Pityriasis rosea is een acuut verlopende, spontaan
genezende (in 5-6 weken) erythemato-squameuze dermatose (soms erythemato-papulo-squameus,
soms vesiculeus, zelden urticarieel). Het komt vooral voor tussen 10e en 35e
jaar (piek 23e), bij vrouwen iets meer dan bij mannen (1.5:1). Vooral in voor-
en najaar. De oorzaak is niet bekend. Een virale genese is gesuggereerd (mycoplasma,
picornavirus, HHV6, HHV7) maar niet bewezen. In 80% voorafgegaan (enkele dagen
- 1 week) door een '
herald patch' of '
plaque
mère': een solitaire ovaal tot ronde 2-5 cm grote laesie, helderrood,
soms bruinrood, soms ingezonken bruinkleurig centrum, bedekt met schilfers,
op de romp, dij of bovenarm. Verder geen klachten, soms (20%) een virale infectie
een week tevoren. Vervolgens een jeukende eruptie die hieronder volgens
PROVOKE is uitgeschreven (ter illustratie van het
concept
PROVOKE om huidafwijkingen te beschrijven).
Slechts zelden algemene symptomen: koorts, lymfklierzwellingen, hoofdpijn.
![Pityriasis rosea (click on photo to enlarge) [source: www.huidziekten.nl] Pityriasis rosea](../../../images/pityriasis-rosea-1z.jpg) |
![Pityriasis rosea (click on photo to enlarge) [source: www.huidziekten.nl] Pityriasis rosea](../../../images/pityriasis-rosea-2z.jpg) |
![Pityriasis rosea (click on photo to enlarge) [source: www.huidziekten.nl] Pityriasis rosea](../../../images/pityriasis-rosea-3z.jpg) |
| herald
patch |
herald
patch |
pityriasis
rosea |
![Pityriasis rosea (click on photo to enlarge) [source: www.huidziekten.nl] Pityriasis rosea](../../../images/pityriasis-rosea-4z.jpg) |
![Pityriasis rosea (click on photo to enlarge) [source: www.huidziekten.nl] Pityriasis rosea](../../../images/pityriasis-rosea-5z.jpg) |
![Pityriasis rosea (click on photo to enlarge) [source: www.huidziekten.nl] Pityriasis rosea](../../../images/pityriasis-rosea-6z.jpg) |
| pityriasis
rosea |
pityriasis
rosea |
pityriasis
rosea |
PROVOKE: (zie ook onder
efflorescenties)
P
op romp en proximaal deel extremiteiten, soms beneden elleboog (50%), in gezicht
(15%), palmoplantair (zelden)
R symmetrisch gedistribueerde,
ovale laesies met lengte-as volgens de splijtlijnen vd huid (
dennenboom
configuratie)
O lenticulair tot nummulair (1-2 cm) groot
V ovaalvormige roze-rode plekjes met pityriasiforme schilfering.
De oudere vertonen centrale verbleking en een fijne schilferzoom binnen de rode
rand (medaillon)
O scherp begrensd
K
roze rood / bleek centrum
E erythematosquameuze plaques
(NB: zeer zelden vesiculeus, vesiculobulleus)
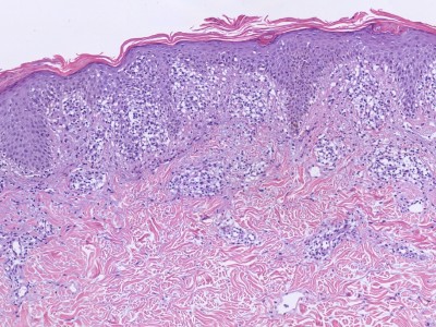
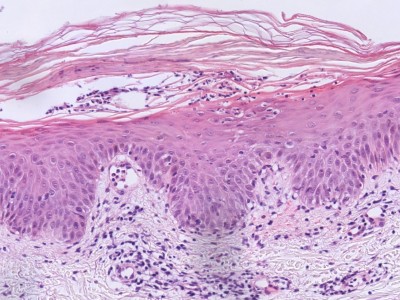
Diagnostiek:
De diagnose wordt gesteld op het klinisch beeld. Soms is een luesserologie nodig
voor de DD. Zonodig een biopt afnemen (als het klinisch toch niet duidelijk
herkenbaar is als pityriasis rosea).
![Histologie pityriasis rosea (click on photo to enlarge) [source: Kevin Kwee / Afdeling Pathologie MUMC] Histologie pityriasis rosea](../../../pacoupes/thumbnails/pityriasis-rosea-1.jpg) |
![Histologie pityriasis rosea (click on photo to enlarge) [source: Kevin Kwee / Afdeling Pathologie MUMC] Histologie pityriasis rosea](../../../pacoupes/thumbnails/pityriasis-rosea-2.jpg) |
|
ingescande coupe (zoom) |
ingescande coupe (zoom) |
Bron
hoge resolutie PA-foto's: Kevin Kwee en Afdeling Pathologie MUMC. Klik
op de afbeelding om in te zoomen.
DD: secundaire
syphilis,
toxicodermie
(o.a. t.g.v. goud),
viraal exantheem
nno, pityriasis rosea-achtige eczematide, pityriasis rosea-achtige
myciden (schimmels zoeken),
pityriasis versicolor,
eczema nummulare,
parapsoriasis (superficial scaly dermatitis),
pityriasis lichenoides chronica,
psoriasis guttatae,
primair HIV exantheem,
erythema annulare centrifugum,
erythema dyschromicum perstans,
erythema multiforme,
lichen planus,
tinea corporis.
Therapie:Geen, gaat vanzelf over, meestal in circa 6 weken,
bij sommigen duurt het langer (3-4 maanden). Eventueel emollientia of antipruriginosa.
R/ Cremor vaselini cetomacrogolis FNA
R/ Cremor lanette I FNA met 1% menthol
of 1% menthol in carbomeerwatergel FNA.
R/ cremor lanette I, acidum salicylicum
1-2% eventueel bij schilfering.
R/ antihistaminicum bij jeuk.
R/ hydrocortison
of triamcinolon crème, Locoid vetcrème.
R/ aciclovir in een hoge dosis (5
dd 800 mg) gedurende 1 week zou, mits in de eerste ziekteweek gegeven, de symptomen
verminderen.
Bij secundaire infectie kan men een antiseptische crème geven,
of:
R/ chloorhexidine 0.5% in ung of cremor TAC 0.1% FNA.
Referenties
| 1. |
Drago F, Vecchio F, Rebora A. Use of high-dose
acyclovir in pityriasis rosea. J Am Acad Dermatol 2006;54(1):82-85. |
| 2. |
Rassai S, Feily A, Sina N, Abtahian S. Low
dose of acyclovir may be an effective treatment against pityriasis
rosea: a random investigator-blind clinical trial on 64 patients.
J Eur Acad Dermatol Venereol 2011; 25(1):24-26. |
| 3. |
Ganguly S. A Randomized, Double-blind, Placebo-Controlled
Study of Efficacy of Oral Acyclovir in the Treatment of Pityriasis
Rosea. J Clin Diagn Res 2014;8(5):YC01-04. |
Author(s):dr. Jan R. Mekkes. Dermatologist, Amsterdam UMC.