PEMPHIGUS FOLIACEUS home ICD10: L10.2

Pemphigus foliaceus is een zeldzame variant van pemphigus met acantholyse (splijting) in de bovenste lagen van de epidermis (stratum spinulosum of granulosum). Het is een mildere variant dan de gewone pemphigus, omdat het splijtingsniveau hoog is (oppervlakkige erosies, snel herstellend) en omdat er weinig of geen slijmvlies betrokkenheid bij voorkomt.

Klinisch beeld:
Oppervlakkige blaren, deels al weer genezend. Het Nikolsky I sign is positief: bij wrijven over ogenschijnlijk normale huid kan een erosie of blaar ontstaan. Pemphigus foliaceus kan op elke leeftijd voorkomen maar de meeste patiënten zijn boven de 50 jr. Het begint vaak op de romp. Het kan een seborroïsche distributie hebben (gelaat, hoofdhuid, bovenste deel van de romp) en het kan generaliseren tot een psoriatiforme erytrodermie. Bij kinderen komen ook annulaire varianten voor. De slijmvliezen zijn meestal niet aangedaan en het beloop is gunstig. Het kan wel jaren duren voordat het overgaat. Het kan worden uitgelokt door zonverbranding, patiënten moeten dat voorkomen.

Pemphigus foliaceus Pemphigus foliaceus Pemphigus foliaceus
pemphigus foliaceus pemphigus foliaceus pemphigus foliaceus

Pemphigus foliaceus Pemphigus foliaceus Pemphigus foliaceus
pemphigus foliaceus pemphigus foliaceus pemphigus foliaceus


Subvormen van pemphigus foliaceus:
Er worden verschillende subvormen van pemphigus foliaceus onderscheiden: pemphigus erythematosus, pemphigus herpetiformis, endemic pemphigus foliaceus (fogo selvagem), IgA pemphigus foliaceus, paraneoplastische pemphigus foliaceus, en drug-induced pemphigus foliaceus. Pemphigus erythematosus (Senear-Usher syndroom) is een zeldzame gelokaliseerde variant met kenmerken van zowel lupus erythematosus als pemphigus. Bij IgA pemphigus foliaceus zijn er jeukende vesikels in een annulair patroon, en IgA deposities (dd lineaire IgA dermatose). Pemphigus herpetiformis is een klinische variant met herpetiform gerangschikte papels en vesikels, lijkend op dermatitis herpetiformis. Endemische pemphigus foliaceus, ook wel fogo selvagem genoemd komt voor in bepaalde gebieden (rond rivieren) in Brazilië. Men denkt dat dit via insekten wordt overgebracht. Pemphigus foliaceus kan ook door geneesmiddelen worden veroorzaakt (drug-induced pemphigus foliaceous), en het komt voor als paraneoplastisch verschijnsel net als de gewone pemphigus.

Diagnostiek:
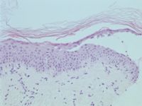
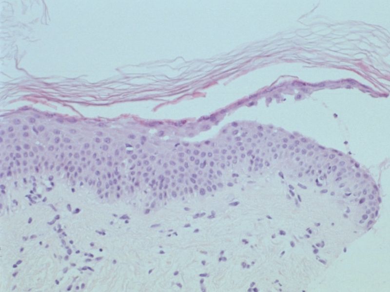
De diagnose wordt gesteld op klinisch beeld, histologie, en immunofluorescentie. Er is blaarvorming (acantholyse) hoog in de epidermis en daar is ook de immunofluorescentie het sterkst. De IgG antistoffen zijn gericht tegen desmogleïne 1, een 160 kd eiwit dat vooral voorkomt in het stratum granulosum. Bij paraneoplastische pemphigus zijn er ook antistoffen gericht tegen desmogleïne 3, en dat veroorzaakt diepere schade en slijmvliesbetrokkenheid.

Histologie pemphigus foliaceus
ingescande coupe (zoom)

Bron hoge resolutie PA-foto: Kevin Kwee en Afdeling Pathologie MUMC. Klik op de afbeelding om in te zoomen.


DD: pemphigus vulgaris, andere varianten van pemphigus, bulleus pemphigoid, bulleuze toxicodermie, pseudoporfyrie, impetigo bullosa, erysipelas bullosa, zieke van Sneddon Wilkinson, culicosis, lineaire IgA dermatose, epidermolysis bullosa, epidermolysis bullosa acquisita, bulleuze LE, erythema exsudativum multiforme, necrolytic migratory erythema. Zie ook onder bulleuze dermatosen.

Therapie (zie ook onder pemphigus vulgaris):
R/ lokale corticosteroïden klasse IV-III 1-2 dd.
R/ prednison 1 dd 0.5-1 mg/kg (plus osteoporose profylaxe).
R/ tetracyclinen eventueel in combinatie met nicotinamide.
R/ azathioprine 1 dd 50-150 mg toevoegen.
R/ mycofenolaat mofetil toevoegen.
R/ cyclofosfamide, ciclosporine, rituximab, plasmaferese, IvIg

R/ sunscreens, zorgen dat geen zonverbranding optreedt.


patientenfolder


Referenties
1. Abreu-Velez AM, Hashimoto T, Bollag WB, et al. A unique form of endemic pemphigus in northern Colombia. J Am Acad Dermatol 2003;49(4):599-608.
2. Chorzelski TP, Hashimoto T, Amagai M, et al. Paraneoplastic pemphigus with cutaneous and serological features of pemphigus foliaceus. Br J Dermatol 1999;141(2):357-359.
3. Martel P, Gilbert D, Labeille B, Kanitakis J, Joly P. A case of paraneoplastic pemphigus with antidesmoglein 1 antibodies as determined by immunoblotting. Br J Dermatol 2000;142(4):812-813.
4. Martin LK, Werth V, Villanueva E, Segall J, Murrell DF. Interventions for pemphigus vulgaris and pemphigus foliaceus. Cochrane Database Syst Rev. Jan 21 2009;CD006263.
5. Martin LK, Werth VP, Villaneuva EV, Murrell DF. A systematic review of randomized controlled trials for pemphigus vulgaris and pemphigus foliaceus. J Am Acad Dermatol 2011;64(5):903-908.
6. Dumas V, Roujeau JC, Wolkenstein P, Revuz J, Cosnes A. The treatment of mild pemphigus vulgaris and pemphigus foliaceus with a topical corticosteroid. Br J Dermatol 1999;140(6):1127-1129.
7. Katz KH, Marks JG Jr, Helm KF. Pemphigus foliaceus successfully treated with mycophenolate mofetil as a steroid-sparing agent. J Am Acad Dermatol 2000;42(3):514-515.
8. Chaffins ML, Collison D, Fivenson DP. Treatment of pemphigus and linear IgA dermatosis with nicotinamide and tetracycline: a review of 13 cases. J Am Acad Dermatol 1993;28(6):998-1000.
9. Marzano AV, Fanoni D, Venegoni L, Berti E, Caputo R. Treatment of refractory pemphigus with the anti-CD20 monoclonal antibody (rituximab). Dermatology 2007;214(4):310-318.


Author(s):
dr. Jan R. Mekkes. Dermatologist, Amsterdam UMC.

31-05-2023 (JRM) - www.skin-diseases.eu Terug naar homepagina



Diagnosis codes:
ICD10 L10.2 Pemphigus foliaceus
ICD10 L10.2 Pemphigus foliaceus
SNOMED 35154004 Pemphigus foliaceus
DBC 13 spacer Inflammatoire dermatosen

ICD10 L10.2 Pemphigus foliaceus: door geneesmiddel geïnduceerde pemphigus foliaceus
ICD10 L10.2 Pemphigus foliaceus: drug-induced pemphigus foliaceus
SNOMED 403631009 Drug-induced pemphigus foliaceus
DBC 13 spacer Inflammatoire dermatosen

ICD10 L10.3 Braziliaanse pemphigus [Fogo Selvagem]
ICD10 L10.3 Brazilian pemphigus [fogo selvagem]
SNOMED 46459009 Brazilian pemphigus foliaceus
DBC 13 spacer Inflammatoire dermatosen

ICD10 L10.1 Pemphigus erythematosus
ICD10 L10.1 Pemphigus erythematosus
SNOMED 36739006 Pemphigus erythematosus
DBC 13 spacer Inflammatoire dermatosen

ICD10 L10.8 Overige gespecificeerde vormen van pemphigus: immunoglobuline A pemphigus
ICD10 L10.8 Other pemphigus: immunoglobulin A pemphigus
SNOMED 402717008 Immunoglobulin A pemphigus
DBC 13 spacer Inflammatoire dermatosen

ICD10 L10.8 Overige gespecificeerde vormen van pemphigus: pemphigus herpetiformis
ICD10 L10.8 Other pemphigus: herpetiform pemphigus
SNOMED 771145006 Herpetiform pemphigus
DBC 13 spacer Inflammatoire dermatosen