ACANTHOLYSE home ICD10: n.v.t.

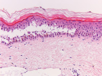
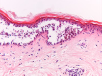
Acantholysis (acantholysis) is een histologische term voor het fenomeen dat keratinocyten hun onderlinge verbinding verliezen en los van elkaar komen te liggen. Er zijn verschillende huidziekten waarbij dat voorkomt. Het mechanisme dat de acantholyse veroorzaakt is niet bij alle acantholytische dermatosen hetzelfde. Bij de ziekte van Hailey-Hailey is het bijvoorbeeld een genetisch defect in het ATP2C1 gen (chromosoom 3q21-24) bevindt. Dit gen codeert voor het eiwit SPCA1 (Secretory Pathway Calcium/manganese-ATPase) dat verantwoordelijk is voor de calciumhuishouding in de cel. Normaliter linken keratinocyten zich met desmosomen aan elkaar vast. Door intracellulair calciumtekort raakt op nog onverklaarde wijze de hechting tussen de keratinocyten verstoord. Bij staphylococcal scalded skin syndroom wordt het veroorzaakt door een toxine van Staphylococcus aureus. Circa 5% van de S. aureus stammen kan exfoliatieve toxinen aanmaken (vooral groep II coagulase-positieve stafylokokken, faagtype 71, 3A, 3B, 3C, en 55). Onder deze toxinen zitten proteasen die het eiwit desmogleine-1 (DG-1) afbreken. DG-1 komt hoog in de epidermis voor en is een belangrijk onderdeel van de desmosomen die de keratinocyten aan elkaar binden.

Acantholyse Acantholyse
acantholyse acantholyse
 


Acantholytische dermatosen:
Genodermatosen:
- Darier’s disease
- Hailey-Hailey disease
- familial dyskeratotic comedones
- lethal acantholytic epidermolysis bullosa
- epidermolysis bullosa simplex Dowling-Meara type
- acantholytic epidermolysis bullosa (Weber-Cockayne)
- striate palmoplantar keratoderma
- Galli-Galli disease
- Mal de Meleda keratoderma

Blaarziekten:
- pemphigus vulgaris
- pemphigus vegetans
- pemphigus herpetiformis
- pemphigus foliaceus
- fogo selvagem
- pemphigus erythematosus
- IgA pemphigus

Infectieus:
- impetigo bullosa
- impetigo vulgaris
- staphylococcal scalded skin syndrome
- herpes simplex en herpes zoster

Overige:
- Grover’s disease
- pityriasis rubra pilaris
- acantholytic dermatosis of the genitocrural area
- relapsing linear acantholytic dermatosis
- warty dyskeratoma
- acantholytisch dyskeratotisch acanthoma
- acantholytic dyskeratotic epidermal nevus
- incidental focal acantholytic dyskeratosis
- plaveiselcelcarcinoom (soms)
- keratosis actinica (soms)
- Cantharidin and pederin dermatitis
- thermal acantholysis


Referenties
1. Ho J, Bhawan J. Mimickers of classic acantholytic diseases. J Dermatol 2017;44(3):232-242.


Author(s):
dr. Jan R. Mekkes. Dermatologist, Amsterdam UMC.

31-05-2023 (JRM) - www.skin-diseases.eu Terug naar homepagina