Een
cutaan lymfoom (
lymphoma cutis)
is een manifestatie van lymfeklierkanker in de huid. Lymfomen worden
onderverdeeld in
Hodgkin lymfomen (HL), gekenmerkt
door de aanwezigheid van Reed-Sternberg cellen (grote abnormale
B-lymfocyten), en
non-Hodgkin
lymfomen (NHL) waarbij geen Reed-Sternberg cellen worden aangetroffen.
Cutane lymfomen zijn meestal non-Hodgkin lymfomen. De incidentie van cutane lymfomen wordt geschat op 1 per 100.000
individuen per jaar. Ze worden onderverdeeld in
cutane T-cel lymfomen (
CTCL,
circa 75-80%) en
cutane
B-cel lymfomen (
CBCL, circa 20-25%).
Daarnaast zijn er de op lymfoom lijkende
pseudolymfomen, meestal pseudo-B-cel lymfoom (zie onder
lymphadenosis cutis benigna).
![Cutaan T-cel lymfoom (click on photo to enlarge) [source: www.huidziekten.nl] Cutaan T-cel lymfoom](../../../images/cutaan-T-cel-lymfoom-11z.jpg) |
![Cutaan T-cel lymfoom (click on photo to enlarge) [source: www.huidziekten.nl] Cutaan T-cel lymfoom](../../../images/cutaan-T-cel-lymfoom-9z.jpg) |
![Cutaan B-cel lymfoom (click on photo to enlarge) [source: www.huidziekten.nl] Cutaan B-cel lymfoom](../../../images/cutaan-B-cel-lymfoom-1z.jpg) |
| T-cel
lymfoom |
T-cel
lymfoom |
B-cel
lymfoom |
Hematologische maligniteiten
kunnen zich behalve in bloed, beenmerg, en andere organen ook
secundair manifesteren
in de huid (leukemia cutis, multipel myeloom, metastasen). Maar met cutaan
lymfoom wordt bedoeld een lymfoom dat zich
primair
in de huid manifesteert. Op het moment van diagnose zijn er (nog) geen
aanwijzingen voor extracutane lokalisaties. En vaak blijven ze ook beperkt
tot de huid. Dat komt omdat lymfocyten epidermotroop zijn: lymfocyten
circuleren maar het grootste
gedeelte bevindt zich steeds in de huid, als onderdeel van het Skin Immune System. Cutane lymfomen hebben
een andere klinische presentatie en prognose (gunstiger) dan systemische lymfomen met
secundaire huidlokalisaties. Daarom worden ze ook als aparte entiteiten
beschouwd in het
WHO-EORTC classificatiesysteem voor maligne lymfomen.
| Indeling haematologische maligniteiten: |
- leukemie - lymfomen - Hodgkin lymfoom
- non-Hodgkin
lymfomen
- rijpe B-cel lymfomen
- rijpe T-cel en NK-cel lymfomen
- voorloper B-cel en T-cel lymfomen
- multipel
myeloom - myelodysplastisch syndroom - overige myeloproliferatieve aandoeningen |
De indeling van non-Hodgkin lymfomen is ingewikkeld, omdat er veel
verschillende varianten bestaan. Meestal wordt de WHO classificatie aangehouden. Zie de onderstaande tabellen.
Naast de WHO
classificatie van alle non-Hodgkin lymfomen bestaat er ook WHO-EORTC
tabel van de cutane lymfomen. In Nederland bestaat een grote expertise in
cutane lymfomen, het is een aandachtsgebied van LUMC en Amsterdam UMC, en de
indeling, percentages, en prognoses zijn vooral gebaseerd op expertise en de
data van de Nederlandse lymfomen werkgroep, en dus van toepassing op de
Nederlandse populatie. Patiënten kunnen worden aangemeld bij de interuniversitaire Werkgroep Cutane Lymfomen van
dermatologen en patholoog-anatomen, die de diagnostiek en behandeling begeleidt. Hiervoor dienen te
worden opgestuurd HE-coupes of ongekleurde coupes van een
representatief huidbiopt, klinische foto's, en de klinische gegevens (relevante
voorgeschiedenis, status localis, histologisch onderzoek, stagering,
diagnose, therapie), bij voorkeur in de vorm van een ingevuld
aanmeldingsformulier. Huidbiopten dienen niet
te klein te zijn (minimaal 4 mm), en er dient
altijd vers materiaal te worden ingestuurd voor het immunohistologisch
onderzoek.
| WHO classificatie B-cell lymphoid proliferations and lymphomas: |
Tumour-like lesions with B-cell predominance
-
Reactive B-cell-rich lymphoid proliferations that can mimic lymphoma -
IgG4-related disease - Unicentric Castleman disease -
Idiopathic multicentric Castleman disease -
KSHV/HHV8-associated multicentric Castleman disease
Precursor B-cell neoplasms
B-cell lymphoblastic leukaemias/lymphomas
- B-lymphoblastic leukaemia/lymphoma, NOS - B-lymphoblastic leukaemia/lymphoma with high hyperdiploidy
- B-lymphoblastic leukaemia/lymphoma with hypodiploidy - B-lymphoblastic leukaemia/lymphoma with iAMP21
- B-lymphoblastic leukaemia/lymphoma with BCR::ABL1 fusion - BCR-ABL1
B-lymphoblastic leukaemia/lymphoma with BCR::ABL1-like features - B-lymphoblastic leukaemia/lymphoma with KMT2A rearrangement
- B-lymphoblastic leukaemia/lymphoma with ETV6::RUNX1 fusion
- B-lymphoblastic leukaemia/lymphoma with ETV6::RUNX1-like features
- B-lymphoblastic leukaemia/lymphoma with TCF3::PBX1 fusion - B-lymphoblastic leukaemia/lymphoma with IGH::IL3 fusion
- B-lymphoblastic leukaemia/lymphoma with TCF3::HLF fusion - B-lymphoblastic leukaemia/lymphoma with other defined genetic abnormalities
Mature B-cell neoplasms Pre-neoplastic and neoplastic small lymphocytic proliferations
- Monoclonal B-cell lymphocytosis - Chronic lymphocytic leukaemia/small lymphocytic lymphoma
Splenic B-cell lymphomas and leukaemias
- Hairy cell leukaemia - Splenic marginal zone lymphoma - Splenic diffuse red pulp small B-cell lymphoma
- Splenic B-cell lymphoma/leukaemia with prominent nucleoli
Lymphoplasmacytic lymphoma - Lymphoplasmacytic lymphoma
(Waldenstrom macroglobulinemia)
Marginal zone lymphoma - Extranodal marginal zone lymphoma of mucosa-associated lymphoid tissue
-
Primary cutaneous marginal zone lymphoma - Nodal marginal zone lymphoma
- Paediatric marginal zone lymphoma Follicular lymphoma
-
In situ follicular B-cell neoplasm - Follicular lymphoma - Paediatric-type follicular lymphoma
- Duodenal-type follicular lymphoma Cutaneous follicle centre lymphoma
- Primary cutaneous follicle centre lymphoma Mantle cell lymphoma
-
In situ mantle cell neoplasm - Mantle cell lymphoma - Leukaemic non-nodal mantle cell lymphoma
Transformations of indolent B-cell lymphomas
- Transformations of indolent B-cell lymphomas
Large B-cell lymphomas -
Diffuse large B-cell lymphoma, NOS
- T-cell/histiocyte-rich large B-cell lymphoma - Diffuse large B-cell lymphoma / high grade B-cell lymphoma with MYC and BCL2 rearrangements
- ALK-positive large B-cell lymphoma - Large B-cell lymphoma with IRF4 rearrangement
- High-grade B-cell lymphoma with 11q aberrations -
Lymphomatoid granulomatosis
- EBV-positive diffuse large B-cell lymphoma - Diffuse large B-cell lymphoma associated with chronic inflammation
- Fibrin-associated large B-cell lymphoma - Fluid overload-associated large B-cell lymphoma
- Plasmablastic lymphoma - Primary large B-cell lymphoma of immune-privileged sites
-
Primary cutaneous diffuse large B-cell lymphoma
- Primary cutaneous diffuse large B-cell lymphoma, leg type -
Intravascular large B-cell lymphoma
- Primary mediastinal large B-cell lymphoma - Mediastinal grey zone lymphoma-
- High-grade B-cell lymphoma, NOS Burkitt lymphoma
- Burkitt lymphoma KSHV/HHV8-associated B-cell lymphoid proliferations and lymphomas
- Primary effusion lymphoma - KSHV/HHV8-positive diffuse large B-cell lymphoma
- KSHV/HHV8-positive germinotropic lymphoproliferative disorder
Lymphoid proliferations and lymphomas associated with immune deficiency and dysregulation
- Hyperplasias arising in immune deficiency/dysregulation - Polymorphic lymphoproliferative disorders arising in immune deficiency/dysregulation
- EBV-positive mucocutaneous ulcer - Lymphomas arising in immune deficiency / dysregulation
-
Inborn error of immunity-associated lymphoid proliferations and lymphomas
Hodgkin lymphoma - Classic Hodgkin lymphoma - Nodular lymphocyte predominant Hodgkin lymphoma
Plasma cell neoplasms and other diseases with paraproteins
Monoclonal gammopathies - Cold agglutinin disease - IgM monoclonal gammopathy of undetermined significance
- Non-IgM monoclonal gammopathy of undetermined significance - Monoclonal gammopathy of renal significance
Diseases with monoclonal immunoglobulin deposition
-
Immunoglobulin-related (AL) amyloidosis - Monoclonal immunoglobulin deposition disease
Heavy chain diseases - Mu heavy chain disease
- Gamma heavy chain disease - Alpha heavy chain disease
Plasma cell neoplasms -
Plasmacytoma - Plasma cell myeloma - Plasma cell neoplasms with associated paraneoplastic syndrome
- POEMS syndrome
- TEMPI syndrome
- AESOP syndrome  |
| WHO classificatie T-cell and NK-cell lymphoid proliferations and lymphomas: |
Tumour-like lesions with T-cell predominance
- Kikuchi-Fujimoto disease - Indolent T-lymphoblastic proliferation
- Autoimmune lymphoproliferative syndrome
Precursor T-cell neoplasms
T-lymphoblastic leukaemia/lymphoma - T-lymphoblastic leukaemia/lymphoma,
NOS -
Early T-precursor lymphoblastic leukaemia / lymphoma
Mature T-cell and NK-cell neoplasms
Mature T-cell and NK-cell leukaemias - T-prolymphocytic leukaemia
- T-large granular lymphocytic leukaemia - NK-large granular lymphocytic leukaemia
- Adult T-cell leukaemia/lymphoma -
Sezary syndrome - Aggressive NK-cell leukaemia
Primary cutaneous T-cell lymphomas
-
Primary cutaneous CD4-positive small or medium T-cell lymphoproliferative disorder
- Primary cutaneous acral CD8-positive lymphoproliferative disorder
-
Mycosis fungoides
- Mycosis
fungoides, folliculotropic -
Primary cutaneous CD30-positive T-cell lymphoproliferative disorder:
- Lymphomatoid papulosis -
Primary cutaneous anaplastic large cell lymphoma
-
Subcutaneous panniculitis-like T-cell lymphoma - Primary cutaneous gamma/delta T-cell lymphoma
-
Primary cutaneous CD8-positive aggressive epidermotropic cytotoxic T-cell lymphoma -
Primary cutaneous peripheral T-cell lymphoma, NOS
Intestinal T-cell and NK-cell lymphoid proliferations and lymphomas
- Indolent T-cell lymphoma of the gastrointestinal tract - Indolent NK-cell lymphoproliferative disorder of the gastrointestinal tract
- Enteropathy-associated T-cell lymphoma - Monomorphic epitheliotropic intestinal T-cell lymphoma
- Intestinal T-cell lymphoma, NOS Hepatosplenic T-cell lymphoma
- Hepatosplenic T-cell lymphoma Anaplastic large cell lymphoma
- ALK-positive anaplastic large cell lymphoma - ALK-negative anaplastic large cell lymphoma
- Breast implant-associated anaplastic large cell lymphoma
Nodal T-follicular helper (TFH) cell lymphoma - Nodal TFH cell lymphoma, angioimmunoblastic-type
-
Nodal TFH cell lymphoma, follicular-type - Nodal TFH cell lymphoma, NOS
Other peripheral T-cell lymphomas - Peripheral T-cell lymphoma, not otherwise specified
EBV-positive NK/T-cell lymphomas - EBV-positive nodal T- and NK-cell lymphoma
- Extranodal NK/T-cell lymphoma EBV-positive T- and NK-cell lymphoid proliferations and lymphomas of childhood
- Severe mosquito bite allergy - Hydroa vacciniforme lymphoproliferative disorder
- Systemic chronic active EBV disease - Systemic EBV-positive T-cell lymphoma of childhood  |
| WHO-EORTC-classificatie cutane lymfomen: |
|
Freq. (%) |
5-jr survival |
| cutane T-cel lymfomen |
| mycosis fungoides (inclusief varianten zoals
folliculotrope MF) |
45 |
89 |
| Sézarysyndroom |
2 |
24 |
primair cutane CD30-positieve
lymfoproliferatieve aandoeningen - lymfomatoïde papulose - cutaan
anaplastich grootcellig lymfoom |
15 10 |
100 93 |
| subcutaan ‘panniculitis-like’ T-cel lymfoom |
<1 |
82 |
| extranodaal NK/T-cellymfoom |
<1 |
0 |
cutaan perifeer T-cel lymfoom, niet nader omschreven - agressief
CD8-positief epidermotroop CTCL - cutaan gamma/delta T-cel lymfoom -
CD4-positief klein-/middelgrootcellig pleomorf CTCL |
5 1 <1 2 |
18 0 0 80 |
cutane B-cel lymfomen |
| primair cutaan marginale zone B-cel lymfoom |
6 |
98 |
| primair cutaan follikelcentrumlymfoom |
13 |
95 |
| primair cutaan grootcellig B-cellymfoom, beentype |
4 |
50 |
Uit: Willemse
R. Diagnostiek en behandeling van cutane lymfomen. Ned Tijdschr Hematol
2008;5:3-11.
Cutane T-cel lymfomen (CTCL)1) klassieke CTCL, waaronder
mycosis fungoides (MF),
varianten van MF en het Sezary syndroom (SS)
2) primair cutane
CD30-positieve lymfoproliferatieve aandoeningen
3) zeldzame en meestal
agressieve overige CTCL
Mycosis fungoidesMycosis fungoides is de
oude naam voor het meest voorkomende cutaan T-cel lymfoom, dat 3 klinische
stadia kan doorlopen:
eczemateus (erythemato-squameuze, soms wat atrofische
plekken, frequent in zwembroekgebied), meer geïnfiltreerde rode tot
roodbruine, soms guirlande of hoefijzervormige
plaques en tenslotte
tumoren,
die kunnen ulcereren. Histologisch ziet men atypische CD4-positieve T-cellen met hyperchromatische en sterk
geïndenteerde (cerebriforme) kernen in de epidermis (epidermotropie). Er kan transformatie naar een grootcellig T-cel lymfoom en/of
uitbreiding naar extracutane lokalisaties (perifere lymfklieren, viscerale
organen) optreden. De kans daarop varieert van circa 2% bij stadium Ia
(beperkte patches en plaques) tot circa 40% bij stadium 3 (tumoren).
Belangrijkste doodsoorzaak is infecties bij chemotherapie. Een cutaan T-cel
lymfoom kan beginnen als vage eczeemachtige plekken waarop klinisch en
histologisch geen diagnose is te stellen. Het kan jaren duren (10 jaar of
langer) voordat duidelijk wordt dat een dermatitis vanaf het begin mycosis
fungoides was. Mycosis fungoides kan ook overgaan in een
erytrodermie. Zie voor meer
informatie onder de aparte tekst over
mycosis fungoides. Zie ook onder
differentiële diagnose van cutaan T-cel lymfoom.
Naast de
klassieke MF bestaan er meerdere klinische varianten, zoals erytrodermische,
gehypopigmenteerde, gehyperpigmenteerde, bulleuze / vesiculeuze,
poikiloderma type, folliculotrope, syringotrope, granulomateuze, en
symptoomloze MF. De meeste van die klinische subtypen gedragen zich
hetzelfde als de klassieke MF en worden niet apart geclassicifeerd in de
WHO-EORTC classification.
Folliculotrope MF
wordt wel apart geclassificeerd, net als
pagetoide reticulosis en
granulomatous
slack skin (GSS), omdat deze varianten een ander klinisch beloop en
prognose hebben dan de klassiek MF. Circa 10% van de MF is folliculotroop.
| Stadiering van
cutane T cel lymfomen: |
| Stadium |
TNM |
Survival |
| Ia |
T1 N0 M0 |
97% |
| Ib |
T2 N0 M0 |
83% |
| IIa |
T1/T2 N0/N1 M0 |
42% |
| IIb |
T3 N1 M0 |
20% |
| III |
T4 N0/N1 M0 |
|
| IVa |
T1-4 N2/N3 M0 |
|
| IVb |
T1-4 N0-3 M1 |
|
| Stagering volgens TNM systeem: |
T (huid): 0 klinisch
en/of histologisch suggestieve lesies. 1 eczematoïde lesies: plaques,
papels of erythemateuze lesies op minder dan 10% van het lichaamsoppervlak.
2 idem op meer dan 10% van het lichaamsoppervlak. 3 één of meer
huidtumoren. 4 erythrodermie.
N (lymfklieren): 0 klinisch normale lymfklieren, histologisch geen
aanwijzingen voor MF in de lymfklieren. 1 klinische vergrote lymfklieren
waarin echter geen aanwijzing voor MF (dermatopatische lymphadenopathie.
2 klinisch normale lymfklieren waarin histologisch wel aanwijzing voor MF.
3 klinisch abnormale lymfklieren waarin histologisch aanwijzingen voor MF.
M (viscerale organen): 0 geen infiltratie (histologie). 1
histologisch bevestigde infiltratie viscerale organen.
B (perifere bloed): 0 geen of minder dan 5% circulerende atypische
cellen. 1 meer dan 5% atypische cellen. Registreer het totale aantal van
deze atypische cellen per 100 lymfo's. |
| Stagerings schema
cutane T cel lymfomen: |
|
A |
B |
C |
D |
|
plaques < 10% |
plaques > 10% |
tumoren |
erythro dermie |
| I. beperkt tot de huid |
T1 N0 M0 |
T2 N0 M0 |
T3 N0 M0 |
T4
N0 M0 |
| II. huid + dermato-patische lymfklieren |
T1 N1 M0 |
T2
N1 M0 |
T3 N1 M0 |
T4 N1 M0 |
| III. huid + lymfklieren |
T1 N3 M0 |
T2 N3 M0 |
T3 N3 M0 |
T4 N3 M0 |
| IV. huid +
viscerale organen |
T1 N3 M1 |
T2 N3 M1 |
T3 N3 M1 |
T4 N3 M1 |
Diagnostiek:- Fotografisch vastleggen van de afwijkingen.
- Biopt. Liefst twee 4 mm biopten uit een geïndureerd gebied (nates vaak geschikt). Voor HE, immunohistochemische kleuringen, fenotypering van het infiltraat, en klonaliteitsonderzoek (PCR, T-cel receptor DNA-rearrangement).
- Lichamelijk onderzoek (beschrijving van het klinische type (erythematosquameuze laesies, plaques of tumoren), grootte en aantal van de laesies, inschatten percentage van het lichaamsoppervlak, lymfadenopathie, hepatosplenomegalie, oedeem, etc.).
- Lymfklieren: indien vergrote lymfklier aanwezig dan excisie (geen punctie) voor histologisch onderzoek. De klier vers naar PA sturen, niet in formaline zodat de patholoog de klier kan opsnijden en verdelen in wat nodig is (formaline, vriescoupes, DNA-rearrangement).
- Afbeeldend onderzoek: X-thorax (vraagstelling: noduli of infiltraten in longparenchym, pleura-exsudaat, mediastinale of hilaire klieren?), Echo lymfklierstations oksels en liezen (vraagstelling: pathogeen vergrote lymfklieren?), CT-scan abdomen (facultatief bij vroege MF), PET-CT scan (positron emission tomography (PET)-computer tomography (CT) bij verdenking op advanced MF.
- Bloed onderzoek: Leukocyten, Leukocytendifferentiatie, trombocyten, BSE, Hb. Immunofenotypering (CD3, CD4, CD8, CD20, kappa, lambda, CD4/CD8 ratio). Klonaliteits onderzoek (PCR, TCR gen rearrangement onderzoek). Na, K, Ca, ALAT, ASAT, LDH, alk fosfatase, G-GT), kreat, totaal eiwit, eiwitspectrum. Sézary cellen in het perifere bloed (5 ml EDTA insturen naar speciële hematologie), na lysis v.d. erytrocyten worden met monoclonalen gelabelde lymfocyten inclusief Sézarycellen geteld in de FACS.
- Beenmerg (crista biopsie): alleen bij morfologische afwijkingen in het perifere bloed.
Lokale therapie:R/ Lokale corticosteroïden
klasse III-IV.
R/ Lichttherapie
(UVB, PUVA). PUVA-therapie kan worden gecombineerd met PEG interferon alfa2a
of orale retinoïden.
R/ Stikstofmosterd (mechloorethamine, mitoxine, Mustine HCl,
chloormethine) aanbrengen op de huid. De patiënt moet een bewustzijnsverklaring
ondertekenen. Bereiding: 10 mg stikstofmosterd oplossen in 40-60 ml kraanwater.
Hiermee de gehele huid m.b.v. een gaasje en handschoenen, of een kwast behandelen
(niet bij de ogen). Ean alternatief is om alleen de aangedane huid te
behandelen. De oplossing moet steeds vers gemaakt worden. Frequentie:
beginnen met dagelijkse applicatie, bij goed resultaat kan dit minder worden
(b.v. 1-3 x per week). Bij toxische reactie met lage concentratie doorgaan.
Bij vermeende overgevoeligheid open plakproeven verrichten (verdunning 1:50,
1:500, 1:5000). De stikstofmosterd kan ook als zalf gegeven worden: 10
mg Mustine HCl, 1 ml abs alcohol, 90 gr eucerine anhydricum.
R/ Ledaga
gel (chloormethine hydrochloride)160 μg/g), tube à 60 g (circa 1600 euro).
Eénmaal daags een dunne laag gel op aangetaste delen van de (droge) huid aanbrengen en 5-10 min laten drogen. Het personeel
dat stikstofmosterd bereid of aanbrengt moet zichzelf zeer goed beschermen.
R/ Aldara (imiquimod) crème, sachet à 250 mg (€ 4.85 per 250 mg). Voldoende crème (maximaal 1 sachet) 3x
per week (bv. maandag, woensdag en vrijdag) voor het slapen gaan aanbrengen gedurende 4 weken. De crème als een dunne laag op de hele behandelplek aanbrengen en inwrijven totdat de crème is ingetrokken, circa 8 uur laten zitten, daarna verwijderen met water en (milde) zeep.
R/ Targretin gel (bexarotene 1% gel), in de eerste week om de dag
aanbrengen, daarna elke dag, en vervolgens geleidelijk ophogen tot 4 x per
dag. Niet in Nederland geregistreerd.
R/ Tazorac crème (tazarotene 0.1%),
tube à 30 g). Tazarotene 0.1% crème of gel om de dag aanbrengen in de eerste
2 weken en daarna elke dag gedurende 6 maanden. Niet in Nederland
geregistreerd. Het kan wel worden gemaakt als magistrale bereiding, of
besteld in het buitenland.
R/ Totale huidbestraling met elektronen (TSEB 4-9 MeV electron
beams) of oppervlakkige radiotherapie (50-145 kvp). Geïsoleerde tumoren
reageren goed op lokale radiotherapie.
Systemische therapie:R/ Neotigason (acitretine)
1 dd 25 mg. Kan worden gecombineerd met PUVA therapie (RE-PUVA).
R/ Targretin (bexaroteen) tab à 75 mg, 1 dd 300 mg/m
2
lichaamsoppervlak. Bij tekenen van toxiciteit wordt de dosis verminderd tot
1 dd 200 of 100 mg/m². Kan worden gecombineerd met PUVA therapie (RE-PUVA).
R/
methotrexaat 5-25 mg per week.
R/
Pegasys (PEG-interferon alfa 2a). Injectievloeistof '135'
(270 μg/ml; pen à 0.5 ml, wegwerpspuit à 0.5 ml). 1 maal per week 135 μg (1
pen per week) subcutaan in buik of dij.
R/ polychemotherapie: (CHOP kuren
(cyclofosfamide, doxorubicine, vincristine, prednison) en andere kuren). Systemische chemotherapie is bij CTCL
beperkt tot de huid niet zinvol. Alleen bij extracutane lokalisaties en/of uitgebreide
tumoren wordt chemotherapie gegegeven.
R/ pegylated liposomaal
doxorubicine 20 mg/m² liposomaal doxorubicine 1 keer per 3 weken gedurende 6
maanden.
R/ chloorambucil 2-6 mg per dag in combinatie met een lage dosis
prednison (10-20 mg).
R/ gemcitabine, pentostatin, bendamustine,
etoposide.
R/ pralatrexate 15 mg/m² per week gedurende 3-4 weken. Niet in
Nederland geregistreerd.
R/ alemtuzumab 30 mg i.v. 3 keer per week.
R/ Adcetris
(brentuximab vedotin) 1.8 mg/kg eenmaal per 3 weken i.v. in 30 min, max 16 cycli.
Geregistreerd voor CD30-positief cutaan T-cel lymfoom.
R/ Poteligeo
(mogamulizumab) 1 mg/kg lichaamsgewicht als i.v. infusie gedurende ten
minste 60 minuten, wekelijks op dag 1, 8, 15 en 22 van de eerste cyclus van
28 dagen. Gevolgd door 1 mg/kg tweewekelijks op dag 1 en 15 van elke
daaropvolgende cyclus van 28 dagen. De behandeling wordt voortgezet zolang
als het goed gaat en verdragen wordt.
R/ Extracorporele fotoferese.
R/ Allogene stamceltransplantatie.
Sézary syndroom (SS)Het Sézary syndroom is een
variant van CTCL gekenmerkt door
erytrodermie, gegeneraliseerde lymfadenopathie en de aanwezigheid van atypische
T-cellen (Sézarycellen, abnormaal grote lymfocyten met cerebriforme, gelobde
kernen) in de huid, de lymfklieren en het perifere
bloed. Het kan worden beschouwd als een leukemische variant van MF.
Patiënten hebben een van top tot teen rode, jeukende en schilferende huid en
kunnen ook palmoplantaire hyperkeratose hebben. De DD met andere oorzaken
van erytrodermie is lastig. De diagnose wordt gesteld als er een monoklonale T-celpopulatie
wordt gevonden in het perifere
bloed en in de huid, in combinatie met een sterk verhoogde
CD4/CD8-ratio (>10) of de aanwezigheid van grote aantallen Sézarycellen
(>1.000/μl). Sézary syndroom heeft een ongunstige prognose
(5-jaarsoverleving circa 20%).
![Cutaan T-cel lymfoom, tumor stadium (click on photo to enlarge) [source: www.huidziekten.nl] Cutaan T-cel lymfoom](../../../images/cutaan-T-cel-lymfoom-11z.jpg) |
![Cutaan T-cel lymfoom, tumor stadium (click on photo to enlarge) [source: www.huidziekten.nl] Cutaan T-cel lymfoom](../../../images/cutaan-T-cel-lymfoom-12z.jpg) |
![Cutaan T-cel lymfoom, tumor stadium (click on photo to enlarge) [source: Paulo Henrique Orlandi Mourao - Wikimedia - Creative Commons License 3.0] Cutaan T-cel lymfoom](../../../images/cutaan-T-cel-lymfoom-13z.jpg) |
| Sézary
syndroom |
Sézary
syndroom |
Sézary cel |
Foto Sezary cellen: Paulo Henrique Orlandi Mourao - Wikimedia (Creative
Commons License
3.0).
Therapie:Sezary syndroom is zeldzaam en er is
weinig onderzoek gedaan naar de beste behandeling. Extracorporele
fotoferese, eventueel in combinatie met interferon alfa wordt genoemd, maar
deze behandeling is niet goed gedocumenteerd in vergelijkend onderzoek. De
laatste jaren komen ook targeted therapies op de markt voor Sezary syndroom.
R/ chloorambucil (2-6 mg/dag) + prednison
(10-30 mg/dag).
R/ Poteligeo
(mogamulizumab), 1 mg/kg lichaamsgewicht als i.v. infusie gedurende ten minste 60 minuten, wekelijks op dag 1, 8, 15 en 22 van de eerste cyclus van 28 dagen. Gevolgd door 1 mg/kg tweewekelijks op dag 1 en 15 van elke daaropvolgende cyclus van 28 dagen. Behandel tot aan ziekteprogressie of onacceptabele toxiciteit.
R/ Lemtrada (alemtuzumab) 10-30 mg
3 keer per week.
Primair cutane CD30-positieve
lymfoproliferatieve T-celaandoeningenEr zijn twee varianten van primair cutane CD30-positieve
lymfoproliferatieve T-celaandoeningen:
lymfomatoïde papulose (LyP) en
primair cutaan anaplastisch
grootcellig lymfoom (C-AGL). Histologisch is er geen
onderscheid te maken tussen beide varianten, klinisch wel. Histologisch
zijn er velden van
grote CD30-positieve anaplastische of pleomorfe cellen met een
aberrant T-celfenotype en een wisselend uitgebreid ontstekingsinfiltraat.
Anders dan bij systemisch anaplastisch grootcellig lymfoom
is er bij LyP en C-AGL geen t(2;5)- translocatie, en
ALK (anaplastic lymphoma kinase) is negatief. De
patholoog kan geen uitspraak doen of het LyP is of C-AGL en noemt het een
CD30-positieve lymfoproliferatieve aandoening. Het is aan de klinicus om
lymfomatoïde papulose te herkennen en te voorkomen dat deze patiënten
onnodig worden behandeld met agressieve chemotherapie.
Lymfomatoïde papulose heeft een goedaardig
beloop. Er ontstaan steeds weer nieuwe spontaan in 4-8 weken genezende
papels of papulonecrotische / papulonodulaire laesies. Het is
waarschijnlijk een laag-gradig cutaan T-Cell lymfoom (CTCL) met een zeer
goede prognose. Lymfomatoïde papulose toont zelden progressie naar een
systemisch lymfoom en heeft een 10-jaarsoverleving van
bijna 100%. Het kan op elke leeftijd ontstaan, ook bij kinderen, echter
gemiddeld begint het tussen 35-45 jaar. Zie verder onder
lymfomatoïde papulose.
![Lymfomatoïde papulose (click on photo to enlarge) [source: www.huidziekten.nl] Lymfomatoïde papulose](../../../images/lymfomatoide-papulose-1z.jpg) |
![Lymfomatoïde papulose (click on photo to enlarge) [source: www.huidziekten.nl] Lymfomatoïde papulose](../../../images/lymfomatoide-papulose-6z.jpg) |
![Lymfomatoïde papulose (click on photo to enlarge) [source: www.huidziekten.nl] Lymfomatoïde papulose](../../../images/lymfomatoide-papulose-4z.jpg) |
| lymfomatoïde papulose |
lymfomatoïde papulose |
lymfomatoïde papulose |
Primair cutaan anaplastisch grootcellig lymfoom
begint meestal als een solitaire, vaak ulcererende tumor, die
bij 20% van de patiënten de neiging heeft spontaan te verdwijnen. Circa 20%
heeft multipele laesies, 15% heeft uitbreiding naar perifere
lymfklieren. De 10-jaarsoverleving ligt rond 90%.
![Primair cutaan anaplastisch grootcellig T-cel lymfoom (click on photo to enlarge) [source: www.huidziekten.nl] Primair cutaan anaplastisch grootcellig T-cel lymfoom](../../../images/cutaan-anaplastisch-CD30+T-cel-lymfoom-1z.jpg) |
![Primair cutaan anaplastisch grootcellig T-cel lymfoom (click on photo to enlarge) [source: www.huidziekten.nl] Primair cutaan anaplastisch grootcellig T-cel lymfoom](../../../images/cutaan-anaplastisch-CD30+T-cel-lymfoom-2z.jpg) |
![Primair cutaan anaplastisch grootcellig T-cel lymfoom (click on photo to enlarge) [source: www.huidziekten.nl] Primair cutaan anaplastisch grootcellig T-cel lymfoom](../../../images/cutaan-anaplastisch-CD30+T-cel-lymfoom-3z.jpg) |
| CD30+
C-AGL |
CD30+
C-AGL |
CD30+
C-AGL |
Therapie:Lymfomatoïde papulose gaat vanzelf weer over.
Bij weinig laesies expectatief beleid. Bij zeer veel laesies kan behandeling
met methotrexaat (5-25 mg per week) worden gegeven. Dit is bij circa 80%
effectief.
C-AGL in de vorm
van een solitaire laesie kan worden behandeld met radiotherapie of excisie.
Bij multipele laesies ook methotrexaat. Chemotherapie is meestal niet nodig.
Subcutaneous panniculitis-like T-cell lymphoma
Subcutaneous panniculitis-like T-cell lymphoma
(SPTL) is
een zeldzame variant van primair cutaan T-cel lymfoom waarbij het infiltraat
zich beperkt tot het subcutane vet. Klinisch beeld: diep gelegen vast
aanvoelende nodi en
plaques met een diameter van 2 tot 20 cm, vooral op de romp, extremiteiten
en gelaat. Het beeld lijkt op een
panniculitis. Het is langzaam
progressief. Het kan geassocieerd zijn met een
hemofagocytair syndroom. De diagnose is moeilijk te stellen. Er zijn twee varianten van subcutaneous
panniculitis-likeT-cell lymphoma, met verschillende histologie,
immunofenotype en prognose. De ene vorm heeft een
alpha/beta, CD8
positief fenotype, beperkt zich tot de subcutis, en is langzaam progressief.
Er is een andere vorm met een
gamma/delta fenotype, CD8 negatief, vaak CD56+,
en deze beperkt zich niet tot de subcutis en heeft een slechte prognose. In
de ORTC classificatie is afgesproken dat met subcutaneous panniculitic cutaneous T-cell
lymphoma alleen de alpha/beta, CD8
positieve vorm wordt bedoeld. De gamma/delta vorm wordt geclassificeerd als
cutaan gamma/delta T-cellymfoom (perifeer T-cellymfoom nno). Zie verder
onder
subcutaneous panniculitis-like T-cell lymphoma.
![Subcutaneous panniculitis-like T-cell lymphoma (click on photo to enlarge) [source: www.huidziekten.nl] Subcutaneous panniculitis-like T-cell lymphoma](../../../images/subcutaan-panniculitislike-T-cel-lymfoma-1z.jpg) |
| SPTL |
Primair cutaan perifereer T-cellymfoom, niet nader omschreven
Deze term wordt gebruikt voor de overige primair cutane
lymfomen, waaronder:
- agressief
CD8-positief epidermotroop CTCL
- cutaan gamma/delta T-cel lymfoom
-
CD4-positief klein-/middelgrootcellig pleomorf CTCL (Primary cutaneous
CD4-positive small or medium T-cell lymphoproliferative disorder)
Deze lymfomen presenteren zich
als
solitaire, gelokaliseerde of gegegeneraliseerde plaques of tumoren, die
vaak ulceratie vertonen. Het agressief CD8-positief epidermotroop CTCL en
het cutaan gamma/delta T-cel lymfoom hebben een slechte prognose. Het heeft weinig
zin om onderscheid te maken tussen primair cutaan en systemisch, en de
behandeling bestaat uit systemische chemotherapie (vaak met matig
resultaat). Het solitaire CD4-positief klein- tot middelgrootcellig pleomorf
CTCL heeft een goede prognose. Het gedraagt zich meer als een pseudolymfoom.
Daarom is de naam in de WHO classificatie gewijzigd in
primary cutaneous
CD4-positive small or medium T-cell lymphoproliferative disorder. Het kan
worden geëxcideerd, bestraald, of ingespoten met corticosteroïden.
Agressief CD8-positief
epidermotroop cutaan T-cel lymfoomHet zeldzame agressief
CD8-positief epidermotroop cutaan T-cel lymfoom (< 1% van alle
cutane lymfomen) wordt in de WHO-EORTC classificatie ingedeeld in de groep
primair cutaan perifereer T-cellymfoom, niet nader omschreven. CD8+
agressief CTCL kan zich in het begin presenteren als een solitaire
ulceratie, of enkele ulceraties, soms met een opgeworpen rand en nog zonder
tumorvorming. Dit lymfoom verspreidt
zich snel naar de rest van de huid en naar lymfklieren en organen en is
moeilijk te behandelen. Ook met snelle herkenning en start van systemische
chemotherapie is de prognose slecht. Vanwege de zeldzaamheid is het nog niet
goed uitgezocht wat de beste behandeling is. CD8+ agressief
CTCL is voor het eerst beschreven door Berti et al in 1999, sindsdien zijn
circa 60 gevallen beschreven in de literatuur. Het komt vooral op volwassen
leeftijd voor, met een voorkeur voor mannen. Klinisch ziet men snel
progressieve gedissemineerde papels, plaques, noduli en tumoren, vaak met
ulceratie, necrose, of crustae. Het kan overal voorkomen, ook in de
mondholte, maar er is een voorkeur voor de extremiteiten. De patiënten zijn
vaak in een slechte conditie door de vele ulceraties. Zie verder onder
agressief CD8-positief epidermotroop cutaan T-cel lymfoom.
![agressief CD8-positief epidermotroop cutaan T-cel lymfoom (click on photo to enlarge) [source: www.huidziekten.nl] agressief CD8-positief epidermotroop cutaan T-cel lymfoom](../../../images/agressief-CD8+CTCL-1z.jpg) |
![agressief CD8-positief epidermotroop cutaan T-cel lymfoom (click on photo to enlarge) [source: www.huidziekten.nl] agressief CD8-positief epidermotroop cutaan T-cel lymfoom](../../../images/agressief-CD8+CTCL-4z.jpg) |
![agressief CD8-positief epidermotroop cutaan T-cel lymfoom (click on photo to enlarge) [source: www.huidziekten.nl] agressief CD8-positief epidermotroop cutaan T-cel lymfoom](../../../images/agressief-CD8+CTCL-6z.jpg) |
| CD8+ CTCL |
CD8+ CTCL |
CD8+ CTCL |
DD: andere vormen van
primair cutaan perifereer
T-cellymfoom, niet nader omschreven, CD8+
CTCL,
CD30+ primair cutaan anaplastisch large-cell lymfoma,
lymfomatoide papulosis, nasaal en extranasaal natural killer/T-cell lymfoma,
subcutaneous panniculitis-like T-cell lymphoma, cutaneous gamma/delta T-cell
lymphoma, Pagetoïde reticulose (Ketron-Goodman type),
PLEVA,
pyoderma
gangrenosum,
ecthyma gangrenosum.
PA:Epidermotroop T-cel infiltraat, CD8+/CD4- in de
basale laag, in een lineair patroon. Tevens nodulaire of diffuse infiltraten
van atypische lymfocyten in de dermis, diep reikend tot in subcutis, soms
angio-invasief. Epidermale acanthose, atrofie, keratinocytnecrose,
ulceratie, soms blaarvorming en destructie van adnexen. Ook andere CTCL
waaronder Pagetoïde reticulose kunnen CD8+ zijn maar die zijn klinisch niet
zo agressief. Andere markers die kunnen worden gevonden (niet altijd) zijn CD3,
CD45RA, bF-1, T-cell intracellular antigen-1 en ki-67 (proliferatie marker). CD30
en CD45RO zijn meestal negatief. De monoclonaliteit kan worden aangetoond
met TRC receptor gen rearrangement.
Diagnostiek:
Biopt (voldoende groot stuk met duidelijke vraagstelling), en snelle
verwijzing naar de hematoloog voor verdere diagnostiek (bloedonderzoek,
beenmergpunctie, afbeeldend inderzoek) en overname van de behandeling.
Therapie:
Chemotherapie met combinaties waarin doxorubicine is opgenomen zoals CHOP, hyper-CVAD
of MACOP-B, gemcitabine, total skin electron beam therapie, Bexarotene, allogene of autologe stamceltransplantatie.
Zie verder onder
agressief CD8-positief epidermotroop cutaan T-cel lymfoom.
Cutane B-cel lymfomenDe cutane B-cel lymfomen
worden onderverdeeld in 3 hoofdgroepen:
- primair
cutaan marginale zone B-cel lymfoom (PCMZL)
- primair cutaan
follikelcentrumlymfoom (PCFCL)
- primair cutaan grootcellig
B-cel lymfoom (PCLBCL) (inclusief primair cutaan grootcellig B-cel lymfoom van het beentype (PCLBCL-been))
Primair cutaan marginale
zone B-cel lymfoomSolitaire of
gegeneraliseerde papels, plaques of nodi, meestal op de
romp en extremiteiten. Histologie: nodulair of diffuus infiltraat van kleine B-cellen,
waaronder marginale zone cellen, lymfoplasmacytoïde cellen en plasmacellen.
Kan mogelijk geassocieerd zijn met
Borrelia burgdorferi.
Therapie:Radiotherapie of excisie
bij solitaire laesies. Bij uitgebreide huidafwijkingen chloorambucil. Bij 50%
treden
cutane recidieven op, extracutane uitbreiding is zeldzaam. Goede prognose (5-jaars overleving
> 95%).
Primair cutaan
follikelcentrumlymfoomSolitaire
of gegroepeerde plaques en tumoren op romp of behaarde hoofd, bij 10% op de
benen. Histologie: folliculaire of diffuse infiltraten van (middel)grote centrocyten en centroblasten,
bcl-2 negatief, geen t(14;18) translocatie. De vorm met folliculaire
infiltraten wordt ook wel
cutaneous follicle center
lymphoma of
cutaneous follicular lymphoma
genoemd, de vorm met diffuse infiltraten
diffuus grootcellig B-cel lymfoom.
De systemische variant van
folliculair lymfoom is
meestal wel bcl-2 positief en toont wel een t(14;18) translocatie.
Therapie:Radiotherapie bij solitaire of beperkt
aantal laesies. Bij multifocale lymfomen (15%) wordt meestal chemotherapie
gegeven. Rituximab is mogelijk ook effectief. Bij circa 30% treden
recidieven op, bij circa 10% extracutane uitbreiding. De prognose (tenzij op
de benen) is goed, 5-jaarsoverleving 95%.
Primair cutaan
grootcellig B-cellymfoomEen primair cutaan
grootcellig B-cel lymfoom is een B-cel lymfoom dat zich als eerste
manifesteert in de huid en soms ook beperkt blijft tot de huid. Ongeveer 20-25%
van de cutane lymfomen zijn B-cel lymfomen. Het grootcellig B-cel lymfoma
komt vaker voor bij mannen. Zelden worden extracutane lokalisaties gezien.
De morfologische typering van een grootcellig B-cel lymfoom heeft geen
betekenis voor de prognose. De voorkeurslocalisaties zijn het behaarde
hoofd, de rug, het coeur en de onderbenen. Zie verder onder
primair cutaan
grootcellig B-cel lymfoom.
![Primair cutaan grootcellig B-cellymfoom (click on photo to enlarge) [source: www.huidziekten.nl] Primair cutaan grootcellig B-cellymfoom](../../../images/primair-cutaan-grootcellig-B-cel-lymfoom-1z.jpg) |
![Primair cutaan grootcellig B-cellymfoom (click on photo to enlarge) [source: www.huidziekten.nl] Primair cutaan grootcellig B-cellymfoom](../../../images/primair-cutaan-grootcellig-B-cel-lymfoom-2z.jpg) |
|
cutaan B-cel lymfoom |
cutaan B-cel lymfoom |
Therapie:Bij gelokaliseerde
afwijkingen kan gekozen worden voor radiotherapie (30-40 Gy). Bij
gegeneraliseerde huidafwijkingen en/of extracutane lokalisaties kiest men
bij voorkeur voor CHOP kuren of andere chemotherapiekuren (aan de
hematoloog).
Primair cutaan
grootcellig B-cellymfoom van het beentypeDit type cutaan
lymfoom komt vooral voor bij oudere patiënten (>70 jaar). Klinisch ziet
men één
of meerdere paarsrode tumoren op één of beide (onder)benen. Bij circa 10%
elders op het lichaam. Histologie: diffuus infiltraat van centroblasten en immunoblasten, bcl-2, Mum-1 en Fox-P1
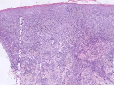
positief. Zie ook de
ingescande PA-coupe van de
afdeling pathologie van de University of
Toronto.
![Primair cutaan grootcellig B-cellymfoom van het beentype (click on photo to enlarge) [source: www.huidziekten.nl] PCLBCL-been](../../../images/cutaan-grootcellig-B-cel-lymfoom-been-1z.jpg) |
![Primair cutaan grootcellig B-cellymfoom van het beentype (click on photo to enlarge) [source: www.huidziekten.nl] PCLBCL-been](../../../images/cutaan-grootcellig-B-cel-lymfoom-been-2z.jpg) |
![Primair cutaan grootcellig B-cellymfoom van het beentype (click on photo to enlarge) [source: www.huidziekten.nl] PCLBCL-been](../../../images/cutaan-grootcellig-B-cel-lymfoom-been-3z.jpg) |
|
PCLBCL-been |
PCLBCL-been |
PCLBCL-been |
Therapie:Chemotherapie (R-CHOP). Bij
kleine solitaire tumor eventueel radiotherapie. Vaak extracutane
uitbreiding, slechte prognose (5-jaarsoverleving rond 50%).
Referenties
| 1. |
Willemse R. Diagnostiek en behandeling van
cutane lymfomen. Ned Tijdschr Hematol 2008;5:3-11. |
| 2. |
Nofal A, Abdel-Mawla MY,
Assaf M, Salah E. Primary
cutaneous aggressive epidermotropic CD8+ T-cell lymphoma: proposed diagnostic
criteria and therapeutic evaluation. J Am Acad Dermatol 2012;67(4):748-759. |
| 3. |
Berti E, Tomasini D, Vermeer MH, Meijer CJ,
Alessi E, Willemze R. Primary cutaneous CD8-positive epidermotropic
cytotoxic T-cell lymphomas: a distinct clinicopathological entity
with an aggressive clinical behavior. Am J Pathol 1999;155:483-492. |
| 4. |
Bekkenk MW, Vermeer MH, Jansen PM, Van Marion
AM, Canninga-van Dijk MR, Kluin PM, et al. Peripheral T-cell
lymphomas unspecified presenting in the skin: analysis of prognostic
factors in a group of 82 patients. Blood 2003;102:2213-2219. |
| 5. |
CD8-positive mycosis fungoides and primary
cutaneous aggressive epidermotropic CD8-positive cytotoxic T-cell
lymphoma. J Cutan Pathol 2009;36:390-392. |
| 6. |
Webber NK, Harwood C, Goldsmith P, Cerio R,
Wells P, Kazmi M, et al. Aggressive epidermotropic cutaneous CD8+
(Berti’s) lymphoma. Clin Exp Dermatol 2010;35:e210-212. |
| 7. |
Nofal A, Abdel-Mawla MY, Assaf M,
Salah E. Primary cutaneous aggressive epidermotropic CD8+ T-cell
lymphoma: proposed diagnostic criteria and therapeutic evaluation. J
Am Acad Dermatol 2012;67(4):748-759. |
| 8. |
Kimby E. Management of advanced-stage
peripheral T-cell lymphomas. Curr Hematol Malig Rep 2007;2:242-248. |
| 9. |
Bunn PA, Hoffman SJ, Norris D, Golitz LE,
Aeling JL. Systemic therapy of cutaneous T-cell lymphomas (mycosis
fungoides and the Sézary syndrome). Ann Intern Med 1994;121:592-602. |
| 10. |
Marchi E, Alinari L, Tani M, Stefoni V,
Pimpinelli N, Berti E, et al. Gemcitabine as frontline treatment for
cutaneous T-cell lymphoma. Phase II study of 32 patients. Cancer
2005;104:2437-2441. |
| 11. |
Bekkenk MW, Vermeer MH, Geerts ML, Noordijk
EM, Heule F, Van Voorst Vader PC, et al. Treatment of multifocal
primary cutaneous B-cell lymphoma: a clinical follow-up study of 29
patients. J Clin Oncol 1999;17:2471-2478. |
| 12. |
Grange F, Bekkenk MW, Wechsler J, Meijer CJ,
Cerroni L, Bernengo M, et al. Prognostic factors in primary
cutaneous large B-cell lymphomas: a European multicenter study. J
Clin Oncol 2001;19:3602-3610. |
| 13. |
Alaggio R, Amador C, Anagnostopoulos I, Attygalle AD, Araujo IBO, Berti E, Bhagat G, Borges AM, Boyer D, Calaminici M, Chadburn A, Chan JKC, Cheuk W, Chng WJ, Choi JK, Chuang SS, Coupland SE, Czader M, Dave SS, de Jong D, Du MQ, Elenitoba-Johnson KS, Ferry J, Geyer J, Gratzinger D, Guitart J, Gujral S, Harris M, Harrison CJ, Hartmann S, Hochhaus A, Jansen PM, Karube K, Kempf W, Khoury J, Kimura H, Klapper W, Kovach AE, Kumar S, Lazar AJ, Lazzi S, Leoncini L, Leung N, Leventaki V, Li XQ, Lim MS, Liu WP, Louissaint A Jr, Marcogliese A, Medeiros LJ, Michal M, Miranda RN, Mitteldorf C, Montes-Moreno S, Morice W, Nardi V, Naresh KN, Natkunam Y, Ng SB, Oschlies I, Ott G, Parrens M, Pulitzer M, Rajkumar SV, Rawstron AC, Rech K, Rosenwald A, Said J, Sarkozy C, Sayed S, Saygin C, Schuh A, Sewell W, Siebert R, Sohani AR, Tooze R, Traverse-Glehen A, Vega F, Vergier B, Wechalekar AD, Wood B, Xerri L, Xiao W. The 5th edition of the World Health Organization Classification of Haematolymphoid Tumours: Lymphoid Neoplasms. Leukemia
2022;36(7):1720-1748. |
Author(s):
dr. Jan R. Mekkes. Dermatologist, Amsterdam UMC.