Een
dysplastische naevus is een naevus met histologisch
tekenen van onrust, maar onvoldoende criteria om te kunnen spreken van een
melanoom. Het is een histologische
term (naevus met dysplastische kenmerken). Deze histologische kenmerken zijn:
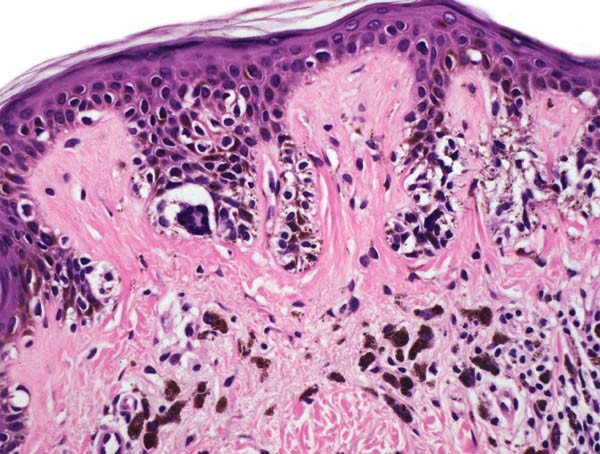
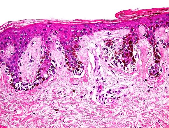
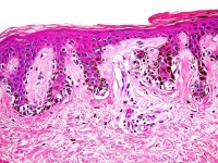
verlenging van retelijsten, bridging, toename van aantal (gevacuoliseerde) melanocyten,
soms in nestjes op de dermo-epidermale overgang, geen (of nauwelijks) ascentie
in epidermis. Melanocyten soms spoelvormig, groot, pleomorf, en met fijnstoffig
pigment, in ernstiger gevallen onregelmatige opbouw, atypische melanocytaire
hyperplasie (nucleaire atypie, grote, irregulaire polychromatische kernen).
Het advies bij de uitslag 'dysplastische naevus' is om de naevus in zijn geheel
te excideren (voorzover dat nog niet gebeurd was) met een krappe marge. Dit
is omdat naar men aanneemt een melanoom kan ontstaan uit een dysplastische naevus.
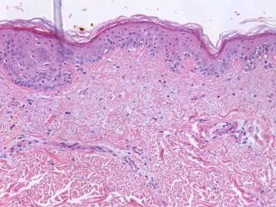
![Histologie van een dysplastische naevus (click on photo to enlarge) [source: www.derm101.com] Histologie van een dysplastische naevus](../../../images/dysplastischenaevus1PA1z.jpg) |
![Histologie van een dysplastische naevus (click on photo to enlarge) [source: www.derm101.com] Histologie van een dysplastische naevus](../../../images/dysplastischenaevus1PA2z.jpg) |
![Histologie van een dysplastische naevus (click on photo to enlarge) [source: www.derm101.com] Histologie van een dysplastische naevus](../../../images/dysplastischenaevus3PAz.jpg) |
| dysplastische
naevus, bridging |
nestjes,
pigment |
bridging,
nestjes |
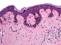
![Histologie dysplastische naevus (click on photo to enlarge) [source: Kevin Kwee / Afdeling Pathologie MUMC] Histologie dysplastische naevus](../../../pacoupes/thumbnails/naevus-naevocellularis-dysplastisch-1.jpg) |
![Histologie dysplastische naevus (click on photo to enlarge) [source: Kevin Kwee / Afdeling Pathologie MUMC] Histologie dysplastische naevus](../../../pacoupes/thumbnails/naevus-naevocellularis-dysplastisch-2.jpg) |
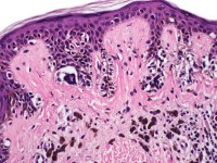
![Atypische (dysplastische) naevus (click on photo to enlarge) [source: www.huidziekten.nl] Atypische naevus](../../../images/atypische-naevus-7z.jpg) |
|
ingescande coupe (zoom) |
ingescande coupe (zoom) |
dysplastische
naevus |
De histologische diagnose dysplastische naevus wordt vaak gesteld bij
naevi die er klinisch atypisch uitzien. De atypische naevus heeft als klinische
kenmerken: groter dan 5 mm (5-12 mm), onregelmatig/grillig en onscherp begrensd,
roze tot bruin, wisselende pigmentatie, soms met erythemateuze rand.
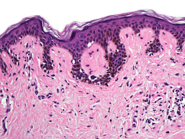
![Atypische (dysplastische) naevus (click on photo to enlarge) [source: www.huidziekten.nl] Atypische naevus](../../../images/atypische-naevus-1z.jpg) |
![Atypische (dysplastische) naevus (click on photo to enlarge) [source: www.huidziekten.nl] Atypische naevus](../../../images/atypische-naevus-2z.jpg) |
![Atypische (dysplastische) naevus (click on photo to enlarge) [source: www.huidziekten.nl] Atypische naevus](../../../images/atypische-naevus-3z.jpg) |
| dysplastische
naevus |
dysplastische
naevus |
dysplastische
naevus |
![Atypische (dysplastische) naevus (click on photo to enlarge) [source: www.huidziekten.nl] Atypische naevus](../../../images/atypische-naevus-4z.jpg) |
![Atypische (dysplastische) naevus (click on photo to enlarge) [source: www.huidziekten.nl] Atypische naevus](../../../images/atypische-naevus-5z.jpg) |
![Atypische (dysplastische) naevus (click on photo to enlarge) [source: www.huidziekten.nl] Atypische naevus](../../../images/atypische-naevus-6z.jpg) |
| dysplastische
naevus |
dysplastische
naevus |
dysplastische
naevus |
Beleid bij dysplastische naeviDe diagnose dysplastische
naevus mag gesteld worden op het klinisch beeld (atypische naevus). De klinische
diagnose berust op ten minste drie criteria:
- ≥ 5 mm in doorsnede
- vage
begrenzing
- onregelmatige vorm
- onregelmatige pigmentatie
- erytheem
(diascopie)
Wanneer is er een reden voor excisie ?
- als op klinische gronden een
melanoom
niet kan worden uitgesloten
- voor de histologische bevestiging van de klinische
diagnose atypische / dysplastische naevus
Wanneer is er een reden
voor re-excisie ?De excisie is in eerste instantie altijd diagnostisch
met een marge van 2 mm omdat ook een melanoom in de DD staat. Bij verdenking op een dysplastische
naevus is ook een punchbiopt dat de laesie krap maar geheel omvat toegestaan
en zelfs een biopt uit (het meest afwijkende gedeelte van) van de laesie is
niet verboden. Maar een diagnostische excisie in een ovaal met een marge van
2 mm is de eerste keus, omdat dan de patholoog de laesie in zijn geheel kan
beoordelen en beter een diagnose kan stellen. Als de patholoog vervolgens de diagnose dysplastische
naevus stelt, radicaal verwijderd, dan is geen verdere behandeling nodig. Stelt
de patholoog de diagnose dysplastische naevus, met als toevoeging: niet radicaal
verwijderd, of reikend tot in de resectieranden, dan ontstaat een situatie waarin
richtlijnen ontbreken of niet duidelijk zijn: formeel is re-excisie niet nodig:
een dysplastische naevus is immers geen melanoom. Het pragmatische advies is
om dan toch een re-excisie toe te passen met als doel de dysplastische naevus
er in zijn geheel uit te halen. Een marge van 3-5 mm, afhankelijk van de locatie
volstaat meestal. Soms vermeldt de patholoog de opmerking: 're-excisie of ruimere
excisie van de gehele laesie gewenst'. Dat impliceert dat de patholoog, die
de laesie ergens moet classificeren in het spectrum tussen een dysplastische
naevus en een melanoom, niet helemaal zeker is; in dat geval is ook re-excisie
verstandig. Komt uit de PA melanoom dan wordt ook een Breslow dikte gegeven
en is de re-excisie conform de richtlijn melanoom.
Indien een patiënt
talloze atypische naevi heeft, dan volstaat het om er 2 (bij voorkeur de meest
atypische) te excideren voor histologisch onderzoek.
Indien dit histologisch
toch geen dysplastische naevi zijn, wordt er geen label op deze patiënt geplakt
anders dan 'veel moedervlekken' en geldt wat voor iedere patiënt met moedervlekken
geldt: bij veranderingen of nieuwe laesies een afspraak maken bij de huisarts
of dermatoloog voor controle.
Risico op melanoom bij dysplastische
naeviAls histologisch wel de diagnose dysplastische naevus gesteld
wordt, dan gaat het er om hoeveel het er zijn. Zijn het er 5 of meer dan is
er sprake van een verhoogd risico (2-6%) op het ontwikkelen van een melanoom.
Personen met minder dan vijf dysplastische naevi naevocellulares zonder zelf
een melanoom te hebben (gehad), en met een negatieve familieanamnese op melanoom
komen veel voor en hebben geen aantoonbaar verhoogd risico op melanoom. Het
hebben van 5 of meer dysplastische naevi is niet voldoende voor het stellen
van de diagnose dysplastisch naevus-syndroom (DNS). Daarvoor moet er ook een
melanoom aanwezig zijn bij de patiënt, of in de familie.
Familie
anamnesePatiënten met veel dysplastische naevi kunnen drager zijn
van het p16 gen en behoren tot een familie die een hoger risico loopt op het
krijgen van melanomen. Daarom altijd vragen of melanoom voorkomt in de familie,
en of dit een eerstegraads familielid is (broer, zus, vader, moeder) of tweedegraads
(opa, oma, oom, tante, neef, nicht). Indien er een melanoom voorkomt bij twee
eerstegraads familieleden of bij drie familieleden ongeacht de graad, dan is
er al per definitie sprake van een
dysplastisch
naevus-syndroom of FAMMM-syndroom met een verhoogd risico op melanoom.
Controle bij dysplastische naevi- Minder dan vijf dysplastische
naevi, geen melanoom (gehad), geen melanoom in familie: geen controle nodig
- Vijf of meer dysplastische naevi: advies 1 x per jaar te controleren. Dit
is niet een dwingend advies, het alternatief is om de patiënt zelf regelmatig
de huid te laten controleren en te instrueren om bij twijfel een afspraak maken.
- Personen die (tot in de tweedegraads familieverwantschap) deel uitmaken
van een familie waarbij de diagnose
DNS syndroom
of FAMMM-syndroom is gesteld wordt wel dwingend geadviseerd om 1 keer per
jaar de huid te laten inspecteren.
Sporadisch DNS
De term sporadisch DNS wordt gebruikt voor patiënten die de combinatie hebben
van een melanoom en ten minste vijf dysplastische naevi naevocellulares, zonder
dat er een melanoom in de familie voorkomt. Deze patiënten hebben mogelijk toch
een p-16 genmutatie en het DNS / FAMMM syndroom. Dit kan doormiddel van DNA
diagnostiek worden vastgesteld.
Familiaal Dysplastisch Naevus
Syndroom (FAMMM-syndroom)Het blijkt dat het hebben van zeer veel
dysplastische naevi en inherent daaraan het hebben van een verhoogde kans op
het ontstaan van melanomen familiair kan voorkomen. Dit syndroom staat bekend
onder de naam dysplastisch naevus syndroom, BK-mole syndroom (B.K. was een patiënt),
of hereditair dysplastisch naevus syndroom (
OMIM
155600). De nieuwe
naam is FAMMM-syndroom (Familial Atypical Multiple Mole/Melanoma syndrome).
Criteria voor de diagnose FAMMM syndroomDe diagnose
FAMMM syndroom wordt op klinische gronden gesteld als melanoom voorkomt bij
twee eerstegraads familieleden of bij drie familieleden ongeacht de graad. Zie
verder onder
DNS / FAMMM-syndroom
Author(s):dr. Jan R. Mekkes. Dermatologist, Amsterdam UMC.