Paraneoplastische pemphigus is een zeldzame, ernstige
pemphigusvariant veroorzaakt door een onderliggende
neoplasie
(non Hodgkin lymfoom, chronische lymfatische leukemie, carcinomen en sarcomen,
Castleman disease (benigne B-cell proliferatie), Waldenstroms macroglobulinemie,
thymoma, e.a.) waarbij op nog onduidelijke wijze (tumorantigeniceit ?) antistoffen
worden gevormd tegen interepidermale adhesiemoleculen zoals desmogleïne 3 en
1, desmoplakine I en II, envoplakine, periplakine, plakoglobine, BPAg1 (230
kDa eiwit), 170 kDa eiwit, of plectine. Vaak uitgebreide mucosale afwijkingen
(lippen, mondkeelholte, conjunctiva, neusslijmvlies, genitalia, perianaal gebied;
vooral bij anti-desmogleïne 3). Soms zelfs reacties in blaas, urinewegen, nieren,
tractus digestivus, en longen (ernstige respiratoire insufficiëntie door beschadiging
bronchusepitheel). Daarnaast blaren en erosies op de romp (m.n. bovenste helft),
extremiteiten, soms palmoplantair, nagelriemen.
![Paraneoplastische pemphigus (click on photo to enlarge) [source: www.huidziekten.nl] Paraneoplastische pemphigus](../../../images/paraneoplastische-pemphigus-1z.jpg) |
![Paraneoplastische pemphigus (click on photo to enlarge) [source: www.huidziekten.nl] Paraneoplastische pemphigus](../../../images/paraneoplastische-pemphigus-2z.jpg) |
![Paraneoplastische pemphigus (click on photo to enlarge) [source: www.huidziekten.nl] Paraneoplastische pemphigus](../../../images/paraneoplastische-pemphigus-3z.jpg) |
| pemphigus
paraneoplastica |
pemphigus
paraneoplastica |
pemphigus
paraneoplastica |
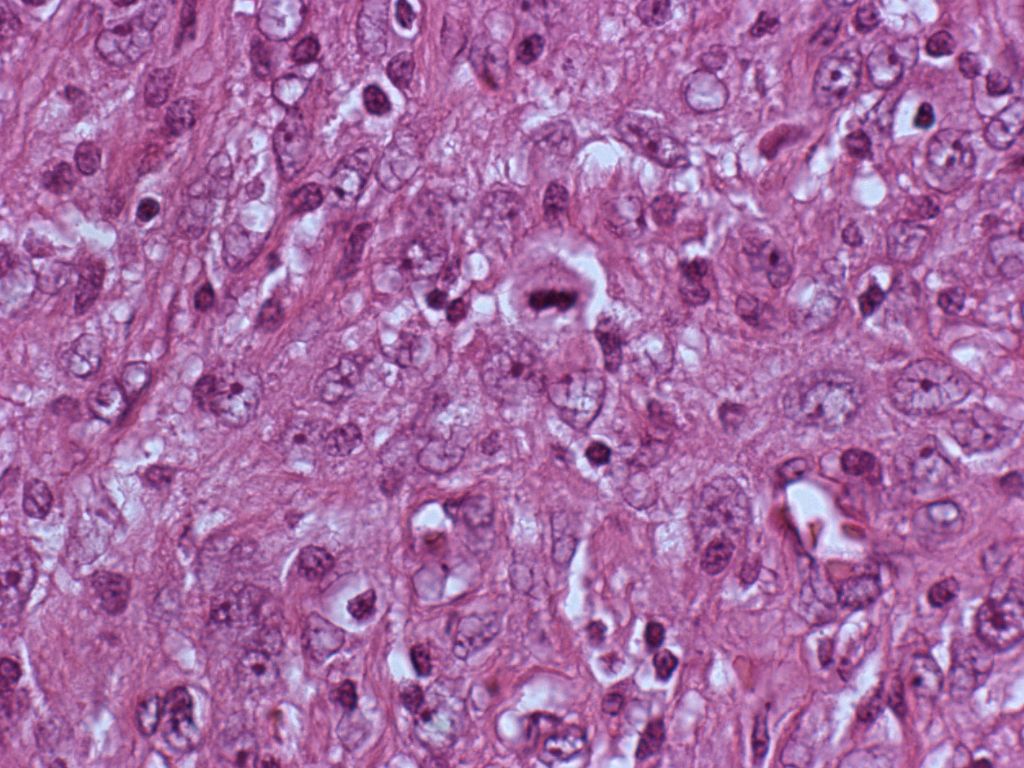
![Paraneoplastische pemphigus bij folliculair dendritisch cel sarcoom (click on photo to enlarge) [source: www.huidziekten.nl] Paraneoplastische pemphigus](../../../images/paraneoplastische-pemphigus-4z.jpg) |
![Paraneoplastische pemphigus bij folliculair dendritisch cel sarcoom (click on photo to enlarge) [source: www.huidziekten.nl] Paraneoplastische pemphigus](../../../images/paraneoplastische-pemphigus-5z.jpg) |
![Paraneoplastische pemphigus bij folliculair dendritisch cel sarcoom (click on photo to enlarge) [source: www.huidziekten.nl] Paraneoplastische pemphigus](../../../images/paraneoplastische-pemphigus-6z.jpg) |
| onderliggend
sarcoom |
PA sarcoom |
PA sarcoom |
DD: bulleuze
dermatosen,
pemphigus,
pemfigoid,
EEM,
TEN,
graft versus host disease,
erosieve lichen planus. Zie ook onder
paraneoplastische dermatosen.
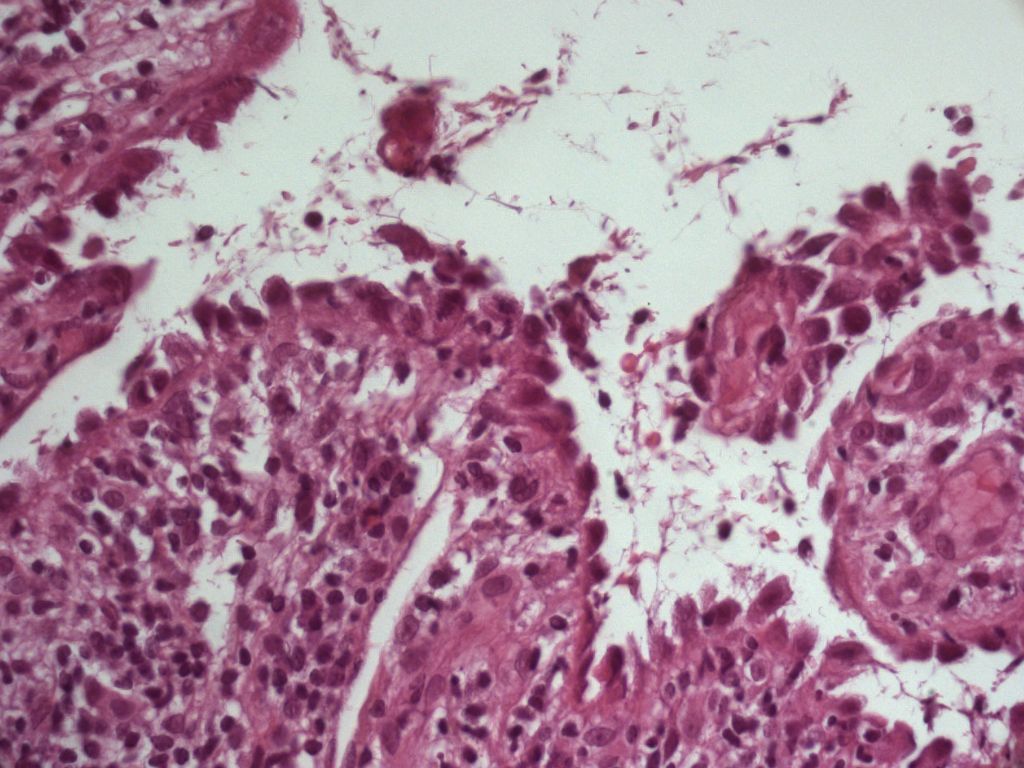
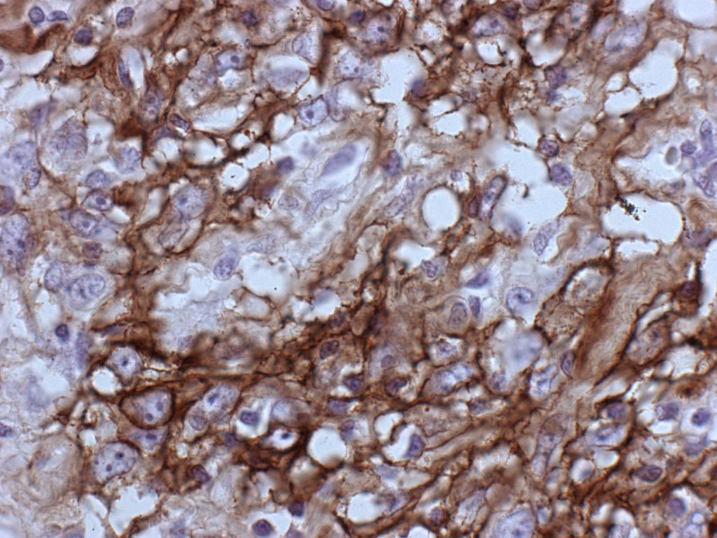
PA: intra-epidermale bulla, acantholyse onderste lagen
epidermis. DIF: IgG intercellulair in visnetpatroon zoals bij pemphigus, soms
echter tevens IgG en C3 rond basaalmembraanzone. IIF (serum): circulerende antistoffen
tegen esophagusepitheel maar ook tegen blaasepitheel, die met immunoprecipitatietechnieken
verder kunnen worden uitgesplitst (indien lokaal niet beschikbaar, neem contact
op met Dermatologie Groningen). Antistoffen correleren met ziekte activiteit.
Therapie:Onderliggende maligniteit opsporen en agressief
aanpakken indien mogelijk. Prognose is slecht (80-90% sterfte), tenzij radicaal
verwijderen van de tumor mogelijk is. Zelfs dan nog hoge mortaliteit door de
immunosuppressieve therapie.
R/ prednison, begindosis: 1-2 mg/kg/dag (± 60-200
mg dd) om symptomen zo snel mogelijk te onderdrukken. Starten met 80 mg per
dag. Geadviseerd wordt dit direct te combineren met Imuran (azathioprine) 1-2
mg/kg/dag (50-200 mg dd) of Cellcept (micofenolaat mofetil) 2 dd 1 g. Indien
geen verbetering dosis prednison verhogen in stappen van 80 mg (80-160-240-320-400)
per week, of in ernstige gevallen per 3-4 dagen. Bij stabiliteit/remissie afbouwen
met 10 mg/week tot 40 mg/dag, daarna langzamer gaan afbouwen. Bijvoorbeeld met
5 mg per week tot 25 mg dd.
Cave verhoogd risico op infecties, sepsis bij
doses hoger dan 2 mg/kg/dag. Poliklinische behandeling is veiliger (gezien resistente
ziekenhuispathogenen. Bijwerkingen steroïden: DM, maagulcus/bloeding/ perforatie
(profylactisch: pantozol), hypertensie, trombose, osteoporose (profylactisch:
calcium 1000 mg 1 dd 1) activering TBC, Herpes, etc. (zie onder
systemische steroïden).
R/ azathioprine 1-2 mg/kg/dag, in combinatie met prednison. Begin met
50 mg dd, dan langzaam ophogen tot maximaal 3 mg/kg/dag.
R/ micofenolaat
mofetil 2 dd 1 g, in combinatie met prednison.
R/ cyclofosfamide
50-200 mg per dag i.p.v. azathioprine (toxiciteit is hoger). Ook een high-dose
IV regime is beschreven (50 mg/kg/dag i.v. op 4 opeenvolgende dagen).
R/
methotrexaat 15-30 mg oraal of i.v.
R/ ciclosporine 3-5 mg/kg/dag
R/ chloorambucil
4-8 mg per dag
R/ plasmaferese. Kortdurend als adjuvans bij therapie-resistentie.
Op langere termijn geen oplossing. Via afdeling hematologie. Minimaal 6 tot
10 maal plasmaferese van 3 liter nodig.
R/ rituximab (anti-CD20) behandeling
(via hematologie), injecties, 1 x per week gedurende 4 weken.
R/ intraveneuze
immunoglobulinen 0.25-0.5 g/kg per dag gedurende 2-5 dagen, daarna 1 keer per
maand.
Referenties
| 1. |
Mutasim DF. Autoimmune bullous dermatoses
in the elderly. Diagnosis and management. Drugs Aging 2003;20:663-668. |
| 2. |
Braun-Falco O, Plewig G, Wolff HH, Burgdorf
WHC. Dermatology. Second Edition, Springer, Berlin Heidelberg 2000,pp.
674-675. |
| 3. |
Williams JV, Marks Jr JG, Billingsley EM.
Use of mycophenolate mofetil in the treatment op paraneoplastic
pemphigus. Br J Dermatol 2000;142:506-508. |
| 4. |
Virgolini L, Marzocchi V. Anti-CD20 monoclonal
antibody (rituximab) in the treatment of autoimmune diseases. Successful
result in refractory pemphigus vulgaris: report of a case. Haematologica
2003;88:ELT24. |
| 5. |
Meijs MM, Mekkes JR. Paraneoplastische pemphigus
en folliculair dendritisch cel sarcoom. NTDV 2004;14:189-90. |
Author(s):dr. Jan R. Mekkes. Dermatologist, Amsterdam UMC.