STAPHYLOCOCCAL SCALDED SKIN SYNDROME (SSSS, dermatitis exfoliativa neonatorum) home ICD10: L00

Bij het staphylococcal scalded skin syndroom (SSSS, dermatitis exfoliativa neonatorum, ziekte van Ritter von Rittershain) ontstaat er in korte tijd uitgebreide oppervlakkige blaarvorming (ter hoogte van het stratum granulosum), lijkend op een heet water verbranding. Het wordt veroorzaakt door een toxine van Staphylococcus aureus. Circa 5% van de S. aureus stammen kan deze exfoliatieve toxinen aanmaken (vooral groep II coagulase-positieve stafylokokken, faagtype 71, 3A, 3B, 3C, en 55). Onder deze toxinen zitten proteasen die het eiwit desmogleine-1 (DG-1) afbreken. DG-1 komt hoog in de epidermis voor en is een belangrijk onderdeel van de desmosomen die de keratinocyten aan elkaar binden. SSSS komt vooral bij kinderen voor (onder de 5 jaar en pasgeborenen), mogelijk omdat die de toxinen nog niet goed via de nieren kunnen klaren. Het kan in zeldzame gevallen ook bij ouderen voorkomen, vooral bij nierinsufficiëntie en bij afweerstoornissen (maligniteiten, immuundeficiëntie, HIV-infectie). Impetigo bullosa wordt ook door stafylokokken toxinen veroorzaakt. Bij impetigo bullosa blijven de toxinen lokaal en kan de bacterie vaak uit de blaarinhoud gekweekt worden. Bij SSSS is de infectie vaak elders gelokaliseerd (keel, neus, oren, ogen, navel) en verspreiden de toxinen zich via de bloedbaan; kweken van erosies en blaren zijn negatief.

Staphylococcal scalded skin syndrome Staphylococcal scalded skin syndrome Staphylococcal scalded skin syndrome
SSSS SSSS SSSS

Staphylococcal scalded skin syndrome Staphylococcal scalded skin syndrome Staphylococcal scalded skin syndrome
SSSS SSSS SSSS

Staphylococcal scalded skin syndrome Staphylococcal scalded skin syndrome Staphylococcal scalded skin syndrome
SSSS SSSS SSSS

Staphylococcal scalded skin syndrome Staphylococcal scalded skin syndrome Staphylococcal scalded skin syndrome
SSSS SSSS SSSS


Klinisch beeld:
De ernst varieert van enkele lokale bullae en erosies tot totale desquamatie van de gehele huid. Het kan levensbedreigend zijn indien niet op tijd behandeld, omdat er soms sprake is van een stafylokokken sepsis. Bij kinderen is de prognose goed, bij ouderen slecht. Begint vaak als erytheem rond lichaamsopeningen of in plooien, of rond andere infectiehaarden (bij neonaten rond de navel). Later uitbreiding van het erytheem en epidermolysis. De huid is warm en pijnlijk bij aanraken. Rond de mond vaak crustae. Soms oedeem in het gelaat. Verder malaise, hangerigheid, huilen, koorts. Soms uitdroging en elektrolytstoornissen of hypoalbuminemie door de ontvelling, of superinfectie met ernstige sepsis.

DD:
Toxische epidermale necrolyse (TEN; SJS/TEN), impetigo neonatorum, impetigo bullosa, pemphigus (foliaceus), heetwaterverbranding, erysipelas / cellulitis, necrotiserende fasciitis, toxic shock syndroom, roodvonk, viraal exantheem, erythema exsudativum multiforme, toxicodermie, acuut bulleus eczeem (contacteczeem).

Diagnostiek:
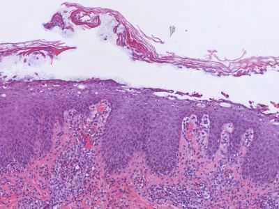
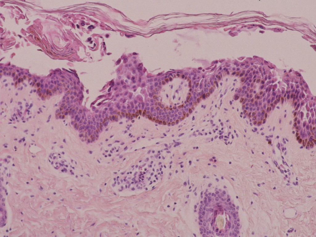
De diagnose kan meestal worden gesteld op het klinisch beeld (kind, ziek, koorts, oppervlakkige vervelling, scalded skin aspect, geen geneesmiddelen als verdachte oorzaak, impetigo laesies gehad met gelige crustae in het gelaat, rond de mond, of in de plooien, begin in de plooien). De belangrijkste DD is toxische epidermale necrolyse (TEN). Eventueel kan blaardak (los of opgerold) met spoed (vriescoupe) worden bekeken door de patholoog. De loskomende huid toont vrijwel alleen hoornlaag omdat het splijtingsniveau subcorneaal is, en geen necrotische keratinocyten. Bij TEN is het splijtingsniveau subepidermaal en zijn er wel necrotische keratinocyten. Een Tzanck preparaat van de blaarbodem laat acantholytische cellen zien. Een biopt is ook een optie maar de verwerking daarvan duurt te lang. Kweken van de blaarinhoud op S. aureus (vaak negatief), kweken van de orificiae (neus, keel, perineum), kweken van foci (navel, oren, ogen). Bij hoge koorts bloedkweek (vooral bij volwassenen positief). Lab: ontstekingsparameters, elektrolyten, nierfunctie. De exfoliatieve toxinen kunnen worden bepaald in gespecialiseerde laboratoria. Faagtypering is niet zinvol omdat vele subtypen S. aureus toxinen kunnen maken.

SSSS: TEN:
subcorneaal splijtingsniveau
Tzanck acantholyse
geen necrotische keratimocyten
Nikolsky fenomeen aangedane en gezonde huid positief
vooral bij kinderen
geen slijmvliesafwijkingen
goede prognose
geen verdachte geneesmiddelen
begin in plooien
subepidermaal splijtingsniveau
Tzanck geen acantholyse
necrotische keratinocyten
Nikolsky fenomeen alleen in aangedane huid positief
vooral bij ouderen
wel slijmvliesafwijkingen
slechte prognose
geneesmiddelen gebruik
gedissemineerd (toxicodermie distributie)


Histologie staphylococcal scalded skin syndrome
ingescande coupe (zoom)

Bron hoge resolutie PA-foto: Kevin Kwee en Afdeling Pathologie MUMC. Klik op de afbeelding om in te zoomen.


Therapie:
De behandeling bestaat uit snelle toediening van antibiotica. Vaak gaat het dan snel weer beter in de loop van 2-3 dagen. De blaarvorming kan langer aanhouden omdat de toxinen nog circuleren. In milde gevallen (niet ziek, beperkt erosief oppervlak, snelle epithelialisatie, geen gevaar voor uitdroging) kan poliklinisch en oraal worden behandeld. Zieke kinderen moeten worden opgenomen. Aanvullende maatregelen kunnen zijn: paracetamol als antipyreticum, vochttoediening, verpleging op niet verklevend metalline laken of met vette gazen, of Mepitel, pijnstilling, soms sedatie. In extreme gevallen overplaatsing naar kinder intensive care of brandwondencentrum.
R/ flucloxacilline i.v. Dosering volgens kinderformularium: kinderen < 12 jaar 100 mg/kg/dag in 3 - 4 doses, max 3000 mg/dag.
R/ amoxicilline / clavulaanzuur i.v. Dosering volgens kinderformularium: kinderen < 1 week en geboortegewicht < 2000 gr 50/5 mg/kg/dag in 2 doses; < 1 week en geboortegewicht ≥ 2000 gr 75/7,5 mg/kg/dag in 3 doses; 1 week tot 4 weken en geboortegewicht < 2000 gr 75/7,5 mg/kg/dag in 3 doses; 1 week tot 4 weken en geboortegewicht ≥ 2000 gr 100/10 mg/kg/dag in 4 doses; ≥ 4 weken en < 40 kg 100/10 mg/kg/dag in 3-4 doses; ≥ 40 kg 2000/200-4000/400 mg/dag in 2-3 doses. Max 6000/600 mg/dag.
R/ clindamycine i.v. In ernstige gevallen kan clindamycine i.v. worden toegevoegd aan flucloxacilline i.v. Naast het antibiotisch effect kan clindamycine de productie van toxinen remmen.
R/ erytromycine i.v.
R/ co-trimoxazol (sulfamethoxazol / trimethoprim).
R/ lokaal fusidine crème of zalf of Bactroban (mupirocine) zalf (geringe bijdrage omdat de bacteriën daar niet zitten, antibiotica zijn het belangrijkst).
Bij MRSA beleid in overleg met bacterioloog (vancomycine).
R/ bij milde gevallen oraal flucloxacilline 50 mg/kg/dag verdeeld over 3 doses.


patientenfolder


Author(s):
dr. Jan R. Mekkes. Dermatologist, Amsterdam UMC.

31-05-2023 (JRM) - www.skin-diseases.eu Terug naar homepagina



Diagnosis codes:
ICD10 L00 Staphylococcal scalded skin syndrome
ICD10 L00 Staphylococcal scalded skin syndrome
SNOMED 200946001 Staphylococcal scalded skin syndrome
DBC 4 Dermatosen door micro-organismen