, ook bij mycosen, eczematide en pityriasis rosea komen zij voor.

Histologie eczeem Histologie eczeem Histologie eczeem
ingescande coupe (zoom) ingescande coupe (zoom) ingescande coupe (zoom)

Histologie eczeem Histologie eczeem Histologie eczeem
ingescande coupe (zoom) ingescande coupe (zoom) ingescande coupe (zoom)

Bron hoge resolutie PA-foto's: Kevin Kwee en Afdeling Pathologie MUMC. Klik op de afbeelding om in te zoomen.


Verschillende vormen van eczeem:
- atopisch eczeem
- nummulair eczeem
- contacteczeem
- orthoergisch eczeem
- seborroisch eczeem
- eczema tyloticum
- eczema manuum
- acrovesiculeus eczeem
- eczema craquelatum
- hypostatisch eczeem
- perifocaal eczeem
- eczema coccogenes
- ide reactie
- eczema vaccinatum
- eczema herpeticum
- eczeem nno
- eczeem oorlel
- tepel eczeem
- perianaal eczeem (eczema ani)
- kappers eczeem
- geïmpetiginiseerd eczeem
- intertrigineus eczeem
- luier eczeem
- dermatitis perioralis
- lip-licking dermatitis
- fotodermatitis
- fotoallergisch, fotoallergische dermatitis
- fototoxisch, fototoxische dermatitis
- fotosensitief eczeem
- chronische fotosensitieve (actinische) dermatitis
- fytofotodermatitis
- dermatitis solaris (zonnebrand)
- hyper IgE syndroom
- Wiskott Aldrich syndroom
- zwangersschap dermatitis


patientenfolder


Author(s):
dr. Jan R. Mekkes. Dermatologist, Amsterdam UMC.

31-05-2023 (JRM) - www.skin-diseases.eu Terug naar homepagina



Diagnosis codes:
ICD10 L30.9 Dermatitis, niet gespecificeerd
ICD10 L30.9 Dermatitis, unspecified
SNOMED 182782007 Dermatitis
DBC 8 Eczeem, overig