JICHT (ARTHRITIS URICA) home ICD10: M10.0

Jicht (arthritis urica, gout) is een ontsteking in een gewricht veroorzaakt door ophoping van uraat (urinezuur) kristallen. De klachten zijn acute pijn in een gewricht, meestal aan de basis van de grote teen, soms in de middenvoet, enkel, knie of pols. Het gewricht wordt dik, rood en warm. Het geneest meestal binnen een tot drie weken, maar kan aanvalsgewijs terugkomen (jichtaanval). Bij jicht worden vaak jicht tophi gezien: kleine wit doorschemerende nodi in de huid, deels aan het oppervlak (ophopingen van urinezuurkristallen). De voorkeurslokalisaties voor jicht tophi zijn de vingers, tenen, knie, elleboog, oorschelp en de hiel. Jicht tophi kunnen perforeren, ulcereren, en secundair infecteren. Urinezuurkristallen kunnen ook nierstenen vormen.

Jicht, arthritis urica Jicht, arthritis urica Jicht, arthritis urica
jicht arthritis jicht arthritis jicht arthritis

Jicht, arthritis urica Jicht, arthritis urica Jicht, arthritis urica
jicht jicht jicht kristallen

Jicht, arthritis urica Jicht, arthritis urica Jicht, arthritis urica
geïnfecteerde jicht tophus geïnfecteerde jicht tophus uraat kristallen

Foto's: www.scientificanimations.com, Intermedichbo - dr Milorad Dimić, en James Heilman - Wikimedia (Creative Commons License 4.0 / 3.0).
Foto jichtkristallen: Gabriel Caponetti - Wikimedia (Creative Commons License 3.0).


Het ontstaan van jicht hangt samen met een verhoogd urinezuurgehalte in het bloed. Het urinezuur vormt kristallen in het gewricht. Deze veroorzaken een ontsteking in het gewricht. Slechts één op de tien mensen met een verhoogd urinezuurgehalte in het bloed krijgt jicht. De kans hierop is groter als jicht in de familie voorkomt. Mannen van middelbare leeftijd, mensen met een hoog lichaamsgewicht en mensen met hoge bloeddruk of hart- en vaatziekten hebben meer kans op jicht. Voeding of alcohol lijken geen rol te spelen bij het ontstaan van jichtaanvallen.

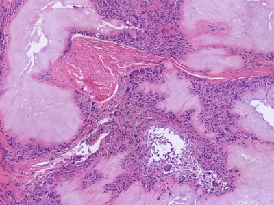
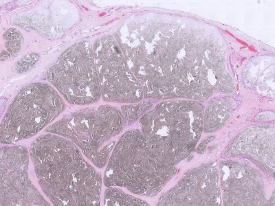
PA:
Dubbelbrekende kristallen is het belangrijkste kenmerk.

Histologie jicht Histologie jicht tophus Histologie jicht tophus
ingescande coupe (zoom) ingescande coupe (zoom) ingescande coupe (zoom)

Bron hoge resolutie PA-foto's: Kevin Kwee en Afdeling Pathologie MUMC. Klik op de afbeelding om in te zoomen.


DD: zie onder (bot-)harde tumoren van de hand.

Therapie:
Conservatief: extremiteit hoogleggen, tijdelijk ontzien, koelen met natte omslagen of ijs. Na genezing is lichaamsbeweging juist goed. Jicht kristallen kunnen chirurgisch verwijderd worden.

Bij acute jicht aanval:
R/ NSAID’s. Bij langer gebruik of in risico groepen ook een maagbeschermer voorschrijven. Deze middelen kunnen de pijn binnen een of twee dagen verminderen.
R/ diclofenac 25 mg tabletten; 3 dd 25 mg of diclofenac retard 75 mg, bij hevige pijn kan ook i.m. 75 mg diclofenac worden gegeven.
R/ naproxen 250 mg tabletten; 750 mg ineens, daarna 3 dd 250 mg.
R/ ibuprofen 200, 400 of 600 mg tabletten, bruistabletten, zetpillen; 3 dd 400 mg.
R/ prednisolon systemisch (met maagbeschermer).
R/ colchicine 2-3 dd 0.5 mg. De tabletten innemen in zittende of staande houding met een ruime hoeveelheid water. De klachten moeten binnen 3 dagen minder zijn, zoniet: stoppen. Ook stoppen bij bijwerkingen zoals een branderig gevoel in de keel, misselijkheid, buikkrampen of diarree.
R/ intra-articulaire injectie met corticosteroïden (reumatoloog). Dit helpt meestal binnen 24 uur. De werking kan ongeveer drie maanden aanhouden. Soms kunnen de klachten gedurende 48 uur na de prik kortdurend verergeren. Dit gaat vanzelf over.

Bij frequente jicht aanvallen (meer dan drie aanvallen per jaar):
R/ allopurinol 100, 200, 300 mg tabletten. Beginnen met 100-200 mg per dag, zonodig dosis verhogen afhankelijk van het urinezuur gehalte van het bloed. Allopurinol laat de urinezuur spiegel dalen en voorkomt hierdoor jichtaanvallen. Tophi verdwijnen binnen een half jaar tot een jaar. Bij allopurinol komen vaak huidreacties voor.



JICHT TOPHI home ICD10: M10.9

Jicht tophi (jichtknobbels): zie boven.


patientenfolder


Author(s):
dr. Jan R. Mekkes. Dermatologist, Amsterdam UMC.

31-05-2023 (JRM) - www.skin-diseases.eu Terug naar homepagina




Diagnosis codes:
ICD10 M10.0 Jicht, idiopathisch
ICD10 M10.0 Idiopathic gout
SNOMED 73877009 Chronic tophaceous gout
DBC 28 spacer Geen dermatologische diagnose

ICD10 M10.0 Jicht, idiopathisch: arthropathie
ICD10 M10.0 Idiopathic gout: arthritis
SNOMED 48440001 Articular gout
DBC 28 spacer Geen dermatologische diagnose

ICD10 M10.0 Jicht, idiopathisch: artritis onderbeen: knie
ICD10 M10.0 Idiopathic gout: arthritis lower leg: knee
SNOMED 16068491000119107 Arthritis of bilateral knees due to gout
DBC 28 spacer Geen dermatologische diagnose

ICD10 M10.0 Jicht, idiopathisch: artritis enkel en voet
ICD10 M10.0 Idiopathic gout: arthritis ankle and foot
SNOMED 201669005 Gouty arthritis of the ankle and/or foot
DBC 28 spacer Geen dermatologische diagnose

ICD10 M10.0 Jicht, idiopathisch: artritis grote teen door jicht
ICD10 M10.0 Idiopathic gout: arthritis of great toe due to gout
SNOMED 428839004 Arthritis of great toe due to gout
DBC 28 spacer Geen dermatologische diagnose

ICD10 M10.0 Jicht, idiopathisch: jicht tophus
ICD10 M10.0 Idiopathic gout: gout tophus
SNOMED 402469004 Tophus co-occurrent and due to gout
DBC 27 spacer Diagnose niet nader omschreven

ICD10 M10.9 Jicht, niet gespecificeerd
ICD10 M10.9 Gout, unspecified
SNOMED 90560007 Gout
DBC 28 spacer Geen dermatologische diagnose