Een
acantholytische dyskeratotische epidermale naevus
(
acantholytic dyskeratotic epidermal nevus) is een
aangeboren (congenitale) naevus met klinische en histologische kenmerken van
de
ziekte van Darier (dyskeratosis follicularis).
Beide dermatosen worden gekenmerkt door
acantholyse
(gebrek aan adhesie tussen de suprabasale keratinocyten. Klinisch ziet men hyperkeratotische,
licht schilferende, wratachtige papels en plaques, meestal lineair verlopend
volgens de
lijnen van Blaschko.
De
ziekte van Darier is een
autosomaal dominante huidaandoening gekenmerkt door hyperkeratotische, licht
schilferende papeltjes, vooral in seborroische gebieden, zoals op het bovenste
gedeelte van de romp, soms op het behaarde hoofd. Daarnaast kunnen er palmoplantaire
pits en dystrofische nagels bij aanwezig zijn. Het verschijnt vaak pas vanaf
de puberteit, en kan worden verergerd door zonlicht. Het wordt veroorzaakt door
een mutatie in het gen voor ATP2A2. Er komt ook een zeldzame segmentale vorm
van Darier voor. Deze ontstaat op wat oudere leeftijd (gemiddeld 27 jaar), en
is vaak gelokaliseerd op de romp, unilateraal. Een segmentale Darier kan verlopen
volgens de
lijnen van Blaschko (type 1, lineaire
Darier), maar ook volgens een segment (type 2, segmentale, zosteriforme, of
unilaterale Darier).
![Segmentele Darier (click on photo to enlarge) [source: www.huidziekten.nl] Segmentele Darier](../../../images/Darier-segmenteel-3z.jpg) |
![Segmentele Darier (click on photo to enlarge) [source: www.huidziekten.nl] Segmentele Darier](../../../images/Darier-segmenteel-1z.jpg) |
| lineaire
Darier (Blaschko lijnen) |
segmentele
Darier |
Een acantholytische dyskeratotische epidermale naevus (ADEN) is vanaf
de geboorte (in aanleg) aanwezig en volgt de lijnen van Blaschko. Er is discussie
in de literatuur of ADEN niet hetzelfde is als een lineaire of segmentale Darier.
Sommige auteurs beschouwen ADEN als een aparte entiteit, een variant van een
epidermale naevus, en niet identiek aan Darier, omdat het vanaf de geboorte
aanwezig is, het meestal niet in de familie zit, en andere kenmerken van Darier
zoals de palmaire pits en de nagelafwijkingen ontbreken. Maar er zijn inmiddels
enkele case reports waarin ook in deze epidermale naevus een ATP2A2 mutatie
is gevonden. En er is een ADEN patiënt beschreven met palmaire pits en nagelafwijkingen.
Dit suggereert dat acantholytische dyskeratotische epidermale naevus en segmentele
Darier toch hetzelfde zijn. Dat het niet in de familie zit wordt verklaard doordat
er vaak spontane mutaties in het ATP2A2 gen ontstaan.
De Blaschko lijnen
zijn de denkbeeldige lijnen waarlangs embryonale cellen zich door deling hebben
verspreid. Dat betekent dat alle cellen die in zo’n lijn liggen oorspronkelijk
afkomstig zijn uit één cel van het vroege embryo. Als er in een vroege fase
van de embryonale ontwikkeling een mutatie is ontstaan in die cel, dan hebben
alle cellen in die lijn de mutatie, maar de overige lichaamscellen niet. Dit
wordt ook wel (post-zygotisch) mosaïcisme genoemd.
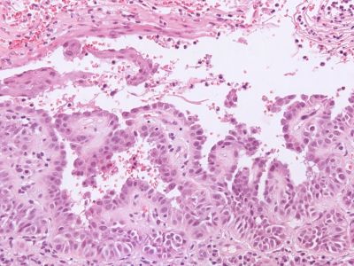
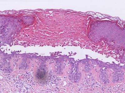
PA:
Acantholyse in de suprabasale laag, abnormale keratinisatie (dyskeratose) met
vorming van corps ronds en grains, hyperkeratose, en parakeratose.
![Histologie lineaire Darier (click on photo to enlarge) [source: Kevin Kwee / Afdeling Pathologie MUMC] Histologie lineaire Darier](../../../pacoupes/thumbnails/Darier-lineair.jpg) |
![Histologie acantholytische dyskeratose (click on photo to enlarge) [source: Kevin Kwee / Afdeling Pathologie MUMC] Histologie acantholytische dyskeratose](../../../pacoupes/thumbnails/acantholytische-dyskeratose.jpg) |
| ingescande coupe (zoom) |
ingescande coupe (zoom) |
Bron
hoge resolutie PA-foto's: Kevin Kwee en
Afdeling Pathologie MUMC. Klik op de afbeelding om in te zoomen.
Referenties
| 1. |
Lee CH, Hsiao CH, Chiu HC, Tsai TF. Acantholytic
dyskeratotic epidermal nevus. Indian J Dermatol Venereol Leprol
2011;77(2):253. |
| 2. |
Huh WK, Fujiwara K, Takahashi H, Kanitakis
J. Congenital acantholytic dyskeratotic epidermal naevus following
Blaschko’s lines versus segmental Darier’s disease. Eur J Dermatol
2007;17(2):130-132. |
| 3. |
Bergua P, Puig L, Fernández-Figueras MT,
Baselga E, Alomar A. Congenital acantholytic dyskeratotic dermatosis:
localized Darier disease or disseminated benign papular acantholytic
dermatosis? Pediatr Dermatol 2003;20(3):262-265. |
| 4. |
Mazereeuw-Hautier J, Thibaut I, Bonafé JL.
Acantholytic dyskeratotic epidermal nevus: a rare histopathologic
feature. J Cutan Pathol 2002;29(1):52-54. |
| 5. |
Sakuntabhai A, Dhitavat J, Burge S, Hovnanian
A. Mosaicism for ATP2A2 mutations causes segmental Darier's disease.
J Invest Dermatol 2000;115:1144-1147. |
| 6. |
Micali G, Nasca MR, De Pasquale R. Linear
acantholytic dyskeratotic epidermal nevus of the sole. Pediatr Dermatol
1999;16:166-168. |
| 7. |
O'Malley MP, Haake A, Goldsmith L, Berg D.
Localized Darier disease: Implications for genetic studies. Arch
Dermatol 1997;133:1134-1138. |
| 8. |
Munro CS, Cox NH. An acantholytic dyskeratotic
epidermal naevus with other features of Darier's disease on the
same side of the body. Br J Dermatol 1992;127:168-171. |
| 9. |
Demetree JW, Lang PG, St Clair JT. Unilateral,
linear, zosteriform epidermal nevus with acantholytic dyskeratosis.
Arch Dermatol 1979;115:875-877. |
Author(s):dr. Jan R. Mekkes. Dermatologist, Amsterdam UMC.