Bij
scleromyxoedeem (
mucinosis papulosa,
scleromyxoedema Arndt-Gottron) ontstaan discrete ophopingen
van
mucine in de huid die over het gehele
lichaam kunnen voorkomen. Typisch voor de ziekte zijn kleine huidkleurige of
ivoorkleurige papels op voorhoofd, armen, heupen en romp. De papels zijn meestal
niet groter dan enkele millimeters, maar komen voor in groepjes en kunnen samenvloeien.
Ze kunnen jeukklachten geven, maar zijn meestal asymptomatisch. Naast de gegeneraliseerde
vorm van mucinosis papulosa, die scleromyxoedeem wordt genoemd, bestaat ook
een lokale cutane vorm, die
lichen
myxoedematosus wordt genoemd. De gegeneraliseerde vorm wordt vaak gezien
in samenhang met
paraproteïnemie, meestal
IgG. Dit komt voor bij MGUS,
m. Kahler,
m. Waldenström en andere myeloproliferatieve
aandoeningen. De huidlesies kunnen zeer uitgebreid zijn. Het verbeteren van
een eventueel aanwezige paraproteïnemie na starten van therapie is gunstig voor
het beloop van de aandoening. Niet bij alle patiënten is er sprake van paraproteïnemie.
Patiënten zonder paraproteïnemie kunnen soms spontaan regressie van huidlesies
vertonen. Het beloop is echter meestal chronisch. Bij sommige patiënten kan
lichen myxoedematosus zich ontwikkelen tot scleromyxoedema. De aandoening blijft
meestal beperkt tot de huid. Systemische verschijnselen zijn zeldzaam maar komen
wel voor. Hierbij aandacht voor proximale myopathie, neuropathie, polyarthritis,
aperistaltiek van de oesophagus en heesheid. Ook oogafwijkingen kunnen voorkomen.
Er kunnen sclerodermie-achtige veranderingen optreden inclusief sclerodactylie
en microstomie (vandaar de naam
scleromyxoedeem).
![Scleromyxoedeem (lichen myxoedematosus) (click on photo to enlarge) [source: www.huidziekten.nl] Scleromyxoedeem (lichen myxoedematosus)](../../../images/lichen-myxoedematosus-1z.jpg) |
![Scleromyxoedeem (lichen myxoedematosus) (click on photo to enlarge) [source: www.huidziekten.nl] Scleromyxoedeem (lichen myxoedematosus)](../../../images/lichen-myxoedematosus-2z.jpg) |
| mucinosis
papulosa |
mucinosis
papulosa |
![Sclerodermiforme veranderingen bij scleromyxoedeem van Arndt-Gottron (click on photo to enlarge) [source: www.huidziekten.nl] Sclerodermiforme veranderingen bij scleromyxoedeem van Arndt-Gottron](../../../images/scleromyxoedema-1z.jpg) |
![Sclerodermiforme veranderingen bij scleromyxoedeem van Arndt-Gottron (click on photo to enlarge) [source: www.huidziekten.nl] Sclerodermiforme veranderingen bij scleromyxoedeem van Arndt-Gottron](../../../images/scleromyxoedema-2z.jpg) |
| sclerodactylie |
microstomie |
DD: lichen
myxoedematosus,
amyloidosis,
colloid milia,
porphyria cutanea tarda,
granuloma annulare disseminata,
sarcoidose,
lepra,
eruptieve xanthomen,
lipoid proteinosis,
myxoedeem,
scleredema,
scleroderma, sclerodactylie,
morphea, nephrogenic systemic fibrosis,
dermatomyositis,
maligne lymfomen,
mastocytosis,
histiocytosis,
multicentrische reticulohistiocytosis.
| Varianten van mucinosis papulosa: |
Gegeneraliseerd: - scleromyxoedeem
Lokale vormen: -
lichen myxoedematosus
- acral persistent papular mucinosis - lichen myxoedematosus
papulosa - papular mucinosis of infancy
|
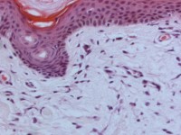
Diagnostiek: PA lesionale huid (formaline). Histopathologisch
vertonen de papillaire lesies een focale depositie van mucine in de dermis.
Er is ook een toename van het aantal fibroblasten en van het collageen. Plasmacel
infiltraten kunnen worden gezien en de collageenvezels zijn vaak verdikt. Kleuring
met Alcian-Blue (slijmkleuring) voor aantonen van mucine deposities. Laboratoriumonderzoek
is noodzakelijk om paraproteïnemie vast te stellen en te vervolgen. Test: eiwitspectrum,
M-proteïne bepaling. Bij paraproteïnemie
nader onderzoek naar de onderliggende oorzaak (consult interne / hematologie).
![Scleromyxoedeem (lichen myxoedematosus) (click on photo to enlarge) [source: www.huidziekten.nl] Scleromyxoedeem (lichen myxoedematosus)](../../../images/lichen-myxoedematosus-13z.jpg) |
| PA mucinosis
papulosa |
Therapie:Behandeling kan systemisch en topicaal.
De systemische behandeling is vooral gericht tegen de onderliggende paraproteïnemie:
R/ Neotigason (acitretine) 1 mg/kg.
R/ isotretinoïne 2 dd 40 mg gedurende
4 maanden.

R/ prednisolon (4 dd 60 mg gedurende 4-6 wkn, geleidelijk afbouwen).

R/ Neoral (ciclosporine) 3-5 mg/kg/dag.

R/ topicale of intralesionale corticosteroïden (alleen bij beperkt aantal laesies
mogelijk).

R/ thalidomide 1 dd 100 of 200 mg.
R/
intraveneuze
immunoglobulinen (2 g/kg per maand verdeeld over 2-5 dagen).
R/ Revlimid
(lenalidomide) 1 dd 25 mg (behandeling door de hematoloog).
R/ Alkeran (melfalan)
1 tot 10 mg/dag bij paraproteïnemie.

Hiermee kunnen de huidafwijkingen geheel verdwijnen. Echter langdurige behandeling
met Melfalan kan aanleiding geven tot hematologische maligniteiten en sepsis.
R/ Endoxan (cyclofosfamide).
R/ methotrexaat.
R/ plasmaferese.
Referenties
| 1. |
Textbook of Dermatology. Rook, Wilkinson,
Ebling. Chapter: Metabolic and Nutritional Disorders. |
| 2. |
Rebora A, Rongioletti F. Mucinoses. Dermatology.
Mosby 2003; Chapter 47: pagina 647-657. |
| 3. |
Yen A, Sanchez RL, Raimer SS. Papular mucinosis
associated with AIDS: response to isotretinoin. J Am Acad Dermatol
1997;37:127-128. |
| 4. |
Hisler BM, Savoy LB, Hashimoto K. Improvement
of scleromyxedema associated with isotretinoin therapy. J Am Acad
Dermatol 1991;24:854-857. |
Author(s):dr. Jan R. Mekkes. Dermatologist, Amsterdam UMC.
Remco van der Ham. Dermatoloog, Groene Hart Ziekenhuis, Gouda.