KERATOSIS PALMOPLANTARIS, KERATODERMA PALMOPLANTARIS, PALMOPLANTAIRE HYPERKERATOSEN home ICD10: Q82.8

Palmoplantaire hyperkeratosen worden onderverdeeld in erfelijke (Q82.8) en verworven (L85.1, L85.9) varianten. Er bestaan vele erfelijke varianten, waar eigennamen aan verbonden zijn. Van steeds meer beelden is het gen bekend; soms wordt de indeling gewijzigd door nieuwe genetische kennis.

Palmoplantaire hyperkeratosen:
type erf. geïsoleerd voorkomend onderdeel van een syndroom
Diffuus AD Unna
Greither
Vörner
Sybert
Vohwinkel
Howel Evans
Huriez
Clouston
PPK + sensorineurale doofheid
Olmsted
AR Mal de Meleda
Gamborg Nielsen
Acral keratoderma
Nagashima
Papillon-Lefèvre
Bureau-Barrière-Thomas
Focaal
(nummulair,
lineair)
AD Wachters
PPK nummularis
Richner-Hanhart
Pachyonychia congenita
Focal palmoplantar and oral
mucosa hyperkeratosis syndrome
AR Pachyonychia congenita
Jakac-Wolf
Papuleus AD keratosis punctata
keratosis punctata of the palmar creases
Acrokeratoelastoidosis (Costa)
Focale acrale hyperkeratose
AR Schöpf-Schulz-Passarge


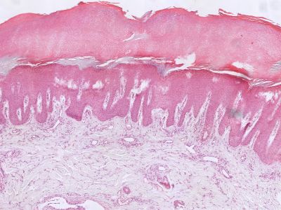
Histologie palmoplantaire hyperkeratose
ingescande coupe (zoom)

Bron hoge resolutie PA-foto: Kevin Kwee en Afdeling Pathologie MUMC. Klik op de afbeelding om in te zoomen.


Referenties
1. Dev T, Mahajan VK, Sethuraman G. Hereditary Palmoplantar Keratoderma: A Practical Approach to the Diagnosis. Indian Dermatol Online J 2019;10(4):365-379. PDF


Diffuse hereditaire palmoplantaire keratosen:


KERATODERMA PALMOPLANTARIS DIFFUSA CIRCUMSCRIPTA (Unna) OMIM 144200
Autosomaal dominant. Vanaf geboorte aanwezig, vanaf 2 jaar duidelijk. Diffuse palmoplantaire hyperkeratose, in het begin met paarse rand. Niet transgredient (niet uitbreidend naar dorsum). Vaak hyperhidrosis, mycose, hyperkeratotische nagels. PA: orthohyperkeratose, acanthose, hypergranulose, en geen epidermolyse i.t.t. Vörner. Volgens recente studies zijn Unna en Vörner 2 varianten van het zelfde gendefect in keratine 9.

Keratoderma palmoplantaris van Unna Keratoderma palmoplantaris van Unna
keratoderma palmoplantaris keratoderma palmoplantaris


Therapie: verweken (dagelijks bad met 3% zout), mechanisch verwijderen (puimsteen, eeltrasp), keratolytica: (salicylzuur, ureum, melkzuur, propyleenglycol).
R/ salicylzuur 5-10-30% in vaseline (niet bij jonge kinderen).
R/ Ureum 5 of 10% in een vette basis.
R/ overige zalven en crèmes met ureum (worden niet meer vergoed, diverse preparaten via apotheek of drogisterij).
R/ vitamine A zuur (tretinoïne) crèmes (tretinoïnecrème 0.05% FNA (Cremor tretinoini 0.05% FNA), tretinoïnecrème 0.1%).
R/ salicylzuur 2-6%, propyleenglycol 60%, aqua pur ad 100 ('s nachts onder plastic handschoenen).
R/ salicylzuur 6%, ethylalcohol 20%, hydroxypropylmethylcellulose 1-2%, propyleenglycol 40-60%, in aqua pur, (Keralyt Gel, US) eventueel onder occlusie.
R/ Neotigason.

KERATODERMA PALMOPLANTARIS TRANSGREDIENS ET PROGEDIENS (Greither) OMIM 144200
Autosomaal dominant. Diffuus, transgredient (uitbreiding naar dorsum), violette rand, hyperhidrosis. Tevens hyperkeratose op knieen, ellebogen, en over achillespees. Verergert op kinderleeftijd, stabiel in puberteit, daarna afnemend. Therapie: keratolytica, bij volwassenen eventueel Neotigason.

KERATODERMA PALMOPLANTARIS CUM DEGENERATIONE GRANULOSA (Vörner) OMIM 144200
Autosomaal dominant. Mutatie in het gen voor keratine 9, dat specifiek in de palmoplantaire epidermis voorkomt. Klinisch beeld als bij Unna, soms blaarvorming, minder vaak hyperhidrosis. Pa: epidermolytische hyperkeratose. Therapie als bij Unna, m.u.v. Neotigason (kans op blaarvorming en ontvellingen). Zie voor meer informatie onder epidermolytische palmoplantaire keratosis type Vorner.

KERATODERMA PALMOPLANTARIS SYBERT
Autosomaal dominant. Begint in eerste levensjaar. Ernstige mutilerende transgrediente hyperkeratose, misvormingen en spontane amputaties, uitbreiding naar liezen, bilspleet, ellebogen, knieen, onderarmen en scheenbenen.

MAL DE MELEDA OMIM 248300
Autosomaal recessief. Zeldzaam. Diffuse dikke hyperkeratose, paarse rand, transgredient. Soms afknelling van vingers door circulaire hyperkeratose. Uitbreiding naar knieen en ellebogen. Soms perioraal erytheem en hyperkeratose. Hyperhidrosis, maceratie, en superinfectie met schimmels en bacterien. Vaak hyperkeratotische nagels, koilonychia. PA: hyperkeratose, parakeratose, acanthose, ontstekingsinfiltraat. Therapie: bestrijding infecties, Neotigason.

KERATODERMA PALMOPLANTARIS GAMBORG NIELSEN OMIM 244850
Autosomaal recessief. Net als bij Mal de Meleda diffuse dikke hyperkeratose, paarse rand, transgredient, soms afknelling van vingers door circulaire hyperkeratose. Geen nagelafwijkingen, geen andere lokalisaties, m.u.v. knuckle pads.

KERATODERMA ACRALIS
Autosomaal recessief. Diffuse palmoplantaire niet-epidermolytische hyperkeratose, met hyperkeratotische plaques op handrug, voetrug, lineaire lesies over Achillespees, enkels, knieen, en ellebogen.

KERATODERMA PALMOPLANTARIS NAGASHIMA
Autosomaal recessief. Hyperkeratose met witte verkleuring en verweking van de huid na blootstelling aan water door overactivatie van proteasen in de keratinocyten leidend tot een toegenomen permeatie van water in het stratum corneum. Zie verder onder palmoplantaire keratodermie type Nagashima.

KERATODERMA PALMOPLANTARIS MUTILANS (Vohwinkel) OMIM 124500
Autosomaal dominant syndroom. Honinggele hyperkeratose, paarsachtige rand, hyperhidrose. Soms gepaard gaand met hyperkeratosen elders (elleboog, knie, handrug, voetrug), alopecia, doofheid, paraplegie, ichthyosis, nagelafwijkingen. Soms constrictie van vingers door circulaire hyperkeratose (pseudo-Ainhum). Therapie: Neotigason. Zie verder onder Vohwinkel syndroom.

KERATODERMA PALMOPLANTARIS MET OESOFAGUSCARCINOOM (Howel Evans) OMIM 148500
Autosomaal dominant syndroom. Families met diffuse non-epidermolytische palmoplantaire hyperkeratose, beginnend tussen 5 en 15 jaar, en een verhoogde kans op (5-37.5%) op oesofaguscarcinoom, rond 43e jaar.

KERATODERMA PALMOPLANTARIS MET SCLERO-ATROFIE (Huriez syndroom) OMIM 181600
Autosomaal dominant syndroom. Vanaf geboorte discrete lamellaire hyperkeratose en atrofie, vooral palmair, sclerodactylie (pulp loss), en nagelafwijkingen (aplasie, groeven, trommelstoknagels). De epidermis bevat geen Langerhanscellen en er is een verhoogde kans op plaveiselcelcarcinomen aan de handen.

HIDROTIC ECTODERMAL DYSPLASIA (Clouston's syndroom)
Autosomaal dominant syndroom. Palmoplantaire hyperkeratose plus nageldystrofie, diffuse alopecia, en soms andere symptomen (doofheid, polydactylie, syndactylie, retardatie, dwerggroei, fotofobie, strabismus).

KERATODERMA PALMOPLANTARIS MET SENSORINEURALE DOOFHEID
Autosomaal dominant. Langzaam progressieve doofheid op kinderleeftijd, later gevolgd door diffuse palmoplantaire hyperkeratose.

KERATODERMA PALMOPLANTARIS MUTILANS MET PERIORIFICALE KERATOTISCHE PLAQUES (Olmstedt)
Autosomaal dominant. Scherp begrensde diffuse palmoplantaire hyperkeratose, met bewegingsbeperkingen, constricites, en spontane amputaties van vingers, onychodystrophy, en peri-orificiale (perioraal, peri-anaal, perineum) keratotische plaques. Soms tandafwijkingen, hypermobiliteit gewrichten, alopecia, en cornea dysplasie.

KERATODERMA PALMOPLANTARIS MET PERIDONTITIS (Papillon-Lefèvre) OMIM 245000
Autosomaal recessief. Diffuse transgrediente palmoplantaire hyperkeratose. Kan lijken op psoriasis (erythematosquameuze plaques, ook op ellebogen en knieen, en over de IP gewrichten). Begint op jonge leeftijd, bij eerste tanddoorbraak. Zowel melktanden als definitief gebit kunnen door peridontitis verloren gaan. Tevens hyperhidrosis, zweetvoeten, grote kans op superinfecties. Therapie: Neotigason, goede tandheelkundige begeleiding. Zie verder onder Papillon-Lefèvre syndroom.

KERATODERMA PALMOPLANTARIS MET SKELETAFWIJKINGEN EN TROMMELSTOKVINGERS (Bureau-Barrière-Thomas)
Autosomaal recessief. Diffuse niet-transgrediente palmoplantaire hyperkeratose, botafwijkingen (hypertrofie, misvorming distale phalanx), hyperhidrosis.

KERATODERMA PALMOPLANTARIS MET WOOLLY HAIR
Woolly hair (kroeshaar) op de gehele hoofdhuid in combinatie met palmoplantaire hyperkeratose, en bij sommige varianten ook cardiomyopathie. Zie verder onder woolly hair.


Focale (nummulaire en lineaire) hereditaire palmoplantaire keratosen:


KERATODERMA PALMOPLANTARIS AREATA ET STRIATA (Wachters) OMIM 148700
Autosomaal dominant. Focale hyperkeratose vooral op drukpunten, begint aan voetzolen, vanaf 1-2 jaar, later handpalmen. Variabel beeld, nummulair, lineair (op buigzijde vingers), periunguaal, fissuren. PA: niet-epidermolytische hyperkeratose, hypergranulose, acanthose, papillomatose. Therapie: keratolytica (zie onder Unna), reageert matig op Neotigason.

KERATODERMA PALMOPLANTARIS NUMMULARIS OMIM 114140
Autosomaal dominant. Focale hyperkeratose beperkt tot drukpunten, pijnlijk, vanaf leeftijd waarop kind loopt. PA: epidermolytische hyperkeratose.

TYROSINEMIA TYPE II (Richner-Hanhart) OMIM 276600
Autosomaal dominant syndroom. Pijnlijke focale palmoplantaire hyperkeratose, op herpes lijkende cornea ulceraties (al vanaf enkele maanden oud), en mentale retardatie. Vaak hyperhidrosis. Berust op tyrosine aminotransferase deficiëntie, verhoogd tyrosine en tyrosine metabolieten. Phenylalanine en tyrosine beperkt dieet is effectief bij vroege herkenning.

PACHYONYCHIA CONGENITA (Jadassohn-lewandowski en Jackson-Lawler) OMIM 167200 en 167210
Autosomaal dominant syndroom. Type I (Jadassohn-Lewandowski): hyperkeratotische nagels, focale palmoplantiare hyperkeratose, keratosis follicularis, en orale leukokeratose. Type II (Jackson-Lawler): idem plus bullae, hyperhidrosis, tandafwijkingen en steatocystoma multiplex. Type III: als II plus cheilitis angularis, cornea dyskeratose, en cataract. Type IV: als III plus lesies in de larynx, heesheid, mentale retardatie, alopecia. Zie verder onder pachonychia congenita.

FOCALE PALMOPLANTAIRE EN ORAL MUCOSA HYPERKERATOSE OMIM 148730
Autosomaal dominant syndroom. Hyperkeratose orale mucosa en palmoplantair, soms periunguaal.

KERATOSIS PALMOPLANTARIS PAPILLOMATOSA ET VERRUCOSA
Autosomaal dominant syndroom. Dikke hyperkeratose, beperkt tot handpalmen en voetzolen, tenen en vingers atrofisch en in flexiecontractuur. Ernstige hyperhidrosis, veel infecties, periostitis, osteomyelitis. Soms gingivitis en peridontitis.


Papuleuze hereditaire palmoplantaire keratosen:


KERATODERMA PALMOPLANTARIS PUNCTATA / PAPULOSA (Davies-Colley, Buschke, Fischer, Brauer) OMIM 148600 home ICD10: Q82.8

Autosomaal dominant. Multipele kleine keratotische papels op handpalmen en voetzoelen. Begint vanaf 12 jaar, meestal tussen 20 en 40 jaar. Soms beperkt tot handlijnen. Zelden geassocieerde symptomen (spastische paralyse, m. Bechterew en talgklierhyperplasie). Er bestaat ook een vorm van keratoderma palmoplantaris punctata waarbij histologisch een cornoid lamella gezien wordt en waarbij lange dunne hoornuitsteeksels kunnen ontstaan. Dit wordt punctate porokeratotic keratoderma, spiny keratoderma of palmar filiform parakeratotic hyperkeratosis genoemd.

Keratoderma palmoplantaris punctata Keratoderma palmoplantaris punctata
keratoderma punctata keratoderma punctata

Keratoderma palmoplantaris punctata Keratoderma palmoplantaris punctata
keratoderma punctata keratoderma punctata



KERATOSIS PUNCTATA OF THE PALMAR CREASES / FOCALE ACRALE HYPERKERATOSE home ICD10: L85.2

Hyperkeratose beperkt tot de plooien in de handpalm en de vingerkootjes (keratosis punctata of the palmar creases). Deze hyperkeratosen kunnen diep doordringen in de dermis en pijnklachten veroorzaken. Het is niet duidelijk waarom het beperkt is tot de plooien. Waarschijnlijk omdat in een plooi makkelijk een invaginatie kan ontstaan. Ook kunnen er kleine gele ronde of rond-ovale keratotische papeltjes op de handpalmen en voetzolen aanwezig zijn die moeilijk zijn te onderscheiden van een gewone likdoorn. Soms ook ovale tot polygonale papeltjes met een krater er in langs de voetrand (Wallace's line). Keratosis punctata of the palmar creases komt voornamelijk voor bij personen met een donkere huid, maar ook in India komt het voor. Het wordt beschouwd als een verworven vorm van palmoplantaire hyperkeratose. Het komt vaker voor dan men denkt, percentages van 1-3% in bepaalde populaties worden gemeld. Het komt vooral voor bij mannen, en begint rond het 20e levensjaar.

Focale acrale keratose, keratosis punctata of the palmar creases Focale acrale keratose, keratosis punctata of the palmar creases Focale acrale keratose, keratosis punctata of the palmar creases
focale acrale keratose focale acrale keratose focale acrale keratose

Focale acrale keratose, keratosis punctata of the palmar creases Focale acrale keratose, keratosis punctata of the palmar creases
focale acrale keratose focale acrale keratose

PA:
Forse verbreding van het stratum corneum, met diepe invaginaties in de dermis bestaande uit concentrische lagen keratine (keratine pluggen). Soms een afwezig stratum granulosum en focale verticale parakeratose. In de dermis een mild infiltraat, verder geen bijzonderheden.

Therapie:
R/ Keratolytica, mechanisch (puimsteen).
mes Excisie (alleen bij pijnklachten).
Ronde hyperkeratosen in de voetzool kunnen met een biopteur worden verwijderd of uitgepeld zoals een likdoorn (neigt tot recidieven).


Referenties
1. Jaiswal AK, Nidhi H, Bhushan B, Badrinath S. Is keratosis punctata of the palmar creases rare?. Indian J Dermatol Venereol Leprol 1996;62:13-15.
2. Weiss RM, Rasmussen JE. Keratosis punctata of the palmar creases. Arch Dermatol 1980;116:669-671.
3. Pasricha JS, Gupta R. A survey for keratosis punctata of the palmar creases among Indians. Ind J Dermatol Venereol Leprol 1983;49:191-194.
4. Pierard FC, et al. Keratosis punctata of the palmar creases. Ann Soc Belg Med Trop 1989;69:257-261.



ACROKERATOELASTOIDOSIS (Costa) OMIM 101850 home ICD10: Q82.8

Acrokeratoelastoidosis (Costa syndroom, focal acrohyperkeratosis, punctate palmoplantar hyperkeratosis type 3, OMIM 101850 is een zeldzame autosomaal dominante vorm van palmoplantaire hyperkeratose waarbij kleine vast aanvoelende papeltjes ontstaan aan handpalmen en voetzolen, met name aan de zijkanten van de handen en de voeten. Het is voor het eerst beschreven door Costa in 1953. De eerste symptomen, huidkleurige of gelige hyperkeratotische papeltjes, verschijnen vanaf de puberteit. Ze kunnen verward worden met verrucae plantares of likdoorns.

Acrokeratoelastoidosis
PPKP3

DD: keratosis punctata van de palmar creases, andere punctata palmoplantaire hyperkeratosen, arsenicum keratosen, verruca vulgaris, clavus, piëzogene papels, keratoelastoidosis marginalis (marginal keratoderma of the palms).

Therapie:
Behandeling is lastig en meestal ook niet nodig. Eventueel keratolytica (ureumzalven) of afvijlen.


Referenties
1. Costa OG. Acrokeratoelastoidosis: a hitherto undescribed skin disease. Dermatologica 1953;107:164-167.
2. Greiner J, Kruger J, Palden L., Jung EG, Vogel F. A linkage study of acrokeratoelastoidosis: possible mapping to chromosome 2. Hum Genet 1983;63:222-227.
3. Stevens HP, Kelsell DP, Bryant SP, Bishop DT, Spurr NK, Weissenbach J, Marger D, Marger RS, Leigh IM. Linkage of an American pedigree with palmoplantar keratoderma and malignancy (palmoplantar ectodermal dysplasia type III) to 17q24: literature survey and proposed updated classification of the keratodermas. Arch Derm 1996;132:640-651.



SCHÖPF-SCHULZ-PASSARGE SYNDROOM OMIM 224750 home ICD10: Q82.8

Het Schöpf-Schulz-Passarge syndroom is een autosomaal recessief syndroom met papuleuze palmoplantaire hyperkeratose, hypodontie, hypotrichosis, cysten in de oogleden, en soms multipele apocriene hidrocystomen. Zie verder onder Schöpf-Schulz-Passarge syndroom.

Schopf-Schulz-Passarge syndroom
Schöpf-Schulz-Passarge syndr


Referenties
1. Schopf E, Schulz HJ, Passarge E. Syndrome of cystic eyelids, palmo-plantar keratosis, hypodontia and hypotrichosis as a possible autosomal recessive trait. Birth Defects Orig. Art. Ser. 1971;VII(8):219-221.
2. Burket JM, Burket BJ, Burket DA. Eyelid cysts, hypodontia, and hypotrichosis. J Am Acad Dermatol 1984;10:922-925.


Author(s):
dr. Jan R. Mekkes. Dermatologist, Amsterdam UMC.

31-05-2023 (JRM) - www.skin-diseases.eu Terug naar homepagina



Diagnosis codes:
ICD10 L85.1 Verworven keratosis [keratodermie] palmaris et plantaris
ICD10 L85.1 Acquired keratosis [keratoderma] palmaris et plantaris
SNOMED 399885000 Acquired palmoplantar keratosis
DBC 27 spacer Diagnose niet nader omschreven

ICD10 L85.1 Verworven keratosis [keratodermie] palmaris et plantaris: keratoderma climactericum
ICD10 L85.1 Acquired keratosis [keratoderma] palmaris et plantaris: keratoderma climactericum (Haxthausen)
SNOMED 201054008 Keratoderma climactericum
DBC 27 Diagnose niet nader omschreven

ICD10 L85.2 Keratosis punctata (palmaris et plantaris)
ICD10 L85.2 Keratosis punctata (palmaris et plantaris)
SNOMED 402773000 Punctate palmoplantar keratoderma
DBC 11 Genodermatosen
DBC 27 spacer Diagnose niet nader omschreven

ICD10 L85.9 Epidermisverdikking, niet gespecificeerd
ICD10 L85.9 Epidermal thickening, unspecified
SNOMED 396228006 Hyperkeratosis
DBC 27 spacer Diagnose niet nader omschreven

ICD10 Q82.8 Overige gespecificeerde congenitale misvormingen van huid: keratoderma palmoplantaris
ICD10 Q82.8 Other specified congenital malformations of skin: palmoplantar keratoderma
SNOMED 706885006 Palmoplantar keratoderma
DBC 11 Genodermatosen
DBC 27 spacer Diagnose niet nader omschreven